This was a 64-year-old man undergoing chemotherapy for TNM stage T4N2M0 squamous cell carcinoma of the lung.
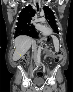
A follow-up CT scan 10 months after diagnosis showed mural thickening of the ascending colon (Fig. 1). A colonoscopy was performed and a superficial ulcer of non-specific appearance was observed in the right colon (Fig. 2). Histopathology was consistent with colonic metastasis of lung squamous cell carcinoma (Fig. 3).
Pathology: (A) haematoxylin-eosin ×2: colon biopsy with marked inflammation (arrow); and (B) haematoxylin-eosin ×10: colon biopsy with neoplastic cellular nidus. (C) Neoplastic cellularity positive for anti-P40 antibody in colon (×20); and (D) endobronchial primary lesion (×20) confirming squamous origin.
Currently, 6 months after the endoscopy, the patient still has no gastrointestinal symptoms and is being treated with the previous chemotherapy regimen.
Gastrointestinal (GI) metastases from primary lung cancer are rare, varying in incidence between 0.3% and 1.7%. The most common GI sites are the oesophagus (6.3%), small intestine (2.6%), stomach (1.2%) and colon (0.7%).1
The histological subtype of primary lung neoplasm most commonly associated with GI metastases is much debated,2 with a recent series finding large cell carcinoma to be the most prevalent.1
Most of these patients are asymptomatic.3,4 Treatment is usually chemotherapy, although in complicated cases (perforation, obstruction, haemorrhage, etc.) surgery may be considered. No therapy has been shown to have an impact on survival.1


