El carcinoma papilar encapsulado de mama con diferenciación apocrina es una neoplasia extremadamente rara que posee una configuración tanto papilar encapsulada, así como células epiteliales que se diferenciaron de forma apocrina. No está incluido como tal en la quinta edición de la clasificación de tumores de la Organización Mundial de la Salud (OMS) debido a que no existen estudios de investigación al respecto. Estas neoplasias poseen células que se distinguen por tener citoplasma granular y grandes núcleos con nucléolos prominentes. Mediante estudio de inmunohistoquímica, estos tumores son negativos para los receptores de estrógeno, progesterona y HER2; pero a pesar de la ausencia de estos marcadores y la atipia nuclear descrita, poseen una supervivencia global que sobrepasa los 5 años, en comparación incluso con los otros tipos de neoplasia de mama triple negativo. Presentamos el caso de una mujer de 85 años que presentó un tumor de mama derecha que fue catalogado como carcinoma papilar encapsulado apocrino, fue intervenida quirúrgicamente de mastectomía total derecha, lo que permitió el control de la enfermedad, logrando de esa forma una evolución favorable.
Encapsulated papillary carcinoma of the breast with apocrine differentiation is an extremely rare neoplasm that possesses both an encapsulated papillary configuration as well as epithelial cells that differentiated apocrine. It is not included as such in the fifth edition of the World Health Organization (WHO) classification of tumors because there are no research studies on the subject. These neoplasms have cells that are distinguished by having granular cytoplasm, large nuclei with prominent nucleoli, through immunohistochemistry these tumors are negative for estrogen, progesterone and HER2 receptors, but despite the absence of these markers and the nuclear atypia described, they have an overall survival that exceeds 5 years compared even to the other types of triple-negative breast neoplasm. We present the case of an 85-year-old woman who presented a right breast tumor that was classified as apocrine encapsulated papillary carcinoma, underwent right total mastectomy surgery and allowed the control of the disease, thus achieving a favorable outcome.
El carcinoma papilar encapsulado no se encuentra especificado en la última edición de la OMS de la clasificación de tumores de mama, se considera una variante del tipo papilar y se distingue por tener tractos fibrovasculares tapizados por un epitelio de células neoplásicas con grado nuclear bajo/intermedio. Mediante inmunohistoquímica no se evidencian células mioepiteliales próximas o distribuidas periféricamente a las papilas. Cabe mencionar que las directrices brindadas por la OMS la estadifican como tumor in situ (pTis); no obstante, si existe invasión, la estadificación será de acuerdo con el nivel de infiltración, incluso aquellos que poseen un grado nuclear alto son considerados carcinomas invasivos1.
El carcinoma con diferenciación apocrina de mama tiene características similares a las glándulas sudoríparas apocrinas, las células tienen un citosol granulado, eosinofílico con núcleos grandes y nucléolos prominentes. Suelen ser negativos para receptores de estrógeno (RE), progesterona (RP) y el 30% expresa amplificación de HER2, siendo la mayoría negativos, a menudo expresan de forma intensa receptores de andrógenos (AR). Existen datos que el carcinoma apocrino triple negativo tiene un factor pronóstico más favorable en comparación con los otros tipos de carcinoma triple negativo1–3.
Caso clínicoUna mujer de 85 años, natural de Otuzco y procedente de Trujillo, con antecedentes de hipertensión arterial esencial, diagnosticada en 2003, en tratamiento con valsartán 50 mg, hidroclorotiazida 25 mg y clopidogrel 75 mg cada 12 horas, respectivamente; operada de colecistectomía laparoscópica en el año 2001. En julio del 2020 manifiesta un tumor indoloro de 4 x 4 cm, de crecimiento progresivo, localizado entre R7-R8 de la mama derecha, motivo por el cual acude al consultorio, donde se le realiza ecografía (7 de diciembre de 2020): en el cuadrante inferior externo de la mama derecha se aprecia una masa heterogénea sólida-quística con tabiques finos y gruesos, ecos internos móviles con microcalcificaciones de 62 x 53 x 48 mm y volumen de 82 cc. Sin adenopatías axilares. BIRADS 4A.
