Se considera un fracaso estético la visible decoloración grisácea de la mucosa periimplantar, después de la inserción del pilar y la cementación de la corona, esto se debe al uso de pilares metálicos o a un biotipo periodontal delgado. El objetivo de este reporte de caso es mejorar la apariencia estética gingival en pacientes con biotipo delgado, modificando el color en la región submucosa de un pilar personalizado atornillado de zirconio en un incisivo lateral derecho.
Greyish pigmentation of the mucosa around implants after abutment insertion and crown cementation is considered an esthetic failure. This pigmentation is due to use of metallic abutments or a thin periodontal biotype. The purpose of the present report was to improve gingival esthetic appearance of patients with thin biotype, by modifying color in the sub-mucosal region of a screwed-on, custom made, zirconium abutment, successfully improving gingival aesthetics in a right lateral incisor.
La corona de diente único implantosoportada en el sector anterior, es una alternativa con excelentes resultados clínicos. Los materiales más utilizados para este fin son pilares metálicos con una restauración metal-cerámica o pilares de zirconio con una corona totalmente de cerámica; sin embargo, el uso de pilares metálicos se asocia con problemas estéticos.
Durante muchos años, el titanio ha sido el metal más usado por los fabricantes para la confección de pilares estandarizados sobre implantes, debido a su excelente retención mecánica.1 Sin embargo, el color gris se transparenta en presencia de un biotipo periodontal delgado y crea una apariencia gingival diferente en relación con la encía de los dientes vecinos.2 Además en el dado caso de una recesión gingival posterior a la restauración, se expone el pilar de titanio afectado la estética de manera desfavorable;3,4 aunque estas restauraciones pueden ser viables desde el punto de vista protésico, son un fracaso estético.5
Con base en la evidencia científica, el biotipo periodontal puede ser diagnosticado por inspección clínica observando la transparencia de la sonda periodontal a través de la mucosa.6,7
Una mucosa con un espesor mayor de 1 mm se considera como un biotipo periodontal grueso y la mucosa con espesor menor a 1 mm se define como un periodonto delgado con una apariencia delicada casi traslúcida susceptible a recesión gingival,7,8 generando un efecto poco estético conocido como clarooscuro «shine through» o grisáceo por debajo de la mucosa periimplantar.9
Imitar la apariencia de un diente natural es de gran importancia, por lo tanto se debe evaluar la anatomía, el color, la apariencia y el grosor de la mucosa periimplantar; estos factores son decisivos y determinantes para lograr la estética del tejido blando.10
Existen otros factores que influyen en la estética de la restauración como es la posición del implante, la forma, contorno y color del pilar protésico.11
Un estudio evaluó las restauraciones sobre implante de diente único en la zona estética, revelando que el 60% de los casos presenta una desigualdad en el color entre el tejido blando de la restauración sobre implante, comparándola con el diente natural. Siendo el mayor problema en las restauraciones implantosoportadas.5
Para mejorar esta desventaja, fueron introducidos en la implantología los pilares de zirconio, con excelentes ventajas biológicas como la baja adhesión de las bacterias y la biocompatibilidad con el tejido blando, cuando es comparada con el titanio;10–13 logrando así con el pilar de zirconio un resultado altamente estético.
El objetivo de este reporte de caso es mostrar la modificación del color en la región submucosa de un pilar personalizado atornillado de zirconio; mejorando la estética gingival de manera exitosa.
Reporte de Caso ClínicoMujer de 24 años con buen estado de salud general, consulta por inflamación marginal a nivel del incisivo lateral superior derecho con una profundidad al sondaje de 8 mm en vestibular y la presencia de una corona cerámica como restauración, sin antecedentes de hábitos parafuncionales (Figura 1).
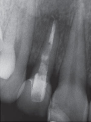
A la valoración radiográfica se aprecia un diente con tratamiento endodóntico, una lesión en el periápice y un poste de fibra de vidrio (Figura 2).
Basados en este examen clínico y radiográfico se diagnosticó como una fractura longitudinal de la raíz con un pronóstico malo.
Entre las indicaciones para la extracción dentaria y colocación inmediata de implante, se incluyen la fractura radicular, pérdida de soporte óseo avanzado, diente deciduo retenido, fracasos endodónticos, corona no restaurable y trauma dentoalveolar.
Se discuten las diferentes opciones de tratamiento y con el consentimiento de la paciente, se decide reemplazar el diente por una corona implantosoportada.
Estudios requeridos como radiografías periapical, panorámica, fotos, modelos de estudio y la tomografía axial computarizada (TAC), permite identificar las estructuras anatómicas, la calidad y disponibilidad ósea.
La paciente fue medicada con analgésico tipo Etoricoxib (100 mg cada 24 horas), antibiótico (clindamicina 300 mg cada 6 horas), aplicaciones de hielo extraoral fueron recomendadas el primer día y enjuagues con clorhexidina 0.2% por ocho días.
