covid
Quintessence Caries: ¿se puede prever qué pacientes necesitan un programa de profilaxis int...
Información de la revista
Vol. 24. Núm. 5.
Páginas 227-235 (Mayo 2011)
Vol. 24. Núm. 5.
Páginas 227-235 (Mayo 2011)
Acceso a texto completo
Caries: ¿se puede prever qué pacientes necesitan un programa de profilaxis intensivo?
Visitas
6753
Lutz Laurischa
Este artículo ha recibido
Información del artículo
Resumen
Texto completo
Bibliografía
Descargar PDF
Estadísticas
Figuras (13)
Mostrar másMostrar menos
Tablas (2)
Tabla 1. Factores de riesgo que pueden determinar la ausencia de riesgo de caries o la presencia de un alto riesgo de caries
Tablas
Tabla 2. Ejemplos de factores etiológicos «nocivos» y «protectores»
Tablas
Mostrar másMostrar menos
Antes de aplicar medidas preventivas es necesario emitir un diagnóstico preciso de riesgo. Con dicho propósito se determinan los factores de riesgo que influyen en el riesgo individual de caries. El peso de los parámetros etiológicos generales en la determinación del riesgo de caries individual varía en función de la edad del paciente. Por consiguiente, existen diferentes necesidades terapéuticas dependiendo de la edad del paciente. Éstas, a su vez, influyen en la elección del tratamiento y de los medios que vamos a utilizar, pero también en la frecuencia con la que el paciente utiliza la oferta de servicios profilácticos de la consulta dental.
Texto completo

Introducción

Con la introducción del concepto «riesgo individual de caries»11,13 la prevención ha experimentado un cambio radical. Hasta ese momento la adopción de medidas preventivas estaba indicada cuando se producía un cambio en el cuadro clínico. Una tinción en la fisura, por ejemplo, justificaba de inmediato un sellado de fisuras, y la aparición de lesiones superficiales constituía una indicación de un tratamiento de fluoruración. Es decir, las estrategias de prevención imperantes se adoptaban a raíz de los cambios clínicos provocados por lesiones de caries incipiente con el objetivo de limitar el daño.

La determinación del riesgo de caries tiene por objetivo identificar el riesgo de aparición de una caries antes de que se produzca la lesión y poder reaccionar a éste con la adopción de las medidas preventivas adecuadas. Es decir, la prevención no se ocupa de la caries en sí, sino del riesgo de padecerla. Esto significa que es necesario un diagnóstico preventivo integral que sirva de base para las acciones profilácticas correspondientes. La identificación y reevaluación de los factores de riesgo cariogénicos permite valorar el éxito de las medidas preventivas y comprobar el cumplimiento terapéutico del paciente.

El conocimiento científico y los nuevos productos farmacológicos han abierto un amplio abanico de posibilidades terapéuticas en el terreno de la prevención. Para determinar el riesgo de caries se recurre a los elementos que componen el diagnóstico con muy pocas variaciones en lo esencial.

Son los siguientes:

• Exploración clínica: antecedentes de caries y situación en relación con la placa (lesiones de caries incipiente, puntos débiles morfológicos, problemas de higiene).

• Hallazgos subclínicos: parámetros salivales microbiológicos y funcionales.

• Anamnesis dietética y determinación de la frecuencia de ingestión de azúcar al día (control de la dieta, potencial cariogénico, efecto cariogénico).

El cuestionario anamnésico de Laurisch13 publicado en 1988 y modificado con posterioridad identifica los distintos parámetros y permite realizar un registro minucioso de los factores de riesgo (fig. 1). En el «Cariogram»5 estos factores se modificaron añadiendo la exposición al fluoruro: un programa informático evalúa los parámetros de riesgo de acuerdo con su importancia y les asigna el área correspondiente de un diagrama de sectores. Cada sector de Cariogram representa los siguientes grupos de factores (fig. 2a):

Figura 1. Cuestionario para determinar el riesgo de caries. Se puede descargar gratuitamente de la siguiente página web: http://www.prophylaxekurse-korschenbroich.de/laurisch/zahnmedizin/Untersuchungsbogen_zur_Bestimmung_des_individuellen_Kariesrisikos.pdf

Figura 2a. Factores representados por el programa Cariogram.

