INTRODUCCIÓN
Las fracturas y luxaciones del astrágalo se presentan como uno de los mayores desafíos para el traumatólogo1. Constituyen el 3,4% de todas las fracturas del pie2,3, y los resultados clínicos suelen ser bastante pobres debido al importante número complicaciones, como la pseudoartrosis, la artrosis (OA) y/o la necrosis avascular (NAV).
El astrágalo es un hueso único porque no presenta ninguna inserción muscular y el 70% de su superficie está cubierto por cartílago articular4-7.
La mayoría de su aporte vascular se alcanza a través de la cápsula o por sus inserciones ligamentosas al hueso8.
Para definir las características de cada fractura se debería entender el mecanismo de lesión, la distribución de las fuerzas de carga y el traumatismo sobre las partes blandas9.
Hay pocos trabajos publicados con los resultados de los tratamientos aplicados con base científica objetiva, quizá por la dificultad de obtener un número suficiente de accidentados de forma prospectiva, para evaluar distintos tipos de tratamiento7.
El cirujano que trate dichas fracturas debería estar preparado para realizar una meticulosa reducción --menos de 2 mm de desplazamiento10-- y fijación, manteniendo un atento seguimiento posterior así como el tratamiento de las posibles complicaciones que pudieran surgir a pesar del adecuado tratamiento1,11.
Nuestro último objetivo sería que el paciente pudiera volver al máximo nivel de funcionalidad, sin dolor y con un adecuado balance articular12,13.
Se ha querido evaluar los resultados clínicos de las fracturas y luxaciones del astrágalo tratadas en nuestro servicio, así como el número de complicaciones y grado de secuelas de estas lesiones.
MATERIAL Y MÉTODO
Se ha revisado retrospectivamente 38 casos de fracturas y luxaciones del astrágalo tratadas en el Servicio de Traumatología del Hospital Infanta Elena (Huelva) durante el período comprendido entre 1994-2000 (7 años).
La edad media de los pacientes fue de 30,7 años (rango, 13-62 años); la mayoría ocurrió en varones con un 76,3% (29 casos) y en mujeres tan sólo fue del 23,7% (9 casos).
El 63,15% (24) de los casos fue en el lado derecho y un 36,85% (14) en el lado izquierdo. No se observó ningún caso bilateral.
El mecanismo lesional más frecuente fue los accidentes de circulación con 17 (43,7%) casos, seguido de las caídas de altura con 9 (23,68%) casos; la torsión de tobillo ocurrió en 7 (18,3%) pacientes y otras causas en 5 (13,15%) casos (fig. 1).
Fig. 1. --Mecanismo lesional.
Fig. 1. --Lesional mechanism.
En todos los casos se hicieron estudios radiográficos simples en el Servicio de Urgencias, incluyendo las proyecciones anteroposterior, lateral y oblicua y en varios casos se complementaron con una tomografía computarizada (TC).
La distribución del tipo de fracturas y luxaciones se muestra en la figura 2.
Fig. 2. --Distribución de las lesiones.
Fig. 2. --Distribution of the lesions.
Se ha seguido la clasificación de Hawkins (fig. 3) para las fracturas del cuello del astrágalo, y se han encontrado 16 (42,10%) casos: 6 fracturas tipo I, 5 tipo II y 5 tipo III.
Fig. 3. --Fracturas de cuello. Clasificación de Hawkins.
Fig. 3. --Fracture of the neck. Hawkins classification.
Se ha encontrado 11 (28,94%) casos de fracturas del cuerpo del astrágalo que fueron distribuidas según la clasificación de DeLee (fig. 4): 4 fracturas tipo A, 4 tipo B, 3 tipo C y ninguna tipo D.
Fig. 4. --Fracturas del cuerpo. Clasificación de DeLee.
Fig. 4. --Fracture of the body. DeLee classification.
Además, 4 (10,52%) casos pertenecieron a fracturas de la cabeza del astrágalo; 2 de ellas fueron fracturas osteocondrales.
Por último, se observaron 7 (18,42%) casos de luxaciones puras del astrágalo; 5 (71,4%) casos fueron luxaciones mediales.
De las 38 fracturas, 12 (31,6%) casos se trataron de forma ortopédica con férula inmovilizadora en descarga completa durante 8-12 semanas (fig. 5), y en 26 (68,4%) se optó por realizar un tratamiento quirúrgico: 7 casos de fracturas del cuerpo; 10 de fracturas del cuello, y 2 de fracturas de la cabeza.
Fig. 5. --Tratamiento realizado
Fig. 5. --Treatment carried out.
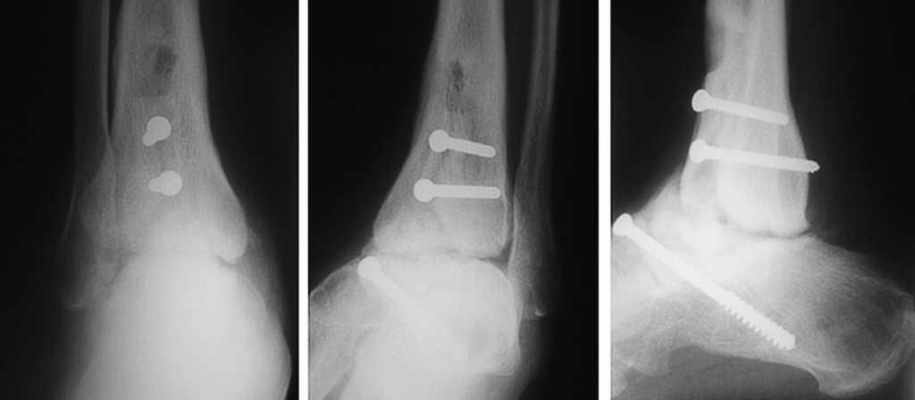
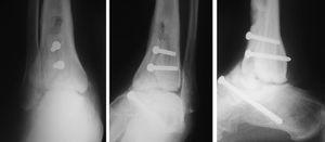
En las fracturas del cuerpo del astrágalo (7 casos) se realizó reducción abierta mediante un abordaje medial con osteotomía del maléolo tibial para visualizar todos los planos de la fractura y fijación interna (RAFI) con tornillos o agujas de Kirschner, o ambos. En 2 casos se realizó un abordaje bilateral debido a la complejidad de la fractura (fig. 6).
