INTRODUCCIÓN
La disrupción de la articulación tibioperonea proximal aislada es una entidad clínica que aparece raramente, generalmente asociada a traumatismos, aunque a veces, bajo ciertas condiciones patológicas, puede predisponer a la luxación de la cabeza del peroné (1). Los hallazgos radiográficos pueden ser sutiles y la severidad de los síntomas variados, por lo que a veces el diagnóstico puede ser difícil de confirmar (2). Presentamos un caso clínico de luxación tibioperonea anterolateral proximal de causa traumática.
MATERIAL Y MÉTODOS
Recibimos en urgencias un varón de diecinueve años, sin antecedentes personales de interés, tras sufrir traumatismo indirecto, con mecanismo de torsión en rodilla derecha, mientras jugaba al fútbol. El paciente refería dolor intenso e impotencia funcional en dicha rodilla. A la exploración física la cadera y el tobillo estaban asintomáticos, la rodilla derecha presentaba en su cara externa una deformidad, la extensión era completa con una limitación de la flexión a 70° por el dolor. La exploración neurológica y vascular fue normal.
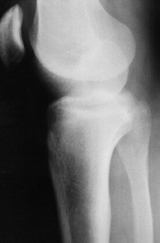
La exploración radiológica simple era sugestiva de un desplazamiento anterolateral de la cabeza del peroné. No se realizó TC (Figs. 1 y 2).
Fig. 1.--Radiografía anteroposterior de rodilla. Se observa desplazamiento anterolateral de la extremidad proximal del peroné. Anteroposterior X-ray of the knee. It shows anterolateral displacement of the proximal end of the fibula.
Fig. 2.--Radiografía lateral de la rodilla. Presenta desplazamiento anterior de la extremidad proximal del peroné. Lateral X-ray of the knee. It shows anterior displacement of the end of the fibula.
En la misma sala de urgencias se procedió a reducción cerrada, sintiéndose el chasquido, y se inmovilizó la rodilla durante tres semanas con yeso. Tras este período comienza movilización y carga progresiva de peso (Figs. 3 y 4).
Fig. 3.--Radiografía anteroposterior de rodilla en la que se aprecia el resultado tras la reducción cerrada con una imagen correcta de la articulación. Anteroposterior X-ray of the knee demonstrating the correct positioning of the joint after closed reduction.
Fig. 4.--Radiografía lateral de rodilla. Se observa la misma reducción de la figura anterior. Lateral X-ray of the knee. You can see the same reduction as the previous illustration.
A los diez meses el paciente se encontraba asintomático y su rodilla completamente funcional.
DISCUSIÓN
La luxación proximal de la cabeza del peroné es una lesión que se da raramente, pero que es bien conocida en la literatura. En 1925, Lyle hizo una revisión de 34 casos y hasta el año 1975 se recogieron al menos 74 nuevos casos, que han ido en progresión hasta nuestros días
Se puede presentar aislada o asociada, como ocurre con la fractura de tibia, la llamada fractura-luxación de Monteggia del miembro inferior (3). La etiología puede ser traumática, con mecanismos torsionales o caídas con rodilla flexionada bajo su cuerpo como ocurre en deportes como esquí, fútbol, judo, paracaidismo (4) y patológicas, como osteomielitis, osteocondroma, distrofia muscular, etc.
Anatómicamente la articulación tibioperonea proximal consta de dos superficies articulares rodeadas de membrana sinovial y cápsula fibrosa. Tiene una estructura ligamentaria consistente. Anteriormente presenta el fuerte ligamento tibio-peroneo anterior, que se compone de tres bandas anchas y una extensión del tendón del bíceps. Y las estructuras posteriores aúnan al relativamente débil ligamento tibioperoneo posterior con una banda, el tendón poplíteo y el ligamento popliteoperoneo. Superiormente se inserta el ligamento colateral peroneo, que es el principal estabilizador de esta articulación; su laxitud puede favorecer la luxación o subluxación (2).
La movilidad de esta articulación incluye la rotación axial y la translación proximodistal.
En 1974, Ogden (5) hace un estudio en profundidad de esta entidad clínica a partir de una recopilación de 43 casos y un estudio previo en cadáveres, describiendo dos tipos de articulación tibioperonea: una horizontal y otra oblicua; ésta última más proclive a la luxación y en su estudio el 70 por 100 de las articulaciones eran oblicuas. Además clasifica esta lesión en cuatro tipos: subluxación, luxación anterolateral, que es la más frecuente; luxación posteromedial y superior.
El diagnóstico precoz basado en la exploración física, estudios con radiología simple y, en caso de dudas, confirmado con TAC (2) permiten un buen pronóstico. En las inestabilidades crónicas la RMN la tendremos en cuenta. Turco y Spinella (6) describieron tres signos cardinales para el reconocimiento de la luxación anterolateral: 1) desplazamiento lateral del peroné en radiografía anteroposterior; 2) aumento del espacio interóseo proximal, y 3) desplazamiento anterior de la cabeza del peroné en la radiografía lateral.
