ORIGINALES
Masas palpables no visibles en mamografía: papel de los ultrasonidos
Palpable breast masses unseen in mammography: the role of ultrasound
P. Romero*, F. Martínez*, R. Balongo*, A. López*, A. Lazo**, A. Carrascal*
* Hospital Infanta Elena. Huelva.
** Hospital Nuestra Señora de Valme. Sevilla.
Correspondencia:
Pilar Romero Batanero.
San Sebastián, 23, 4.° C.
21004 Huelva.
SUMMARY
Here we evaluate the sole of ultrasonography in women with palpable breast masses and a negative mammogram.
A retrospective study was made of 36 symptomatic patients with negative mammograms who underwent complementary echography of the problem area.
In 66,6%, the echography revealed abnormalities and was the only imaging technique that allowed a biopsy indication to be established in suspicious cases. Ten of the women in our series had breast cancer.
Therefore, echography should be used in such cases because mammography alone, given its limitations, can lead to a diagnosis of normality in cases of pathology. In 41.6% of the women in our series, the pathology was malignant.
Palabras clave
Mamografía, Ecografía de mama, Masas mamarias, Lesiones ocultas de mama.
Key words
Mammography, Breast echography, Breast masses, Occult breast lesions.
INTRODUCCIÓN
La mama fue uno de los primeros órganos examinados por ultrasonidos cuando en 1951 Wild y Neal 1 investigaron la utilidad potencial de las técnicas en modo A para definir la textura normal de la mama y de las masas mamarias.
A partir de entonces los resultados de las investigaciones efectuadas 2-5 fueron muy esperanzadores, pues la ecografía era presentada como un método de alta fiabilidad diagnóstica a la vez que era un sistema que no necesitaba utilizar radiación ionizante.
Estudios más comprensivos pusieron de manifiesto posteriormente 6-8 que la ecografía era inferior a la senografía en el diagnóstico del cáncer de mama, especialmente en el caso de tumores subclínicos, y estas limitaciones para Basset y Kimme-Smith 9 incluyen la incapacidad para detectar microcalcificaciones, dificultad en las imágenes de la mama grasa, incapacidad para diferenciar entre masas sólidas benignas y malignas y dificultad para detectar masas sólidas menores de 1 cm.
A la vista de estas circunstancias actualmente se considera a la ecografía como una técnica complementaria de la senografía, con unas funciones claramente establecidas en el estudio de la patología mamaria, siendo su principal papel el distinguir la naturaleza sólida o líquida de las lesiones. 10, 11
Sickles, Filly y Callen 12 afirman que el diagnóstico sonográfico de quistes es importante clínicamente, pues reduce el número de biopsias. Los quistes simples no requieren aspiración o biopsia, evitando a las pacientes el gasto, la ansiedad y las molestias asociadas con la cirugía.
Otra indicación importante de los ultrasonidos es el estudio de aquellas mamas densas que no producen zonas claras lipomatosas en las placas mamográficas: la hiperplasia fibrosa y la carga hídrica determinan áreas opacas, de tonalidad elevada, a menudo relativamente homogénea, que ocupan la casi totalidad de la mama. Este tipo de mamas generalmente pertenecen a mujeres jóvenes y su análisis radiológico suele ser aleatorio, por lo que las exploraciones ultrasónicas encuentran en ellas una de sus indicaciones más importantes, 13 sobre todo en aquellos casos en que la paciente acude por una masa palpable. 11
En otras ocasiones nos encontramos con una lesión muy próxima a la pared torácica o extremadamente periférica que no puede ser incluida en las proyecciones senográficas. De nuevo la ecografía va a permitir estudiar la lesión en todos sus contornos y determinar la naturaleza sólida o quística de la misma. 10, 11
Por último, los ultrasonidos permiten evaluar la naturaleza de un área de densidad asimétrica identificada en mamografía, fundamentalmente en aquellas ocasiones en que la densidad es semejante a una masa o es palpable. 11
MATERIAL Y METODOS
Entre los meses de marzo de 1997 y febrero de 1998 fueron remitidas a nuestro Servicio 36 mujeres con sospecha clínica de masa palpable tras exploración física: en 15 casos la palpación reveló la presencia de mamas glandulares, aumentadas de densidad de manera difusa, con la pretensión de existir algún nódulo predominante. En ocho pacientes se detectó un nódulo bien delimitado, duro y desplazable. En seis ocasiones la lesión era de escasa consistencia y fácilmente depresible. Cinco mujeres mostraron una lesión bien diferenciada del resto de la mama, con dudosa fijación a planos profundos. Y por último, dos mujeres presentaban una masa dura, adherida claramente a planos profundos, sospechosa de malignidad. En todas ellas el estudio por imagen se inició con una mamografía, la cual no mostró anormalidades.
