In 2010, mucin-producing liver tumours were divided into two groups by the WHO: on the one hand, mucinous cystic neoplasms (MCNs) of the liver, and on the other, intraductal papillary neoplasms of the bile duct (IPNBs).1 The difference between the two is that MCNs present ovarian stroma and an absence of communication with the biliary tree.2–7 MCNs were formerly known as cystadenomas or biliary cystadenocarcinomas.1,5 We present a patient with a ruptured MCN and have conducted a systematic review of this extremely rare complication.
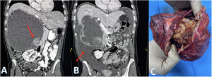
A 46-year-old woman with no medical history of interest was assessed at another centre for dyspepsia, precocious satiety and abdominal pain in the right abdomen, with no weight loss, asthenia, or anorexia. An abdominal CT scan was performed (Fig. 1A) where a lesion of 20.8 × 14.3 × 21.5 cm was observed with cystic and solid formations in the interior, along with septa and peripheral calcifications. Hydatidosis serology was negative. The patient was then referred to our centre for evaluation.
Four days after the initial visit, we were notified by the Emergency Department as the patient was suffering from extremely intense abdominal pain and symptoms of generalised defence. Lab tests showed no notable changes: CRP 0.47 mg/dl (0–1), ALT: 52 U/l (0–49) and GGT: 131 U/l (5–55). Abdominal CT scans showed a large amount of intra-abdominal free fluid (Fig. 1B).
In view of these findings, subcostal laparotomy was performed, locating 2200 c.c. of cloudy fluid; the patient’s microbiological study did not identify microorganisms, only leukocytes. The lesion had a necrotic area of 0.5 cm through which intracystic fluid was draining. A technically complex total cystectomy was performed due to its proximity to the right portal pedicle, but without any infiltration, as well as a cholecystectomy (Fig. 1C). The postoperative period passed without any major complications, undertaking a transfusion of concentrated red blood cells only (Clavien-Dindo II) and this was given on the 5th postoperative day.
The pathology study showed a lesion of 14.5 × 14 × 10 cm with an irregular, mammelonated internal surface, with a solid area of 9 × 5 × 4 cm, and cystic solid mass of 3 × 3 × 2.8 cm with mucinous content. The histological diagnosis was malignant MCN of the liver with an infiltrating solid component. The ovarian stroma was positive for hormone receptors (oestrogen and progesterone), negative for PAX8 and focally for CD10. No perineural invasion was observed. In postoperative magnetic resonance imaging (2 months), two lesions in segment VIII not previously visualised on CT scans were observed, located 5 cm from the initial tumour. A PET-CT scan was run with uptake suggestive of malignancy, for which reason it was decided to start chemotherapy before considering resection.
MCNs of the liver are extraordinarily rare neoplasms.1–7 They are usually diagnosed in middle-aged women (90%), although in cases where they are malignant, the incidence in men increases.1,8 Their aetiology is not clear, and several options have been postulated: ectopic remains of primitive cells of the foregut trapped inside the liver; obstruction of an aberrant congenital bile duct; primitive hepatobiliary stem cells; or trauma reactive process.6,7 The higher incidence in women suggests a hormonal influence.
