El síndrome de la vena ovárica es una entidad rara, y por consecuencia poco diagnosticada, sin un cuadro clínico específico, para el cual el protocolo diagnóstico cuenta con múltiples estudios de imagen, siendo los de mayor utilidad la venografía y la tomografía, esta última por no ser invasiva. Su tratamiento básicamente es quirúrgico, siendo el laparoscópico el indicado, básicamente cuando es sintomático y/o presenta repercusión renal, buscando como meta principal la mejoría clínica y regresión morfofuncional completa. Presentamos el caso clínico de una paciente con pielonefritis enfisematosa secundaria grado IV, por síndrome de vena ovárica bilateral, una combinación no descrita en la literatura médica.
Ovarian vein syndrome is a rare entity and therefore is not often diagnosed. It has no specific symptoms and so multiple imaging studies are available as part of the diagnostic protocol. The most useful are venography and tomography, the latter employed for its non-invasive quality. Treatment is basically surgical and laparoscopy is the indicated technique when the disease is symptomatic and/or presents renal repercussions. The principal goal is clinical improvement and complete morphological and functional regression. We present the clinical case of a patient with emphysematous pyelonephritis secondary to grade IV bilateral ovarian vein syndrome, a combination that is not described in the literature.
¿ INTRODUCCIÓN
El síndrome de la vena ovárica corresponde a dilatación ureteral secundaria a dilatación de la vena ovárica, descrito inicialmente por Clark en 1964, definiéndola como obstrucción ureteral secundaria a dilatación de la vena ovárica.1 Se puede clasificar en agudo y crónico, causado por tromboflebitis de la vena ovárica en el puerperio y el que se presenta meses o años después del parto, respectivamente.2
Las venas ováricas son múltiples canales venosos pequeños, reciben drenaje de las uterinas formando una vena ovárica única pasando en el cruce de los ilíacos por delante del uréter, desembocando en la vena cava del lado derecho y en la vena renal en el izquierdo, por esta relación anatómica la posibilidad de obstrucción está presente.3
La mayoría son diagnosticados en el embarazo, y predominantemente es derecho en un 70% a 90%,4 pocas veces es bilateral en 11%.2 Aunque es rara, puede tener un potencial resultado fatal por sepsis en el posparto por trombosis de vena cava y/o renal o embolismo pulmonar fatal.4 Es más frecuente en multíparas. Dentro de la fisiopatología se engloban la existencia de una vena ovárica aberrante, una vaina fibrosa, tromboflebitis de la vena ovárica o tumores que invadan la cava.5
Dentro del cuadro clínico pocas veces se presenta como infección de vías urinarias recurrentes.2 Los síntomas son relacionados a hidronefrosis o pielonefritis con dolor en flanco, fiebre, malestar o piuria. La tromboflebitis es un caso bien definido, que rara vez causa obstrucción ureteral.3 Es frecuente que los cuadros de crisis renoureteral se agraven o presenten síntomas durante la menstruación. Dentro de la semiología del cuadro también participa la posición, y deberá de diferenciarse de dos patologías, la ptosis renal, en la cual el dolor aparece o aumenta con la bipedestación y el síndrome de la vena ovárica, en el que el dolor aparece con el decúbito.5
Inicialmente, para el diagnóstico se estudian con ecografía y urografía que demuestran ureteropielocaliectasia, y se deberá tener la sospecha al encontrar estenosis, acodadura o "stop" ureteral, en el sitio donde se relaciona con la vena ovárica.5
Su diagnóstico debe conjugar urografía excretora, acompañada de pielografía ascendente, demostrando por tomografía o venografía el cruce de la gonadal. En estudios de imagen es característico la obstrucción ureteral parcial, a nivel de L4-L5 o en anillo pélvico.2 La ureteropielografía sólo se indicará en caso de no visualizarse el uréter distal. Histológicamente los vasos son normales, o presenta discreta fibrosis por inflamación regional.2