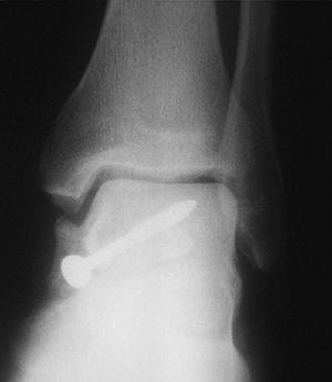
Fig. 6. --Fractura abierta de cuello de astrágalo (tipo III de Hawkins) y tratamiento realizado. Radiografías a los 16 meses.
Fig. 6. --Open fracture of the astragalus neck (Hawkins type III) and treatment carried out. Radiographies at 16 months.
En las fracturas del cuello del astrágalo (10 casos) se realizó RAFI con tornillos y agujas de Kirschner. En 4 casos el abordaje fue por vía medial; en 2 fue bilateral (medial y lateral); en 3 se usaron tornillos percutáneos canulados a compresión insertados desde posterior a anterior, y 1 caso en el que se optó por la tracción transcalcánea.
En las fracturas de cabeza astragalina (4 casos), dos de ellas se trataron con una férula posterior y cuando se evidenciaron signos de consolidación ósea se colocó un botín de carga hasta completar unas 8-10 semanas. En los otros 2 casos que presentaban afectación de más del 50% de su superficie articular se realizó RAFI.
En los 7 casos de luxación astragalina pura sin fracturas asociadas se realizó reducción cerrada (sólo en 1 caso fue necesaria la reducción abierta) y estabilización temporal con agujas de Kirschner (4 casos) más férula posterior.
Hubo una incidencia del 42,3% (3 casos) de luxaciones abiertas. Éstas se deben a la combinación de un traumatismo, que suele ser de alta energía, asociado a la debilidad de las partes blandas en esta región.
Se observó un elevado número de fracturas asociadas, que alcanzó un 26,3% (10) de los casos, como fracturas maleolares, del escafoides tarsiano, del cuboides, de los metatarsianos y de otros huesos de la economía, sobre todo en pacientes politraumatizados.
La mayoría de los pacientes permaneció una media de 75 días en descarga con una férula inmovilizadora, y comenzó a realizar carga parcial una vez comprobada la consolidación ósea en el estudio radiológico.
En nuestra casuística el 66% de los pacientes necesitó fisioterapia en el Servicio de Rehabilitación.
El período de seguimiento medio fue de 18 meses (rango, 12- 53 meses).
En el 92% de los casos se realizó profilaxis antibiótica intravenosa (cefuroxima 1.500 mg) previa a la intervención.
Los resultados obtenidos se midieron siguiendo el Clinical Rating System de tobillo y retropié de la Sociedad Americana de Cirujanos del pié y tobillo (fig. 7). Cincuenta puntos se asignan a la funcionalidad, 40 al dolor y 10 a la alineación del miembro.
Fig. 7. --Escala del tobillo-retropié de la Sociedad Americana de Cirujanos del pié y tobillo.
Fig. 7. --Ankle-hind foot scale of the American Orthopaedic Foot and Ankle Society.
Una puntuación de 100 puntos sería posible en un paciente que permaneciera sin dolor, balance articular completo del retropié, sin inestabilidad del tobillo o del retropié, con buena alineación clínica y con la posibilidad de andar más de 6 manzanas de pisos, sobre cualquier tipo de superficie, sin cojera y sin limitación de sus actividades diarias.
RESULTADOS
El 34,21% de pacientes obtuvo más de 70 puntos, el 39,47% entre 40-70 puntos y el 26,32% restante alcanzó menos de 40 puntos (fig. 8).
Fig. 8. --Resultados obtenidos siguiendo la escala Clinical Rating System.
Fig. 8. --Results obtained using the Clinical Rating System
Las complicaciones encontradas se presentan en la tabla 1. Las más significativas han sido: 8 casos de OA, 7 de NAV, 2 de osteomielitis aguda, 1 infección superficial, 8 pacientes con osteoporosis y 2 casos de necrosis de la herida.
No se observó ningún caso con déficit neurovascular, atrapamiento tendinoso ni distrofia ósea simpaticorrefleja.
Las secuelas a largo plazo (considerando éstas a partir de los 24 meses del traumatismo) han sido evidentes en el 26,32% de los casos, destacando el dolor que no cede con antiinflamatorios no esterooideos, la cojera y la disminución del rango articular del tobillo. El tratamiento de éstas ha sido fundamentalmente la realización de artrodesis selectivas.
DISCUSIÓN
Las fracturas del astrágalo constituyen aproximadamente el 1% de todas las fracturas; de la misma forma, las luxaciones astragalinas son muy infrecuentes, y representan el 1% de todas las luxaciones traumáticas14.
La relativa infrecuencia de esta patología contribuye a la pérdida de datos objetivos evidentes a la hora de aplicar el tratamiento ideal y, igualmente, cuando se valoran los resultados1,7,15. La principal causa, tanto en nuestro estudio como en otras series, son los accidentes de circulación7,14-17.
