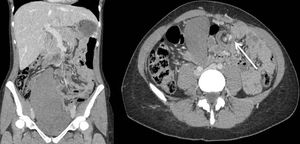
A 23-year-old patient came to the emergency room due to abdominal pain and the appearance of a large palpable mass. Abdominal CT scan revealed the spleen positioned in the pelvis, which was enlarged and showed signs of ischemia secondary to multiple loops at its vascular pedicle (Fig. 1). A midline laparotomy was performed, during which a very congestive 17-cm spleen was observed with infarcted areas and a twisted vascular axis (Fig. 2). Splenectomy was performed with ligation of the vascular pedicle, without incident.
An ectopic or wandering spleen is a rare entity, typically found in young women, whose main complication is necrosis due to vascular torsion.