El tratamiento es quirúrgico y debe realizarse cuando el proceso es sintomático, de manera clásica mediante ureterolisis.5 Dentro de éste el abordaje laparoscópico es el óptimo, reportándose vía transperitoneal y retroperitoneal, siendo este último para aquellos pacientes con procedimientos abdominales con riesgo de lesión visceral.3 Teniendo como ventajas la menor morbilidad, menor estancia hospitalaria y menor periodo de convalecencia.5 El tratamiento quirúrgico abierto es indicado en pacientes con alto riesgo de embolismo pulmonar (tromboflebitis).3 El resultado perseguido en este manejo es la mejoría o desaparición de la sintomatología, con imágenes de ectasia residual, aunque en algunos pacientes se presenta una regresión morfofuncional completa.5
¿ PRESENTACIÓN DEL CASO
Paciente femenino de 53 años de edad, con antecedentes de lupus eritematoso sistémico de tres años de evolución tratado con prednisona; diabetes mellitus tipo 2 de seis años en manejo con insulina NPH; insuficiencia renal crónica de 15 años de evolución estadio 4, sin ameritar hasta el momento manejo sustitutivo por nefrología; hepatitis B de seis años en manejo con antivirales; hipertensión arterial de 20 años manejada con telmisartan; antecedentes de esplenectomía 34 años antes por púrpura trombocitopénica idiopática; alérgica a las penicilinas, además de cuadros de infección de vías urinarias de repetición.
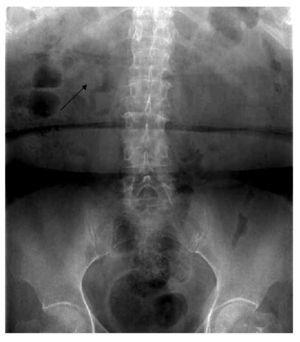
Se ingresó por hematuria macroscópica, anemizante, formadora de coágulos amorfos y dolor cólico nefrítico bilateral, náuseas y vómitos, además de una respuesta inflamatoria sistémica manifestada por mal estado general, cuadros de hipertermia e hiporexia. En los exámenes de laboratorio tenía leucocitos totales de 12 400, hemoglobina 10.3 g/dL, hematocrito 31.1, plaquetas 441 000, glucosa 140 mg, urea 117.1 mg/ dL, nitrógeno ureico 55.0 mg/dL, creatinina 3.0 mg/dL, cloro 106 mmol/L, potasio 4.5 mmol/L, sodio 130 mmol/L, urocultivo positivo a Escherichia coli. En imágenes, desde la placa simple de tracto urinario se observaba la presencia de gas en topografía ureteral, siendo más evidente en el tercio superior de uréter derecho. En la tomografía se observaron signos de pielonefritis enfisematosa bilateral, caracterizada por colección de gas en cavidades renales izquierdas y en el parénquima renal del polo superior derecho, así como en uréter de manera bilateral, con ureteropielocaliectasia bilateral sin presencia de imágenes hiperdensas relacionadas a litos. En cortes coronales, se observó la ureteropielocaliectasia en la zona por donde se cruza el uréter con la vena ovárica de manera bilateral.
¿ DISCUSIÓN
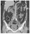
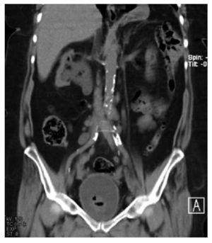
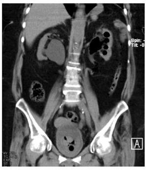
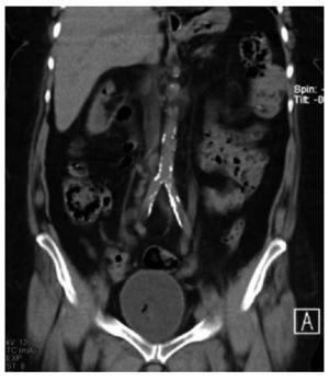
El caso que presentamos es una paciente con infección de vías urinarias complicada en pielonefritis enfisematosa bilateral, secundaria a uropatía obstructiva por la vena ovárica bilateral, por lo anterior tiene la particularidad de estar en el 11% de la presentación general, ya que dentro de los estudios de imagen no se evidenció la presencia de otro proceso obstructivo que condicionara la ureteropielocaliectasia y por consiguiente, el proceso enfisematoso. El cuadro clínico fue muy inespecífico, y la paciente fue ingresada por complicación de una pielonefritis enfisematosa. En la Figura 1, se observa un proceso enfisematoso en el uréter en el tercio proximal derecho. En la Figura 2, se observa ectasia bilateral con gas en parénquima renal en el polo superior derecho y en las cavidades del riñón izquierdo, así como el uréter del mismo lado, también se alcanza a observar la presencia de una escotadura en el uréter superior izquierdo y algo del derecho, justo por debajo de la unión ureteropiélica, que es el lugar donde se cruza con la vena ovárica.
