¿ INTRODUCCIÓN
Las especies agrupadas en el complejo Mycobacterium tuberculosis son: M tuberculosis, M. africanum y M. bovis. En nuestro medio, M. tuberculosis es el agente etiológico habitual de enfermedades urológicas. Se trata de un bacilo aerobio estricto que tiene como características ser ácido-alcohol resistente, sensible a la luz solar, al calor, la luz ultravioleta y algunos desinfectantes pero resistente a la desecación. El Mycobacterium tuberculosis llega a los órganos genitourinarios por vía hematógena desde los pulmones. Una vez producida la primoinfección, en 90% de los casos la respuesta inmunitaria que se desencadena es suficiente para evitar el desarrollo de enfermedad clínica; los bacilos permanecen en estado latente en pequeños focos.1 La tuberculosis renal es el sitio extra pulmonar de afección más común y comprende de entre 15 a 20% de todos los casos extra pulmonares.2,3
En todo el mundo la tuberculosis genitourinaria es responsable de 14% de las manifestaciones no pulmonares y 20% fue registrado en la raza blanca.4
En el mundo occidental entre 8% a 10% de los pacientes con tuberculosis pulmonar desarrollan tuberculosis renal, y en los países subdesarrollados la proporción de personas con Mycobacterium tuberculosis en la orina puede llegar de 15% a 20%.4-6
Los bacilos generalmente se encuentran en la región cortico-medular en forma de granulomas y cuando el individuo es afectado inmunológicamente el bacilo se reactiva resultando en una diseminación dentro de la médula, causando una papilitis.3 La enfermedad progresa lentamente y resulta en una necrosis extensa de la papila y puede incluso formase francas cavidades con abscesos y provocar destrucción del parénquima renal. Generalmente la forma de presentación es unilateral, las lesiones pueden ulcerar los túbulos colectores causando baciluria. Las afectaciones progresan y puede ocurrir fibrosis con escaras, cicatrices o atrofias parciales del parénquima renal, siendo su principal complicación la hipertensión. Todos los demás órganos genitourinarios se afectan después, ya sea por vía ascendente o descendente. Puede incluso ocasionar estenosis de la unión ureteropiélica.
Hay dos mecanismos por los cuales se puede llegar a provocar falla renal; el primero es por infección intrínseca, causando endarteritis obliterante y el segundo mecanismo es por atrofia renal secundaria a obstrucción debidas a estenosis de uréter o a múltiples estenosis del infundíbulo.3,6
Los síntomas y signos de la tuberculosis genitourinaria son de intensidad y duración variables.3 Los pacientes por lo común refieren polaquiuria creciente e indolora que no responde a tratamiento antibiótico habitual.4,6 Otras manifestaciones clínicas son: hematuria total, intermitente (10%), microhematuria (50%), cólico nefrítico (fragmento calcificado, coágulo, litiasis), hemospermia, HTA (5% a 10%, y 25% en monorrenos), astenia, anorexia, adelgazamiento, y pionefrosis febril y tóxica (raras).1,6
El ultrasonido puede revelar dilatación del sistema calicial y otros datos de obstrucción, con una sensibilidad para el diagnóstico de tuberculosis renal de 58.9%. Los hallazgos pueden ser clasificables en seis tipos: 1. ectasia; 2. hidronefrosis; 3. empiema; 4. atrofia e inflamación; 5. calcificación y 6. combinación de los anteriores.7
La urografía excretora es de gran apoyo diagnóstico, puede detectar varios signos los cuales consisten desde distorsión de los cálices, hasta calcificaciones, estenosis de uréter y fibrosis vesical.2
El diagnóstico diferencial se debe de hacer con pielonefritis aguda en lesiones de intersticio, masas ocupantes en los abscesos, divertículos caliciales en las cavernas y ureteritis quística en la lesión de uréter.5
El tratamiento médico consiste actualmente en iniciar con cortos esquemas de antifímicos, que son efectivos para casi todas las formas de tuberculosis. Estos están basados en iniciar con cuatro antifímicos por dos meses, utilizando rifampicina, isoniazida, pirazinamida, y etambutol (o estreptomicina) este esquema es seguido por cuatro meses más utilizando solamente rifampicina e isoniazida.2
¿ PRESENTACIÓN DEL CASO CLÍNICO
Hombre de 30 años de edad, católico, casado, obrero, tabaquismo y alcoholismo negados. Como antecedente heredofamiliar de importancia, refirió que su padre está en tratamiento por tuberculosis pulmonar. Antecedentes personales patológicos: apendicetomía 15 años antes.
