Supplement "Advances in Musculoskeletal Radiology"
More infoChronic expansive hematoma (CEH) is a rare lesion, characterized by the persistence and increase in size of an hematoma for a period greater than one month since the initial hemorrhage. The clinical importance of this pathology is due to the fact that it can simulate malignant soft tissue neoplasms, both clinically as a result of its progressive growth and radiologically for its findings in imaging studies. This article will review three cases of CEH in different scenarios, explaining the radiological findings in different imaging techniques such as ultrasound, computed tomography (CT), magnetic resonance imaging (MRI), and PET-CT.
El hematoma crónico expansivo (HCE) es una lesión poco frecuente, caracterizada por la persistencia y aumento de tamaño del hematoma durante un periodo mayor de un mes desde la hemorragia inicial. La importancia clínica de esta patología se debe a que puede simular neoplasias malignas de partes blandas, tanto clínicamente por su crecimiento progresivo, como por los hallazgos radiológicos. Este artículo revisará tres casos de HCE en diferentes escenarios, explicando los hallazgos radiológicos en diferentes técnicas de imagen como ecografía, tomografía computarizada (TC), resonancia magnética (RM) y PET-TC.
Chronic expansive haematomas (CEH) are rare lesions which typically persist and grow for over a month following onset.1
The clinical importance of these lesions arises from their potential to simulate malignant soft-tissue neoplasms, both clinically (due to their progressive growth) and radiologically.2 There are also reports in the literature of malignant sarcomas that have been diagnosed and treated initially as haematomas due to their similar clinical history.3
This article reviews three cases of CEH in different scenarios and describes the radiological findings from different imaging techniques such as ultrasound, computed tomography (CT), magnetic resonance imaging (MRI) and positron emission tomography-computed tomography (PET-CT).
Case presentationCase 1A 47-year-old woman who had undergone multiple surgeries for low-grade fibromyxoid sarcoma on the left thigh; the most recent being seven years previously.
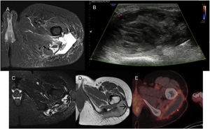
MRI images from this period show a homogeneous collection, markedly hyperintense on T2-weighted images, which fluctuates slightly in size, suggestive of postoperative seroma (Fig. 1A).
A) Axial T2-weighted image: hyperintense collection, with discrete variations in size over seven years, compatible with seroma. B) Ultrasound: lobulated lesion with well-defined borders, with a thick peripheral capsule and markedly heterogeneous content, without vascularisation on colour Doppler study. C) Axial T1-weighted image: increased signal intensity on T1-weighted sequences (*), corresponding to methaemoglobin and images compatible with clots. Peripheral capsule of tissue that is most likely fibrotic, markedly hypointense on all pulse sequences (→). D) MRI three months later; decreased signal on T1-weighted sequences suggesting subacute-chronic evolutionary changes of methaemoglobin, as well as mild clot growth. Hypointense peripheral capsule (→). E) The PET-CT study shows increased peripheral glucose metabolism, suggestive of an inflammatory process.
The patient reported pain during follow-up. An ultrasound (Fig. 1B) and an MRI (Fig. 1C) were performed, revealing a significant enlargement of the collection and findings compatible with rebleeding.
The MRI was repeated three months later (Fig. 1D), and the collection appeared more organised with septa, subacute-chronic evolutionary changes in methaemoglobin and slight growth of the clots.
PET-CT imaging revealed increased peripheral glucose metabolism, suggestive of an inflammatory process (Fig. 1E).
Given the patient’s oncological history, the case was reviewed by the hospital's sarcoma and bone tumour committee and a decision was made to perform an ultrasound-guided biopsy. The histological study showed organised haematic material and fibrin, with reactive connective tissue, compatible with a CEH.
The patient underwent surgery and the haematoma was completely removed, with favourable progress.
Case 2A 65-year-old male with a history of high-grade lymphoma, immunosuppression and septic arthritis in the left hip operated on two years previously. He presented with left hip pain that had notably worsened in the previous day.
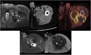
MRI (Fig. 2A) and CT scans (Fig. 2B) were performed, revealing a heterogeneous collection compressing the sciatic nerve in the proximal third of the leg. Given the clinical stability, conservative management was determined and evolutionary studies were performed over two years, during which time the collection maintained a similar volume, modifying internal signal probably due to haemoglobin degradation. The patient was admitted for pain and a PET-CT scan was performed (Fig. 2C), revealing a peripheral hypermetabolic component. A chocolate-coloured fluid was evacuated and a partial resection was performed, along with capsular dissection to the point where it was severely adhered to the sciatic nerve.
A) MRI heterogeneous collection with hypodense capsule (→). B) CT: predominantly hypodense collection, with peripheral enhancement (→). C) PET: peripheral hypermetabolic component observed. D and E) Post-surgical MRI: less voluminous collection and increased signal hyperintensity on T2 (*), corresponding to partial resection and new CEH formation.