Figura 1. Proceso enfisematoso en uréter tercio proximal derecho (flecha).
Figura 2. Ectasia bilateral con gas en parénquima renal polo superior derecho y en cavidades de riñón izquierdo, así como del uréter del mismo lado, presencia de escotadura en uréter superior izquierdo y del derecho, justo por debajo de la unión ureteropiélica, donde se cruza con la vena ovárica.
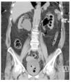
En la Figura 3 se observa como la vena ovárica izquierda ingresa a la vena renal ipsilateral, produciendo ectasia ureteral desde el cruce de las ilíacas, se demuestra que es el sitio donde se cruza el uréter y la vena ovárica, allí se manifiesta la escotadura antes mencionadas, también demostrándose en esta figura la ectasia derecha con gas parenquimatoso hacia el polo superior. En la Figura 4 resalta del lado derecho, justo donde se cruza la vena ovárica con el uréter es donde se produce la ectasia a nivel de la bifurcación de la aorta en ilíacas primitivas, y del lado izquierdo en el cruce ureteral con los vasos ilíacos nuevamente se cruza con la vena ovárica produciendo ectasia.
Figura 3. Vena ovárica ingresando por la vena renal izquierda ipsi-lateral, produciendo ectasia ureteral desde el cruce de los ilíacos. Se demuestra sitio donde se cruza uréter y vena ovárica, allí se manifiesta la escotadura antes mencionada. También se observa ectasia derecha con gas parenquimatoso hacia polo superior.
Figura 4. Lado derecho: cruce de la vena ovárica con uréter, es donde se produce la ectasia a nivel de la bifurcación de la aorta en ilíacas primitivas. Lado izquierdo: en el cruce ureteral con los vasos ilíacos, nuevamente se cruza con la vena ovárica produciendo ectasia retrógrada.
El manejo que se le ofreció a la paciente fue derivación bilateral de la vía urinaria con catéter doble J bilateral, con mala evolución clínica por el proceso séptico, además de los comórbidos de la paciente, por lo que su estado empeoró hasta su fallecimiento.
¿ CONCLUSIÓN
El síndrome de la vena ovárica es una entidad rara como se mencionó inicialmente, con un cuadro clínico muy inespecífico y que su semiología muy pocas veces está presente en nuestros pacientes, y que de cumplirse, pocas veces relacionamos una crisis renoureteral con las etapas de la gestación o el ciclo ovulatorio. Nuestra paciente no se presentó con un cuadro de cólico simple, sino que ya manifestaba un proceso séptico por una pielonefritis enfisematosa grado IV sobreagregada, aunado al contexto de la paciente en cuanto a agravantes, lo cual la llevó al deterioro. Lo importante de este reporte, además de que no hay casos reportados de pielonefritis enfisematosa relacionados a síndrome de vena ovárica, es tomar en cuenta todos aquellos pacientes con cólico nefrítico sin causa aparente de obstrucción, que cumpla con cuadros de agudización en embarazo o ciclos anovulatorios debe de sospecharse el padecimiento, ya que si coexiste con factores de inmunosupresión o compromiso general del paciente, pueden llegar a complicarse como fue el caso de nuestra paciente. Así tendremos diagnósticos precoces y tratamientos quirúrgicos oportunos.
Correspondencia:
Dr. F Guajardo
160, Consultorio 307,
C.P. 64710. Monterrey, N.L., México.
Teléfono: 818 348 9169.