Inició su padecimiento hace dos años con disuria terminal, polaquiuria, pujo y tenesmo vesical, los cuales remitían espontáneamente. Posteriormente se agregó un episodio de hematuria total con coágulos amorfos y un evento de retención aguda de orina. Desde entonces persistió con cuadros intermitentes, sin mejoría a la administración de antibióticos. En la exploración física no hubo evidencia de alteraciones relevantes. Exámenes de laboratorio iniciales: hemoglobina 13.1 g/dL, hematocrito 39%, leucocitos 4.4 1000/UI, neutrófilos 61%, monocitos 13%, eosinófilos 1%, plaquetas 321 mil, glucosa 128 mg/dL, L 24 mg/dL, creatinina 1.4 mg/dL. Examen general de orina: color café, densidad 1.025, pH 6.5, leucocitos 100 x campo, proteínas (+), hemoglobina (+++), bacterias abundantes. BAAR en orina: positivo en cinco de seis muestras. Prueba de ELISA para HIV no reactivo.
Placa simple de tórax: Partes blandas y óseas sin alteraciones, no se apreciaron alteraciones en el resto del estudio. Placa simple de abdomen partes blandas y óseas sin alteraciones, silueta renal izquierda aumentada de tamaño respecto a la contra lateral; el resto del estudio: normal.
Ultrasonido de abdomen: Hígado, vesícula biliar, bazo, páncreas normales, riñón derecho 10.9 cm por 4.3 cm morfología normal, riñón izquierdo de 11.2 cm por 5.3 cm con dos quistes renales simples en polo superior de 2.7 cm y 2.5 cm, respectivamente, así como hidronefrosis.
En la urografía excretora se apreció aumento de la silueta renal izquierda en la placa simple; con la aplicación de medio de contraste, se apreció exclusión renal izquierda; el riñón contralateral sin alteraciones (Figura 1).
Imagen 1. Urografía excretora. Con la aplicación de medio de contraste, se aprecia exclusión renal izquierda; el riñón contra-lateral sin alteraciones (placas tomadas a los cinco [izq] y 90 [der] minutos
Tomografía computarizada de abdomen simple y contrastado: Se apreciaba riñón izquierdo aumentado de tamaño, con ectasia moderada, parénquima heterogéneo con calcificaciones, no concentraba ni eliminaba medio de contraste (Figura 2).
Imagen 2. TC con contraste oral e intravenoso.
Gammagrama renal con un porcentaje de distribución renal izquierda inferior a 15%.
Tratamiento: El paciente fue referido a nuestro servicio en donde se completó protocolo de estudio para hematuria. Se administraron antifímicos (rifampicina, isoniazida, pirazinamida); posteriormente, debido a estadio avanzado y al grado de afectación a riñón izquierdo, se sometió a nefrectomía izquierda. Como hallazgos de la cirugía se describieron riñón aumentado de tamaño 18 cm por 10 cm, con material caseoso en su interior, uréter con paredes engrosadas en tercio superior.
El resultado histopatológico macroscópico reportó producto de nefrectomía izquierda de 22 cm por 12 cm por 5.5 cm, con escaso tejido adiposo, múltiples cicatrices retráctiles, uréter tubular grisáceo, luz permeable, pelvis mucosa trabeculada, polo superior área quística.
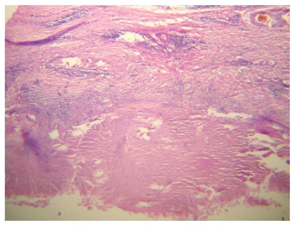
El resultado microscópico señaló: cortes con hematoxilina-eosina en parénquima renal y sistema pielocaliceal proceso inflamatorio crónico granulomatoso caseificante y zonas de esclerosis glomerular y tiroidización de túbulos renales, persistiendo en bordes quirúrgicos (uréter), necrosis caseosa y destrucción del urotelio. Conclusiones: Pielonefritis crónica granulomatosa con proceso fímico, bordes quirúrgicos con proceso inflamatorio crónico granulomatoso (Figura 3). Cultivo de la secreción renal: positivo para Mycobacterium tuberculosis.
Imagen 3. Corte histológico de la pieza quirúrgica, que muestra pielonefritis crónica granulomatosa con proceso fímico.
¿ DISCUSIÓN
La tuberculosis renal como se ha comentado anteriormente es una entidad poco frecuente, que puede simular muchas de la enfermedades que afectan al tracto urinario, debido a esto, es un reto para el urólogo diagnosticar oportunamente este tipo de patología para evitar la pérdida del riñón, cuando se diagnostica oportunamente el tratamiento conservador es el de elección.
El caso que se comenta muestra sintomatología inespecífica, pero con imágenes radiográficas y microscópicas clásicas de una tuberculosis renal avanzada.
Correspondencia: Dr. Juan Carlos Castro Duarte.
Servicio de Urología. Avenida Fidel Velázquez y Abraham Lincoln, s/n, Monterrey, Nuevo León, México. Teléfono: (81) 83714100 Ext. 41315.
Correo electrónico: juancarloscd@hotmail.com