Posteriormente, es intervenida de tumorectomía de mama derecha con abordaje periaréolar el 20 marzo de 2021 y los hallazgos operatorios describen a nivel de R6-R12 un tumor de 8 x 9 cm de bordes definidos y de contenido líquido sanguinolento, el cual es aspirado y enviado para estudio citológico y bloque celular. La paciente tolera la cirugía y es dada de alta al segundo día. La anatomía patológica macroscópicamente describe un tumor de 6,2 x 5,5 x 4,5 cm, de consistencia fibroelástica. Al corte se observa neoplasia de color pardo blanquecino que mide 4 x 3 x 4 cm y dista a 0,1 cm de su borde de sección quirúrgico más cercano. El examen microscópico revela:
- •
Papiloma de conductos grandes con metaplasia apocrina, áreas de necrosis y hemorragia.
- •
Tejido mamario adyacente con ectasia ductal, dilataciones quísticas y calcificaciones intraperiductales. Borde sección quirúrgica libre de lesión a 0,1 cm.
- •
Inmunohistoquímica:
- o
Actina músculo liso: positivo en células mioepiteliales.
- o
CK 5/6: No contributorio
- o
CD 10: positivo focal
- o
- •
Bloque celular: células de aspecto glandular con metaplasia apocrina sin atipia.
Con estos resultados, se decide el control estricto semestralmente. Por motivos personales es perdida de vista y regresa a consultorio el 21 de octubre de 2023, manifestando presencia de un tumor de 3 cm en la mama derecha de bordes irregulares, móvil e indoloro, sin compromiso de piel y sin adenopatías axilares. Se le realiza ecografía el 22 octubre de 2023: en R11 imagen isoecogénica sólida de 28 x 21 mm a 2 cm del pezón, sin adenopatías axilares. BIRADS 2.
El 29 de enero de 2024 se reporta un aumento de tamaño tumoral y se efectiviza la biopsia Core de mama derecha:
- •
Muestra constituida por tejido fibroso y material hemático en mayor proporción.
- •
Se observa en 2 de los fragmentos evaluados foco de proliferación atípica glandular con diferenciación apocrina de alta sospecha de malignidad.
- •
Por el tamaño de la muestra no es posible determinar el comportamiento infiltrativo o la lesión mayor. Se sugiere escisión completa de la lesión.
Se complementan los estudios con mamografía (26 de abril de 2024) que describe la presencia de un nódulo de 48 x 52 mm con borde superior lobulado. No se aprecian microcalcificaciones agrupadas sospechosas. BIRADS 0.
La paciente es hospitalizada para el manejo quirúrgico debido al crecimiento del tumor hasta 10 cm y que ocupa todo el cuadrante superoexterno, de consistencia semiblanda, doloroso y piel de color violáceo ulcerada. Se obtiene ecografía de mama el 22 de agosto de 2024: en los cuadrantes superiores se observa una colección de paredes gruesas de hasta 6 mm que mide 96 x 76 x 65 mm, un volumen 249 cc, una profundidad media de 32 mm, con contenido levemente hiperecogénico con septos internos incompletos. Sin adenopatías.
Ingresa a sala de operaciones el 24 de agosto de 2024 donde se le realiza una mastectomía total derecha con disección baja de axila, los hallazgos operatorios muestran un tumor de 10 x 15 cm en el cuadrante superoexterno que compromete 3/4 partes del tejido mamario y de la piel circundante, con ulcera necrótica central. La paciente tolera la cirugía y es dada de alta sin complicaciones en su tercer día posoperatorio. Posteriormente, la paciente visita el consultorio, obteniéndose los resultados de la anatomía patológica que detalla:
Macroscopía (fig. 1):
- •
Producto de mastectomía derecha que mide 14 x 13 x 8 cm. Se observa un área violácea de 9 x 8 cm. Centro ulcerado que dista a 1,5 cm del cuadrante superior externo. En el corte seriado se observa una formación tumoral encapsulada de contenido sólido-quístico hemorrágico y necrótico, el componente sólido es 30%, pardusco y friable, ubicado en el cuadrante superior externo que mide 8 x 7,5 x 6 cm. Dista a 0,3 cm del borde profundo, 2 cm del pezón y 1,5 cm de la aréola.
