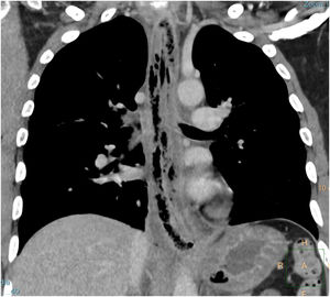
A 49-year-old man from Bolivia consulting for oropharyngeal discomfort with progressive dysphagia, rhinolalia, burning chest pain, and fever of 39 °C. Chest CT scan (Fig. 1) showed severe oesophageal thickening with transmural air bubbles without free air in the mediastinum. Fibrogastroscopy revealed oesophageal oedema along its length to the cardia with no mucosal lesions. Rhinolaryngoscopy described arytenoiditis. Admitted to ICU with broad-spectrum antibiotic and antifungal treatment. Serology was negative. Ten days after admission, radiological improvement (Fig. 2) and clinical stability allowed progressive oral diet to be started without incident. The patient was discharged without a definitive diagnosis.
Please cite this article as: Humaran Cozar D, Viciano Martín M, Clavell Font A, Garsot Savall E. Neumatosis esofágica espontánea de diagnóstico incierto. Cir Esp. 2022. https://doi.org/10.1016/j.ciresp.2022.04.011





