Los linfomas que afectan al aparato urinario constituyen una enfermedad relativamente rara.
Caso clínicoPresentamos el caso de un varón de 54 años que es diagnosticado de una lesión en la pelvis renal y el uréter proximal derecho, asociado a 2 lesiones hepáticas. Se realiza biopsia de dichas lesiones objetivándose un linfoma no Hodgkin de células B (CD20+). Se inició tratamiento con rituximab con muy buena evolución clínica.
DiscusiónLa afectación de la vía urinaria por linfomas representa el 2,5% de los linfomas. El tratamiento de elección es la quimioterapia sistémica durante 30 semanas con ciclos intermitentes de bleomicina, ciclofosfamida, vincristina y dexametasona. En el caso de los linfomas CD20+ puede utilizarse rituximab. El pronóstico de los linfomas del sistema urinario es del 50% a los 5 años.
ConclusionesLos linfomas del aparato urinario son raras entidades, cuyos tratamientos son a base de quimioterapia.
Lymphomas affecting the urinary tract are a relatively rare pathology.
Clinical caseWe present herein the case of a 54-year-old man diagnosed with a lesion of the right renal pelvis and proximal ureter associated with 2 hepatic lesions. Biopsy of said lesions revealed B cell (CD20+) non-Hodgkin's lymphoma. Treatment was begun with rituximab resulting in good clinical progression.
DiscussionA total of 2.5% of lymphomas affect the urinary tract. The treatment of choice is systemic chemotherapy for 30 weeks with intermittent cycles of bleomycin, cyclophosphamide, vincristine, and dexamethasone. Rituximab may be used in cases of CD20+ lymphomas. Urinary system lymphomas have a 5-year survival rate of 50%.
ConclusionsUrinary tract lymphomas are rare and their treatment is based on chemotherapy.
Los linfomas malignos son una enfermedad relativamente frecuente (séptima causa más común de muerte por cáncer en EE. UU.), favorecida hoy por la inmunodeficiencia propia de los transplantes y el sida. Los linfomas primarios que afectan al aparato urinario constituyen una afección relativamente rara.
La afectación en el aparato urinario es de un 10% con manifestaciones clínicas y se presenta preferentemente en personas adultas1.
Caso clínicoPresentamos el caso de un varón de 54 años, derivado desde la consulta externa de digestivo, en donde se estaba estudiando por hepatopatía por virus C, por apreciarse en la TAC abdominal de control una lesión polipoide en la pelvis renal derecha.
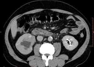
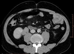
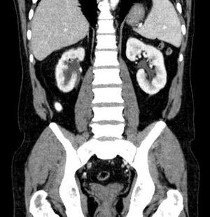
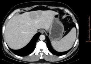
En la TAC aportada se apreciaba una ectasia pieloureteral derecha grado ii/iv, producida por una lesión polipoidea en la pelvis renal que se extendía al uréter proximal, así como lesiones hepáticas (figs. 1-3). La citología urinaria era negativa para células neoplásicas, y la cistoscopia no reveló la presencia de lesión vesical concominante.
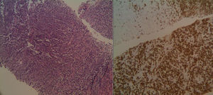
Se procede a la punción-biopsia de la zona hepática, con resultado AP de linfoma no Hodgkin de células B (CD20+) (figs. 4 y 5), que se mostró también en la biopsia realizada a posteriori a nivel renal.Posteriormente se procedió a iniciar terapia con rituximab.
Tras un año de tratamiento el enfermo presenta buena respuesta al tratamiento, mostrando mínimos restos de su enfermedad al nivel del uréter proximal (fig. 6).
DiscusiónLos linfomas componen un grupo de enfermedades cuyo origen proviene de los órganos linfoides. La afectación del aparato urinario se aprecia en el 50% de las necropsias, aunque solo se demuestra afectación clínica del mismo en el 10% de los casos1, pudiendo localizarse a nivel renal, vesical, ureteral, uretral, prostático, de testículos y peneano. La afectación de la vía urinaria representa el 2,5% de los linfomas que afectan al sistema urinario2.
