INTRODUCCION
Los tumores de células germinales son todas aquellas neoplasias cuyo origen se encuentra en las células germinales primitivas de la gónada embrionaria. Corresponden al 20% de todos los tumores ováricos, presentándose con mayor frecuencia en mujeres de 20 a 30 años. Dentro de estos tumores, el disgerminoma es el más frecuente, y supone hasta el 5% de los procesos ováricos malignos. En la figura 1 presentamos el esquema de clasificación de los tumores de células germinales del ovario que propone Disaia y Creasman1.
Figura 1. Clasificación de tumores de células germinales.
CASO CLINICO
Paciente de 19 años de edad, que acudió a nuestra consulta por amenorrea primaria. Refiere que 2 años antes le indujeron una regla y le administraron tratamiento hormonal sustitutivo durante 6 meses, con lo que tuvo reglas normales. Al suspender el tratamiento volvió a quedar en amenorrea. No presentaba sintomatología acompañante como cefalea ni galactorrea, y no estaba recibiendo medicación alguna.
En la exploración clínica destacaban unas mamas poco desarrolladas para su edad, con hipertrofia del clítoris moderada pero evidente. Por tacto rectal el útero y los anexos aparentemente eran normales. En cuanto a las pruebas complementarias, tirotropina (TSH), tiroxina (T4) libre y prolactina eran normales, con testosterona de 74 ng/ml (límite alto), estradiol menor de 25 ng/ml, folitropina (FSH) de 76,5 y lutropina (LH) de 77,6 mU/ml. El cariotipo de la paciente era 46XY.
Con el diagnóstico de disgenesia gonadal con cariotipo 46 XY se decidió la extirpación laparoscópica del tejido gonadal para tratar de evitar su malignización. Los padres de la paciente no aceptaron en un primer momento la indicación quirúrgica, lo que supuso un retraso en la intervención de 4 meses.
En la laparoscopia se observó un útero muy atrófico y las trompas normales, el ovario derecho tumoral de unos 7 cm de diámetro, de aspecto sólido, superficie lisa, color amarillento y con pedículo muy largo. El ovario izquierdo también tumoral, de superficie algo irregular, color blanco amarillento y de unos 4 cm de diámetro (fig. 2). Ante los hallazgos se reconvirtió la laparoscopia en laparotomía, realizándose lavado peritoneal, anexectomía bilateral, linfadenectomía de los vasos ilíacos externos y exploración rigurosa de linfáticos pélvicos y aórticos. El curso del postoperatorio fue normal, los marcadores tumorales postintervención fueron negativos y en la tomografía computarizada (TC) toracoabdominal y pélvica no se apreciaron adenopatías.
Figura 2.Imagen laparoscópica con ambos ovarios de aspecto tumoral.
El diagnóstico histopatológico en el anejo derecho fue de disgerminoma, y en el izquierdo, de gonadoblastoma con amplias áreas de disgerminoma. La citología del lavado peritoneal fue positiva para células malignas.
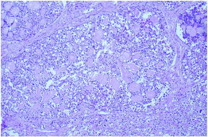
En la sección del ovario derecho se observa que es una tumoración de superficie de corte homogéneo, aspecto edematoso y brillante, en el que no se aprecian áreas de necrosis o hemorrágicas (fig. 3). Microscópicamente se aprecia que la tumoración se dispone formando nidos y trabéculas separadas por finos ejes de tejido conectivo (fig. 4). A mayor aumento, estos ejes conectivos contienen abundantes linfocitos maduros. En el disgerminoma se poduce una importante reacción inflamatoria (fig. 5), mientras que las células tumorales muestran un tamaño medio-grande con un citoplasma bien delimitado y tinción clara, los núcleos son redondos y presentan nucléolos llamativos y cromatina desarrollada (fig. 6).
Figura 3. Fotografía macroscópica del disgerminoma en el ovario derecho.
Figura 4. Disgerminoma con ejes conectivos que forman nidos y trabéculas tumorales.
Figura 5.Estroma infiltrada por linfocitos en el disgerminoma.
Figura 6.El disgerminoma se caracteriza histológicamente por la presencia de grandes células con nucléolos evidentes.
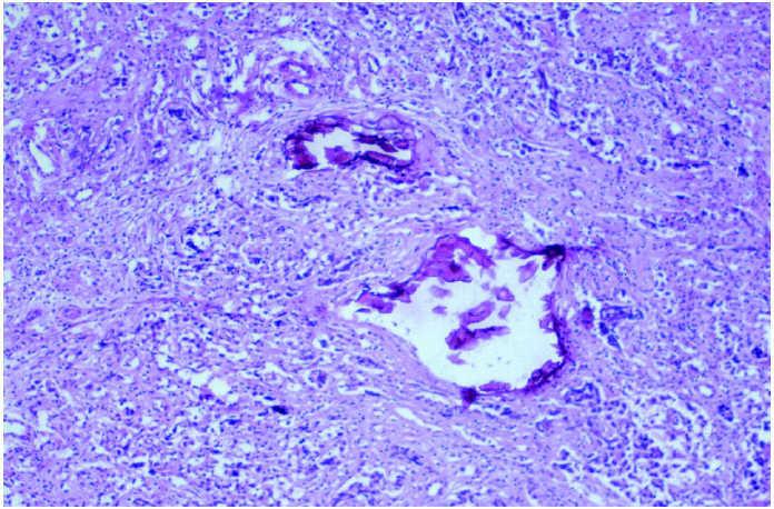
En la figura 7 se observa que el ovario izquierdo es una formación más pequeña, nodular e irregular en comparación con el anterior. A la sección muestra una tumoración en 2 nódulos con una superficie de corte homogénea que recuerda al ovario derecho, y otras áreas de aspecto espiculado y granular que corresponderían al gonadoblastoma (fig. 8). Microscópicamente, las secciones muestran una tumoración con un área similar al tumor del ovario derecho, disgerminoma, mientras que en otras presenta abundantes calcificaciones y nidos tumorales que se disponen en una formación típica que recuerda los folículos primitivos, con pequeñas acumulaciones de material eosinófilo acelular en su interior, similar a los cuerpos de Call-Exner. Por último, y de forma característica, se aprecian zonas calcificadas, lo que le confiere un aspecto granular (figs. 9-11).