En la bibliografía se han publicado resultados muy diferentes respecto a las fracturas y luxaciones del astrágalo. Nuestra revisión es un estudio descriptivo, retrospectivo y, por ello, se sabe que los resultados obtenidos tiene un valor limitado desde el punto de vista metodológico, ya que es difícil compararla con otras series debido al uso de diferentes métodos de tratamiento y escalas de valoración.
Muchos autores insisten en la importancia de un diagnóstico precoz y aplicar un tratamiento urgente --siempre que se pueda-- así como una reducción lo más anatómica posible, dada la alta frecuencia de OA que estas lesiones originan1,11,13,18-20.
Se considera fundamental una correcta definición y clasificación de la lesión. Se ha utilizado la clasificación de Hawkins21 para las fracturas del cuello del astrágalo y la de DeLee22 para las del cuerpo, por su claridad, aplicabilidad clínica y por ser las más utilizadas en la bibliografía.
El patrón de fractura más frecuente en nuestra serie fue el de cuello del astrágalo (42,10%), y el de luxación fue la medial (71,4%), coincidiendo con la mayoría de las series revisadas.
Como resultado final de nuestra revisión, se ha obtenido un 34,21% de pacientes con más de 70 puntos en la escala Clinical Rating System20, y todos ellos presentaban un excelente o alto grado de satisfacción personal; por el contrario, un 26,32% de los pacientes obtuvo menos de 40 puntos --la gran mayoría de estos necesitará de otros tratamientos.
Debido a las lesiones asociadas de tejidos blandos y a la compleja anatomía del astrágalo, son comunes las complicaciones asociadas a las fracturas y luxaciones de éste11. A medida que aumenta la gravedad de la fractura, también lo hace la tasa de complicaciones.
A continuación se desarrollan las complicaciones más frecuentes de las fracturas y luxaciones del astrágalo por su importancia clínica.
Artrosis
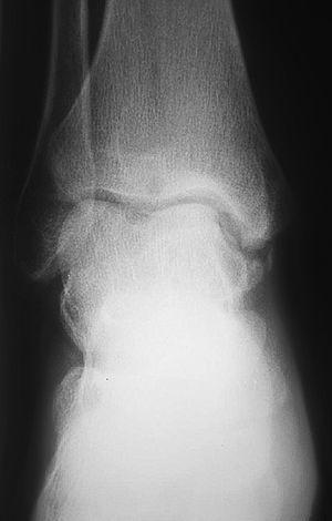
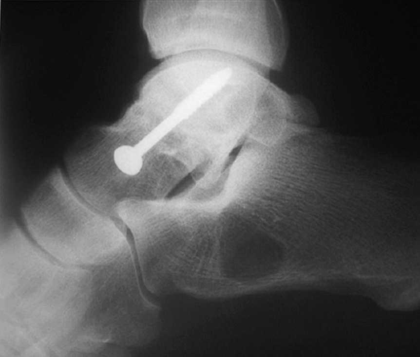
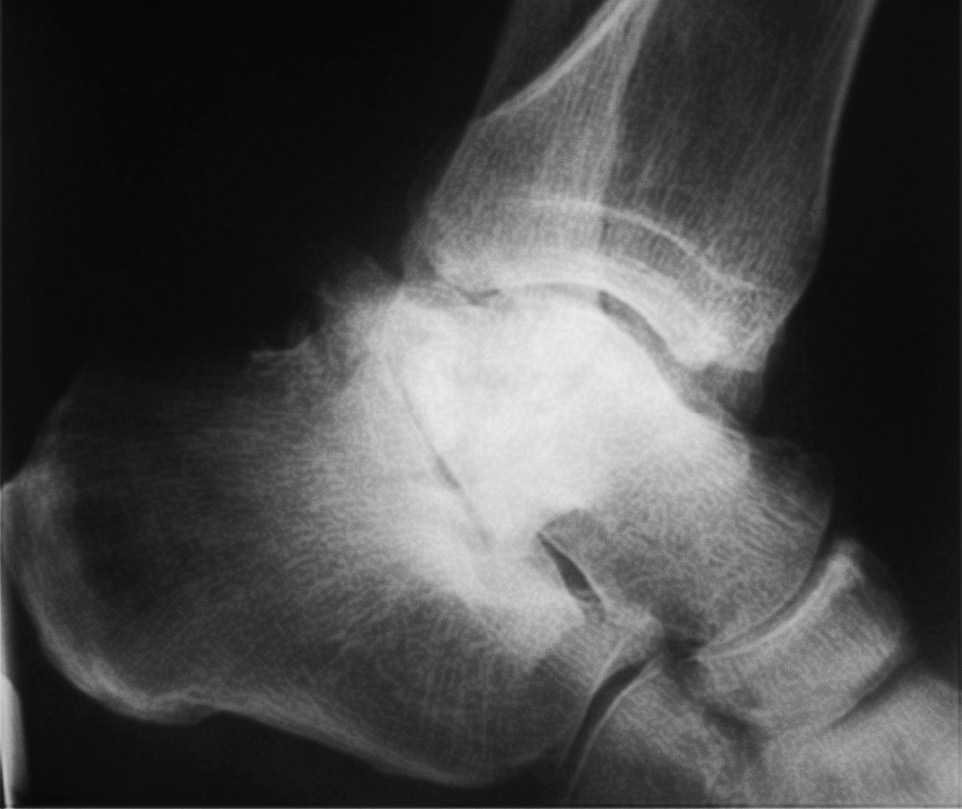
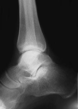
El seguimiento a la largo plazo de las fracturas del astrágalo identifica que la causa más común de los resultados pobres está asociada con la OA subastragalina, tibioastragalina y talonavicular, tanto en nuestra revisión, que alcanzó al 21% (8) de los casos (figs. 9 y 10), como en otros trabajos revisados15,17,19,22,23.