• Dieta: frecuencia de ingestión de alimentos y composición de la dieta (sector de Cariogram azul marino).

• Bacterias: cantidad de placa y composición cualitativa de la placa (recuento de estreptococos mutans/lactobacilos) (sector de Cariogram en rojo).

• Predisposición: resistencia del tejido dentario (fluoruración) y calidad de la saliva (índice de secreción, capacidad tampón, valor pH de la saliva) (sector de Cariogram en azul celeste).

• Circunstancias: lesiones dentarias por caries sufridas en el pasado y estado general de salud (sector de Cariogram en amarillo).

A partir de estos factores el programa calcula una probabilidad (chance) determinada de evitar la aparición de caries en el futuro. Una vez introducidos todos los datos pertinentes el programa evalúa e ilustra el riesgo de caries por medio de diferentes gráficos (figs. 2b y 2c). Cariogram está disponible en Internet como aplicación gratuita y se puede descargar y ejecutar inmediatamente de la siguiente página web: http://www.db.od.mah.se/car/cariogram/cariograminfo.html.

Figura 2b. Ejemplo de riesgo de caries alto (sector verde reducido).

Figura 2c. Ejemplo de riesgo de caries bajo (gran sector verde).

Axelsson2 publicó en 1990 los diferentes factores de riesgo que pueden llevar a un «riesgo de caries inexistente» o a un «riesgo alto de caries» (tabla 1). También esta clasificación evidencia que sólo es posible establecer un diagnóstico del riesgo individual de caries combinando parámetros clínicos (formación de placa, CAOD, caries incipiente, dieta) y subclínicos14 (recuento de estreptococos mutans/lactobacilos y parámetros salivales funcionales). Este procedimiento ofrece la ventaja de que no se precisa un sistema informático para realizar la valoración.

König10 ilustró las correlaciones valorando la importancia de cada uno de los cuatro factores de riesgo en relación con el riesgo de caries y las erosiones (figs. 3a a 3d). También en este caso para obtener el diagnóstico se tienen en cuenta tanto parámetros clínicos como parámetros subclínicos.

Figuras 3a a 3d. Determinación del riesgo según König10.

Figura 3a. Los niveles de riesgo van de 0 (riesgo bajo) a 4 (riesgo alto). Se evalúa la importancia del acúmulo de placa y de los microorganismos presentes en ella (estreptococos mutans y lactobacilos) para la aparición de caries y erosiones. Se puede observar que las bacterias que producen ácidos tienen una importancia decisiva en la aparición de caries, mientras que los bacilos móviles gramnegativos desempeñan un papel secundario (a diferencia de los factores de riesgo periodontales).

Figura 3b. Clasificación del riesgo en función de los hábitos alimentarios. Se presta atención a la frecuencia de ingestión de azúcar, y al contenido de azúcar y de ácidos libres. Se evidencia que la frecuencia de ingestión de azúcar representa un factor de riesgo mucho más importante (4) que el contenido de azúcar (2); el contenido de ácidos libres es un factor de riesgo de primer orden en la aparición de erosiones (4).

Figura 3c. Importancia de la calidad de la saliva. Una cantidad reducida y una baja capacidad tampón de la saliva suponen siempre un factor de riesgo importante de aparición de caries y erosiones.

Figura 3d. Dependencia del riesgo de la situación clínica previa. Se observa que las manchas cretáceas recientes, las obturaciones retentivas y los apiñamientos constituyen factores de riesgo de aparición de caries.

