La pancreatitis aguda es una enfermedad inflamatoria que presenta un curso benigno y autolimitado, con una mortalidad del 1%, sin embargo, del 20-25% de los pacientes pueden desarrollar un curso agresivo de la enfermedad, con aumento en la mortalidad de hasta un 30%. Aquellos pacientes que sobreviven son susceptibles a presentar una serie de complicaciones locorregionales y a distancia, predominantemente colecciones pancreáticas, necrosis pancreática organizada, abscesos y seudoquistes pancreáticos, además de complicaciones poco comunes y escasamente reportadas, incluido el tracto genitourinario, donde el escroto se encuentra involucrado en forma de hidrocele secundario al acúmulo de fluido rico en enzimas pancreáticas, cuya acción principal consiste en la necrosis grasa de tejido blando escrotal, que puede ser difícil de diferenciar de un cuadro de escroto agudo, y de este modo, realizar manejos quirúrgicos innecesarios que aumentan la morbimortalidad en estos pacientes.
Se presenta reporte de caso y revisión de la literatura de hidrocele de origen pancreático secundario a pancreatitis necroticohemorrágica por ingesta etílica en paciente masculino de 23 años de edad, así como fístula escroto-cutánea, entidad patológica sumamente rara, no reportada en la literatura hasta el momento.
Acute pancreatitis is an inflammatory disease that usually presents as a benign and self-limited pathology, with a 1% mortality rate. Nevertheless, 20-25% of the patients can develop an aggressive form of the disease, with an increase in mortality of up to 30%. Those patients that survive are susceptible to presenting with a series of locoregional and distant complications, mainly pancreatic collections, organized pancreatic necrosis, and pancreatic abscesses and pseudocysts. They can also present with less common and little-reported complications affecting the genitourinary tract, involving the scrotum in the form of hydrocele secondary to the accumulation of pancreatic enzyme-rich fluid whose main action is fat necrosis of the scrotal soft tissue. This can be difficult to differentiate from symptoms of acute scrotum, resulting in unnecessary surgical management that increases patient morbidity and mortality.
Accompanied by a literature review related to the case reported on herein, this article describes a 23-year-old man with a pancreatic hydrocele secondary to hemorrhagic necrotic pancreatitis due to alcohol ingestion. He also developed a cutaneous scrotal fistula, an extremely rare complication of this pathology that is unreported in the literature.
La pancreatitis aguda representa una enfermedad inflamatoria en un páncreas previamente sano, generalmente con curso benigno y con mortalidad del 1%. El 20-25% de los pacientes pueden desarrollar un curso agresivo de la enfermedad, con evidencia de falla orgánica múltiple clasificándose como una pancreatitis severa de acuerdo a la clasificación de Atlanta de 19921, con una mortalidad del 7-30%2. Son múltiples las etiologías de dicha enfermedad, en un 80-90% postingesta etílica o secundaria a colelitiasis, un 10% idiopática y el resto por otras causas2 destacando hipertrigliceridemia, anomalías anatómicas ductales, fármacos, trauma3, origen iatrogénico (CPRE) o por hipercalcemia.
Aquellos pacientes que sobreviven el episodio agudo pueden presentar complicaciones subsecuentes esperadas como colecciones pancreáticas, necrosis pancreática organizada, abscesos y seudoquistes pancreáticos considerando la necrosis pancreática como indicador predictivo de dichas complicaciones.
La presencia de hidroceles como complicación de pancreatitis es una entidad rara con pocos casos reportados en la literatura, debido a su baja incidencia o a su escaso reconocimiento por parte de los servicios médicos.
El objetivo de este reporte es describir el caso de un paciente de 23 años de edad con pancreatitis necroticohemorrágica, hidrocele pancreático y fístula escroto-cutánea, y hacer una revisión de la literatura.