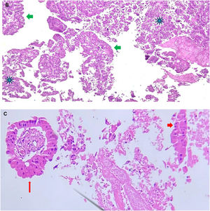
Imagen microscópica. Hematoxilina y eosina. Aumento 4X. B) se aprecian vistas panorámicas de la neoplasia que es escasa porque predomina el componente necrótico (*). También se puede ver un infiltrado inflamatorio denso. Se observa una configuración papilar (➔). C) Las estructuras de los extremos son el componente que resalta en esta neoplasia y es la metaplasia apocrina (➔) no obstante casi el 80% era necrosis.
Imagen microscópica. Hematoxilina y eosina. Aumento 10X. D) Se observa la cápsula (*) alrededor de la neoplasia que con una arquitectura papilar tiene predominantemente cambios de metaplasia apocrina (*). E) La acidofilia y las características metaplásicas apocrinas en estructuras papilares asociadas al pleomorfismo son propios de esta neoplasia (*). Se observan las células con citosol granulado que se tiñe con eosina que poseen núcleos grandes y nucléolos prominentes (➔). También es característica la mitosis atípica (➔).
Microscopía (figs. 2-4):
- •
Carcinoma papilar encapsulado con diferenciación apocrina. Tamaño tumoral de 80 mm.
- •
Patrón arquitectural: papilar apocrino. Posee una pared quística gruesa que contiene papilas dentro de la misma, las células apocrinas tienen un citosol con gránulos que se tiñen con la eosina y llama la atención los núcleos grandes que contienen nucléolos prominentes, con algunas figuras mitóticas.
- •
Grado nuclear 1.
- •
Necrosis presente central.
- •
Piel libre de neoplasia maligna.
- •
Margen de sección profundo libre a 1 mm.
- •
Ganglios linfáticos regionales: negativos.
- •
Estudio de inmunohistoquímica:
- o
RE negativo
- o
RP: negativo
- o
HER2 Neu: Negativo (0)
- o
Ki-67 10%
- o
CD10: negativo
- o
- •
No se constató infiltración en las secciones estudiadas.
Bajo estos hallazgos se establece el diagnóstico de carcinoma papilar encapsulado con diferenciación apocrina de mama derecha. Desde entonces, la paciente es citada a controles trimestralmente, a la cual acude sin falta, no se evidencian signos de recurrencia en sitio operatorio, cicatriz operatoria permanece en buen estado y la paciente presenta una evolución favorable.
DiscusiónHasta el momento se han reportado 12 casos de carcinoma papilar encapsulado apocrino, 2 de ellos presentaron histología invasiva y uno fue varón (tabla 1). El carcinoma papilar encapsulado representa el 1% de todas las neoplasias malignas de mama y es más frecuente en pacientes de edad avanzada; por lo general se manifiestan como masas quísticas o como una masa multinodular compacta. En el microscopio se observa una pared fibrosa vasta y las superficies papilares están cubiertas de células dispuestas de forma cribiforme con grado nuclear bajo/intermedio, los marcadores inmunohistoquímicos carecen de RE, RP y HER2, además el índice de positividad del Ki67 es de bajo a intermedio. La OMS la define como un carcinoma papilar intraquístico y debe ser tratado como pTis para evitar sobretratamiento debido a su buen pronóstico, que es similar al carcinoma in situ, demostrando así una biología conductualmente inerte. Puede ser considerado como invasivo siempre y cuando se establezca un grado nuclear alto, algunos estudios reportan que el carcinoma papilar apocrino no presentó recurrencia aun cuando no recibieron quimioterapia1,4–7.
