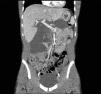
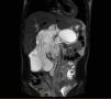
Varón de 23 años que acude a urgencias por dolor epigástrico irradiado a espalda. Analítica con leucocitosis y aumento de PCR. En la TC de abdomen, hallazgos compatibles con pancreatitis aguda junto a colecciones líquidas retroperitoneales sugestivas de linfangioma quístico retroperitoneal (fig. 1). Se completa el estudio con RMN pancreática que confirma el diagnóstico (fig. 2).
Se trata de una enfermedad benigna, rara en adultos. En la mayoría de los casos la forma de presentación es asintomática. La tendencia actual en el tratamiento es el seguimiento clínico del paciente dada la alta tasa de recurrencia tras la cirugía y la morbilidad asociada.



