El linfoma de próstata es una entidad sumamente rara, con pocos casos reportados en la literatura médica. Puede presentarse de manera primaria en la glándula o, secundariamente debido a invasión extraglandular. Se requiere de una gran sospecha diagnóstica, ya que cursa con una sintomatología similar a la de los padecimientos benignos. Presentamos el caso de un paciente con linfoma prostático, y hacemos una revisión de la literatura en cuanto a diagnóstico y manejo.
Lymphoma of the prostate is an extremely rare entity with very few cases reported on in the medical literature. It can present as primary disease in the gland or be secondary to extraglandular invasion. Great diagnostic suspicion is required given that it manifests with a similar symptomatology to benign diseases. We present herein the case of a patient with lymphoma of the prostate, along with a literature review in relation to diagnosis and management.
Pagina nueva 1
Introducción
El cáncer de próstata es un problema de salud con una elevada mortalidad. El 90% corresponden a adenocarcinomas y las neoplasias hematológicas representan un 0.2%1. Los linfomas de próstata pueden ser primarios o secundarios. Son sumamente agresivos con mal pronóstico a corto plazo. A continuación presentamos un caso clínico de linfoma primario de próstata, que se diagnostica como consecuencia de los síntomas prostáticos.
Presentación del caso
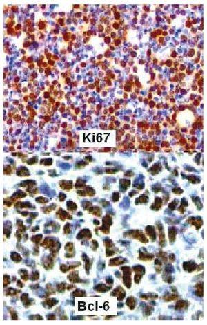
Masculino de 54 años de edad, con padecimiento de 6 meses caracterizado por pérdida ponderal de 10 Kg, sudoraciones nocturnas, fiebre, estreñimiento que le obliga a ingerir laxantes; de igual forma presenta disminución del calibre del chorro de la orina, pujo vesical, goteo posmiccional, disuria y retención aguda de orina que le condicionó la instalación de sonda transuretral. Es valorado por el servicio de Urología, encontrándolo con palidez tegumentaria, abdomen globoso a expensas de panículo adiposo y distensión abdominal; al tacto rectal, la próstata se percibe aumentada de tamaño, indurada, de consistencia fibroadenomatosa, de aproximadamente 70 g, con bordes irregulares. Sus laboratorios revelan elevación de azoados, creatinina 6.3 mg/ dl, urea 146 mg/dl, BUN 68 mg/dl, depuración de creatinina de 10.06 ml/min/24 horas, hemoglobina 10.8 g/dl, hematocrito 29.5%, leucocitos, plaquetas, antígeno prostático específico (APE) y fosfatasa alcalina normales. Fue programado para resección transuretral de próstata, procedimiento que se llevó a cabo sin complicaciones. El estudio histopatológico revela imágenes compatibles con linfoma de linfocitos B de células grandes anaplásicas, con patrón difuso extranodal, con primario en próstata. Se realiza inmunohistoquímica en donde se observa expresión a CD45 y CD20, con coexpresión a Bcl-2, Bcl-6, CD3, Ki67 y MIB-1, con un índice de proliferación del 80% (fig. 1). Se realizó la determinación de β2microglobulina reportando 6,273 ng/ml y una DHl de 614 U/l. El gammagrama revela incremento del recambio óseo iónico en articulación escapulo-humeral bilateral, coxofemorales, pubis, articulaciones sacroilíacas, sacro, espina ilíaca antero-superior e inferior, así como ectasia renal piélica izquierda (fig. 2). Se catalogó como linfoma extranodal de próstata estadio IV. Se propuso un tratamiento a base de radioterapia 30Gy, 15 sesiones, más quimioterapia a base de ciclofosfamida, doxorrubicina, vincristina y prednisona 4 ciclos, sin embargo, el paciente fallece antes de completar el tratamiento.
Figura 1 Vista al microscopio con marcadores de inmunohistoquímica positivos para Ki67 y Bcl-6.
Figura 2 Gammagrama que revela los sitios de metástasis óseas.
Discusión
Los linfomas son un grupo de enfermedades del sistema linforreticular malignas, en potencia. En el tracto urinario se puede presentar de 3 formas como: enfermedad primaria extraganglionar, enfermedad primaria ganglionar o un estado avanzado de un linfoma diseminado2. Se ha descrito la infiltración linfomatosa del riñón, uréter, vejiga, próstata, pene y testículos3.
