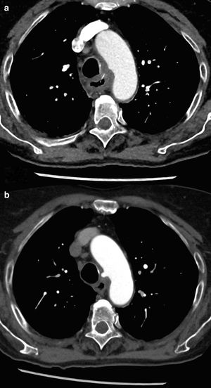
An 86-year-old woman with no medical history came to the emergency room due to dysphagia and shivering for 4 days after eating fish. Lab work-up: leukocytosis with left shift. Thoracic CT scan: esophageal circumferential thickening due to a foreign body associated with a small mediastinal hematoma, fatty reticulation and loss of fatty plane with the aortic arch (Fig. 1a); fishbone observed pointing towards the aortic arch (Fig. 2a). Diagnosis: esophageal perforation and suspected mediastinitis. Treatment: endoscopic extraction and conservative treatment. Follow-up CT scan: additional image in the aortic arch along the tract of the foreign body from previous CT scan (Fig. 1b). Diagnosis: aortic arch pseudoaneurysm (Fig. 2b). PET/CT scan: mediastinitis not ruled out. Treatment: antibiotic therapy for 2 weeks. Two-stage surgery: creation of space for non-fenestrated endovascular prosthesis, through right carotid subclavian transposition and aberrant right subclavian artery ligation; stent placement to exclude the pseudoaneurysm. No immediate postoperative complications were observed.
FundingInstituto de Investigación Sanitaria de Santiago de Compostela.