Fig. 9. --A) Fractura del cuerpo del astrágalo tipo B más rotura completa de los 3 ligamentos laterales del tobillo. B) Abordaje bilateral. Osteosíntesis. Sutura de ligamentos. Radiografía y tomografía computarizada a los 18 meses. Artrosis subastragalina y tibioastragalina.
Fig. 9. --a: Type B fracture of the astragalus with complete rupture of the 3 lateral ankle ligaments. b: Bilateral approach. Osteosynthesis. Ligament suture. Radiography and CT at 18 months. Sub-astragalar and tibio-astragalar arthrosis.
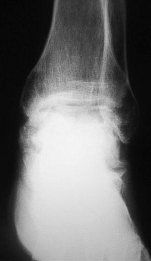
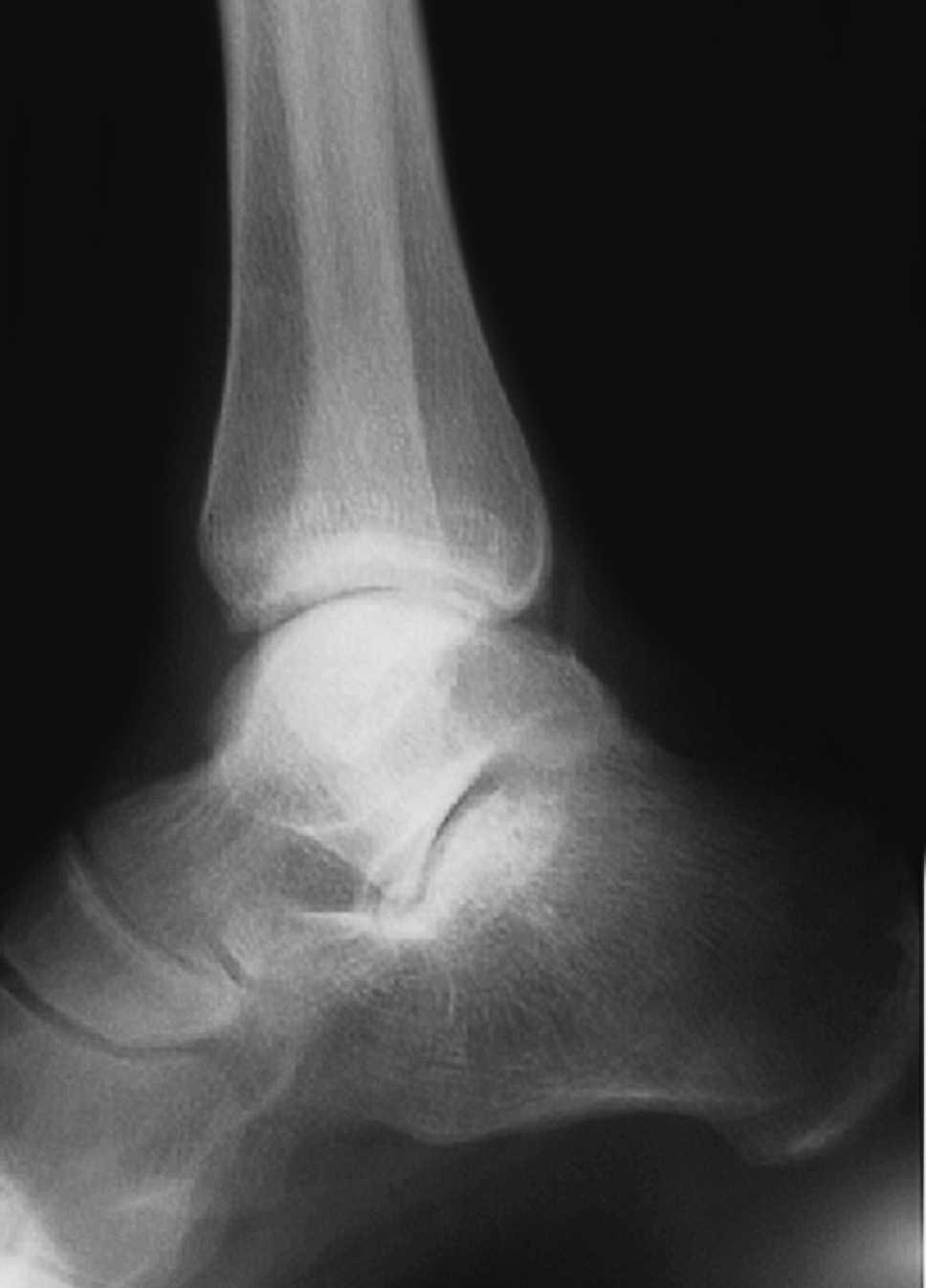
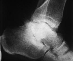
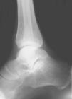
Fig.10. --Resultado a los 32 meses. 50° de BA. NAV del cuerpo y artrosis subastragalina y tibioastragalina
Fig.10. --Results at 32 months. BA 50º. Avascular necrosis of the astragalus and sub-astragalar and tibio-astragalar arthrosis.
Higgins y Baumgaertner1 citan un 36-75% de OA en las fracturas tipo II de Hawkins y un 69-100% en las tipo III.
Mateos et al15 obtienen un 41% de OA, sobre todo a expensas de la articulación subastragalina. El tiempo fuera del trabajo varía de 4 a 6 meses.
Las opciones terapéuticas incluyen la carga protegida, la medicación no esteroidea, las infiltraciones locales, la talectomía y la artrodesis.
En nuestro caso ya se han artrodesado 4 (50%) pacientes, y los otros 4 refieren poder realizar una actividad diaria aceptable por lo que no quieren intervenirse.