Consideraciones generales

Los conocimientos científicos de los últimos decenios han permitido mejorar la valoración diagnóstica. La clave para interpretar los datos recabados en el proceso de estimación del riesgo de caries es la edad del paciente. Hasta las edades comprendidas entre los cuatro y los seis años los parámetros subclínicos, principalmente el recuento de estreptococos mutans, revisten una gran importancia en el pronóstico de la caries. Más tarde este parámetro, considerado con independencia del resto, pierde su trascendencia en relación con la predicción de la caries y pasa a formar parte del grupo de factores relevantes en el diagnóstico de riesgo global, tal y como han expuesto Bratthall y König. Dado que la aparición de caries es poco probable en ausencia de las bacterias causales estreptococos mutans (SM) y lactobacilos (LB), en los pacientes mayores los parámetros bacteriológicos subclínicos adquieren su importancia en el pronóstico de la salud y en la valoración compleja de los resultados del estudio diagnóstico del riesgo. Sólo un plan integral de asesoramiento preventivo que incluya la optimización de la higiene oral y de la dieta garantiza la máxima reducción del riesgo y la ausencia del sustrato que precisan las bacterias cariogénicas para proliferar de la forma acostumbrada. En la exploración subclínica esta minimización del riesgo se traduce en una disminución del recuento de bacterias relevantes para la aparición de caries. De ese modo se dispone de un parámetro objetivable que permite comprobar tanto la calidad de nuestros esfuerzos preventivos como el cumplimiento del paciente. Por consiguiente, el conocimiento de los parámetros subclínicos constituye una información importante para efectuar una valoración de la buena o mala salud oral del paciente.

En caso de que el paciente presente zonas expuestas en el área cervical de los dientes por razones derivadas de la edad o por una enfermedad periodontal, los parámetros subclínicos salivales funcionales adquieren entonces una importancia mayor: la desmineralización del cemento radicular expuesto no se produce con un pH de 5,5, como en el caso del esmalte, sino que lo hace con un pH de 6,717, es decir, muy poco por debajo del pH neutro (7,0). Esto significa que cualquier ingesta de alimentos ácidos provocará forzosamente la desmineralización de la superficie radicular en caso de que el índice de secreción y la capacidad tampón de la saliva sean insuficientes; en ese supuesto ni siquiera es necesaria la actividad bacteriana.

¿Cuándo se debe incluir a los pacientes pediátricos en un programa de profilaxis intensiva?

Una dentición sana a los dos años de edad no ofrece ninguna pista sobre el riesgo de caries. Los resultados arrojados por estudios de Tenovuo et al21, Kristoffersson et al12 y Köhler et al9, además de las conclusiones de una revisión de Thenisch et al22, demuestran que sólo el recuento de SM ofrece indicios fiables para evaluar la evolución de la caries en el futuro. Cuando se detecta la presencia de SM en la saliva el riesgo de caries se multiplica por 2 y, si se detecta su presencia en la placa adherida al diente, el riesgo se multiplica por 4. Si además se evidencia un elevado consumo de azúcar por parte del niño, entonces el riesgo se incrementa en consecuencia18.

Tenovuo et al21 pudieron demostrar que la presencia de SM a la edad de 2 años adquiere un valor predictivo positivo del 92% de aparición de caries en los próximos años. Si la demostración de la presencia de SM es posterior (a la edad de 3 o 4 años), disminuyen la prevalencia de caries y la precisión de la predicción. En este sentido, Powell19 ya demostró en su trabajo «Caries prediction: a review of the literatura» que el recuento de SM presentes en la saliva es el mejor factor predictivo del riesgo de caries en la dentición temporal. De esto se deriva que las denticiones sanas de niños de dos años de edad en las que se ha detectado la presencia de SM se deben vigilar muy de cerca.

La prueba de detección se puede realizar con un frotis de la placa o impregnando una espátula de madera con saliva (figs. 4a y 4b). En nuestra consulta ha demostrado ser muy eficaz el siguiente procedimiento preventivo terapéutico en pacientes de esta clase de edad en los que se ha detectado presencia de SM:

Figura 4a. Frotis de placa.