Podemos encontrar lesiones asociadas, especialmente del nervio peroneo (2, 5), además de otras como fracturas, lesiones vasculares, etc.
Se describen en la literatura muchos casos que inicialmente pasan inadvertidos. Keene (7) encontró en más de l00 casos publicados que aproximadamente el 60 por l00 tuvo un retraso en el diagnóstico de meses a años (8) y quedan lesiones inestables crónicas (9).
El tratamiento de esta lesión depende en gran medida del momento del diagnóstico. Si lo hacemos de forma inmediata la reducción cerrada con o sin anestesia suele ser efectiva como ha sido nuestro caso, aunque a veces se requiere reducción abierta y fijación como describe Anderson (10) con agujas de Kirschner. Si el diagnóstico es tardío suele requerir reducción abierta y osteosíntesis.
Si la lesión es muy antigua y lo que presenta es una inestabilidad crónica se describen varios tratamientos, como la resección de la cabeza del peroné, la ligamentoplastia de Weinert (12) y Giachino (11) con hemitendón del bíceps femoral y se desaconseja la artrodesis tibioperonea por producir dolor en el tobillo ipsilateral; en caso de realizarla se aconseja resección de diáfisis del peroné.
Los resultados a largo plazo de las reducciones primarias en el momento de urgencias a veces dan dolor e inestabilidad, por lo que aplicaremos estos últimos tratamientos.
Lussazione dell'articolazione tibioperonea prossimale. Caso clinico
RIASSUNTO
La lussazione acuta dell'articolazione tibioperonea prossimale è rara. In genere si producono dopo traumatismi che creano torsione e possono essere viste in asociazione con altre lesioni dello stesso arto. A volte passa inavvertita per cui rimane una lesione cronica che richiede un punto di vista clinico-terapeutico diverso. Ogden classificó nel 1974 questa lesione in quattro tipi: sublussazione, lussazione anterolaterale, posteromediale e superiore.
Il trattamento include riduzione chiusa, aperta più osteosintesi, resezione della testa del perone, artrodesi, ecc. Si presenta un caso clinico di lussazione tibioperonea prossimale d'origine traumatica che si trattó con reduzione chiusa e inmobilitazione con gesso chiuso durante tre settimane. Il risultato clinico dopo dieci mesi fu satisfattorio.
Luxation de l'articulation tibiopéronière proximale. Cas clinique
RÉSUMÉ
La luxation aiguë de l'articulation tibio-péronière proximale est rare. Elle se produit en général à la suite de traumatismes qui créent une torsion, et on peut la trouver en association avec d'autres lésions de la même extrémité. Elle passe parfois inaperçue, si bien qu'elle représente une lésion chronique qui demande une approche clinico-thérapeutique différente. En 1974 Ogden classifia cette lésion en quatre types: subluxation, luxation antéro-latérale, postéro-médiale et supérieure.
Son traitement comprend réduction à foyer fermé, à foyer ouvert plus ostéosynthèse, résection de la tête du péroné, arthrodèse, etc. Nous présentons un cas clinique de luxation tibio-péronière proximale d'origine traumatique, qui fut traitée avec réduction à foyer fermé et immobilisation avec plâtre circulaire pendant trois semaines. Le résultat clinique au bout de dix mois fut satisfaisant.
Verrenkung des rumpfwärtigen Gelenkes zwischen Schienbein und Wadenbein. Ein Fall aus der Klinik
ZUSAMMENFASSUNG
Die akute Verrenkung des rumpfwärtigen Gelenkes zwischen Schienbein und Wadenbein kommt selten vor. Im Allgemeinen erscheint sie nach Traumas, die eine Verwindung verursachen, und sind sie im Zusammenhang mit anderen Verletzungen des gleichen Gliedemasses zu beobachten. Manchmal wird sie gar nicht entdeckt, was eine chronische Verletzung mit sich bringt, die eine andere klinische und therapeutische Einstellung erfordert. Ogden hat 1974 diese Verletzung in vier Typen eingeordnet: Subluxation, seitlich vordere, mittig hintere und obere Verrenkung.
Ihre Behandlung kann in einem geschlossenem Einrichten, einem offenem Einrichten mit Osteosynthese, einer operativen Entfernung des Kopfes des Wadenbeines, einer Arthrodese, usw. bestehen. Es wird ein Fall aus der Klinik einer durch Trauma verursachten rumpfwärtigen Verrenkung von Schien- und Wadenbein vorgestellt, die mit geschlossenem Einrichten und dreiwöchiger Ruhigstellung mittels geschlossenem Gips behandelt wurde. Ihr klinischer Befund nach zehn Monaten war zufriedenstellend.