Figs. 1 y 2. Paciente con nódulo palpable en región retroareolar de la mama izquierda. Mamografía: mama densa sin alteraciones. Ecografía: nódulo anecoico, bien delimitado con realce posterior del sonido. Diagnóstico: quiste simple.
Dado que existía palpación positiva completamos el estudio con una exploración ecográfica complementaria del área problema.
Figs. 3 y 4. Lesión palpable en unión de cuadrantes inferiores. Mamografía: mama grasa de aspecto radiológico normal. Ecografía: masa ovalada, bien delimitada, sólida y homogénea con buena transmisión posterior. Citología: lipoma.
En el presente trabajo pretendemos valorar la utilidad de los ultrasonidos en aquellos casos en que la senografía presentaba limitaciones, y para ello hemos realizado un análisis retrospectivo de estos 36 casos, revisando los hallazgos radiológicos y los resultados de Anatomía Patológica en aquellos casos en que se indicó biopsia.
RESULTADOS
Según los patrones de Wolfe estudiamos 12 mamas de alta densidad (patrón DY), nueve casos correspondían a un patrón P2, siete a un P1 y ocho a N1 (tabIa 1). Las mamas más densas en líneas generales correspondían a pacientes más jóvenes, pero no de forma significativa, ya que encontramos distintos patrones de Wolfe en un mismo intervalo de edad, siendo los casos extremos de nuestra serie el de una mujer de 28 años con un patrón N1 y una paciente de 59 con un DY. En ningún caso identificamos lesiones nodulares.
| TABLA 1 MAMOGRAFÍA: PATRONES DE WOLFE (n = 36) | ||
| Número de casos | % | |
| DY | 12 | 33,3 |
| P2 | 9 | 25,0 |
| P1 | 7 | 19,4 |
| N1 | 8 | 22,2 |
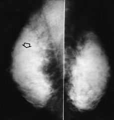
Figs. 5 y 6. Palpación positiva en cuadrante superoexterno de mama derecha (señalamos la zona con flecha hueca). Mamografía: mamas densas levemente asimétricas. Ecografía: masa hipoecoica, ovalada, bien delimitada. Citología: fibroadenoma.
El estudio ecográfico demostró en 24 ocasiones (66,6%) la presencia de lesiones nodulares no sospechadas por senografía, mientras que en 12 casos (33,3%) no mostró anormalidades (tabla 2). En las 12 pacientes en que ecográficamente no identificamos patología indicamos biopsia y/o vigilancia clínica estrecha según la exploración y el patrón mamográfico observado, sin que hasta el momento tengamos constancia de nuevas alteraciones.
| TABLA 2 HALLAZGOS ECOGRÁFICOS (n = 36) | ||
| Número de casos | % | |
| Nódulos | 24 | 66,6 |
| Sin alteraciones | 12 | 33,3 |
De los 24 nódulos estudiados, seis presentaban un tamaño inferior a 1 cm, cuatro casos estaban comprendidos entre 1-2 cm, ocho nódulos medían entre 2-3 cm y seis casos eran superiores a los 3 cm (tabla 3).
| TABLA 3 ECOGRAFÍA: NÓDULO. TAMAÑO (n = 24) | ||
| Número de casos | % | |
| < 1 cm | 6 | 25 |
| 1-2 cm | 4 | 16,6 |
| 2-3 cm | 8 | 33,3 |
| > 3 cm | 6 | 25 |
En 11 nódulos identificamos un patrón hipoecogénico-anecoico, ocho casos presentaban una ecogenicidad mixta y cinco nódulos eran francamente hiperecoicos (tabla 4).
TABLA 4 ECOGRAFÍA: NÓDULO. ECOGENICIDAD (n = 24) | ||
| Número de casos | % | |
| Baja | 11 | 45,8 |
| Mixta | 8 | 33,3,0 |
| Alta | 5 | 20,8 |
Los contornos de dichos nódulos aparecían bien delimitados en 16 ocasiones y en ocho casos eran irregulares (tabla 5).
| TABLA 5 ECOGRAFÍA: NÓDULO. CONTORNOS (n = 24) | ||
| Número de casos | % | |
| Irregulares | 8 | 33,3 |
| Bien delimitados | 16 | 66,6, |
Figs. 7 y 8. Masa dura, supraareolar en mama izquierda (marcamos mama izquierda con flecha hueca). Mamografía: mamas densas sin lesiones aparentes. Ecografía: nódulo irregular, de ecogenicidad mixta y contornos mal definidos. Biopsia: carcinoma ductal infiltrante.
