Fratture ed epifisiolisi in mielomeningocele
RIASSUNTO
Introduzione e obiettivo. Le fratture e le epifisiolisi in pazienti affetti da mielomeningocele, sebbene poco frequenti, costituiscono una patologia importante poiché possono passare inosservate nel momento in cui si producono cosa che, insieme alla formazione di un callo di consolidazione esuberante, può indurre in errori diagnostici. Attraverso l'esame di due casi clinici si intende mettere in evidenza alcuni degli aspetti importanti di questa patologia.
Materiale e metodo. Presentiamo due casi clinici di pazienti affetti da mielomeningocele, con sequele di paraplegia agli arti inferiori, con fratture-epifisiolisi degli arti inferiori. Illustriamo i casi, gli esami diagnostici, il trattamento realizzato e i risultati ottenuti.
Dibattito. Parliamo degli aspetti più rilevanti dell'incidenza e dell'eziologia di questo tipo di fratture, rivediamo i possibili esami diagnostici da realizzare, le possibilità di trattamento e i risultati ottenuti, il tutto mediante un'ampia revisione di tutta la bibliografia disponibile sull'argomento a livello mondiale.
Conclusioni. È importante conoscere e tenere presente questa patologia di fronte a un paziente affetto da mielomeningocele che si presenta con una tumorazione sconosciuta ad un arto —anche nei casi in cui non esista un trauma evidente— per poter giungere ad una diagnosi corretta senza dover realizzare innumerevoli esami diagnostici.
Fractures et épiphysiolyses de myéloméningocèle
RÉSUMÉ
Introduction et objectif. Bien que peu fréquentes, les fractures et les épiphysiolyses chez des patients atteints de myéloméningocèle constituent une pathologie importante par le fait qu'elles peuvent passer inaperçues lors de leur production, ce qui, ajouté à la formation d'un cal de consolidation exubérant, peut induire des erreurs de diagnostic. Par la révision de deux cas cliniques, nous prétendons mettre en évidence certains aspects importants de cette pathologie.
Matériel et méthode. Nous présentons deux cas cliniques de patients atteints de myéloméningocèle, avec des séquelles de paraplégie des membres inférieurs, avec des fractures-épiphysiolyses des membres inférieurs, et nous illustrons les cas, les examens de diagnostic, les traitements appliqués et les résultats obtenus.
Discussion. Nous discutons les aspects les plus importants concernant l'incidence et l'étiologie de ce type de fractures, nous révisons les examens de diagnostic éventuels à réaliser, les possibilités de traitements et les résultats obtenus. Ce travail consiste en une révision exhaustive de toutes les publications faites sur le sujet dans la littérature mondiale.
Conclusions. Pour aboutir à un diagnostic correct et sans pour autant réaliser une multitude d'examens de diagnostic, il est important de connaître et de ne pas oublier cette pathologie lorsqu'on se trouve devant un patient atteint de myéloméningocèle et qui présente une tumeur inconnue d'un membre, même en l'absence de traumatisme évident.
Frakturen und Epiphysiolyse bei Myelomeningozele
ZUSAMMENFASSUNG
Einleitung und Ziel. Frakturen und Epiphysiolyse bei Patienten mit Myelomeningozele muss trotz ihres seltenen Auftretens Beachtung geschenkt werden, da sie zum Zeitpunkt ihres Auftretens unentdeckt bleiben und zur Bildung eines sehr ausgeprägten Callus führen können, dies kann eine fehlerhafte Diagnose zur Folge haben. Durch Prüfung zweier klinischer Fälle sollen einige wichtige Aspekte dieses Krankheitsbildes hervorgehoben werden.
Material und Verfahren. Wir stellen zwei klinische Fälle von Patienten mit Myelomeningozele vor, die unter Paraplegie der unteren Gliedmaßen leiden und bei denen Frakturen-Epiphysiolyse der unteren Gliedmaßen vorliegen. Wir beschreiben die Fälle, die Diagnosetests, die durchgeführte Behandlung und die erzielten Ergebnisse.
Diskussion. Wir diskutieren die relevantesten Aspekte hinsichtlich Inzidenz und Ätiologie dieser Art von Frakturen, wir prüfen die bestehenden Diagnoseverfahren, die Behandlungswege und die erzielten Ergebnisse mittels eingehender Prüfung der diesbezüglichen internationalen Fachliteratur.
