Se realiza la siguiente revisión de caso clínico de leiomioma vesical y literatura reportada, de manera que logremos ampliar nuestro conocimiento sobre diagnóstico y tratamiento, ya que su presentación es poco frecuente, representando menos del 1% de las neoplasias de vejiga, con mayor incidencia en mujeres en la quinta década de vida. La localización más común es endovesical y su etiología y patogénesis son aún inciertas. Clínicamente, pueden acompañarse de sintomatología urinaria irritativa; sin embargo, la mayoría de ellos son de diagnóstico incidental por su curso asintomático. El estudio histopatológico e inmunohistoquímico son indispensables para el diagnóstico definitivo.
Paciente femenino de 34 años de edad, con diagnóstico histopatológico de carcinoma urotelial in situ, quien acude a nuestro centro por segunda valoración médica; se revisan los estudios de imagen y se determina la discrepancia con reporte histopatológico, por lo que se solicita revisión de laminillas reportando leiomioma vesical.
En este caso clínico destaca la importancia del diagnóstico histopatológico definitivo y su correlación con los estudios de imagen para proporcionar al paciente la mejor opción terapéutica. Debido a su presentación extremadamente rara, su diagnóstico y sospecha clínica son aún un reto para el urólogo y el patólogo.
Through the report of the following clinical case of bladder leiomyoma and the literature review, we were able to broaden our knowledge in relation to the diagnosis and treatment of this pathology; it is an infrequent disease, representing less than 1% of bladder neoplasias, with a greater incidence in women in their fifth decade of life. It is most commonly intravesical and its etiology and pathogenesis are still uncertain. It can clinically manifest with irritative urinary symptomatology, but the majority of cases are asymptomatic and thus diagnosed incidentally. Histopathologic and immunohistochemistry studies are essential for making the definitive diagnosis.
A 34-year-old woman had a histopathologic diagnosis of urothelial carcinoma in situ and came to our center for a second medical opinion. A discrepancy was observed between the imaging studies and the histopathologic report, and after reviewing the slides, bladder leiomyoma was determined.
This case underlines the utmost importance of the correlation between the definitive histopathologic diagnosis and the imaging studies for offering the patient the best therapeutic option. Due to the extremely rare presentation of bladder leiomyoma, its clinical suspicion and diagnosis continue to be a challenge for both the urologist and the pathologist.
Dentro de las neoplasias benignas de vejiga, el leiomioma, a pesar de ser rara, es considerada la más común; sin embargo, representa menos del 1% de todas las neoplasias de vejiga que, a diferencia de la mayoría de los tumores de vejiga que se originan del epitelio, tienen origen mesenquimatoso (musculo liso), con importante vascularización, similar a los leiomiomas uterinos1,2. Se ha observado mayor incidencia en mujeres entre la tercera y sexta década de vida, con una media de 44 años de edad1. Según su localización pueden ser intra, extravesicales o intramurales, siendo los intravesicales la localización más común. Se ha intentado describir su cuadro clínico y tratamiento a partir de la localización, reportando así que el intravesical se presenta, con mayor frecuencia, acompañado de sintomatología de tipo irritativo, a diferencia de los de localización intramural, que tienden a cursar asintomáticos y son de diagnóstico incidental2,3.
La etiología y la patogénesis son aún inciertas; sin embargo, existen diferentes hipótesis, entre ellas: anormalidades cromosómicas, infección del músculo liso de vejiga, inflamación perivascular y, por último, la influencia hormonal sustentada en reportes de casos durante el embarazo, así como la presencia de receptores estrogénicos demostrada por inmunohistoquímica3,4. El diagnóstico, en la gran mayoría de los casos, es incidental y el tratamiento, sobre todo de aquellos leiomiomas sintomáticos, es la resección quirúrgica.
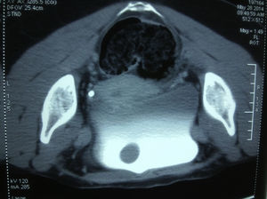
Descripción de caso clínicoPaciente femenino de 34 años de edad, quien se presenta en nuestro centro en busca de segunda opinión médica, ya que durante un ultrasonido de control de embarazo (fig. 1) se reporta la presencia de pólipo vesical, por lo que, una vez concluido el embarazo (cesárea, 22 de marzo del 2014), se le solicitó una tomografía de abdomen y pelvis simple y con contraste intravenoso (figs. 2 y 3), la cual muestra imagen de lesión tumoral polipoide de base amplia, de 2cm de diámetro y contorno bien definido, dependiente del techo a la izquierda de la línea media.
Se le realizó una resección transuretral de tumor (RTU) el pasado 4 de junio del 2014 y se envió tejido a estudio histopatológico, cuyo reporte corresponde a carcinoma urotelial in situ; no se realizan pruebas de inmunohistoquímica. Se propone continuar manejo con BCG intravesical.
