Oesophagitis dissecans superficialis is a rare disorder and scarcely reported in the scientific literature. Its pathophysiology is poorly understood and current evidence is very limited, making it in all likelihood an under-diagnosed disease.
We present the case of a 58-year-old female patient who came to the accident and emergency department due to epigastric pain, odynophagia and sudden onset dysphagia for solids, while she was asleep. She exhibited no dyspnoea or sialorrhoea. She denied ingestion in the hours prior to her admittance. Her history included autoimmune hypothyroidism and seronegative arthritis on no specific treatment at the time but intermittently controlled with corticosteroid therapy and methotrexate.
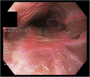
Urgent gastroscopy was performed (Fig. 1) showing an area of raised mucosa extending longitudinally for 4 cm at 30 cm from the dental arch. It did not shed and had a deep pink colouring and digitiform projections. Fibrin-covered ulcerations measuring less than 1 cm were seen around the lesion. Biopsies of the lesion were taken and the patient was discharged with double-dose proton-pump inhibitor, analgesia and liquid-shredded diet.
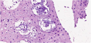
Histological examination revealed superficial parakeratosis and blister-like lesions in two of the fragments, with chronic and focally acute inflammation, spongiosis and keratinocyte necrosis, with foci of bacterial colonisation (Figs. 2 and 3). No viral (Cytomegalovirus, herpes simplex 1–2) or fungal infection was observed. Given these pathology findings, a differential diagnosis between three conditions was proposed. In light of findings of spongiosis and necrosis of the squamous epithelium with bacterial colonisation, possible drug-induced oesophagitis should be assessed. In our case, this was ruled out due to the absence of a significant eosinophilic infiltrate and a history of drug use in the previous hours. In addition, the skin surface should be thoroughly examined to rule out the onset of autoimmune blistering disease with mucosal manifestations. In our case, no acute dermal lesions or scars suggestive of previous episodes were observed. Ruling out the two previous options, it was classified as oesophagitis dissecans superficialis. Although the histological findings were not pathognomonic, they were highly suggestive and, together with the sudden onset, strongly support the diagnosis.
Treatment with a proton-pump inhibitor was maintained and endoscopic control was performed after eight weeks, at which the patient was found to be asymptomatic and with macroscopic and microscopic normalisation of the oesophageal mucosa.
Oesophagitis dissecans superficialis was described by Rosenberg in 1892 and its incidence is very low at around 0.03%.1 It usually manifests as sudden dysphagia, initially for solids, with odynophagia, heartburn and regurgitation. It is diagnosed by endoscopic imaging and biopsy. It is often found as an incidental finding during examinations for other causes. The characteristic image shows oesophagitis in linear furrows or digitiform projections. In extreme cases, mucosal detachment can lead to obstruction of the oesophageal lumen.1,2 Its pathophysiology is uncertain, but it has been associated with elderly patients with an autoimmune susceptibility profile and polypharmacy (more than five drugs as part of their chronic home medication), with none standing out above the rest.1,2 It may also be related to ingestion of any type of food, toxins, physical changes (hot drinks) or underlying collagen disorders. Its occurrence does not seem to be related to ischaemic phenomena.3,4
Double doses of proton-pump inhibitors are used for treatment and, for complications or severe forms, corticosteroids or immunosuppressants may be used.1
The course of this disorder is usually benign and self-limiting. However, there are episodic forms and complications such as oesophageal stricture, upper gastrointestinal bleeding or Candida superinfection2 (there are several studies looking for possible associations between simultaneous oesophageal candidiasis and oesophagitis dissecans superficialis).
Whether oesophagitis dissecans superficialis is related to an increased susceptibility to the subsequent development of autoimmune or dermatological diseases is currently subject to debate. Some authors argue that they could be part of a common spectrum or even constitute different phases of the same disease.3,5 Therefore, when patients exhibit one or more episodes of oesophagitis dissecans superficialis, it is crucial to make a quality diagnosis, re-evaluating if there is any doubt, and without losing sight of the possibility that in the future other manifestations of autoimmune aetiology may appear at other levels, implying greater severity.