Schlussfolgerungen. Dieses Krankheitsbild muss bei einem Patient mit Myelomeningozele in Betracht gezogen werden, bei dem ein Tumor unbekannter Ursache an einem der Gliedmaße auftritt, auch wenn kein offensichtliches Trauma vorliegt. Auf diese Weise kann eine korrekte Diagnose gestellt werden, ohne das viele Tests durchgeführt werden müssen.
INTRODUCCIÓN
Es frecuente que las fracturas y epifisiolisis en pacientes con mielomeningocele pasen desapercibidas en el momento en que se producen ya que, en muchos de estos casos, no se evidencia una causa responsable, siendo producidas por traumatismos banales que no llaman la atención. Esto hace que, con el paso de los días y debido a las características de la consolidación en estos enfermos, puedan presentarse como tumoraciones alarmantes que pueden producir confusiones diagnósticas en el momento en que se detectan.
Ante una tumoración con signos inflamatorios en un paciente con mielomeningocele el abanico de posibilidades diagnósticas es muy amplio, por lo que nos encontramos en la mayoría de los casos ante cuadros que requieren un estudio detenido y pormenorizado para llegar a un correcto diagnóstico. Fracturas y epifisiolisis aún sin antecedente traumático previo, pseudotumores óseos, osteomielitis aguda, sarcoma osteogénico, artropatía neuropática de Charcot, son todos ellos diagnósticos posibles1.
Presentamos dos casos, en sendos pacientes afectos de secuelas de mielomeningocele, de aparición de una tumoración con signos inflamatorios en miembros inferiores, mediante los cuales haremos un recorrido sobre la presentación clínica, los hallazgos en las pruebas complementarias, los posibles diagnósticos diferenciales y, finalmente, el tipo de tratamiento empleado y las posibles secuelas derivadas.
CASO CLÍNICO I
Varón de 5 años de edad, intervenido en los primeros días de vida de mielomeningocele lumbosacro y posteriormente de hidrocefalia a los 3 meses con colocación de derivación lumboperitoneal, que presentaba como secuelas paraplejía flácida de nivel L2-L3 con reflejos osteotendinosos ausentes e hipoestesia distal, así como vejiga neurógena.
Ingresó en nuestro servicio para estudio de tumoración indolora en cara lateral del muslo izquierdo de una semana de evolución, con importante inflamación de todo el miembro inferior izquierdo y aumento de temperatura del mismo, sin que existiese ningún antecedente traumático evidente ni signos de infección en la analítica general. De inicio fue descartada patología de origen vascular mediante la realización de Eco-doppler que mostró la presencia de una masa de partes blandas con ligera compresión del paquete vascular que provocaba el edema distal. Se solicitaron estudios radiológicos que mostraron una epifisiolisis distal de fémur tipo I de Salter acompañada de una importante tumoración con una intensa reacción perióstica alrededor que envolvía desde la metáfisis inferior al tercio medio de la diáfisis (figs. 1 y 2). Planteamos el diagnóstico diferencial entre miositis osificante, hematoma calcificado y tumoración de partes blandas, por lo que se solicitan nuevas pruebas complementarias. La gammagrafía ósea informó de una intensa y patológica vascularización y fijación del radio-trazador a nivel de mitad distal del fémur izquierdo, que podría ser compatible con tumor óseo (¿osteosarcoma?) o displasia fibrosa. Por su parte, el estudio con RNM describía una tumoración compuesta por zonas de proliferación, escasas zonas de calcificación, engrosamiento metafisario y del periostio. Se realizó TAC óseo que mostró una intensa reacción perióstica y ensanchamiento metafisario a nivel distal de fémur (figs. 3 Y 4). Finalmente se procedió a la realización de biopsia con aguja percutánea, cuyo examen histológico reveló largas áreas de sangre antigua y exuberante tejido conectivo fibroso, áreas de calcificación distrófica interpuestas entre el tejido, sin evidencia de formación de callo o degeneración maligna.
Figs. 1 y 2.—Epifisiolisis distal de fémur tipo I de Salter junto a una tumoración con intensa reacción perióstica que envolvía desde la metáfisis inferior al tercio medio de la diáfisis. / Figs. 1 and 2.—Salter Type I distal femoral epiphysiolysis along with a tumour with intense periosteal reaction surrounding the lower metaphysis to the middle third of the diaphysis.
