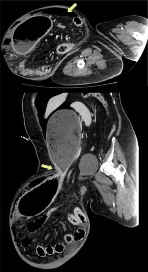
A 42-year-old male patient came to the emergency room with a giant right inguinoscrotal hernia and septic shock.
CT scan revealed intestinal loops and part of the stomach within the hernia sac, as well as perforation of the hollow viscus (Fig. 1).
Urgent laparotomy revealed gastric perforation due to necrosis in the lesser curvature and the entire posterior wall. Total gastrectomy was performed, and the abdomen was left open due to hemodynamic instability. Revision surgery was performed 48 h later, which included esophagostomy and feeding jejunostomy tube placement due to persistent hemodynamic instability and hypoproteinemia. At this time, wall closure was completed with a substitute mesh.
FundingNo funding was received for this publication.