Características clínico-patológicas de casos reportados de carcinoma papilar encapsulado apocrino, incluyendo la presente
| Autor | Año | Sexo y edad de paciente | Tratamiento | Enfermedad | Recurrencia | Estado actual |
|---|---|---|---|---|---|---|
| Tenazoa-Villalobos, Yan-Quiroz, Llerena-Cobián | 2024 | Mujer de 85 años | Cirugía: tumorectomía de mama derecha y después mastectomía total derecha con disección baja de axila.Quimioterapia: noRadioterapia: no | RE: negativoRP: negativoHER2: negativoKi-67: 10%CD 10: negativoInvasión: no | No | Paciente viva |
| Katsuo K, Otani T, Sano H8 | 2023 | Varón de 71 años | Cirugía: escisión total del tumor de axila derecha. Rechazó biopsia de ganglio centinela.Quimioterapia: noRadioterapia: no | RE: negativoRP: negativoHER2-neu: negativoKi-67: 27,1%GCDFP-15: positivoInvasión: no | No | Seguimiento de 1,5 años. Paciente vivo |
| Lian J, Ma HX, Xi YF, Wang LX9 | 2022 | Mujer de 49 años | Cirugía: resección de tumor de la mama izquierda.Quimioterapia: noRadioterapia: no | RE: Debilmente positiva 5%RP: negativoHER2-neu: negativoKi-67: 20%GCDFP-15: positivoRA: positivoE-Cadherina: positivap53: negativaCalponina y p63: positiva para células mioepitelialesAMS: negativaInvasión: no | No | Paciente viva |
| Taniguchi K, Yamasaki R, Kajiwara Y, Ichimura K, Yoshino T10 | 2022 | Mujer de 77 años | Cirugía: mastectomía derechaQuimioterapia: paclitaxel, epirubicina y ciclofosfamidaRadioterapia: no | RE: negativoRP: negativoHER2-neu: débilmente de forma positiva. 1+RA: positivoGCDFP-15: positivoCD10 y p63: negativoInvasión: síCDIS: sí | No | Seguimiento de 8 meses. Paciente viva |
| Kővári B, Ormándi K, Simonka Z, Vörös A, Cserni G5 | 2018 | Mujer de 70 años | Cirugía: mastectomía parcial izquierda más biopsia de ganglio centinela.Quimioterapia: noRadioterapia: no | RE: negativoRP: negativoHER2-neu: negativoRA: positivoKi-67: 15%GCDFP-15: positivoComponente de carcinoma infiltrante | No | Seguimiento de 8 meses. Paciente viva |
| Kuroda N, Fujishima N, Hayes MM, Moritani S, Ichihara S11 | 2014 | Mujer de 68 años | Cirugía: mastectomía parcial derechaQuimioterapia: noRadioterapia: no | RE: negativoRP: negativoHER2-neu: negativoRA: positivoGCDFP-15: positivoAMS, p63, CD10, calponina, S-100, citoqueratina 14: negativos.Invasión: no | No | Seguimiento de 11 meses. Paciente viva |
| Hayashi H, Ohtani H, Yamaguchi J, Shimokawa I12 | 2013 | Mujer de 49 años | Cirugía: tumorectomía de mama izquierdaQuimioterapia: noRadioterapia: no | RE: negativoRP: negativoHER2-neu: negativoRA: positivoKi-67: 0,2%GCDFP-15: positivoCalponina, p63, CD 10: negativos.p53: negativoCK5/6: negativo | No | Seguimiento de 22 meses. Paciente viva |
| Laforga JB, Gasent JM, Sánchez I13 | 2011 | Mujer de 50 años | Cirugía: mastectomía parcial derecha más biopsia de ganglio centinela.Quimioterapia: noRadioterapia: no | RE: negativoRP: negativoHER2-neu: negativoRA: positivoKi-67: 10%GCDFP-15: negativoAMS, p63, calponina y colágeno IV: negativosInvasión: no | No | Paciente viva |
| Seal M, Wilson C, Naus GJ, Chia S, Bainbridge TC, Hayes MM4 | 2009 | Mujer de 44 años | Cirugía: mastectomía parcial izquierdaQuimioterapia: noRadioterapia: no | RE: negativoRP: negativoHER2-neu: negativoGCDFP-15: positivoInvasión: no | No | Seguimiento de 36 meses. Paciente viva |
| Mujer de 44 años | Cirugía: mastectomía parcial izquierda y biopsia del ganglio linfático centinelaQuimioterapia: noRadioterapia: 42,5 Gy en 16 fracciones | RE: negativoRP: negativoHER2-neu: negativoGCDFP-15: positivoInvasión: no | No | Seguimiento de 17 meses. Paciente viva | ||