El linfoma de próstata presenta un incidencia del 0.09% al 0.1% de todos los tumores prostáticos4. En la literatura médica existen menos de 200 casos reportados1. Su diagnóstico clínico requiere de un alto índice de sospecha, ya que puede simular otros procesos patológicos más frecuentes de la próstata, presentándose como síntomas obstructivos bajos3. Nuestro paciente presentó el cuadro clásico de una patología benigna de la próstata a excepción de la fiebre, las sudoraciones y la pérdida ponderal, que orientan a un problema linfoproliterativo, pero que debido a su remota frecuencia no se tomó como primera opción diagnóstica.
Los linfomas primarios son menos frecuentes que los secundarios. Inicialmente, se cuestionó la posibilidad de que la próstata pudiese presentar este tipo de neoplasias, debido a la escasez de su tejido linfático. Sin embargo, Furkase describió la existencia de unos nódulos linfáticos intraprostáticos. Esto, aunado al reconocimiento de linfomas extranodales y la confirmación histopatológica de linfomas limitados a la próstata, han logrado la aceptación y la confirmación de la existencia de linfomas de origen prostático1.
Se ha propuesto que la clasificación de los linfomas de próstata debe hacerse, según la Workin Formulation, de acuerdo a la clasificación de Ann Arbor5:
Estadio I. Afectación de un solo grupo nodal o extranodal.
Estadio II. Áreas nodales separadas en el mismo lado del diafragma.
Estadio III. Dos grupos nodales en ambos lados del diafragma.
Estadio IV. Un área nodal y un área extranodal no adyacentes.
Nuestro paciente presentó un estadio IV. La edad de presentación es en la séptima década de la vida, raramente se presentan casos en menores de 30 años6. En nuestro caso, el paciente tenía 54 años.
Habitualmente, el APE se encuentra en parámetros normales como en el caso de nuestro paciente7,8. Radiológicamente, se comporta como un tumor de próstata avanzado con infiltración del suelo de la vejiga y compresión de ambos uréteres9. El diagnóstico definitivo es mediante inmunohistoquímica.
En la mayor parte de los casos el tratamiento inicial es la cirugía, para resolver el problema obstructivo y también la quimioterapia sistémica. En la literatura médica, encontramos diversos esquemas propuestos con resultados variables, como el descrito por Rodríguez-Ledesma et al., quienes emplearon un régimen de CHOP (ciclofosfamida, adriamicina, vincristina y prednisona) en un paciente con linfoma no-Hodgkin de células B, que tras 28 meses de seguimiento se encuentra en remisión completa8.
Ochoa-Undargarain et al. utilizaron además de la cirugía, radioterapia con buenos resultados3. Se ha descrito en la literatura médica, la asociación de radioterapia con quimioterapia posterior al evento quirúrgico con resultados favorables. Fernandez-Marichal utilizó una combinación de VP 16, doxorubicina, ciclofosfamida y prednisolona, asociado a radioterapia en un paciente con linfoma no-Hodgkin, logrando mejoría y después de 3 años de seguimiento, se encontraba con una próstata de tamaño normal7. En nuestro paciente, utilizamos además de la cirugía, tanto quimioterapia como radioterapia, sin embargo no corrió con la misma suerte como en los casos expuestos previamente. Podríamos argumentar su fatal desenlace a lo avanzado de la enfermedad, habiéndose comprobado tanto afección a estructuras vecinas como metástasis a distancia. En general, el pronóstico es malo independientemente de la edad del paciente, tipo histológico, estadio y tratamiento10.
Conclusión
El linfoma de próstata es una neoplasia sumamente rara, con manifestaciones obstructivas del tracto urinario bajo. El diagnóstico requiere de alta sospecha y es mediante inmunohistoquímica. El tratamiento es enfocado a aliviar los síntomas obstructivos, enfocado con radioterapia y/o quimioterapia a pesar de esto, tiene un mal pronóstico a corto plazo.
Conflicto de intereses
Los autores declaran no tener conflicto de intereses.
Financiamiento
No recibieron ningún tipo de patrocinio para llevar a cabo este artículo.
* Autor para correspondencia:
Callejón JF Oca N° 43, Interior 4, entre Hernández y Hernández y Amado Nervo, Fraccionamiento Flores Magón,
C.P. 91900, Veracruz, Ver., México.
Teléfono: 229780 6611.
Correo electrónico: jobzon@hotmail.com (D. Ríos-Cruz).