An MRI study one month after surgery (Fig. 2D) showed a collection with a smaller volume yet similar characteristics, compatible with partial resection and a newly formed CEH. Subsequently, a total hip prosthesis was fitted due to chronic osteomyelitis. No further imaging tests were performed given the patient’s positive progress.
Case 3A 46-year-old male involved in a traffic accident ten years previously who had subsequently developed a tumour on the affected leg that had resolved spontaneously.
The patient was referred from another centre for suspicion of liposarcoma, and reported pain and a tumour in the same region as the accident, both of which had begun one year previously.
An ultrasound (Fig. 3A) and MRI (Fig. 3B) were performed, revealing an extensive lesion in the subcutaneous cellular tissue of the lateral aspect of the pelvis and root of the right thigh. The lesion was polylobulated and surrounded by a markedly hypointense thick capsule on all sequences. The content was highly heterogeneous, with a markedly hyperintense component on T1-weighted sequences.
A) Ultrasound and B) MRI: lesion in the subcutaneous cellular tissue of the lateral aspect of the pelvis and root of the right thigh, polylobulated, surrounded by a markedly hypointense thick capsule (→) on all sequences. The content is highly heterogeneous, with a hyperintense component (*) on the T1-weighted sequences. C) After intravenous contrast administration, central filiform enhancement is seen (→), with no peripheral or nodular enhancement.
After administration of paramagnetic contrast (Fig. 3C), central filiform enhancement was observed with no peripheral or nodular enhancement.
A complete surgical excision was carried out which confirmed the CEH diagnosis histologically and resulted in a favourable evolution.
DiscussionCEHs are rare lesions which usually coincide with a site of trauma or surgery, a factor which guides diagnosis.4
Ultrasound is usually the first imaging technique used to study soft-tissue masses. However, in the case of CEHs, the specificity is low as images for both this entity and malignant soft-tissue tumours show similar findings: lesions with complex, solid-cystic appearances that are sometimes multiloculated.5
CT imaging shows a heterogeneous, cystic, solid lesion, reflecting the presence of blood in various stages of coagulation, and may have peripheral or internal calcifications. Peripheral enhancement and areas of internal enhancement are usually seen after contrast administration. It is also useful for assessing the vascularisation of the lesion and the presence of haemorrhagic foci.6
MRI is the study of choice. In non-contrast enhanced studies, we observe the ‘mosaic sign’ as signal heterogeneity in T2-weighted images, due to the degradation of blood products of varying chronology.7 Another characteristic finding is a hypointense pseudocapsule on all sequences, representing a fibrous tissue wall.8 Post-contrast peripheral enhancement is common, while internal enhancement is unusual.7
The diagnostic challenge is that haemorrhagic soft-tissue sarcomas can present similar findings on non-contrast MRI.9 There are also cases where an angiosarcoma may grow from the periphery of the CEH pseudocapsule. In these cases, a thick wall or sudden increase in size may indicate malignant transformation. However, these cases seem to be the exception rather than the rule.10
Another factor to take into consideration are the PET imaging characteristics. These have not been clearly established and it is important to note that a significantly increased SUV (the highest SUVmax according to the literature consulted was 15.8) at the periphery of the lesion could be a diagnostic ‘trap’ simulating a soft-tissue sarcoma with haematoma formation or central necrosis.1 In two of the cases presented, we observed a peripheral hypermetabolic component.
The clinical context and imaging tests usually guide the diagnosis and treatment. However, in cases of diagnostic doubt or high risk of recurrence of a malignant tumour, ultrasound is the ideal modality for guided biopsy and can sometimes avoid unnecessary surgery.7
In conclusion, the presence of a hypointense rim on all MRI sequences, a heterogeneous central component and little or no enhancement after contrast administration should point to the diagnosis of CEH. Although PET findings are not clearly established, peripheral uptake may help the diagnosis.
Author contributions- 1
Research coordinators: GSC, MTP, NTL, DBT.
- 2
Development of study concept: GSC, MTP, NTL, DBT.
- 3
Study design: GSC, MTP, NTL, DBT.
- 4
Data collection: GSC, MTP, NTL, DBT.
- 5
Data analysis and interpretation: GSC, MTP, NTL, DBT.
- 6
Data processing: N/A.
- 7
Literature search: GSC, MTP, NTL, DBT.
- 8
Writing of article: GSC, MTP, NTL, DBT.
- 9
Critical review of the manuscript with intellectually relevant contributions: GSC, MTP, NTL, DBT.
- 10
Approval of the final version: GSC, MTP, NTL, DBT.
This research has not received funding support from public sector agencies, the business sector or any non-profit organisations.
Conflicts of interestNone.