Figura 4b. Detección de la presencia de estreptococos mutans en la saliva por medio del CRT (Caries Risk Test, Ivoclar Vivadent).

• Limpieza profesional de las caras oclusales y de los espacios interdentales (siempre que sea posible).

• Aplicación de un barniz de clorhexidina y timol en las caras oclusales (como Cervitec, Ivoclar Vivadent, Ellwangen. Preferentemente se aplicará este barniz tres veces en un espacio de dos semanas).

• Control de la dieta (evitar alimentos y bebidas azucarados, reducir la frecuencia de ingestión de azúcar).

• Fluoruración (tópica).

• Citas de control para profilaxis cada quince días durante las siguientes 6 a 8 semanas.

También se ha mostrado muy eficaz la adopción de las siguientes medidas por parte de nuestros pequeños pacientes en casa:

• Un cepillado semanal de dientes con gel de clorhexidina al 0,2% durante 12 semanas24 (clase de edad a partir de los 10 meses).

• Limpieza de las caras oclusales de los molares temporales en fase de erupción con gel de clorhexidina para minimizar el riesgo de colonización en la cavidad oral del niño, puesto que las caras oclusales son los principales refugios o nichos ecológicos de SM1.

• Limpieza de los espacios interdentales con hilo dental8.

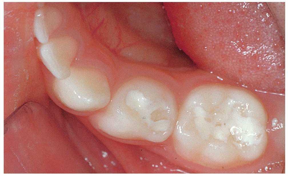
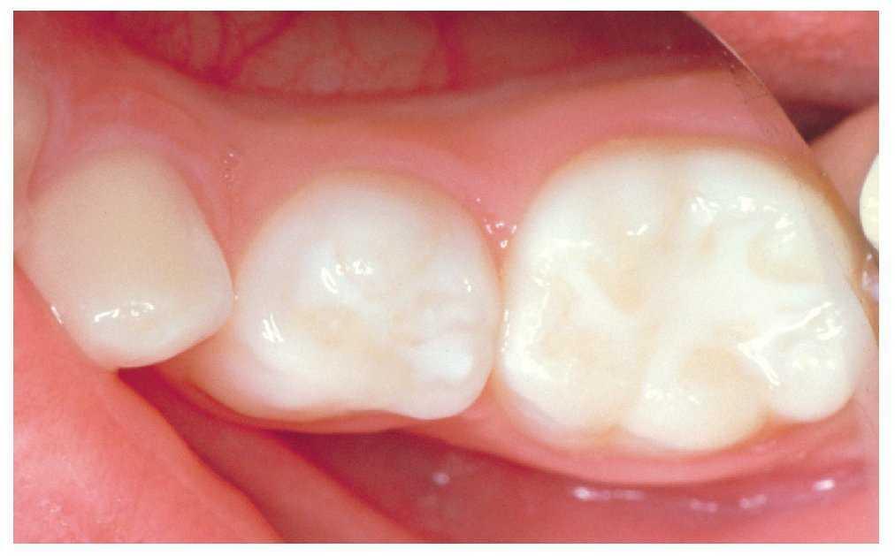
Después del tratamiento conviene realizar un nuevo frotis de las caras oclusales para comprobar el éxito de las medidas preventivas. Una vez finalizado el tratamiento de prevención intensivo se recomienda «sellar» las caras oclusales con un cemento de ionómero de vidrio (figs. 5a y 5b).

Figura 5a. Protección de las car as oclusales con un cemento de ionómero de vidrio (2000) fluido que se coloca en la superficie oclusal seca con un aplicador de bola y acto seguido se cubre con vaselina (o manteca de cacao).

Figura 5b. Sustitución del cemento de ionómero de vidrio por un sellador de composite (2003). Se elimina el cemento de ionómero de vidrio por medio de un instrumento ultrasónico y a continuación se sella el diente temporal. Conviene tener en cuenta que el cemento de los dientes temporales es un esmalte aprismático, por lo que es necesario prolongar el tiempo de grabado.