Al momento de nuestra primera revisión, 2 semanas posterior a la RTU, la paciente se encuentra asintomática; de igual forma, niega sintomatología preexistente durante su revisión de rutina ginecoobstétrica en el momento de diagnóstico de lesión vesical. Además, cuenta con el antecedente de reemplazo hormonal por tratamiento de infertilidad, consiguiendo finalmente este último embarazo. Se procede a revisar las imágenes de tomografía, reporte de patología, sin dejar de lado el cuadro clínico de la paciente (asintomática, sin hematuria ni dolor); sin embargo, no se logra hacer correlación, ya que la imagen por tomografía no corresponde a un carcinoma de urotelio in situ, siendo la observada de tipo polipoide, y bien delimitada, y al menos no correspondiente con un estadio in situ, como se observa en las figs. 1–3, por lo que se solicita revisión de laminillas con el departamento de Patología, que reporta: proliferación fascicular compacta nodular de músculo liso sin atipia, ni actividad mitósica, indicativa de tumor benigno de músculo liso. La biopsia de cúpula vesical presenta hiperplasia urotelial plana. El urotelio, compuesto por entre 7 y 9 capas de células, sin atipia, y que conserva las células superficiales «en sombrilla». Esto se hace evidente por medio de la inmunomarcación con CKZO, que únicamente marca las células superficiales. Llama la atención que por debajo del urotelio hiperplásico hay proliferación fascicular, nodular y células de músculo liso que expresan tanto actina como desmina, con un Ki67 bajo, lo cual indica leiomioma (fig. 4 a-d).
a) Leiomioma intramural vesical. Vista panorámica (hematoxilina-eosina, 40×). b) Mucosa y submucosa urotelial sin alteraciones (hematoxilina-eosina, 100×). c) Haces musculares lisos con aspecto característico (hematoxilina-eosina, 200×). d) Mayor aumento donde se observan escasos núcleos hipercromáticos sin evidencia de hipercelularidad, mitosis, necrosis ni pleomorfismo nuclear (hematoxilina-eosina, 400×).
Finalmente, dado que el tumor ya había sido resecado endoscópicamente, se propone únicamente vigilancia trimestral.
DiscusiónSi bien el leiomioma de vejiga es considerado la neoplasia benigna más frecuente en este órgano, es una entidad extremadamente rara, por lo que su diagnóstico y la búsqueda intencionada del mismo son aún un reto para el urólogo y el patólogo. En la actualidad, existen alrededor de 250 casos reportados en la literatura; fue descrito por primera vez en 1870 por Jackson5.
Esta neoplasia ha demostrado tener cierta predilección por el sexo femenino asociado a la presencia de receptores estrogénicos demostrado por inmunohistoquímica3,4.
En este caso clínico se demuestra la falta de familiaridad con las imágenes observadas al microscopio que corresponden sin duda a leiomioma de vejiga y no a carcinoma urotelial, ya que se observa la mucosa del urotelio con características normales sin presencia de proceso necrótico, pleomorfismo ni mitosis.
El diagnóstico suele ser incidental mediante tomografía computarizada, evidenciando una imagen homogénea sólida con márgenes bien definidos, tal como se observa en este caso clínico; la resonancia magnética resulta ser de mayor utilidad, permitiendo demostrar su origen en la submucosa y la preservación de la capa muscular6. Sin embrago, el diagnóstico definitivo continúa siendo mediante el estudio histopatológico7-11 e inmunohistoquímica positiva para tejido muscular (desmina, actina, act HHF-35).
El abordaje se decide sobre la base de su tamaño, localización e involucramiento de estructuras anatómicas tales como el esfínter o meatos ureterales12. La resección transuretral o bien la electrofulguración se han considerado de elección en el caso de leiomiomas pequeños y, aunque también se ha propuesto la vigilancia activa, se prefiere la resección quirúrgica. La resección parcial se ha reservado para aquellos de mayor tamaño, ya sea por vía laparoscópica, asistida con robot, o bien, abierta7,13.
ConclusionesEl leiomioma vesical es una neoplasia de tipo benigno, poco frecuente. Su etiología es aún incierta, aunque existen diferentes teorías que la sustentan. El diagnóstico definitivo se realiza mediante estudio histopatológico y su manejo puede ser conservador mediante vigilancia, resección endoscópica para los casos sintomáticos, o bien, resección parcial para aquellos tumores de mayor tamaño.
FinanciaciónLos autores declaran no haber recibido ningún financiamiento para la elaboración de este artículo
Conflicto de interesesLos autores declaran no tener ningún conflicto de interés.