Necrosis avascular
La NAV del cuerpo del astrágalo aumenta con la gravedad creciente de la fractura luxación del cuello del astrágalo. Hawkins21 mostró que las tasas de NAV eran del 0% en el grupo I, del 42% en el grupo II y del 74% en el grupo III.
Actualmente, la resonancia magnética es la mejor prueba para su diagnóstico y caracterización8,11, aunque se han descrito casos de falsos negativos1.
Los hallazgos iniciales en la NAV incluyen una densidad aumentada del cuerpo del astrágalo en comparación con el hueso que le rodea y ausencia del signo de Hawkins a las 6-8 semanas tras la lesión.
Las fracturas del cuerpo del astrágalo presentan un mayor riesgo de NAV que las fracturas del cuello12. En nuestro estudio se han observado 7 (18,42%) casos de NAV, donde 3 de ellos eran fracturas del cuello y 4 del cuerpo astragalino. No se ha observado ningún caso de NAV en las 7 luxaciones, por lo que realmente el porcentaje de NAV se eleva al 22,58% en las fracturas del astrágalo.
En la tabla 2 se presentan los porcentajes de NAV en las fracturas del astrágalo que muestran distintas series revisadas en la bibliografía17,18,21,24,25.
El método de tratamiento actual es carga de peso parcial en una ortesis con apoyo en el tendón rotuliano, pero sólo después de que la fractura haya consolidado.
En 4 (57,14%) de los 7 pacientes que presentaron NAV el tratamiento conservador consiguió un buen resultado clínico, sin embargo esto es controvertido porque, por un lado, la revascularización del astrágalo puede producirse de nuevo incluso a los 2 años de la lesión y, por otro, podría ocurrir un colapso de la fractura a pesar de mantener una protección prolongada sobre el astrágalo.
No sería práctico mantener a un paciente en descarga durante un largo período, y además una NAV asintomática se puede tolerar por algunos pacientes5,16,18,21,26,27.
Pseudoartrosis
Las pseudoartrosis son muy raras en este tipo de fracturas porque, incluso en presencia de NAV del cuerpo, el cuello viable o el fragmento remanente del cuerpo habitualmente cura el segmento avascular11. Hay autores que cifran la frecuencia en un 0-10%1. Tan sólo se ha observado 1 (2,63%) caso que se trató como describen muchos autores, usando injerto óseo corticoesponjoso, fijación estable y un largo período en descarga7,11,27.
Malunión o malposición
Ocurren más frecuentemente --sobre todo en las fracturas del cuello-- y se deben a la ausencia o pérdida de la reducción anatómica.
Higgins1 presenta un 18-27%, Canale y Kelly18 hablan de un 28% de los casos, incluso Lorentzen et al28 citan que un 47% de los casos desarrolla una malunión en su consolidación.
La mayoría de los autores está de acuerdo que una malposición en varo incrementa el riesgo de OA subastragalina y que ésta se correlaciona directamente con una limitación de la articulación subastragalina10,11,16 y astragaloescafoidea.
Nosotros hemos observado 1 (2,63%) caso realmente claro --por una reducción insuficiente en el tratamiento inicial--, que terminó en una OA subastagalina y talonavicular.
Las opciones terapéuticas pasarían por una artrodesis selectiva o panartrodesis, aunque en ciertos casos podría realizarse osteotomías en cuña para restablecer la alineación adecuada o alargar la columna interna del pie7.
Necrosis cutánea
Puede ocurrir tras el tratamiento quirúrgico y no quirúrgico. Es común y difícil de prevenir. La reducción precoz del cuerpo o cabeza desplazados es el mejor tratamiento. Cuando ocurre la infección, son obligatorias irrigaciones y desbridamiento repetidos.
Hubo 2 (5,26%) casos que evolucionaron a necrosis cutánea, una de ellos en un paciente con un traumatismo de alta energía sobre partes blandas, al que se le realizó un doble abordaje debido a la dificultad de la reducción fracturaria, y el otro caso en una luxación periastragalina abierta. Ambos precisaron de injertos cutáneos autólogos.
Osteomielitis
Ocurre típicamente después de las fracturas abiertas del astrágalo con contaminación o después de dehiscencia de la herida o desprendimiento cutáneo.
La osteomielitis es difícil de erradicar después de que se ha desarrollado, porque parte o todo el hueso es avascular después de este tipo de lesiones. Generalmente esta complicación requiere escisión del cuerpo del astrágalo para tratamiento definitivo.
Se observaron 2 (5,26%) casos que precisaron de varias reintervenciones y lavados con el procedimiento de Papineau en 3 tiempos (fig. 11).
Fig. 11. --Osteomielitis. Técnica de Papineau en 3 tiempos. Resultado a los 24 meses. Artrodesis consolidada sin infección.
Fig. 11. --Osteomyelitis. Papineau's technique in 3 stages. Results at 24 months. Consolidated arthrodesis without infection.
Osteoporosis
Como cualquier otra articulación fracturada sometida a un largo período de inmovilización se desarrollan las osteoporosis por desuso. En nuestra casuística se evidenció una importante osteoporosis en 8 (21%) pacientes que precisaron suplementos de calcio, calcitonina y/o bisfosfonatos.
Fracturas asociadas
Es frecuente en pacientes que han sufrido un traumatismo de alta energía sobre el pie y en los politraumatizados. La asociación de estas fracturas con otras localizadas en el mismo pie o tobillo origina un peor pronóstico en el resultado final.
En nuestra revisión se obtuvo un 26,3% (10) de los casos con fracturas asociadas (fracturas maleolares, fracturas del escafoides tarsiano, cuboides y metatarsianos).