¿Cuándo se debe incluir a los pacientes adultos en un programa de profilaxis intensiva?

Axelsson2 definió acertadamente los parámetros de un riesgo alto de caries. Sin embargo, en este sentido hay que decir que el riesgo de caries definido por este autor no necesariamente incluye la amenaza de caries en determinados lugares del biotopo de la cavidad oral. El tipo de diagnóstico que se ajusta a dichos parámetros ofrece únicamente una visión global del estado del biotopo de la cavidad oral en su conjunto, pero no necesariamente tiene en cuenta el riesgo de caries de un punto determinado. De modo que, pese a la inexistencia de un riesgo de caries general, es posible que ciertos puntos débiles morfológicos o malposiciones dentarias del biotopo de la cavidad oral den lugar a microbiotopos que pueden provocar caries en dichos puntos. Algunos ejemplos clásicos son las discrepancias marginales en coronas y obturaciones, los espacios interproximales, los nichos en apiñamientos o las caras oclusales retentivas debido a una morfología caracterizada por una gran cantidad de fosas y fisuras en las que quedan atrapadas bacterias y restos de alimentos. Esto significa que, además de la estimación del riesgo de caries general, el control y la eliminación de microbiotopos deben ser dos objetivos primordiales de nuestro plan de acción preventivo.

El enfoque terapéutico general se basa en descubrir los factores lesivos del diente. Una vez localizados, deben ser tratados de modo que el factor «lesivo» sea sustituido por un parámetro «protector» (tabla 2). Para lograr dicho objetivo tenemos a nuestra disposición suficientes medidas profilácticas contra la caries que nos ofrecen posibilidades terapéuticas óptimas en la práctica diaria:

• Fluoruros: fluoruros de aminas, fluoruros de estaño, CaPO4, preparados de fluoruro de alta concentración, como Elmex gel (Gaba, Lörrach), pasta dentífrica y barniz Duraphat (Colgate-Palmolive, Hamburgo), entre otros, o colutorios fluorados.

• Sellado de nichos ecológicos de bacterias cariogénicas: materiales de composite fluidos y materiales de sellado (fisuras, discrepancias marginales).

• Higiene oral: productos especiales para la limpieza oral, hilo dental y cepillos sónicos, remoción de placa profesional en la consulta en función de las circunstancias personales.

• Mejora del flujo salival: mascar chicle, alimentos que activan la masticación, preparados con bicarbonato sódico.

• Dieta: sustituir los productos azucarados por productos con edulcorantes, por ejemplo productos con xilitol o con el sello del «Diente Feliz».

• Modulación del número de bacterias: productos con clorhexidina, fluoruro de estaño, bacterias probióticas.

La figura 6 muestra esquemáticamente los elementos que tenemos hoy a nuestra disposición para prevenir la caries.

Figura 6. Elementos de la profilaxis.

¿Cuándo se debe incluir a los pacientes geriátricos en un programa de profilaxis intensiva?

Con frecuencia el riesgo de caries se evidencia clínicamente con la aparición de una caries radicular. Las patologías somáticas van asociadas al uso de fármacos sistémicos. Entre los efectos secundarios de muchos de estos fármacos necesarios para el paciente se encuentran la disminución del flujo salival (valor normal: 1 ml/min). Como consecuencia de dicha disminución se reduce también la concentración de bicarbonato sódico en la saliva, lo que provoca a su vez una merma de su capacidad tampón (< pH 5). Esto trae consecuencias como la incapacidad de reaccionar adecuadamente a la ingesta de alimentos o bebidas ácidos del biotopo de la cavidad oral, lo que genera un medio permanentemente ácido que provoca la desmineralización del tercio radicular. Entre los numerosos factores de riesgo que existen (según Billings3, Galan y Lynch7, Vehkalahti y Paunio23), los principales y los que se suelen establecer con más facilidad en la consulta dental son:

