The treatment of lithiasis in patients with biliodigestive bypass can be controversial. The combination of percutaneous access together with cholangioscopy is an alternative to surgical treatment for the management of this pathology.
In recent years, the appearance of smaller and more flexible fiber-optic cholangioscopes as well as the possibility to perform lithotripsy have changed the treatment of this pathology, providing good results. After our experience, we believe that cholangioscopy assisted by a percutaneous approach is a safe technique, with few complications and early recovery for patients in whom it is not possible to perform endoscopic management.
El tratamiento de la litiasis en pacientes con derivaciones biliodigestivas puede ser controvertido. La combinación del acceso percutáneo junto con la colangioscopia, es una alternativa para el manejo de esta patología frente al tratamiento quirúrgico.
En los últimos años la aparición de fibrocolangioscopios de menor tamaño y mayor flexibilidad, así como la posibilidad de realizar litotricia, ha permitido revolucionar el tratamiento de esta patología con buenos resultados. Tras nuestra experiencia consideramos que la colangioscopia asistida por abordaje percutáneo es una técnica segura con escasas complicaciones y una temprana recuperación, en aquellos pacientes en los que no es posible realizar el manejo endoscópico.
Hepatolithiasis is the result of a complex bile duct pathology that leads to the formation of stones in the intrahepatic bile ducts. This situation causes recurring symptoms of cholangitis with progressive dilation of the biliary radicals and formation of liver abscesses, cirrhosis, atrophy and even greater predisposition to cholangiocarcinoma.1 All of this entails high morbidity and considerable mortality. Its treatment has evolved, opting for more conservative management with greater use of endoscopic techniques and fewer hepatectomies.2 The current technology, including smaller cholangioscopes and greater flexibility, has allowed us to revolutionize the treatment of this pathology with good results. Below, we describe our experience in the treatment of hepatolithiasis using cholangioscopic lithotripsy, assisted by percutaneous access and in combination with electrohydraulic lithotripsy (EHL), reviewing the available literature.
Case reportWe present 2 male patients aged 78 and 63 years, both with a history of cholecystectomy and biliodigestive bypass (subtotal gastrectomy and pancreaticoduodenectomy). This made endoscopic treatment impossible.
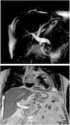
We propose 2 strategies depending on the clinical presentation. The first patient presented moderate cholangitis and choledocholithiasis detected by magnetic resonance cholangiopancreatography (MRCP) (Image 1). We performed a 2-stage approach, initially placing a transhepatic, internal-external drain tube, without acting on the lithiasis. After optimizing the septic state, in a semi-scheduled manner, we treated the lithiasis by performing cholangioscopic lithotripsy using EHL assisted by transhepatic access (Image 2). The fragments were removed towards the duodenum with the help of a highly compliant balloon, verifying the absence of residual stones (Images 3 and 4). The patient progressed well, with no complications or recurrence after one year.
The second patient presented a slight alteration of the hepatobiliary-pancreatic profile. CT scan showed multiple hepatolithiases and stenosis of the hepatojejunal anastomosis, confirmed by MRCP (Image 5). A solely transparietal approach was performed, which confirmed abundant hepatolithiases, most of which could not be mobilized, so only the stenosis was treated by dilation with angioplasty balloons measuring 8 and 10 mm in diameter (Image 6). In a second stage, after multidisciplinary assessment (radiology and surgery), a transparietal approach combined with cholangioscopy was performed. In the cholangiography, some stones had been eliminated spontaneously, but a repletion defect persisted; during cholangioscopy, we confirmed that this defect corresponded with a clot. The rest of the biliary tree was explored until the anastomosis was passed, finding no residual hepatolithiasis. The patient progressed well, with no complications or recurrence after 6 months.
The steps of the technique are described below:
- 1
Diagnosis: The location of the hepatolithiases, as well as possible liver abscesses or stenoses, were evaluated pre-procedure, using ultrasound (US), CT or MRCP, depending on whether it was performed urgently or scheduled. The imaging tests guided the management and location for access, determined by the size of the calculi, location, relationship with the larger caliber vessels, and stenoses.3 Also, 3-dimensional reconstruction of the anatomy was created with specialized software (Mimics Innovation Suite, Materialize), which allowed for virtual preoperative planning (Image 7).
Image 7.3D reconstruction of the anatomy by means of specialized software (Mimics Innovation Suite, Materialise), demonstrating abundant bilateral hepatolithiasis in the right and left biliary radicals, as well as an anatomical variant with independent drainage of the right posterior biliary radical.
- 2
Percutaneous biliary access: The technique is performed under local anesthesia and sedation, performing the puncture in the right or left bile duct depending on the location of the stones. At our institution, we mostly use right transhepatic access, as it allows the operator to work from a mechanically advantageous position and makes instrument manipulation easier.