Anestesia local infiltrativa (lidocaína clorhidrato al 2% roxicaína) fue aplicada en la zona del incisivo lateral superior derecho, después de esto la exodoncia preservando el alvéolo (Figura 3). Se coloca un implante Replace Select (Nobel Biocare) de 3.5 x 13 mm. La estabilidad primaria del implante fue confirmada mediante la inserción de torque a 35 Ncm; para compensar las alteraciones de la pared vestibular, el espacio entre el implante y la pared bucal fue sellada con injerto óseo Bi-Oss de partícula pequeña medular (Geistlich Pharma) (Figura 4). A continuación fue provisionalizado de manera inmediata con un pilar plástico prefabricado (Nobel Biocare) (Figura 5).
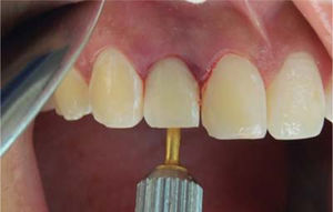
La impresión definitiva tomada a los seis meses de cicatrización con un coping de impresión para cubeta abierta se confeccionó el patrón del pilar con resina acrílica (Pattern Resin GC). Luego fue escaneado con la técnica CAD/CAM (Procera Forte, Nobel Biocare USA) y maquinado en zirconio (Procera óxido de zirconio, Nobel Biocare USA). El asentamiento y la adaptación del pilar se verifica mediante una radiografía periapical (Figura 6). La cerámica fue aplicada sobre el pilar de zirconio pulido, con parámetros de guía incisal y estética similar al diente contralateral. En la parte submucosa del pilar personalizado fue aplicada una capa de 0.5 mm de espesor de cerámica rosada, e.max (Ivoclar Vivadent) acorde con las especificaciones del fabricante simulando el color de la encía de los dientes vecinos (Figura 7). Para lograr compensar el efecto grisáceo de la mucosa, cuando el diente está sin la capa de cerámica rosada en cervical (Figura 8).
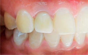
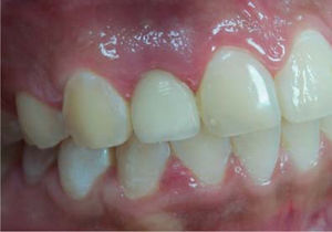
La restauración final fue atornillada con un torque de 15 Ncm (Figura 9). Veinticuatro meses después de la carga protésica, la mucosa periimplantar está en buenas condiciones.
DiscusiónBasados en la evidencia científica, los parámetros que influyen en el color de la mucosa periimplantar son el espesor del tejido y el material del pilar.14,15 Este reporte de caso evidencia el impacto de la modificación del color sobre la parte submucosa de un pilar en zirconio, logrando un resultado estético favorable.
El espesor de la mucosa periimplantar en la zona estética ha sido evaluada con un promedio de 2.0 ± 0.7 mm, Chang et al8 y Olsson et al;16 en este caso el espesor del tejido fue menor de 2 mm de acuerdo con Park et al9,17 el tejido periimplantar tiende a ser delicado con una apariencia casi translúcida, y permite que los pilares de titanio se transparenten dejando una apariencia grisácea a nivel del margen. La decoloración causada por el pilar de zirconio puede ser reducida en comparación con los pilares de titanio, siendo clínicamente visible a nivel de implantes en la zona estética. Por consiguiente el uso de pilares en zirconio (ZrO2) está indicado en regiones de alta demanda estética.4,18,19
Sin embargo, Bressan et al20 reportan que el pilar de zirconio blanco genera una decoloración leve en la mucosa delgada; para contrarrestar este efecto Buchi et al10 presentan la modificación de un pilar en zirconio aplicando cerámica rosada en la zona submucosa obteniendo excelente resultado. En este caso esta observación fue confirmada, por esto el pilar de zirconio en la zona blanca submucosa se enmascara con cerámica rosada, y en coronal, una cerámica fluorescente eliminando la apariencia grisácea por la translucidez gingival de la mucosa periimplantar. A su vez se compensa la alta translucidez de la cerámica rosada, conservando la luminosidad del tejido y el cambio de color de la mucosa con apariencia natural que satisface las necesidades del paciente.
ConclusiónEl tipo de material del pilar y el espesor de la mucosa tienen una influencia significativa en el cambio de color de la mucosa periimplantar, lo que hace necesario modificar la zona submucosa del pilar con la aplicación de cerámica rosada.
Evitando una cirugía adicional de injerto conectivo, mediante la utilización de un pilar cerámico modificado en la región cervical. Antes de restaurar un implante en la zona estética debe ser analizado con el paciente el costo-beneficio de la restauración final.
Especialista en Rehabilitación Oral. Universidad Autónoma de Manizales, Colombia. Profesora del Departamento de Rehabilitación Oral. Escuela de Odontología, Universidad del Valle. Cali, Colombia
Este artículo puede ser consultado en versión completa en http://www.medigraphic.com/facultadodontologiaunam