En cuanto a la transmisión del sonido posterior a la lesión observamos que existía una atenuación del mismo completa (sombra sónica) o parcial en nueve ocasiones, en siete el sonido no se alteraba tras atravesar el nódulo y en ocho casos existía refuerzo acústico posterior (tabla 6).
TABLA 6 ECOGRAFÍA: NÓDULO. TRANSMISIÓN POSTERIOR (n = 24) | ||
| Número de casos | % | |
| Atenuación | 9 | 37,5 |
| Normal | 7 | 29,1 |
| Refuerzo | 8 | 33,3, |
Según las características de dichos nódulos decidimos detener el estudio en aquellos casos que se trataba de quistes simples, realizamos punción-aspiración en aquellos nódulos sólidos de «aspecto eco gráfico benigno» e indicamos biopsia en aquellos casos altamente sospechosos de malignidad.
Tras el análisis de los 24 nódulos comprobamos que dos casos correspondían a fibroadenomas, seis eran lipomas, otros seis resultaron ser quistes, y lo más importante del estudio es que 10 mujeres padecían un carcinoma de mama (tabla 7).
| TABLA 7 ANATOMÍA PATOLÓGICA (n = 24) | ||
| Número de casos | % | |
| Fibroadenoma | 2 | 8,3 |
| Lipoma | 6 | 25 |
| Quiste | 6 | 25 |
| C. ductal Infiltrante | 9 | 37,5 |
| Carcinoma medular | 1 | 4,1 |
En la tabla 8 mostramos la correlación entre los patrones de Wolfe, el resultado de Anatomía Patológica y los hallazgos ecográficos más significativos, habiéndonos encontrado patología variada en los patrones DY, P2 y P1, siendo unicamente destacable el hecho de que en las mamas grasas las lesiones identificadas en ecografía se correspondieron con lipomas, los cuales en mamografía pudieron confundirse con el tejido adiposo normal.
| TABLA 8 CORRELACIÓN PATRONES DE WOLFE Y ECOGRAFÍA (n = 24) | ||
| Patrón Wolfe | Anatomía patología | Hallazgos ecográficos más frecuentes |
| DY (n = 12) | 7 CDI. | Mixtos. Irregulares. Atenuación. |
| 2 quistes. | Anecoicos. Bien delimitados. Refuerzo. | |
| 2 fibroadenomas. | Hipoecoicos. Bien delimitados. | |
| 1 no biopsia. | Sin alteraciones. | |
| P2 (n = 9) | 2 CDI. | Mixtos. Irregulares. Atenuación. |
| 3 quistes. | Aneocoicos. Bien delimitados. Refuerzo. | |
| 1 lipoma. | Hipocoico. Bien delimitado. | |
| 3 no biopsia. | Sin alteraciones. | |
| P1 (n = 7) | 1 Ca. medular. | Hipoecoico. Bien delimitado. |
| 1 quiste. | Anecoico. Bien delimitado. Refuerzo. | |
| 1 lipoma. | Ecogénico. Bien delimitado. | |
| 4 no biopsia. | Sin alteraciones. | |
| N1 (n = 8) | 4 lipomas. | Ecogénicos. Bien delimitados. |
| 4 no biopsia. | Sin alteraciones. | |
DISCUSIÓN
En nuestro estudio la ecografía se ha revelado como un excelente método complementario en el estudio de pacientes sintomáticas que no mostraban alteraciones mamográficas, convirtiéndose en la técnica de imagen principal que ha permitido detectar patología.
Más de la mitad de las pacientes de nuestra serie presentaba un patrón denso en mamografía (DY o P2), lo que puede oscurecer parcial o totalmente una masa benigna o maligna, hecho reseñado frecuentemente en la literatura.10-12 En estos casos los ultrasonidos permitieron identificar la existencia de una masa y clasificarla en sólida o quística.
En el resto de los casos de nuestra serie las mamas presentaban un predominio graso (P1 o N1), pero la detección de la lesión nodular no fue posible bien por su localización, que impedía ser incluido en las proyecciones mamográficas habituales, bien por tratarse de un nódulo de densidad grasa (lipoma) que se confundía con la grasa del resto de la mama. Son, por tanto, limitaciones de la senografía que pueden ser salvadas mediante la ecografía, siendo éstos claros ejemplos de indicación de los ultraso-
nidos.14, 15
Figs. 9 y 10. Nódulo duro, supraareolar en mama derecha. Mamografía: mamas de aspecto normal. Ecografía: nódulo hipoecoico, mal delimitado, con atenuación posterior del sonido. Biopsia: carcininoma ductal infiltrante.