Los linfomas suelen afectar al aparato urinario en las edades medio-avanzadas de la vida, con predominio en los varones en la mayoría de las series1. En los últimos años se ha descrito una mayor incidencia de las neoplasias linfoides en los pacientes afectos por sida y en los trasplantados, como consecuencia de su inmunodeficiencia3.
La forma clínica de presentación de los linfomas con afectación de la vía urinaria suele ser inespecífica, con síndrome constitucional, pérdida de peso, dolor en el flanco, hematuria y fracaso renal.
Puede presentarse de forma asintomática, siendo diagnosticado por una prueba radiológica realizada por otro motivo2. Pueden presentarse de forma unilateral o bilateral4.
Las imágenes radiológicas pueden ser indistinguibles de otro tipo de neoplasia, por lo que ante la sospecha de este tipo de enfermedad debe realizarse una biopsia diagnóstica5.
Para la estadificación solo se podrá considerar completo una vez realizada la exploración clínica, análisis de sangre, radiografías de tórax, TAC pulmonar y abdominopélvico y biopsia de médula ósea. Solo un linfoma podrá ser considerado primario cuando todas estas técnicas sean negativas. El estudio histológico y las técnicas inmunohistoquímicas son la pruebas que confirman el LNH6,7.
La cirugía para estos tumores no puede considerarse nunca curativa, y su papel debe considerarse diagnóstico con el objetivo de establecer un tratamiento.
El tratamiento de elección es la quimioterapia sistémica. Se ha diseñado un tratamiento intensivo durante 30 semanas con ciclos intermitentes de bleomicina, ciclofosfamida, vincristina y dexametasona con altas dosis de metotrexato. Obtiene remisiones completas en el 78% de los casos que se mantienen durante 2 años en el 80% de los pacientes tratados. Aunque la alternativa de tratamiento quimioterápico habitual parece ser la pauta CHOP (hasta 9 ciclos con ciclofosfamida, doxorrubicina, vincristina y prednisolona), existen pautas alternativas como la VIM-Bleo que asocia ifosfamida, metotrexato, etopósido y bleomicina1. Existen nuevas modalidades terapéuticas para los linfomas que afectan al sistema genitourinario, en función de la modalidad inmunofenotípica, por ejemplo para los linfomas CD20+ el rituximab ha mostrado excelentes resultados2. El rituximab es un anticuerpo monoclonal dirigido contra los receptores CD 20 de las células B, tanto benignas como malignas. Aunque su metabolismo es aún desconocido, puede utilizarse en pacientes con fracaso renal8.
El pronóstico de los linfomas primarios del sistema urinario es mejor que el de los secundarios de forma general, ya que se encuentran órgano confinados. La supervivencia es del 50% a los 5 años1.
ConclusionesEl linfoma ureteral es una rara entidad que puede ser indistinguible de otros tumores uroteliales. El pronóstico de las formas primarias es relativamente bueno, en comparación con otras formas diseminadas. El tratamiento es a base de quimioterapia.
Responsabilidades éticasProtección de personas y animalesLos autores declaran que los procedimientos seguidos se conformaron a las normas éticas del comité de experimentación humana responsable y de acuerdo con la Asociación Médica Mundial y la Declaración de Helsinki.
Confidencialidad de los datosLos autores declaran que han seguido los protocolos de su centro de trabajo sobre la publicación de datos de pacientes.
Derecho a la privacidad y consentimiento informadoLos autores han obtenido el consentimiento informado de los pacientes y/o sujetos referidos en el artículo. Este documento obra en poder del autor de correspondencia.
FinanciaciónNo se recibió patrocinio de ningún tipo para llevar a cabo este artículo.
Conflicto de interesesLos autores del presente trabajo declaran que el manuscrito es original y no ha sido editado, ni enviado a otra publicación. Se ceden todos los derechos de copyright para Revista Mexicana de Urología así como una declaración de estar libres de cualquier asociación personal o comercial que pueda suponer un conflicto de intereses en conexión con el artículo remitido así como haber respetado los principos éticos de investigación.