• Elevado consumo de azúcar

• Higiene oral deficiente

• Enfermedades periodontales

• Recesiones gingivales

Los siguientes parámetros se consideran valores umbral de los factores de riesgo:

• Edad: 65 años

• Índice de placa: 50%

• Predisposición a sufrir caries radicular: 5 COS

• Recuento de lactobacilos: 100.000 UFC/ml

• Recuento de estreptococos mutans: 500.000 UFC/ml

• Índice de secreción: 0,7 ml/min

• Capacidad tampón de la saliva: < pH 4,5

• Hábitos alimentarios: seis ingestas de azúcar al día

De los valores umbral de los factores de riesgo se deduce que sólo con un control de los parámetros subclínicos (índice de secreción, pH, capacidad tampón) se pueden obtener precozmente evidencias del riesgo de caries en las superficies radiculares expuestas. Asimismo, se entiende que sólo un control permanente de dichos parámetros subclínicos permitirá detectar a tiempo una variación del riesgo. En este sentido la cuestión del estado de ánimo y de salud física general de nuestros pacientes geriátricos es un aspecto clave del consiguiente tratamiento preventivo.

En este ámbito, de todos los elementos que componen nuestra estrategia de prevención contra la caries, los más importantes son la modulación del número de bacterias (gel/barniz de clorhexidina) y la aplicación de productos con una alta concentración de fluoruro (como el dentífrico Duraphat). La aplicación de films de suspensión refuerza el efecto preventivo, dado que éstos endurecen en presencia de saliva volviéndose persistentes y logrando una acción prolongada de su principio activo en el punto de aplicación15.

Resumen

El peso de los distintos factores etiológicos en la determinación del riesgo de caries individual varía en función de la edad del paciente. Salvo en el grupo de niños menores de cuatro años, la estimación del riesgo de caries exige siempre registrar minuciosamente todos los parámetros clínicos y subclínicos implicados en la enfermedad de la caries y evaluarlos conjuntamente. Una vez hemos llevado a cabo nuestras acciones preventivas, la reevaluación de los parámetros clínicos y en especial de los subclínicos nos permite analizar objetivamente el grado de éxito de nuestro tratamiento y valorar el cumplimiento del paciente. El conocimiento de los parámetros subclínicos ofrece información precisa importante para efectuar una valoración clínica de la buena o mala salud oral del paciente. Las herramientas necesarias para obtener el diagnóstico son de todos conocidas y están disponibles de forma ubicua. Gracias a los avances científicos de los últimos decenios hoy día se pueden aplicar medidas terapéuticas eficaces en la profilaxis de la caries. Las soluciones profilácticas abarcan desde principios activos para la mineralización (fluoruro) hasta instrumentos perfeccionados para la higiene oral (cepillos dentales sónicos, cepillos interproximales, etc.), pasando por materiales de sellado, sustitutos del azúcar con efecto antibacteriano (como xilitol), medidas para estimular el flujo salival, soluciones para la modulación del número de bacterias (clorhexidina, fluoruro de estaño, bacterias probióticas) y, por encima de todo, una asistencia preventiva consecuente en la consulta dental. Todo ello debería hacer posible una atención preventiva generalizada basada en la estimación del riesgo de caries individual.


Correspondencia: L. Laurisch.

Arndtstrabe 25, 41352 Korschenbroich, Alemania.