La ecografía, por otra parte, contribuye al diagnóstico de un quiste en el 96-100% de los casos, 16 lo que permitió en muestras seis pacientes tranquilizarlas y reducir su ansiedad.
Para Stavros et al 17 es imprudente intentar predecir si una masa sólida visualizada en ecografía es benigna o maligna porque los hallazgos pueden ser similares. En nuestra serie la ecografía, además de detectar la lesión, nos sirvió de guía para la punción, lo que nos permitió asegurar una buena muestra para citología.
Por todo lo expuesto a lo largo de este artículo consideramos que la ecografía es un buen método en el estudio de pacientes sintomáticas que no muestran alteraciones mamográficas. Pensamos que es obligatorio valorar con ultrasonidos tales casos puesto que permiten identificar lesiones ocultas e indicar biopsia en casos de patología sospechosa de malignidad.
Aunque la serie que presentamos no es amplia, los resultados son significativos si tenemos en cuenta que en un 66,6% encontramos patología, de la cual el 41,6% resultó ser patología maligna.
RESUMEN
En el presente trabajo pretendemos valorar el papel de la ecografía en casos de mujeres con masa palpable en las que la senografía no mostró anormalidades.
Para ello realizamos un estudio retrospectivo de 36 pacientes sintomáticas cuyas mamografías fueron negativas, a las que se practicó ecografía complementaria de la zona problema.
En un 66,6% la ecografía demostró patología y fue la única técnica de imagen que permitió indicar biopsia en casos sospechosos, resultando que 10 de las mujeres de nuestra serie padecían un cáncer de mama.
Por ello pensamos que es obligatorio el uso de los ultrasonidos en tales casos, ya que la práctica exclusiva de la senografía, con sus limitaciones, nos puede llevar a diagnosticar como normal casos en los existe patología, que en el 41,6% de nuestra serie resultó ser patología maligna.
REFERENCIAS
1.Wild JJ, Neal D. The use of high frecuency ultrasonic waves for detecting changes of texture in the living tissue. Lancet 1951;1:655-7.
2.Deland FH. A modified technique of ultrasonography for the detection and differential diagnosis of breast lesions. AJR 1969;105:446-52.
3.Texeidor HS, Kazan E. Combined mammographic-sonographic evaluation of breast masses. AJR 1977; 128:409-17.
4.Kabayashi T. Gray-scale echography for breast cancer. Radiology 1977;122:207-14.
5.Maturo VG, Zusmer NR, Gilson AJ. Ultrasound of the whole breast utilizing a dedicated automated breast scanner. Radiology 1980;137:457-63.
6.Basset LW, Kimme-Smith C, Sutherland LK, Gold RH, Sarti D, King W. Automated and hand-held breast ultrasound: effect on patient management. Radiology 1987;165:103-8.
7.Sickles EA, Filly RA, Callen PW. Breast cancer detection with sonography and mammography: comparision using state of the-art equipment. AJR 1983;140:843-45.
8.Kopans DB, Meyer JE, Lindfors KK. Whole-breast ultrasound imaging: foy years follow-up. Radiology 1985; 157:505-7.
9.Basset L, Kimme-Smith C. Breast sonography. AJR 1991;156:449-55.
10.Jackson V. The role of US in breast imaging. Radiology 1990;177:305-11.
11.Jacson V. Present and future role of ultrasound in breast imaging. Syllabus 1992;219-25.
12.Sickles EA, Filly RA, Callen PW. Benign breast lesions: ultrasound detection and diagnosis. Radiology 1984;151:467-70.
13.Michelin J. Atlas de ecografía mamaria y mamografía. Barcelona: Masson; 1986.
14.Jackson V. Management of solid breast nodules: what is the role of sonography? Radiology 1995;196:14-5.
15.Jackson V. The current role of ultrasonography in breast imaging. Radiol Clin North Am 1995;33:1161-70.
16.Hilton SV, Leopold G, Olson L Willson SA. Real-time breast sonograph: application in 300 consecutive patients. AJR 1986;147:79-486.
17. Stavros A, Thickman D, Rapp C, Dennis M, Parker S, Sisney G. Solid breast nodules: use of sonography to distinghish between benig and malignant lesions. Radiology 1995;196:123-34.