Tras realizar una revisión bibliográfica acerca de este tema se observó que las fracturas asociadas del pie y tobillo alcanzan un 19-28% de todas las fracturas del astrágalo incluyendo fracturas del maléolo tibial y del sustentaculum tali10,16,18,21,27.
Otras complicaciones
Mucho menos frecuentes, pero que pueden desarrollarse, son: lesiones neurovasculares, atrapamiento tendinoso y distrofia simpaticorrefleja. En nuestra revisión no se ha encontrado ninguna de estas complicaciones.
Como procedimientos de salvación o revisión se deben considerar 2 puntos fundamentales: a) la reserva ósea, y b) cuáles son las articulaciones afectadas y su sintomatología.
En los casos que se tenga buen remanente óseo, las articulaciones se deben artrodesar en la posición de máxima función.
Se pueden realizar artrodesis selectivas, triples artrodesis o bien la artrodesis tibiotalocalcánea con clavo retrógrado.
Otra opción es la artrodesis de Blair, que intenta mantener la altura del tobillo, su alineamiento y la carilla anterior de la articulación subastragalina, eliminando la OA alrededor del cuerpo del astrágalo.
Dennis y Tullos29 revisaron 7 artrodesis de Blair para OA postraumáticas del astrágalo que mostraron buenos resultados subjetivos en 5 de los pacientes.
Hemos realizado tan sólo 1 caso debido a una pseudoartrosis (figs. 11 y 12), que se complicó posteriormente con una osteomielitis aguda por lo que se le realizó los 3 tiempos de Papineau. En líneas generales, la talectomía no ha demostrado buenos resultados.
Fig. 12. --Pseudoartrosis y NAV en fractura de cuello de astrágalo. Artrodesis tipo Blair
Fig. 12. --Pseudoarthrosis and avascular necrosis in a fracture of the astragalus neck. Blair-type arthrodesis.
Respecto a las luxaciones del astrágalo, se han encontrado 7 casos de las cuales 5 (71,4%) de ellas eran luxaciones mediales --el pié se desplaza hacia adentro con respecto al astrágalo-- (figs. 13 y 14). La luxación medial es la más frecuentes --el 72% del total según DeLee y Curtis30 y Zimmer y Johnson31, y el 85% para Motley et al6--, seguidas de las laterales (de peor pronóstico) y mas infrecuentes las anteroposteriores.
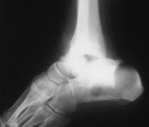
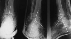
Fig. 13. --Enucleación del astrágalo. Reducción, desbridamiento y estabilización temporal con agujas K.
Fig. 13. --Enucleation of the astragalus. Reduction, debridement and temporary stabilisation with Kirschner needles.
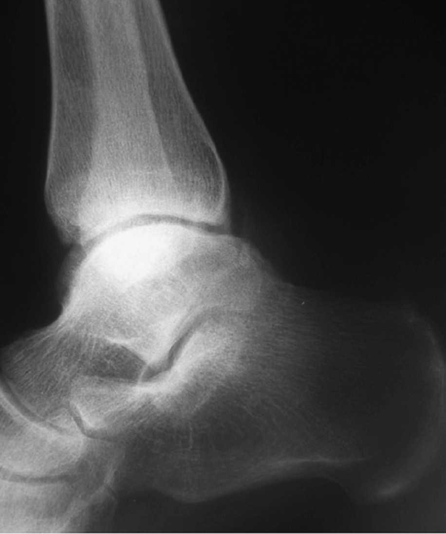
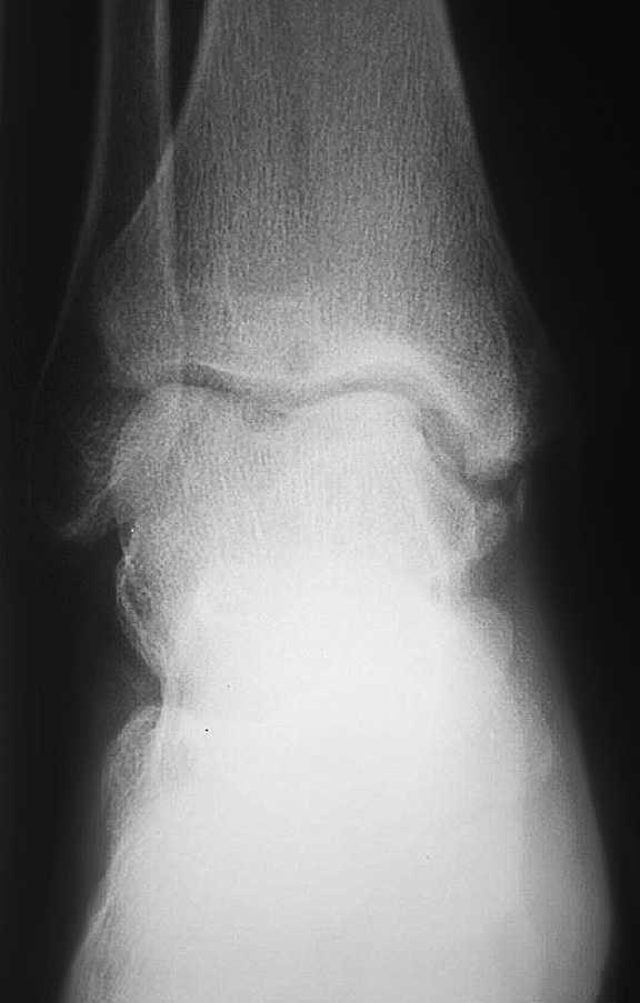
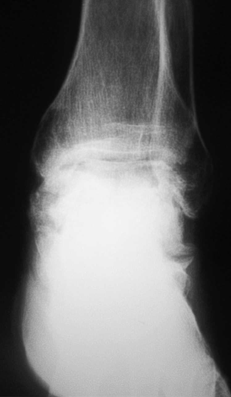
Fig. 14. --A) Radiografía al sexto mes: osteoporosis. B) Radiografía a los 18 meses: artrosis tibioastragalina.