- 3
Puncture guided by cholangiography: After puncture of the bile duct, cholangiography is performed to show the biliary anatomy and the location of the lithiasis and/or stenosis. The bile duct is accessed through a peripheral radical, and subsequently a 12 Fr introducer (Flexor® Check-Flo®, Cook Medical) is inserted (Image 8). The orientation of the access should be as linear as possible to prevent bending of the introducer and prevent laceration of the Glisson capsule.
- 4
Cholangioscopy: Once access is facilitated, the 3 mm flexible cholangioscope (SpyGlass™ DS, 65 cm Boston Scientific) is introduced. Simultaneously, we perform cholangiography, which indicates where to advance the cholangioscope to the lithiasis. Turning and advancing maneuvers are carried out thanks to the support of the guide. Once the calculus is found, EHL (Autolith™ Touch 1.9Fr, 375 cm, Boston Scientific) is performed for fragmentation. Depending on the size, we can eliminate the calculus using the “wash and suction” maneuver, with saline irrigation, which mobilizes the smaller fragments towards the duodenum or hepatojejunal anastomosis, either spontaneously or with the help of a balloon catheter. Some authors use Dormia baskets to extract larger fragments.4 We believe that this tool should be used with caution, since there is a risk of it becoming trapped along with the lithiasis if it is not small enough. It would be advisable to repeat lithotripsy until the fragments are small enough to be washed out.
The transhepatic approach allows for lithiases and stenoses to be treated in the same operation, either in the area of the hepatojejunal anastomoses or in the intrahepatic bile duct, resulting from repeated episodes of cholangitis and generating inflammatory stenoses responsible for the recurrence of the condition.
Cases that are less favorable for cholangioscopy include multiple calculi in peripheral biliary radicals, which involves performing the procedure in several sessions. In these cases, the objective is to initially treat the stones located in a more proximal position to larger radicals, which allows for the spontaneous mobilization of those located more peripherally, which thereby become accessible for treatment. Those lodged at the level of the right bifurcations make it difficult to pass the cholangioscope as a consequence of their anatomical position regarding the left hepatic duct. In these situations, treatment can be more laborious.
Treatment in one or 2 stagesThe authors agree that cases that present with acute cholangitis benefit from 2-stage management. Firstly, the placement of an 8 or 10 Fr internal-external biliary drain tube is recommended, prior to acting on the lithiasis, thus improving the septic situation. In a second stage after patient optimization, the treatment of the lithiasis is performed using cholangioscopy assisted by transhepatic access.5
The objective is twofold: to improve the patient’s septic status and to maturate the access pathway. Some retrospective series describe the treatment in one stage (by performing percutaneous access and cholangioscopy early, immediately after drainage), which is associated with a greater risk of bleeding and hemobilia, making cholangioscopy visualization difficult and increasing hemorrhagic complications and mortality.6 Therefore, maturation of the tract a few days prior to performing cholangioscopy favors hemostasis of the tract and the prevention of peritonitis secondary to bile leak from the point of entry.
Unilateral or bilateral approachSeveral studies have focused on the treatment of unilateral hepatolithiasis, showing that surgical resection is probably the best definitive treatment option.7–9 However, there are few articles that discuss the treatment of bilateral hepatolithiasis, which has worse results and a higher rate of residual calculi and recurrence. Hepatectomy is usually difficult due to fibrosis resulting from the inflammatory process secondary to colangitis.10,11 In these situations, cholangioscopy with percutaneous lithotripsy should be considered an option.12,13 It has the advantages of less trauma and early recovery, being reproduced on several occasions. The disadvantages, especially in multiple hepatolithiases, are that several sessions are required, as well as prior placement of a biliary drain.14,15 Hepatolithiases in bilateral locations or in bifurcations of biliary radicals with pronounced angles limit the access of the fiber-optic cholangioscope, requiring 2 different punctures and dilations, which increase the risk of complications. In these situations, lithotripsy (laser or electrohydraulic) is an effective treatment for the management of complex lithiasis, which has been graded as a strong recommendation in the consensus document of the Spanish Society of Digestive Endoscopy.16
Recurrence/residual calculiRisk factors associated with recurrence are stenosis or dilation of the bile ducts, liver atrophy, residual calculi or dysfunction of the sphincter of Oddi.17,18 Some studies have shown how bilateral stenoses or the presence of lithiasis at the level of segment I are 2 important risk factors for recurrence. Therefore, a primary objective of this approach is the treatment of lithiasis, but without overlooking biliary stenosis as a factor for recurrence.19
In conclusion, we believe that cholangioscopy, assisted by percutaneous access for the treatment of hepatolithiasis, is a feasible and safe option with a low percentage of complications and good results in the short and medium term in patients whose surgical histories contraindicate endoscopic treatment. Multidisciplinary assessment and teamwork with interventional radiologists are important to facilitate the access and treatment of stenoses, as well as the treatment of calculi with the fiber-optic choledochoscope by hepatobiliary surgeons.
FundingThis research project has received no specific funding from public, comercial or non-profit entities.