| Mujer de 84 años | Cirugía: mastectomía parcial izquierdaQuimioterapia: noRadioterapia: no | RE: negativoRP: negativoHER2-neu: negativoGCDFP-15: positivoInvasión: no | No | Seguimiento de 41 meses. Paciente viva | ||
| Mujer de 50 años | Cirugía: mastectomía parcial izquierda con reexcisión y biopsia del ganglio linfático centinelaQuimioterapia: noRadioterapia: no | GCDFP-15: PositivoInvasión: no | No | Seguimiento de 7 meses. Paciente viva | ||
| Mujer de 50 años | Cirugía: mastectomía parcial izquierda y biopsia del ganglio linfático centinelaQuimioterapia: noRadioterapia: no | GCDFP-15: PositivoInvasión: no | No | Seguimiento de 3 meses. Paciente viva |
AMS: Actina de músculo liso; CDIS: Carcinoma ductal in situ; GCDFP-15: proteína-15 del líquido de la enfermedad quística macroscópica; HER2-neu: Receptor de factor de crecimiento epidérmico humano neu2; RA: Receptor de andrógeno; RE: Receptor de estrógeno; RP: Receptor de progesterona.
El carcinoma apocrino presenta patrones complejos estructurales de crecimiento sólido/papilar, células con citosol lleno de gránulos finos eosinofílicos, compuesta de núcleos voluminosos redondos con nucléolos resaltantes y escasas figuras mitóticas. Mediante inmunohistoquímica estas células son negativas para RE, RP, CK5/6, HER2, y positivos para RA. A pesar de tener una atipia nuclear severa, tienen mejor pronóstico en contraparte con los otros tipos de malignidades de mama triple negativo. Algunos estudios reportan que a pesar de esta atipia, no se asocia con un un comportamiento agresivo y el carcinoma papilar apocrino no se cataloga como un carcinoma invasivo, siempre y cuando no se documente una invasión grosera, no obstante, hay algunos reportes de casos que describen esta neoplasia con metástasis ganglionar y tuvieron un pronóstico ominoso. Recientemente, se ha propuesto el tipo «apocrino molecular», que se distingue por la no expresión de RE/RP, pero sí alta expresión de AR3,6,14–16.
En el presente caso, el tumor estaba bordeado por una pared fibroquística, las papilas estaban dentro del quiste, lo que revelaba un tapiz de células apocrinas de grado bajo. La necrosis extensa se encontraba en el centro del tumor junto a una infiltración de células inflamatorias, no hubo evidencia de displasia del epitelio ductal, carcinoma ductal in situ o invasivo en el tejido mamario, y el inmunofenotipo fue triple negativo. Tratado como un tumor in situ, la paciente presenta una evolución favorable, con seguimiento estricto, y no se evidencian signos de recurrencia, no fue necesaria quimioterapia ni radioterapia.
ConclusiónEl carcinoma papilar encapsulado apocrino es una neoplasia muy infrecuente, se precisa un análisis más exhaustivo en cuanto a la expresión genética, el pronóstico y el manejo, ya que esta neoplasia no es tumor indolente y tiene potencial de ser invasivo. Debido al pequeño número de reportes y la información disponible escasa se precisa que este tema sea ampliamente estudiado.
Responsabilidades éticasEl comité de Ética del Hospital Víctor Lazarte Echegaray EsSalud manifiesta su aprobación.
Consentimiento informadoLos autores declaran que han obtenido el consentimiento de la paciente para la publicación de este artículo.
FinanciaciónLos autores declaran que el presente estudio fue autofinanciado y no recibió financiación externa alguna.
Conflicto de interesesLos autores declaran que no tienen conflictos de intereses en la publicación de este artículo.