Fig. 14. --a. Radiography at 6 months. b. Radiography at 18 months: tibio-astragalar arthrosis.
Hay una alta incidencia de luxaciones abiertas dada la poca protección de partes blandas a este nivel6. Todas las luxaciones aisladas del astrágalo se deberían reducir de urgencias, evitando demoras innecesarias14, por técnicas cerradas o si ésta fuera imposible --por interposición muscular, capsular, tendinosa o del retináculo extensor-- se realizaría una reducción abierta.
En nuestra casuística tan sólo fue necesaria la reducción abierta en 1 (14,28%) caso, mientras que el resto pudo reducirse mediante maniobras cerradas bajo anestesia.
En general, el pronóstico es bueno si ha habido un tratamiento adecuado. Nosotros inmovilizamos el tobillo durante 4-6 semanas con una férula y en descarga completa para posteriormente comenzar con carga parcial y ejercicios de flexoextensión del tobillo.
Hay autores como DeLee y Curtis30 o McKeever32, que dejan la inmovilización 4 semanas; por el contrario, otros autores, como Christiansen et al33, lo dejan 8 semanas para evitar inestabilidades.
Los partidarios de la movilización precoz abogan por la lucha contra la fibrosis y la rigidez, en tanto que otros autores alertan acerca de la existencia de una inestabilidad secundaria; por ello indican un mínimo de 4 semanas de inmovilización enyesada en los pacientes mayores sin fracturas y de 6 en pacientes jóvenes14.
Se han obtenidos unos resultados satisfactorios en 4 (57,14%) casos y malos en 3 (42,83%) que han desarrollado una OA, pero ningún caso de NAV, inestabilidad de tobillo, ni necrosis cutánea.
Hay autores34 que han objetivado posteriormente por TC la presencia de fracturas articulares radiográficamente ocultas.
De los 30 casos que presentó Christiansen et al33 en su serie, 19 que asociaban una fractura evolucionaron hacia una OA, aunque también observaron esta evolución en 6 casos más en los que, aparentemente, no hubo fractura.
Los factores de mal pronóstico son el retardo en la reducción, la necrosis de la piel, la infección, las luxaciones abiertas y las fracturas osteocondrales asociadas14.
CONCLUSIONES
Las fracturas y luxaciones del astrágalo son de difícil tratamiento y presentan un elevado número de complicaciones.
Deben considerarse como una urgencia en traumatología, donde hay que intentar conseguir una reducción lo más anatómica posible y una fijación ósea estable. Incluso se deberían reducir mínimos desplazamientos para disminuir el alto índice de complicaciones.
En muchas ocasiones, presentan fracturas asociadas en el mismo pie o tobillo.
El alto riesgo de OA y de NAV a largo plazo, así como el consecuente resultado insatisfactorio del paciente, explica el alto grado de dificultad que presenta el tratamiento de estas fracturas y luxaciones. Las complicaciones observadas en nuestro estudio están dentro de los porcentajes obtenidos en otros trabajos.
Hay varios procedimientos quirúrgicos para paliar las complicaciones, destaca las artrodesis simples, las panartrodesis o la artrodesis de Blair que, a pesar de dejar un retropié rígido y sin funcionalidad, permitirá la carga de forma indolora. La talectomía no ha demostrado buenos resultados.
AGRADECIMIENTOS
Al Servicio de Traumatología y Ortopedia del Hospital Infanta Elena de Huelva.
Trattamento e complicanze delle fratture e lussazioni dell'astragalo
RIASSUNTO
Obiettivo. Valutare i risultati a lungo termine delle fratture e delle lussazioni dall'astragalo trattate nel nostro Servizio, nonché il numero di complicanze e il grado di sequele di queste lesioni.
Materiale e metodo. Abbiamo esaminato retrospettivamente tutti i pazienti che avevano presentato fratture o lussazioni dell'astragalo nel periodo compreso fra il 1994 e il 2000 (7 anni). Il numero totale è stato di 38 pazienti, 29 uomini (76,3%) e 9 donne (23,7%) con un'età media di 30,7 anni (range 13-62 anni).
Di tutte le fratture, sedici sono state a livello del collo dell'astragalo (42,10%), undici a livello del corpo (10,52%), quattro a livello della testa e in sette casi si è trattato di lussazioni pure dell'astragalo (18,42%).
In ventisei casi (68,4%) è stato effettuato il trattamento chirurgico e soltanto dodici casi (31,6%) sono stati trattati in modo ortopedico. Il periodo medio di follow-up è stato di 18 mesi (range 12-53 mesi).
Risultati. I risultati ottenuti sono stati misurati seguendo il "Clinical Rating System" della Società Americana di Chirurghi del piede e della caviglia.
Il 34,21% dei pazienti ha ottenuto > 70 punti, il 39,47% ha ottenuto fra 40 e 70 punti e il 26,32% ha ottenuto < 40 punti.
Come complicanze abbiamo avuto otto casi di artrosi --che è stata la complicanza più frequente--, sette casi di necrosi avascolare, due casi di osteomielite acuta, un'infezione superficiale, otto pazienti con osteoporosi e due casi di necrosi della ferita. Non abbiamo registrato nessun caso di deficit neurovascolare, intrappolamento del tendine o distrofia simpatico riflessa.