Immunohistochemical studies show a myofibroblastic phenotype, and progesterone and oestrogen expression.6 MCNs of the liver are divided into lesions with low, intermediate, or high-grade dysplasia (formerly cystadenoma) and invasive carcinoma (cystadenocarcinoma), which only accounts for 3–6% of MCNs and is usually diagnosed in older patients.2
On CT and magnetic resonance imaging, MCNs are usually single, large, uni- or multilocular (90%) lesions, most commonly located in the left lobe. They may contain septa, and present an external, thick, irregular fibrotic capsule with calcifications (47–63%).4–9 Radiological features suggestive of malignancy include mural nodules, papillary projections, hypervascularity, and gross calcifications.5–9
The differential diagnosis of MCNs is approached with: IPNB, cystic intrahepatic cholangiocarcinoma, liver abscesses, hydatid cyst, and complicated simple cysts.1,2 Due to its rarity, an accurate preoperative diagnosis is uncommon.2,4,6,7,9
These lesions are usually asymptomatic (85%), though if symptoms are present, the most frequent are: abdominal pain, a feeling of satiety and nausea and/or vomiting.1,7 Tumour markers (CEA and CA19-9) may be elevated at both the serum and intracystic levels.1,2,6–8 It is very rare for MCNs of the liver to present complications, however among those described we can highlight: obstructive jaundice, cholangitis, intracystic bleeding or rupture.1,2,5,7,8
Rupture of an MCN is an exceptional event. After a search of the references in PubMed, without date or language limitations (“biliary cystadenoma or cystadenocarcinoma” and rupture) and (“liver or biliary MCN” and rupture), we found only four cases published in the literature2–6 (Table 1). The patients were all women, with ages ranging from 24 to 62 years. Three were Asian patients (two from China and one from India), and one was European (Poland). Three had an altered liver profile and elevated CA19-9. All had abdominal pain, exacerbated by the rupture. The size of the cyst ranged from 4 to 32 cm, all located in the left liver, and two of them had biliary dilation. In two patients, percutaneous drainage was performed prior to surgery, and in all four cases a left hepatectomy was undertaken. Only one of the four cases was an intermediate-grade neoplasm. There were no recurrences despite the dissemination of fluid due to rupture, nevertheless follow-up was very short and these were all benign MCNs. The exception characteristic of our particular case was that this was an invasive MCN located in the right liver, European, and without any changes in the liver profile.
| Author Year/Country | Age | Sex | Background | Symptoms | Analysis | CEA ng/mL | CA19-9 U/ml | CT Cyst size (cm) | Bile duct dilation | Abdominal free fluid | Treatment | Histology | Stay (days) | Tracking |
|---|---|---|---|---|---|---|---|---|---|---|---|---|---|---|
| Sun et al. 2011 China | 42 | Female | Schizophrenia | Abdominal pain, tachycardia, dyspnoea | Normal | 81,4 | 19 × 29 × 32 | No | Yes | Left hepatectomy | Cystadenoma EP, PR and SMA + | 15 | No recurrence 6 months | |
| Xu et al. 2021 China | 62 | Female | Liver cyst fenestration | Abdominal pain | ALT:78 U/l | 223.1 | >12,000 | 17.9 × 12.1 | No | Yes | Percutaneous drainage and left hepatectomy | MCN Intermediate Grade | 10 | NA |
| Kosnik et al. 2021 | 24 | Female | Pregnant at diagnosis | Abdominal pain | TB: 2,3 g/dl | Normal | Normal | 3.7 × 4 | Yes | Biloma (19 cm) | Percutaneous drainage and left hepatectomy + cholecystectomy + bile duct resection | MCN low-grade dysplasia | 8 | No recurrence 2 years |
| Poland | Jaundice | AP: 194 U/ll | ||||||||||||
| GGT: 117 U/l | ||||||||||||||
| Rastogi et al. 2024 India | 45 | Female | – | Abdominal pain | AST: 107 U7 | NA | 19,000 | 16 | Yes | YES | Left hepatectomy | ND | 6 | No relapse 2 months |
| OLD: 168 | ||||||||||||||
| Ramia JM et al. 2024 Spain | 46 | Female | – | Abdominal pain | PCR 0,47 ALT: 52 U/l | NA | NA | 20,8 × 14,3 × 21,5 | No | Yes | Total cystectomy | Malignant NQMH | 2 new lesions 2 months post-resection | |
| GGT: 131 U/l | Ovarian stroma ER and PR + PAX8- CD10+ focal |
TB, total bilirubin; AP: alkaline phosphatase; NA: not available; MCN: mucinous cystic neoplasm of the liver; ERs: oestrogen receptors; PRs: progesterone receptors.
The treatment for MCNs is complete excision, by liver resection or enucleation with free margins.1,2,4,7,8 In non-invasive MCNs of the liver, the cure rate is close to 100%, with a recurrence rate of 5%.1,3,7 The mean survival in invasive MCNs is 57% at 5 years, although due to the low incidence, the published data shows great variability.1,7 Radical resection, the degree of invasion, and female sex appear to be associated with better survival.8 There are no evidence-based recommendations on the use of chemotherapy in these patients.1
FundingNo funding was received for this study.




