¿OBJETIVO
Se presenta un caso de hemorragia retroperitoneal por sangrado espontáneo de un angiomiolipoma renal, su manejo, evolución y revisión de la literatura.
¿ CASO CLÍNICO
Masculino de 33 años sin antecedentes heredofamiliares de importancia, hipertenso de 6 años de evolución controlado con dieta. Inició su padecimiento actual doce horas antes de la valoración inicial por dolor de inicio súbito en flanco derecho que se irradiaba a mesogastrio, se acompañó de palidez progresiva sin hipersensibilidad o hematuria, motivo por el cual acudió a médico particular quien lo refirió a nuestro servicio por hallazgo de tumor renal sólido en ultrasonido. A su ingreso se realizó control de choque hipovolémico con concentrados eritrocitarios y soluciones cristaloides. Al examen físico del paciente, no se encontraron manifestaciones anormales en vías respiratorias. El estado cardiovascular con taquicardia e hipotensión. En la exploración de abdomen se encontró un tumor en hipocondrio derecho de 15 cm por debajo del reborde costal de forma ovoide, superficie lisa y consistencia ahulada, ligeramente móvil en el borde inferior, además dolor a la palpación media y profunda. Los genitales de acuerdo a la edad, las extremidades sin alteraciones. Se realizó ultrasonido renal con evidencia de masa renal sólida heterogénea, principalmente hiperecogénica de la cual no se puede determinar su tamaño. El paciente presentó respuesta adecuada a la administración de volumen, se decidió continuar con su estabilización.
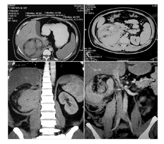
Una vez en mejor estado general se realizó tomografía axial computarizada que mostró una imagen de un tumor renal derecho de 10 UH heterogéneo que desplazaba en sentido posteroinferior y medial al riñón (Imagen 1). Las dimensiones del tumor fueron de 15 cm en sentido longitudinal y 10 cm en sentido transversal, de características heterogéneas con un refuerzo de -30 UH al administrar medio de contraste, lo que aumentó la sospecha de angiomiolipoma renal. Se realizó resonancia magnética con reconstrucción vascular, en la cual se observó hiperintensidad en T1, isointensidad en T2, sin delimitar el tumor y con sangrado con dimensión aproximada de 6-7 cm de diámetro (Imagen 2). En la angiorresonancia se observó pobre vasculatura, incrementando la sensibilidad diagnóstica para angiomiolipoma (Imagen 3).
Imagen 1. TAC abdominal simple.
Imagen 2. RM fase T1 y T2.
Imagen 3. Angiorresonancia.
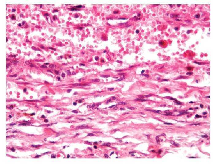
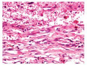
Imagen 4. Vista microscópica.
Imagen 5. Pieza de patología.
Se realizó nefrectomía radical derecha con hallazgos de hematoma retroperitoneal, sin sangrado activo y con presencia de tumor renal de 7 cm. El diagnóstico histopatológico fue de angiomiolipoma renal (AR) (Imagénes 1 y 2).
¿REVISIÓN DE LA LITERATURA
El angiomiolipoma es una neoplasia renal benigna, en alguna ocasión considerada como un raro hamartoma, es reconocido actualmente como una neoplasia relativamente común con una incidencia aproximada de 10 millones de personas a nivel mundial, que de acuerdo a un estudio japonés que involucraba a 17,941 pacientes se presentó con una incidencia de 0.1% en hombres y 0.22% en mujeres. De los cuales entre 64 y 77% de los tumores < 40 mm es asintomático, mientras que 82 a 90% de los pacientes > 40 mm es sintomática. La tríada de Lenks incluye dolor en flanco, hipersensibilidad en la masa palpable y signos de sangrado interno (hematuria). El dolor en flanco se presenta en 41%, masa palpable y hematuria 11%.1-3
La hemorragia retroperitoneal es una condición que pone en riesgo la vida con diagnóstico por sangrado en 15%, después del carcinoma renal el angiomiolipoma constituye la segunda causa de sangrado retroperitoneal. La tendencia a la ruptura se ha asociado a estructuras vasculares pobres de elastina. La mayoría de los pacientes con dolor severo en flanco y masa palpable presentan hemorragia en 20 a 30%.1,4,5
El diagnóstico puede hacerse por diversos métodos debido a sus características imagenológicas únicas. El reto diagnóstico es diferenciar el angiomiolipoma de un tumor renal maligno. El ultrasonido muestra imágenes intensamente hiperecoicas con una sombra acústica; esta neoplasia es la más hiperecoica debido al contenido graso, interfaces tisulares y tejido vascular extenso. Sin embargo, del 8 a 47% de las lesiones neoplásicas por carcinomas renales muestran las mismas características. Las condiciones antes citadas pueden variar por el contenido muscular de la lesión. Este motivo es la indicación para la realización de una TAC; ésta muestra atenuación de menos de 10 UH antes de la administración de contraste con aumento en 3 veces de -15 o -30 UH que aumentan la especificidad. En algunos casos el diagnóstico se vuelve complicado por un bajo contenido de grasa, sin embargo, una atenuación homogénea en la tomografía reforzada puede ser diagnóstica. La resonancia magnética se observa intensa en T1 por el alto contenido de grasa, T2 por el contrario se muestra isointenso, estas características no se consideran patognomónicas debido a que tumores vasculares o quistes con un alto contenido proteico presentarían las mismas características.6
Patológicamente existen dos tipos de angiomiolipomas: el clásico contiene músculo liso, vascular, graso y raramente infiltración perirenal, el segundo tipo contiene un cuarto componente de células epitelioides perivasculares, haciéndolo más agresivo que el angiomiolipoma tradicional, de aquí la variación invasiva que constituye una variación maligna. Los marcadores inmunológicos principalmente HMB-45 que marca células perivasculares de tipo epitelioide. Otros marcadores son la actina y CD-68.7 El tratamiento está indicado en la sospecha de malignidad, hemorragia espontánea, sintomatología intensa y riesgo de ruptura. Con el objetivo central de preservar la función renal. Las indicaciones de tratamiento aún no están bien definidas, se basan en que tumores mayores a 4 cm pueden ser tratados con procedimientos quirúrgicos debido a las complicaciones posibles. Con tratamientos no invasivos en tumores asintomáticos menores a este tamaño.4
¿ DISCUSIÓN Y CONCLUSIONES
Ésta es una entidad rara cuyas manifestaciones van desde sólo hematuria y dolor hasta choque hipovolémico y muerte. El diagnóstico es importante por ser diagnóstico diferencial de carcinoma renal y la variante maligna del mismo angiomiolipoma. Su manejo no está bien definido y va desde la nefrectomía radical hasta incluso la embolización. Por su baja frecuencia de presentación y hemorragia severa, es importante tenerla presente e indicar su manejo de acuerdo al tamaño y la severidad del sangrado.
En la casuística del Hospital "Manuel Gea González", existen tres casos publicados sobre el síndrome de Wünderlich, con diferentes etiologías, se considera de difícil abordaje, por síntomas inespecíficos. Se trata agresivamente por las consecuencias que genera, como hemorragia severa y choque hipovolémico.
Correspondencia:
Dr. José Gustavo Sánchez Turati.
Hospital General "Dr. Manuel Gea González". Servicio de Urología.
Calzada de Tlalpan 4800, Col. Sección XVI, C.P. 14000, Del. Tlalpan. México D.F.
Teléfono: 4000-3000, ext. 3044. 4000-3044.
Corre electrónico:gustav_sat@yahoo.com






