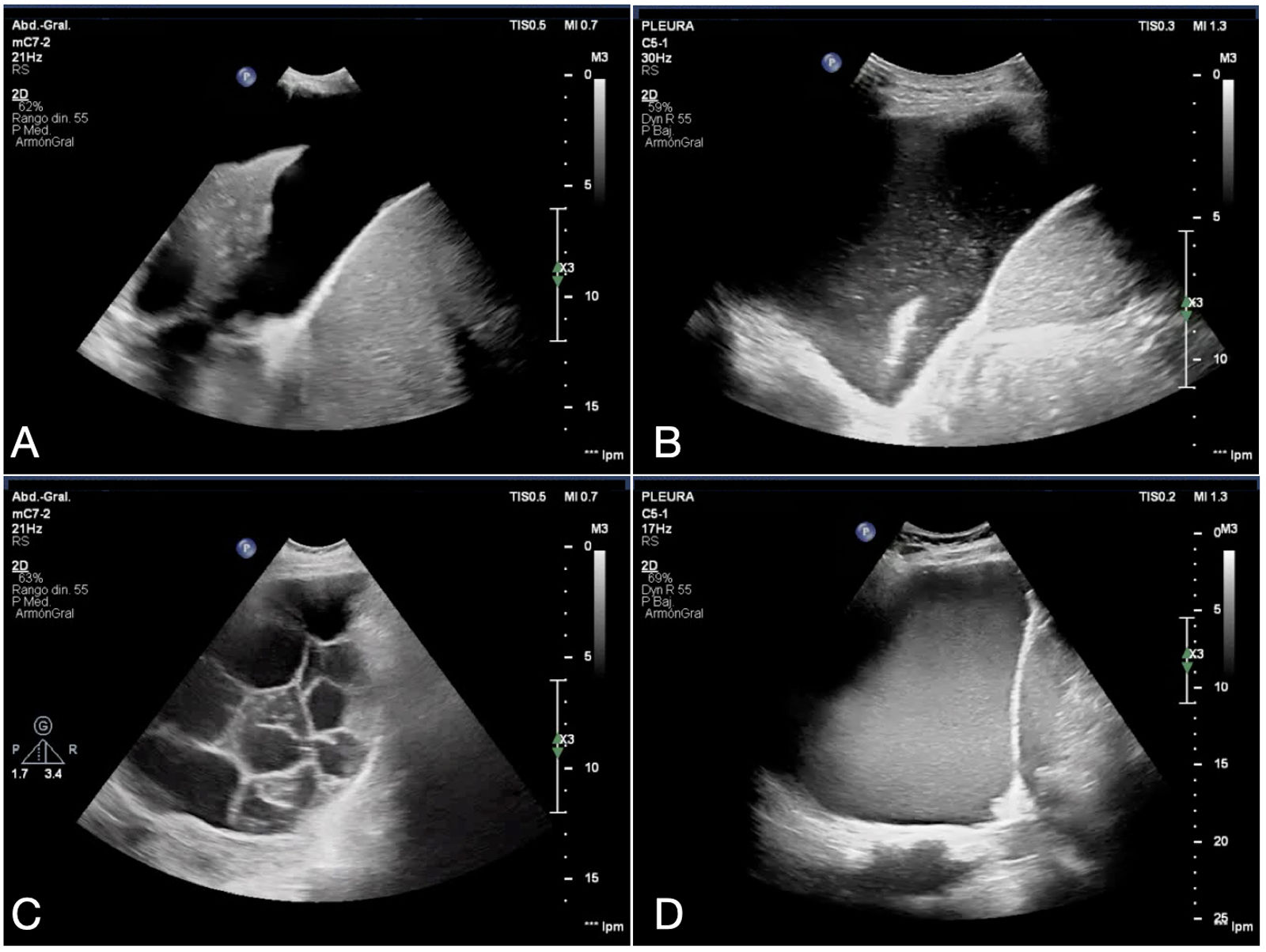
Point-of-care ultrasound (POCUS) is a rapid bedside imaging modality available to clinicians for the diagnosis of pleuropulmonary infections. Compared with chest radiography, POCUS is more sensitive in identifying pneumonia and its complications (parapneumonic pleural effusions, necrosis, and abscesses). The most common sonographic features of pneumonia are consolidation (with irregular margins and dynamic air bronchograms), B-lines, and pleural effusion. POCUS also has prognostic applications, for example, to determine the severity of COVID-19 pneumonia or to predict residual pleural thickening in a tuberculous effusion. Finally, the presence of a complex septated ultrasound pattern in the context of pleural infection is indicative of the need for drainage, which is performed using a thoracostomy tube and instillation of intrapleural enzyme therapy.
El ultrasonido en el punto de atención (point-of-care ultrasound [POCUS]) es una modalidad de imagen rápida y disponible a la cabecera del paciente para el diagnóstico de las infecciones pleuropulmonares. En comparación con la radiografía de tórax, el POCUS es más sensible para identificar la neumonía y sus complicaciones (derrame pleural paraneumónico, necrosis y abscesos). Los signos sonográficos más comunes de la neumonía son la consolidación (con márgenes irregulares y broncograma aéreo dinámico), las líneas B y el derrame pleural. El POCUS también tiene implicaciones pronósticas, por ejemplo, para determinar la gravedad de una neumonía por COVID-19 o predecir el engrosamiento pleural residual en un derrame tuberculoso. Por último, la presencia de un patrón ecográfico complejo septado en el contexto de una infección pleural es indicativo de la necesidad de un drenaje, que se realiza mediante un tubo de toracostomía y la instilación de terapia enzimática intrapleural.