Conclusioni. Le fratture e le lussazioni dell'astragalo si devono considerare come un'urgenza in traumatologia, dove dobbiamo tentare di ottenere una riduzione il più anatomica possibile e una fissazione ossea stabile. Fra le complicanze più frequenti si trovano l'artrosi, la necrosi avascolare e la malunione. Più rare sono la pseudoartrosi, l'osteomielite e la necrosi cutanea. Si espongono i possibili trattamenti per risolvere dette complicanze.
Traitement et complications des fractures et des luxations de l'astragale
RÉSUMÉ
Objectif. Évaluer les résultats à long terme des fractures et des luxations de l'astragale traitées au sein de notre service, ainsi que le nombre des complications et le degré des séquelles de ces lésions.
Matériel et méthodes. Nous avons révisé de façon rétrospective le cas de tous les patients qui présentèrent des fractures ou des luxations de l'astragale pendant la période de sept ans comprise entre 1994 et 2000. Du total des 38 patients 29, soit 76,3%, étaient des hommes et 9, soit 23,7%, des femmes, et l'âge moyen était de 30,7 ans (fourchette de 13 à 62 ans).
De toutes les fractures, 16 concernaient le col de l'astragale (42,10%), 11 le corps (10,52%), 4 la tête et 7 cas étaient des luxations pures de l'astragale (18,42%).
Dans 26 cas (68,4%), un traitement chirurgical fut appliqué, et dans seulement 12 (31,6%), un traitement orthopédique. La durée de suivi moyenne fut de 18 mois (entre 12 et 53 mois).
Résultats. Le «Clinical Rating System» de la Société Américaine des Chirurgiens du pied et de la cheville, a servi de critère pour les résultats qui furent de plus de 70 points pour 34,21% des patients, entre 40 et 70 points pour 39,47% et de moins de 40 points pour 26,32%.
Les complications furent: huit cas d'arthrose --complication la plus fréquente--, sept cas de nécrose avasculaire, deux cas d'ostéomyélite aigüe, une infection superficielle, huit patients atteints d'ostéoporose et deux cas de nécrose de la blessure. Aucun cas de déficit neurovasculaire, de pincement de tendon ni de dystrophie sympathico-réflexe ne fut relevé.
Conclusions. Las fractures et les luxations de l'astragale doivent être considérées comme une urgence en traumatologie, où nous devons essayer d'obtenir une réduction la plus anatomique possible et une fixation osseuse stable. Les complications les plus fréquentes sont l'arthrose, la nécrose avasculaire et la mauvaise union. Les moins fréquentes sont la pseudarthrose, l'ostéomyélite et la nécrose cutanée. Nous exposons les traitements possibles pour donner une solution à ces complications.
Behandlung und Komplikationen bei Frakturen und Luxationen des Sprungbeins
ZUSAMMENFASSUNG
Ziel. Bewertung der langfristigen Ergebnisse der in unserer Klinik behandelten Frakturen und Luxationen des Sprungbeins, sowie der Anzahl der Komplikationen und des Grades der Folgeerscheinungen dieser Verletzungen.
Material und verfahren. Wir haben rückwirkend alle Patienten überprüft, die zwischen 1994-2000 (7 Jahre) in unserer Klinik aufgrund Frakturen und Luxationen des Sprungbeins behandelt wurden. Insgesamt wurden 38 Patienten untersucht, 29 Männer (76,3%) und 9 Frauen (23,7%), das Durchschnittsalter lag dabei bei 30,7 Jahren (Spanne 13-62 Jahre).
Von den Frakturen waren 16 auf der Höhe des Sprungbeinhalses (42,10%), 11 auf der Höhe des Körpers (10,52%) und 4 auf der Höhe des Knochenkopfes, 7 Fälle waren reine Luxationen des Sprungbeins (18,42%).
In 26 Fällen (68,4%) erfolgte die Behandlung durch einen chirurgischen Eingriff, nur 12 Fällen (31,6%) wurden rein orthopädisch behandelt. Der durchschnittliche Beobachtungszeitraum betrug 18 Monate (Spanne 12-53 Monate).
Ergebnisse. Die erzielten Ergebnisse wurden nach dem Clinical Rating System der American Orthopaedic Foot & Ankle Society gemessen.
34,21% der Patienten erzielten > 70 Punkte, 39,47% zwischen 40-70 Punkte und 26,32% < 40 Punkte.
Als Komplikationen wurden acht Fälle von Arthrose beobachtet --die häufigste Komplikation--, sieben Fälle von avaskulärer Nekrose, zwei Fälle von akuter Osteomyelitis, eine Infektion der Haut, acht Patienten mit Osteoporose und zwei Fälle von Nekrose der Wunde. Es wurde kein Fall mit neurovaskulärem Defizit, Einschluss der Sehne oder sympathetisch-reflexiver Dystrophie beobachtet.
Schlussfolgerungen. Frakturen und Luxationen des Sprungbeins müssen in der Orthopädie als Notfall behandelt werden, bei dem eine anatomisch so optimal wie möglich ausfallende Reduktion und stabile Fixierung des Knochens anzustreben sind. Zu den häufigsten Komplikationen gehören Arthrose, avaskuläre Nekrose und schlechte Bruchheilung. Weniger häufig sind Pseudoarthrose, Osteomyelitis und kutane Nekrose. Es werden die möglichen Behandlungsmethoden zur Behebung dieser Komplikationen beschrieben.
Conflicto de intereses: Los autores no hemos recibido ayuda económica alguna para la realización de este trabajo. Tampoco hemos firmado ningún acuerdo por el que vayamos a recibir beneficios u honorarios por parte de alguna entidad comercial. Por otra parte, ninguna entidad comercial ha pagado ni pagará a fundaciones, instituciones educativas u otras organizaciones sin ánimo de lucro a las que estamos afiliados.































