Posterior reversible encephalopathy syndrome (PRES) is an increasingly recognised potentially reversible complex neuro-endothelial dysfunction syndrome with a classical neuro-radiological description (i.e., subcortical vasogenic edema) and elusive pathophysiology.1,2 In settings of acute onset neurological deficits in a backdrop of renal failure, blood pressure variability, autoimmune diseases, cytotoxic drugs, pre-eclampsia toxicity, and neuroinfections, the diagnosis of PRES has to be considered.1,2 Only three cases of snakebite envenomation-related PRES have been previously described, but none of them manifested with Bálint syndrome (Table 1).3–5
Summary of clinical and outcome data of four reported cases (including the present one) with snakebite envenomation-induced posterior reversible encephalopathy syndrome. Adapted from Ibrahim et al.5
| Author and year of publication | Type of snake | Age (years) | Onset | Antivenom | Complications | Clinical reversibility |
|---|---|---|---|---|---|---|
| Varalaxmi, 20143 | Pit viper | 45 | Two days | No | Renal and visual impairment | Yes |
| Kaushik, 20144 | Bungaruscaeruleus | 10 | Hours | Yes, after symptoms | Respiratory failure, arterial hypertension, seizures, visual impairment, and motor disorder | Yes |
| Ibrahim, 20175 | Cerastesceraste | 23 | Within a week | Yes, before symptoms | Coagulopathy and visual impairment | Partially |
| Present case, 2022 | Daboia russelii | 24 | Hours | Yes, after symptoms | Renal impairment, arterial hypertension, visual impairment, and Bálint syndrome | Yes |
Bálint syndrome is a rare and disabling higher-level visual cognitive impairment consisting of a triad of optic ataxia, oculomotor apraxia, and simultanagnosia, usually seen in lesions involving bilateral parieto-occipital cortices, which occurs secondary to a set of diverse conditions, and rarely following PRES.6
We report the case of a previously healthy young Indian woman who presented Bálint syndrome associated with PRES preceded by acute kidney injury and accelerated hypertension following Russell's viper bite.
A previously healthy 24-year-old woman from rural West Bengal (India) was brought to the emergency department due to a Russell's viper bite. The attending physicians promptly recognised the signs of local/systemic envenomation (severe pain, swelling, and regional lymphadenopathy) and started intravenous anti-snake venom infusion (10 vials). Although her initial vital signs were normal and there were no petechiae or purpuric spots, the 20-minute whole blood clotting test was positive. Another ten vials of anti-snake venom were infused. Urinalysis revealed macroscopic haematuria and proteinuria without myoglobinuria. Tests for HIV (1,2), hepatitis viruses, and SARS-CoV-2 were non-reactive. Blood pressure monitoring showed accelerated arterial hypertension, which was resistant to oral and intravenous antihypertensive medications. Furthermore, renal function tests revealed features suggestive of progressive acute kidney injury, for which she was put on serial haemodialysis over the next seven days. Her haemodynamic and laboratory parameters normalised, and she could be discharged home.
However, ten days following discharge, she started needing assistance for everyday activities as she had to struggle to find out objects even if they were within her visual fields. She realised that she could not figure out where the wall ended, and where the door began. Her family members pointed out that even if her mobile phone was kept right in front of her where she left it a while ago, she could not find it.
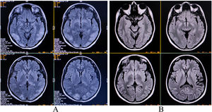
While entering the clinic, she could not find the entrance as if she was blind. Neuroophthalmological examination revealed that her pupils were equal (3 mm) and reacted normally to light and visual acuities were 20/20 with −2.0 diopter spherical correction in both eyes. Contrast sensitivity and color vision (by Ishihara's chart) were normal. Although she had a full range of voluntary saccades to directional commands, she could not make visually guided saccades to objects. She had severe difficulties in grasping or reaching out for things held in front of her (optic ataxia), an inability to process several visual stimuli or multiple competing sensory stimuli simultaneously (simultanagnosia) and had inability to voluntarily shift/move her eyes to specific objects in her peripheral visual fields and to see fast-moving targets (oculomotor apraxia). All these features were consistent with a diagnosis of Bálint syndrome. The remaining neurological examination was normal. The magnetic resonance imaging of the brain revealed hyperintensities on T2 and T2-fluid-attenuated inversion recovery images involving bilateral parietal, occipital, and frontal lobes (Fig. 1A). Cerebrospinal fluid analysis for infective and immune-mediated pathologies was negative. Considering the diagnosis of PRES, she was put on high-dose intravenous methylprednisolone. Optic ataxia resolved six days after the initiation of treatment. Simultanagnosia and impaired visually guided saccades resolved after a two-month follow-up. After two months following the initial presentation, MRI of the brain normalised (Fig. 1B).
Magnetic resonance imaging of the brain revealing extensive hyperintensities on T2-fluid-attenuated inversion recovery images involving bilateral parietal, occipital, and frontal lobes, suggestive of posterior reversible encephalopathy syndrome (Fig. 1A) and resolution of those altered intensity lesions after two months following the initial presentation (Fig. 1B).
Among documented common complications of snakebite envenomation, haematological, vascular, and neurological ones top the list.7,8 PRES is a rare but potential complication following Russell's viper envenomation,3–5 due to either direct toxin-mediated endothelial dysfunction or after secondary hypertensive crisis stemming from toxin-induced renal involvement.3–5
Diagnosis of Bálint syndrome remains clinically challenging as most patients present with apparent blindness, and history elicitation is difficult.6 Oculomotor apraxia, often termed “psychic paralysis of gaze,” is typically unnoticed unless it is specifically looked for.6 Again, simultanagnosia, which represents a failure of simultaneous perception of the surrounding environment, may be misinterpreted as a field defect.6 Optic ataxia remains elusive, even after meticulous medical history analysis.6 So, to pick up Bálint syndrome is necessary a careful clinical examination.
Our patient is the first case with PRES presenting as reversible Bálint syndrome following snakebite envenomation. Clinicians should consider PRES when attending patients with visual complaints following snakebite envenomation.
Study fundingNil.
DisclosuresDr. Ritwik Ghosh (ritwikmed2014@gmail.com) reports no relevant disclosures.
Dr. Moisés León-Ruiz (pistolpete271285@hotmail.com) reports no relevant disclosures.
Dr. Shambaditya Das (drshambadityadas@gmail.com) reports no relevant disclosures.
Dr. Souvik Dubey (drsouvik79@gmail.com) reports no relevant disclosures.
Dr. Julián Benito-León (jbenitol67@gmail.com) reports no relevant disclosures.
Ethics statementWritten informed consent was obtained from the patient to publish this case report and any accompanying images.
Author contributionsAll authors contributed significantly to the creation of this manuscript; each fulfilled criterion as established by the ICMJE.
J. Benito-León is supported by the National Institutes of Health, Bethesda, MD, USA (NINDS #R01 NS39422), the European Commission (grant ICT-2011-287739, NeuroTREMOR), the Ministry of Economy and Competitiveness (Spain) (grant RTC-2015-3967-1, NetMD—platform for the tracking of movement disorder), and the Spanish Health Research Agency (grant FIS PI12/01602 and grant FIS PI16/00451).