Figura 7.Imagen macroscópica de los tumores de ambos ovarios.
Figura 8. Fotografía macroscópica del gonadoblastoma en el ovario izquierdo.
Figura 9.Aspecto microscópico del gonadoblastoma con 2 áreas definidas, una que recuerda al disgerminoma y otra con calcificaciones y nidos tumorales.
Figura 10. Gonadoblastoma con acumulaciones de material eosinófilo en los nidos tumorales.
Figura 11.El gonadoblastoma se caracteriza histológicamente por la presencia de calcificaciones.
La paciente recibió tratamiento adyuvante con poliquimioterapia, 6 ciclos con carboplatino y ciclofosfamida que fueron bien tolerados. Posteriormente, se inició tratamiento hormonal sustitutivo con el fin de conseguir sangrado menstrual periódico, así como los beneficios sistémicos de la terapia hormonal. En la actualidad el seguimiento clínico, analítico y de imagen no ha demostrado la aparición de recidivas tras 7 años del diagnóstico inicial.
DISCUSIÓN
El disgerminoma, por lo general, se presenta en un estadio relativamente precoz, la mayoría IA (65-75%), siendo diagnosticados por aumento del tamaño abdominal, como un hallazgo en una cesárea o bien en mujeres estudiadas por amenorrea primaria, no siendo infrecuente en este caso encontrarlo asociado a disgenesia gonadal y gonadoblastoma. Puede ser bilateral hasta en un 15% de los casos, a diferencia del resto de los tumores germinales del ovario, que lo son muy raramente. Las pacientes con disgerminoma pueden tener elevados los niveles séricos de lactatodeshidrogenasa o gonadotropina coriónica humana, por contener el tumor células gigantes sincitiotrofoblásticas productoras de gonadotropinas1.
La extensión metastásica del tumor se produce inicialmente a través del sistema linfático, de ahí la importancia de valorar quirúrgicamente la posible afectación de los ganglios paraórticos y pélvicos. La diseminación hematógena es más tardía hacia hígado, pulmón y hueso.
El tratamiento en estadios iniciales ha de ser conservador ya que se trata generalmente de mujeres jóvenes deseosas de preservar su fertilidad, siendo el tratamiento aceptado anexectomía unilateral conservando el útero y el ovario opuesto. Además, se realizará la exploración cuidadosa del otro ovario y exploraciones dirigidas a descartar la diseminación de la enfermedad1,2. Debe realizarse biopsia de los ganglios pélvicos y paraórticos con objeto de efectuar una estadificación quirúrgica adecuada3, en caso contrario se indicará una linfangiografía postoperatoria o TC. Por lo tanto, las pacientes con tumores en estadio IA pueden no recibir tratamiento adyuvante, los tumores en etapas más avanzadas deberán recibirlo4. Actualmente las opciones en terapia adyuvante son la radioterapia o quimioterapia siendo la desventaja de la primera la pérdida de la fertilidad. En cuanto a la quimioterapia, no se ha encontrado la asociación óptima de fármacos, aún así parece que las combinaciones que contienen cisplatino, etopósido y bleomicina son las preferidas debido a una tasa de recidiva más baja y a un tratamiento más corto. En pacientes bien clasificadas con tumores completamente resecados, la recaída es prácticamente desconocida después de tratamiento con platino5,6.
Por lo que respecta a estadios más avanzados de la enfermedad (II, III y IV), se recomienda efectuar una histerectomía abdominal total y anexectomía bilateral con extirpación de la mayor cantidad de tumor macroscópico que se pueda hacer con seguridad. Las pacientes que desean preservar su fertilidad pueden ser tratadas con anexectomía unilateral y quimioterapia7-11.
El gonadoblastoma está formado por células que recuerdan al disgerminoma y al tumor de la granulosa o de Sertoli. Es el tumor que con más frecuencia se asocia con una gónada disgenética, habitualmente fenotipo femenino con cromosoma Y. El pronóstico es bueno si se extirpa el tumor y la gónada contralateral, que puede estar afectada por el tumor. Aunque en el 50% de los casos se asocia con disgerminoma, el pronóstico continúa siendo excelente.
El tratamiento habitualmente en los casos de disgerminoma asociado a gonadoblastoma ha sido radical debido a la bilateralidad del tumor y la ausencia de función gonadal, sin embargo, no hay consenso y algunos grupos de trabajo prefieren conservar el útero por razones psicológicas y a la posibilidad actual de fecundación in vitro sin gónadas1.
Esta última ha sido la conducta realizada en el caso presentado.
Este artículo se publica a petición de los autores como consecuencia de errores de transcripción del apartado de discusión así como error en el nombre de uno de los autores.
Correspondencia:
Dra. R. Abelleira Sanjurjo.
Servicio de Obstetricia y Ginecología. Hospital Arquitecto Marcide.
Estrada San Pedro-Catabois, s/n. 15405.
El Ferrol. A Coruña. España.
Correo electrónico: abelleira71@yahoo.es
Fecha de recepción: 10/2/05.
Aceptado para su publicación: 12/4/05.












