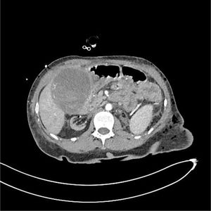
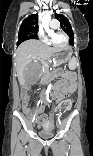
The patient is a 47-year-old female with a history of IgA nephropathy requiring a kidney transplant on 2 occasions and a right hemicolectomy due to intestinal perforation. In the immediate postoperative period after left nephrectomy due to a renal tumor, the patient presented hypovolemic shock secondary to necro-hemorrhagic cholecystitis, with active bleeding observed on CT (Figs. 1 and 2) performed due to suspected postoperative hemorrhage. Emergency cholecystectomy was performed, finding 500 cc of hemorrhagic content inside the gallbladder and active bleeding in the parietal peritoneum of the same, which was resolved after ligation of the cystic artery. The patient was discharged without complications.
The Impact Factor measures the average number of citations received in a particular year by papers published in the journal during the two preceding years.
© Clarivate Analytics, Journal Citation Reports 2025
SRJ is a prestige metric based on the idea that not all citations are the same. SJR uses a similar algorithm as the Google page rank; it provides a quantitative and qualitative measure of the journal's impact.
See moreSNIP measures contextual citation impact by wighting citations based on the total number of citations in a subject field.
See moreThe median number of days it takes for an article to go from submission to first editorial decision.
See more




