Introducción
Los tumores neurogénicos de mediastino constituyen entre el 12 y el 20%1 de los tumores primarios mediastinales. Histológicamente, la mayoría de los tumores de mediastino posterior en adultos son benignos, tan sólo un 5% presentan malignidad.
La sintomatología es ocasionada por compresión del canal raquimedular, un 10% de los tumores paravertebrales presentan extensión intraespinal, o de órganos adyacentes, debido al gran tamaño del tumor.
El tratamiento de elección es la cirugía. La vía de abordaje va a depender de las características del tumor, su localización y tamaño, principalmente.
Su pronóstico es bueno, tras la cirugía de exéresis completa no suelen presentar recidiva.
Caso clínico
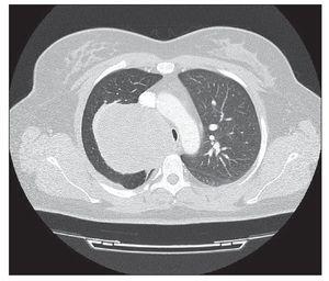
Mujer de 35 años, sin antecedentes de interés, que presentaba clínica progresiva de 5 meses de evolución de ptosis palpebral y dolor pleurítico derecho. A la exploración física había ptosis palpebral derecha leve de 2 mm respecto al párpado contralateral e hipoventilación de hemitórax derecho. Realizamos radiografía torácica posteroanterior que mostraba una masa en ápex derecho, por lo que completamos el estudio mediante tomografía computarizada (TC) torácica, la cual mostraba una masa sólida de contorno redondeado y bien definido, de 85 ´ 84 mm de diámetros transversales y 87 mm de diámetro sagital, paravertebral derecha desde D1 (vértebra dorsal) hasta D5-D6, con prolongación hacia el agujero de conjunción de D1-D2 sin invadirlo. La masa desplazaba la tráquea hacia la izquierda, disminuyendo su luz, con diámetro transversal de esta en la parte más estrecha de 6 mm y el anteroposterior de 15 mm (fig. 1), siendo por tanto el diagnóstico más probable un tumor de origen neurogénico. Ante estos hallazgos, realizamos biopsia transtorácica que nos dio un diagnóstico anatomopatológico (AP) compatible con neurofibroma. Se procedió a la exéresis del tumor mediante toracotomía posterolateral derecha. Accedimos a la cavidad torácica y hallamos masa tumoral extrapleural adherida a zona apicoposterior (fig. 2) y ápex pulmonar, sin invasión de estructuras adyacentes. Se liberó tanto de la pleura parietal como del ápex pulmonar, localizando el del pedículo a nivel del 2.º y 3.º espacios intercostales derechos, sin invasión del cuerpo vertebral ni agujero de conjunción, ligadura de este, ni exéresis de la tumoración. El postoperatorio fue favorable y la paciente fue dada de alta 3 días después de la intervención. El diagnóstico AP definitivo fue de neurofibroma.
Figura 1 Masa sólida de contorno bien definido, de 85 ´ 84 mm de diámetros.
Figura 2 Masa tumoral extrapleural.
La paciente fue controlada en consultas externas durante 6 meses para valorar la evolución de la ptosis palpebral. Dado que no se apreció mejoría, se remitió a la paciente al Servicio de Cirugía Plástica. Después de realizar un estudio de la ptosis palpebral, persistía ptosis de 2 mm respecto al párpado contralateral con función conservada del músculo elevador, y se optó por realizar blefaroplastia asistida con anestesia local mediante plicatura de la fascia del músculo elevador sin desinsertarlo.
Un año después de la cirugía de exéresis del neurofibroma, la paciente está libre de enfermedad y la ptosis, corregida.