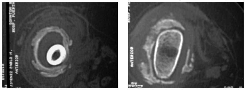
Figs. 3 y 4.—Intensa reacción perióstica y ensanchamiento metafisario a nivel distal de fémur. / Figs. 3 and 4.—Intense periosteal reaction and metaphyseal widening at the distal level of the femur.
Con todo ello se estableció el diagnóstico de epifisiolisis distal de fémur que había pasado desapercibida, procediéndose a tratamiento mediante inmovilización con yeso inguinopédico que se mantuvo por un periodo de 8 semanas, tras las que se evidenciaron en nuevo estudio Rx proceso de consolidación con disminución de la tumoración. El cuadro inflamatorio del miembro inferior había cedido igualmente.
CASO CLÍNICO II
Mujer de 22 años de edad, con secuelas de mielomeningocele de nivel L1 motor y L2 sensitivo, intervenida quirúrgicamente con cierre del mielo a los 3 años de edad, hidrocefalia que no precisó derivación, luxación bilateral de caderas con intervención de la izquierda, intervenida de flexo de ambas rodillas, incontinencia de esfínteres por vejiga e intestino neurógeno.
Acude al servicio de urgencias por presentar sin traumatismo evidente previo y desde hace una semana, una tumefacción indolora, con deformidad, enrojecimiento y aumento de temperatura local a nivel de rodilla derecha. Durante ese tiempo había seguido tratamiento sintomático con AINES sin mejoría alguna. No hubo fiebre ni datos de infección en la analítica. Las radiografías realizadas en ese momento evidenciaron una fractura de la meseta tibial derecha acompañada de una intensa reacción perióstica que se extendía al tercio proximal de la tibia (figs. 5 y 6). Igualmente mostraron una imagen similar a nivel distal del fémur izquierdo, que había pasado desapercibida clínicamente, y que se correspondía con una fractura supracondílea ya consolidada (figs. 7 y 8). Se realizó tratamiento ortopédico mediante inmovilización con yeso inguinopédico durante seis semanas, después de las cuales había disminuido la reacción perióstica y se había producido la consolidación de la fractura.
Figs. 5 y 6.—Fractura de la meseta tibial derecha acompañada de una intensa reacción perióstica que se extendía al tercio proximal de la tibia. / Fig. 5 and 6.—Fracture of the right tibial plateau accompanied by intense periosteal reaction extending to the proximal third of the tibia.
Figs. 7 y 8.—Imagen a nivel distal del fémur izquierdo que se correspondía con una fractura supracondílea ya consolidada. / Figs. 7 and 8.—Image at the level of the left distal femur corresponding to an already consolidated supracondylar fracture.
DISCUSIÓN
La aparición de fracturas indoloras, sin antecedente traumático conocido, en pacientes afectos de milomeningocele es bastante común, con una incidencia para las fracturas de los miembros inferiores de entre el 10 y el 30%2-4. Las fracturas pueden localizarse en diáfisis, metáfisis o epífisis2,4. La asociación de epifisiolisis y mielomeningocele es menos común, con una incidencia estimada en menos del 10% de pacientes con secuelas de espina bífida2,3.
Por el déficit de sensibilidad de estos pacientes en los miembros inferiores, a menudo ocurre que las fracturas son diagnosticadas algunos días después de que ocurran, por lo que el proceso de consolidación ya ha comenzado, y frecuentemente presenta una apariencia alarmante en las imágenes radiográficas. Para Rodgers2 es común la confusión diagnóstica inicial con otros procesos como la neoplasia o la infección.
Cuando se revisa la historia de estos pacientes suele descubrirse que la mayoría de ellos deambulan aún cuando sea con la ayuda de ortesis, lo que parece que contribuye a la producción de lesiones de este tipo por el repetido estrés sobre el esqueleto. Sin embargo, el mecanismo de producción no queda claro sabiéndose, eso sí, que existe una mayor predisposición cuanto más alto es el nivel neurológico de afectación. Así, Lock y colaboradores3 estiman una incidencia del 41% en pacientes con nivel torácico, 36% en los de nivel lumbar alto, 10% en nivel lumbar bajo y, por último, un 3% en aquellos con un nivel sacro.