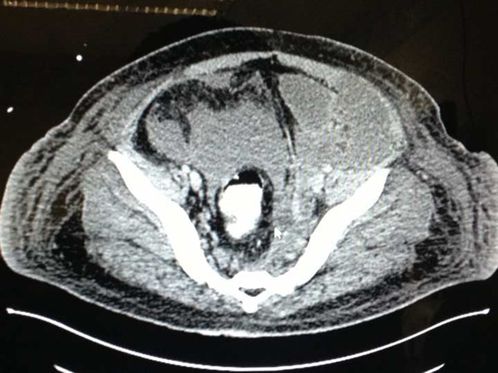
Presentación del casoPaciente masculino de 23 años de edad quien 3 meses antes de su ingreso tras ingesta etílica comienza con epigastralgia intensa, tipo urente, intermitente, localizada, que disminuye parcialmente y se exacerba 10 semanas después del inicio del padecimiento actual asociada a intolerancia a la vía oral, fiebre, astenia, adinamia, dificultad respiratoria e ictericia. Acude a hospital de segundo nivel en donde se le realiza LAPE por abdomen agudo, encontrándose datos de pancreatitis necroticohemorrágica. Únicamente se le colocan drenajes tipo penrose y se le envía a nuestra unidad hospitalaria, ingresando a UCI con Hb 7.8, GB 20mil, Ptl 273, creatinina 3.6, urea 201, glucemia 292, BT 2.7, BD 1.2, BI 1.5, PCR 36.7, DHL 2066, amilasa 36 y lipasa 5,840; tomográficamente con Balthazar D (figs. 1 y 2), asociado a presencia de líquido retroperitoneal izquierdo que se dirige en dirección descendente hasta llegar a cavidad escrotal a través de canal inguinal ipsilateral (figs. 3–5). Se inicia manejo integral del paciente, sin embargo 5 días después de su ingreso, se documenta aumento de volumen escrotal izquierdo, con cambio de coloración y temperatura; se nos interconsulta y se corrobora hallazgo asociado a salida espontánea de material café achocolatado, sanguinolento, inodoro escaso (fig. 6), decidiéndose debido a inestabilidad del paciente y mediante el uso de anestesia local incisión de rafé y drenaje escrotal izquierdo, obteniéndose 450cc de material de características antes mencionadas (fig. 7), con teste macroscópicamente normal, con zonas de necrosis de pared escrotal (fig. 8), y se documenta permeabilidad de canal inguinal, colocándose drenaje tipo penrose, que se mantiene durante 2 días, drenando aproximadamente 600cc de líquido anteriormente mencionado, siendo un total de 1,050cc. El líquido escrotal obtenido reportaba lipasa de 1,834 con cultivo negativo de dicho material. Se deteriora el estado clínico del paciente, presenta falla orgánica múltiple y finalmente fallece.
DiscusiónLa incidencia de pancreatitis aguda varia de 5 a 80 por 100,000 habitantes por año en países industrializados, con una edad media de presentación de 53 años, con un egreso hospitalario promedio de 7 días en casos no complicados, con resolución espontánea del cuadro4. Llama la atención en este reporte de caso la edad del paciente adulto joven, de solo 23 años, con un episodio subagudo fulminante y complicaciones poco comunes.
Las etiologías más frecuentes son el alcoholismo cuya acción principal se lleva a cabo por formación de esteres y aldehídos que generan toxicidad directa sobre las células acinares pancreáticas4; además de colelitiasis que complicada con coledocolitiasis genera un efecto directo de válvula unidireccional sobre los conductos pancreáticos. En nuestro caso, el alcoholismo fue el desencadenante de dicho cuadro clínico.
El ataque agudo de pancreatitis puede dividirse en: leve, el 80% de los casos, sin evidencia tomográfica de necrosis parenquimatosa, con mínima o sin falla orgánica múltiple, con recuperación temprana sin complicaciones; y severo, con pancreatitis necrosante, en el 20% de los pacientes, con evidencia tomográfica de necrosis parenquimatosa, con manifestaciones sistémicas de falla orgánica múltiple, curso clínico prolongado, elevada morbimortalidad, con mortalidad del 10-23%5, la cual se eleva hasta en un 53% en pacientes mayores de 80 años, secundario a enfermedades cronicodegenerativas concomitantes6.
La pancreatitis aguda severa representa un problema médico importante asociado a morbimortalidad significante, en relación con las complicaciones de la misma7. Las complicaciones abdominales ocurren predominantemente entre la segunda y quinta semana, y dichas complicaciones se observan en los grados D y E de acuerdo a la clasificación de Balthazar.
La pancreatitis aguda puede asociarse con una variedad de complicaciones locorregionales causadas por la interacción de los fluidos pancreáticos con estructuras locales. El 57% de los pacientes con pancreatitis aguda presentan colecciones líquidas: el 39% tienen involucradas 2 áreas y el 33% con 3 o más áreas involucradas. Las colecciones líquidas con elevados niveles de enzimas pancreáticas están asociadas con disrupción del conducto pancreático y en pacientes con pancreatitis crónicas8, y eventualmente forman seudoquistes pancreáticos, ascitis, derrame pleural e hidroceles9, complicaciones de las cuales nuestro paciente presentaba derrame pleural izquierdo, el cual se manifestó clínicamente con dificultad respiratoria, además del hidrocele ya mencionado.