Discusión
Los tumores neurogénicos de mediastino constituyen entre el 12 y el 20%1 de los tumores primarios mediastínicos. Se originan en los elementos del sistema nervioso del mediastino y se clasifican en tres grupos según su procedencia: a) los tumores de las vainas nerviosas de los nervios periféricos (neurofibromas y shwannomas); b) tumores procedentes de los ganglios simpáticos (ganglioneuromas), y c) los tumores originados en los paraganglios (paragangliomas).
Los neurofibromas y los shwanomas representan entre el 40 y el 60% de los tumores de mediastino posterior. El shwanoma es el más frecuente2.
Histológicamente, la mayoría de los tumores de mediastino posterior en adultos son benignos, tan sólo un 5% presenta malignidad; sin embargo, en la edad pediátrica este porcentaje de malignidad aumenta y llega al 40% en los primeros 5 años de vida3. En el contexto de enfermedad de Von Recklinghausen, los neurofibromas mediastínicos tienen un riesgo de malignización en el 34% de los casos4.
La sintomatología es ocasionada por compresión del canal raquimedular o de órganos adyacentes, debido al gran tamaño del tumor. Las distintas series publicadas presentan un porcentaje del 50% de los pacientes con síntomas pulmonares y del 6-13%5 de los pacientes con síntomas neurológicos. En nuestro caso, la paciente presentaba dolor pleurítico y ptosis palpebral. El mecanismo de producción de la ptosis palpebral puede deberse a compresión directa del tumor sobre el ganglio estrellado o a que dicho tumor englobase algunas fibras nerviosas de este. A pesar de ser una ptosis leve, dado que interfería en el campo de visión superior de la paciente y no se recuperó tras 6 meses de observación, se decidió su corrección mediante cirugía.
Radiológicamente, en la TC de tórax, se presentan como lesiones de baja densidad, masas homogéneas de forma oval y márgenes bien definidos. La apariencia infiltrativa, la presencia de una lesión osteolítica irregular o el aspecto heterogéneo de la lesión son características propias de malignidad.
Aproximadamente el 10% de los tumores paravertebrales neurogénicos presentan extensión dentro del canal espinal. En estos casos, la resonancia magnética preoperatoria nos facilita la elección del abordaje quirúrgico.
La imagen que nos proporcionó la TC torácica descartó la afectación del agujero de conjunción y componente intraespinal de la tumoración.
El tratamiento de elección es la cirugía. La vía de abordaje va a depender de las características del tumor, su localización y tamaño, principalmente.
La toracotomía posterolateral derecha ha sido la vía empleada tradicionalmente, combinada con laminectomía, si hay extensión de la tumoración en canal raquídeo.
Algunos grupos defienden la realización de laminectomía y costotransversectomía, sin entrar en cavidad pleural.
Actualmente, la VATS (del inglés video-assisted thoracic surgery) representa el método de referencia para el tratamiento de los tumores neurogénicos benignos de mediastino2. No obstante, esta técnica está contraindicada en tumores con extensión intraespinal (Valieres et al6 y Pun et al7 describen cuatro casos de tumores con extensión intraespinal que fueron resecados mediante microneurocirugía combinada con VATS), tumores que engloban la arteria espinal, tumores localizados en ápex a nivel de T2, tumores con diámetro mayor de 6 cm y tumores con localización costodiafragmática8.
Cardillo et al1 describen en su serie una menor morbilidad, estancia media hospitalaria y dolor postoperatorio en los pacientes intervenidos por VATS frente a la cirugía abierta.
En nuestro caso, realizamos toracotomía posterolateral derecha, ya que el tamaño del tumor y su localización dificultaron su exéresis mediante VATS. No fue necesario realizar laminectomía, dado que no había extensión intraespinal.
Se trata de tumores con buen pronóstico, y después de la cirugía completa es rara su recidiva.
Conflicto de intereses
Los autores declaran que no tienen conflicto de intereses.
*Autor para correspondencia.
Correo electrónico:mirissima@hotmail.com (M. Estors Guerrero).
Recibido el 15 de junio de 2011;
aceptado el 4 de julio de 2011