Otro factor que aparece estrechamente relacionado con la incidencia de fracturas es la edad. El 86% se producen en menores de 9 años. Según esos mismos autores esto se debe a que los niños están expuestos a más procedimientos quirúrgicos para corregir contracturas y deformidades, lo que produce una mayor osteoporosis por desuso y por consiguiente un mayor riesgo de fracturas patológicas, mientras que en adultos los procedimientos quirúrgicos son escasos y sus requerimientos funcionales menores.
Wenger y Kumar et al5,6 propusieron los repetitivos microtraumas en las áreas anestésicas, con un modelo radiográfico de ensanchamiento de la línea epifisaria y marcado ensanchamiento del callo en formación. La base histológica de este mecanismo gira en torno a los recurrentes microtraumatismos en la zona del cartílago en transformación, produciendo ensanchamiento proximal de la región no calcificada, que se volvería más susceptible a posibles fracturas. Wenger sostiene que los microtraumatismos retrasan la normal osificación y ceden en una zona patológica de hipertrofia. Para Per Edvarsen4 existe un reblandecimiento a nivel del cartílago de crecimiento que favorece el desplazamiento fisario. Para Dirschl7 contribuye a la formación del callo exuberante el sangrado importante de los huesos largos comúnmente afectados, favorecido por el tratamiento conservador que no produce una coaptación rígida, y la musculatura atónica que circunda la fractura y que no es capaz de contener efectivamente el hematoma. Golding8 concluye que el mecanismo no está aún claramente establecido y que posiblemente sea multifactorial.
El hueso más frecuentemente dañado suele ser la tibia en su extremidad inferior, seguido por la extremidad inferior del fémur, y, en tercer lugar la extremidad superior de la tibia1,4,9,10. La localización de la fractura en el hueso no parece tener relación con el nivel neurológico afectado. Desplazamientos epifisarios en localizaciones distintas con un intervalo de tiempo han sido descritas por Iborra, Soutter y Stern1,9,10.
Cuando el diagnóstico no se realiza en el momento de la fractura, al cabo de pocos días suele observarse en las imágenes radiográficas un patrón característico con importante ensanchamiento e incluso fragmentación y esclerosis de la zona, con una intensa reacción perióstica, donde probablemente interviene la hemorragia subperióstica.
Todo esto conlleva que cuando el cuadro es visto de forma tardía se plantean multitud de posibilidades diagnosticas con procesos como la osteomielitis aguda, el sarcoma de Ewing, tumores de partes blandas, e incluso actualmente se recomienda hacer el diagnóstico diferencial con el síndrome del «niño maltratado».
Una vez establecido el diagnóstico, el tratamiento suele ser conservador, con inmovilizaciones hasta que se evidencie la consolidación. Sin embargo, también hay controversias en cuanto al tiempo de inmovilización, con autores que abogan por un periodo corto como Roberts11, otros que mantienen por término medio 4 a 6 semanas como Cuxart12, y la mayoría, que no retiran la inmovilización hasta que existan evidencias de consolidación en la Rx13,14.
La importancia de un correcto tratamiento deriva, sobre todo, de las importantes complicaciones que pueden suceder. Disfunción autonómica, retardo de la consolidación y pseudoartrosis, refracturas, y, sobre todo, cierres prematuros de la fisis de crecimiento con la consecuente dismetría posterior que puede llegar hasta el 50% de los casos según algunas series15.
CONCLUSIÓN
Así pues, debe tenerse en cuenta la posibilidad de una fractura o epifisiolisis en niños con secuelas sensitivas, que sin antecedente traumático muestren tumefacciones y signos de inflamación a nivel de los miembros inferiores, realizándose el examen radiográfico pertinente. El error diagnóstico puede provocar deformidades importantes y alteraciones del crecimiento. El tratamiento suele ser conservador con reducción ortopédica e inmovilización en descarga por un período de cuatro a seis semanas, pero el periodo de vigilancia debe extenderse hasta el final del crecimiento cuando se cierre la fisis, por las posibles secuelas que pudiesen acontecer.
Correspondencia:
Dr. Javier Tallón López.
C/ Arenal 5, 6ºB. 11100, San Fernando. Cádiz. España.
Correo electrónico: javitallon@latinmail.com