Dentro de las complicaciones más comunes se encuentra la formación de absceso pancreático, que se forma algunas semanas después de iniciar el ataque agudo, raramente durante la segunda semana, y se debe sospechar en todo paciente con dolor, hipertermia persistente a pesar de manejo médico estándar, náuseas, vómitos y en ocasiones masa palpable10.
Cuando el fluido peripancreático inicial no se reabsorbe tiende a organizarse, formándose un seudoquiste pancreático, generalmente encontrado hacia la cuarta semana del proceso inicial, con resolución espontánea de hasta un 40%; sin embargo puede mantenerse estable hasta durante 12 semanas. En el 18-50% de los casos se han reportado complicaciones como hemorragia, rotura o infección del mismo.
La inflamación escrotal es una rara complicación de la pancreatitis aguda, se piensa que es resultado de necrosis grasa de tejido blando del escroto secundario al efecto destructivo de fluido pancreático11, que finalmente por digestión tisular puede condicionar la formación de fístula escroto cutánea para drenaje del material acumulado.
El involucramiento del sistema genitourinario, especialmente el escroto, es una rara complicación de la pancreatitis. El primer caso reportado fue en 197911, y hasta la fecha son pocos los reportes publicados en la literatura (tabla 1), debiéndose hacer mención de que no existe ningún informe de fístula escroto-cutánea por este padecimiento hasta el momento.
Anatómicamente hay una interconexión entre espacio pararrenal anterior izquierdo con extensión inferior hacia tejido pélvico extraperitoneal y posteriormente involucra el saco escrotal11.
Embriológicamente existen 2 estructuras de suma importancia en la formación del canal inguinal: el gobernaculum y el proceso vaginal peritoneal. En los hombres el gobernaculum testicular forma el escroto y contribuye al descenso testicular hacia el escroto; y el proceso vaginalis peritoneal, un pliegue tubular peritoneal, se invagina en el canal inguinal y finaliza en el escroto11.
Puede existir afección uni- o bilateral, y clínicamente es indistinguible de otras lesiones escrotales11, llegando incluso a simular torsión testicular, infarto escrotal y hernia inguinal incarcerada12, que se manejan innecesariamente mediante exploración quirúrgica, aumentando la morbimortalidad del paciente.
Clínicamente los signos de Cullen y Grey Turner nos pueden orientar a un diagnóstico de pancreatitis necroticohermorrágica como parte de las manifestaciones asociadas a esta entidad patológica12.
Llama la atención que en otros reportes por esta enfermedad la manifestación escrotal se manifiesta al tercer, cuarto, quinto, sexto y décimo días13 respectivamente, en ningún caso con un curso prolongado a diferencia del caso presentado en este artículo, que se presenta posterior a 10 semanas de haberse iniciado el padecimiento.
Por lo tanto, es importante que nos concienciemos para considerar esta rara complicación de un proceso patológico extragenital, que contribuya a la sospecha diagnóstica en el manejo de estos pacientes, y que ayude en el manejo integral de la pancreatitis aguda severa.
ConclusiónEl hidrocele secundario a pancreatitis necroticohemorrágica puede presentarse como una rara complicación en cualquier momento durante la evolución de dicha enfermedad, resultado del acúmulo de líquido pancreático drenado hacia el retroperitoneo y por gravedad hacia la cavidad escrotal; sin embargo, es sumamente raro que exista una fístula escroto-cutánea, por la acción de las enzimas pancreáticas que culminan con digestión del tejido escrotal, y que hasta el momento no ha sido reportada en la literatura.
La presentación clínica de esta complicación es difícil de diferenciar de otros cuadros de escroto agudo, requiriendo incluso exploración quirúrgica innecesaria, por lo que es importante tener conocimiento de esta complicación potencial para un oportuno diagnóstico y manejo, y de este modo disminuir la morbimortalidad en estos pacientes
FinanciaciónNo se recibió patrocinio de ningún tipo para llevar a cabo este artículo.
Conflicto de interesesLos autores declaran no tener ningún conflicto de intereses.