Correo electrónico: lutz@dr-laurisch.de

Bibliografía
[1]
Alaki SM, Loesche WJ, da Fonesca MA, Feigal RJ, Welch K..
Preventing the transfer of Streptococcus mutans from primary molars to permanent first molars using chlorhexidine..
, 24 (Pediatr Dent 2002), pp. 103-108
[2]
Axelsson P..
Methode zur Bestimmung des Kariesrisikos..
, 7 (Phillip J 1990), pp. 181-187
[3]
Billings RJ..
Epidemiologie, Ätiologie, Prävention und Management von Wurzelkaries. Vortrag, 2. Tübinger Konsenssymposion/Jahres-kongress der IHCF: Der Zahnhals - Locus minoris resistentiae. Tübingen, 21..
-22. , (Juni 1996),
[4]
Billings RJ, Brown LR, Kaster AG..
Contemporary treatment strategies for root surface dental caries..
, 1 (Gerodontics 1985), pp. 20-27
[5]
Bratthall D..
Dental caries: intervened - interrupted - interpreted..
Concluding remarks and cariography. ,
[6]
Bratthall D..
Kariesrisiko-Management auf der Basis von Speichelund Plaquediagnose. In: Schneider H (Hrsg)..
Plaque - Prophylaxe und Therapie. , 43-51 (Linnich: Apollonia, 1998),
[7]
Galan D, Lynch E..
Epidemiology of root caries..
, 102 (Gerodontology 1993), pp. 59-71
[8]
Hujoel PP, Cunha-Cruz J, Banting DW, Loesche WJ..
Dental flossing and interproximal caries: a systematic review..
, 85 (J Dent Res 2006), pp. 298-305
[9]
Köhler B, Pettersson BM, Bratthall D..
Streptococcus mutans in plaque and saliva and the development of caries..
, 89 (Scand J Dent Res 1981), pp. 19-25
[10]
König K..
Karies und Parodontopathien..
, Thieme, 1987 (Stuttgart),
[11]
Krasse B..
Die Quintessenz des Kariesrisikos..
, Quintessenz, 1986 (Berlin),
[12]
Kristoffersson K, Gröndahl HG, Bratthall D..
The more Streptococcus mutans, the more caries on approximal surfaces..
, 64 (J Dent Res 1985), pp. 58-61
[13]
Laurisch L..
Die Bestimmung des individuellen Kariesrisikos - Voraussetzung für eine Prophylaxe nach Maß..
, 10 (Oralprophylaxe 1988), pp. 126-133
[14]
Laurisch L..
Individualprophylaxe: Diagnostik und Therapie des individuellen Kariesrisikos..
[15]
Laurisch L..
Prophylaxe interaktiv..
CD-ROM. , Quintessenz, 2001 (Berlin),
[16]
Laurisch L..
Diagnostik und Therapie der Wurzelkaries..
, 53 (Quintessenz 2002), pp. 337-350
[17]
Lehmann RR..
Ökologie der Mundhöhle, Stuttgart..
, Thieme, 1991
[18]
Pienihäkkinnen K, Jokela J, Alanen P..
Assessment of caries risk in preschool children..
, 38 (Caries Res 2004), pp. 156-162
[19]
Powell LV..
Caries prediction: a review of the literature..
, 26 (Community Dent Oral Epidemiol 1998), pp. 361-371
[20]
Tenovuo J, Häkkinen P, Paunio P..
Prevention of colonization of primary teeth by Mutans streptococci reduces dental caries in children..
, 70 (J Dent Res 1991), pp. Abstr 748
[21]
Tenovuo J, Lehtonen OP, Aaltonen AS..
Caries developoment in children in relation to the presence of mutans streptococci in dental plaque and of serum antibodies against whole cells and protein antigen I/II of Streptococcus mutans..
, 24 (Caries Res 1990), pp. 59-64
[22]
Thenisch NL, Bachmann LM, Imfeld T, Leisebach Minder T, Steurer J..
Are mutans streptococci detected in preschool children a reliable predictive factor for dental caries risk? A systematic review..
, 40 (Caries Res 2006), pp. 366-374
[23]
Vehkalahti MM, Paunio IK..
Occurence of root caries in relation to dental health behavior..
, 67 (J Dent Res 1988), pp. 911-914
[24]
Wan AK, Seow WK, Purdie DM, Bird PS, Walsh LJ, Tudehope DI..
The effects of chlorhexidine gel on Streptococcus mutans infection in 10-month-old infants: a longitudinal, placebo-controlled, double-blind trial..
, 25 (Pediatr Dent 2003), pp. 215-222
Descargar PDF