Introducción: Los divertículos vesicales son categorizados, como congénitos (primarios) o adquiridos (secundarios). Los divertículos congénitos son raros y resultan de la debilidad de la mucosa vesical, con la salida de la pared total del divertículo, a través del defecto en la pared muscular. Estos divertículos congénitos, se asocian frecuentemente a valvas uretrales posteriores o vejiga neurogénica. El objetivo fue presentar un nuevo caso de divertículo vesical congénito gigante, sus manifestaciones clínicas y estudios empleados para confirmar el diagnóstico, así como el tratamiento.
Cuadro clínico: Masculino de seis meses de edad, quien fue intervenido a los dos meses por abdomen agudo, encontrando en la cirugía un divertículo vesical. En el ultrasonido, uretrocistografÍa, tomografía y cistoscopia se evidenció un divertículo vesical gigante, con presencia del cuello hacia la pared lateral izquierda. Se realizó diverticulectomía por abordaje intravesical y extravesical, m s reimplante ureteral izquierdo, con técnica de Politano-Leadbetter. Esta constituye el tratamiento definitivo, para pacientes con ausencia de factores obstructivos al vaciamiento vesical.
Conclusión: La exéresis de los divertículos vesicales congénitos de gran tamaño, constituye la solución definitiva y segura, para aquellos pacientes que presentan sepsis urinaria por esta causa, en ausencia de factores obstructivos al vaciamiento vesical concomitante, en cuyo caso se tiene que resolver la obstrucción, antes o durante el tratamiento quirúrgico del divertículo.
Introduction: Bladder diverticula are categorized as congenital (primary) or acquired (secondary). Congenital diverticula are rare and are the result of bladder mucosa weakness with protrusion of entire diverticular wall through the defect in the muscle wall. These congenital diverticula are frequently associated with posterior urethral valves or neurogenic bladder. A new case of giant congenital bladder diverticulum is presented here along with a description of its clinical manifestations, the studies employed to confirm diagnosis, and its treatment.
Clinical case: Patient is a 6-month old infant boy that was operated on at two months of age for acute abdomen. Surgery revealed bladder diverticulum. Ultrasound, urethrocystography, tomography, and cystoscopy studies showed one giant bladder diverticulum with neck positioned toward the left lateral wall. Intravesical and extravesical diverticulectomy plus left ureteral Politano-Leadbetter reimplantation was carried out, which is definitive treatment for patients with no factors obstructing the emptying of the bladder.
Conclusions: Exeresis of large congenital bladder diverticula is the safe and definitive solution for those patients presenting with urinary sepsis caused by these diverticula that do not present with concomitant factors obstructing bladder emptying. When obstruction exists it must be removed before or during diverticular surgery.
¿ INTRODUCCIÓN
El primer reporte de un divertículo vesical, fue hecho en 1614 en la autopsia de un hombre, con una capacidad seis veces mayor a la de la vejiga.1
Los divertículos vesicales pueden ser congénitos o adquiridos, el tipo congénito constituye una proporción pequeña y se asocia casi siempre, con valvas de uretra posterior o vejiga neurogénica.2 La causa exacta de los divertículos vesicales congénitos no se conoce, pero se piensa que se producen por una debilidad de la pared muscular de la vejiga, que favorece la herniación de la pared vesical, preferentemente en la región paraureteral.3
Aunque la mayoría son asintomáticos, con frecuencia se les descubre en el curso de una evaluación por infecciones urinarias recurrentes (13% a 73%), hematuria o trastornos de vaciamiento vesical. Otros pueden complicarse con reflujo vesico ureteral, litiasis (5% a 15%), tumores (3.5% a 10.8%), obstrucciones ureterales (8%) y más raramente, con retención aguda de orina y ruptura espontánea.4 Para su diagnóstico, se utiliza el ultrasonido pero se visualizan mejor en la uretrocistografia con vistas de vaciamiento posmiccional, las cuales revelan si están asociados o no al reflujo vesico ureteral. El tratamiento quirúrgico está indicado ante la presencia de las complicaciones mencionadas, y consiste en la exéresis de éste, con reimplantación ureteral si fuera necesario.5
El objetivo de este trabajo es presentar un nuevo caso de divertículo vesical congénito gigante, sus manifestaciones clínicas, estudios empleados para confirmar el diagnóstico, así como el tratamiento.
¡ö PRESENTACIÓN DE CASO CLÍNICO
Paciente masculino de seis meses de edad, producto de primera gesta, a término, normoevolutivo, con peso de 3600 g, talla 48 cm, APGAR 8 9.
Es enviado a la consulta de urología pediátrica, con nota de envío en la cual refieren antecedente quirúrgico, consistente en intervención de laparotomía exploradora por abdomen agudo, a los dos meses de edad.
Durante la cirugía se reportó una megavejiga, y procedieron a colocar únicamente cistostomía.
Fue recibido en el Instituto a los cinco meses de edad, durante esta visita se realizó ultrasonido renal y vesical, observando un gran divertículo vesical a la izquierda de la vejiga, cuyo tamaño era de dimensiones similares a la vejiga (Figura 1). La uretrocistografía confirmó el hallazgo del ultrasonido (Figura 2).
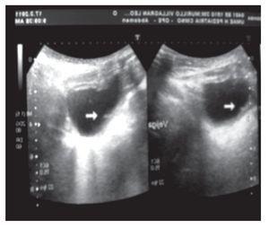
Figura 1.Ultrasonido con evidencia del divertículo proveniente de vejiga, con cuello de divertículo ubicado en piso vesical.
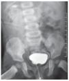
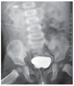
Figura 2. Cistouretrograma con evidencia de divertículo vesical de grandes dimensiones en región posterolateral de vejiga A) y B).
Con vistas a tener una visión m s exacta y especialmente a conocer la extensión real del divertículo y sus relaciones anatómicas con las estructuras vecinas, se procedió a realizar una tomografía axial computarizada (TAC).
Se discutió el caso y se decidió el tratamiento quirúrgico. Se realizó uretrocistoscopía encontrando divertículo vesical izquierdo de cuello ancho, en el que no se identifica el meato ureteral ipsilateral, no había trabeculaciones.
Se procedió a cirugía abierta, por abordaje con incisión Pfannenstiel, observando la vejiga sin presencia de engrosamiento, se evidenció un divertículo en la cara lateral izquierda de gran tamaño, se identificó el cuello del divertículo, se ferulizó el uréter derecho.
Se realizó diverticulectomía con abordaje combinado intra y extra vesical, se logró la exéresis total del divertículo sin producirse accidentes quirúrgicos, en los órganos circundantes. Se suturó el defecto vesical, en un plano con catgut crómico y también se realizó reimplante ureteral izquierdo, con técnica de Politano-Leadbetter. Se dejó sonda de alimentación con técnica de doble pañal, además de tratamiento antibiótico correspondiente.
Su evolución posquirúrgica fue favorable. Se mantuvo con profilaxis antimicrobiana por tres meses, con estudios de control sin alteraciones (examen general de orina, urocultivo, cistograma retrógrado). Las Figuras 3 y 4 muestran las imágenes de ultrasonido y cistograma retrógrado posoperatoriamente, donde ya no hay evidencia del divertículo.
Figura 3.Ultrasonido posquirúrgico sin evidencia de divertículo.
Figura 4. Cistouretrografia posquirúrgica de control, sin evidencia de divertículo vesical.
¿ DISCUSIÓN
El divertículo vesical congénito no es una patología común. La localización más frecuente está en el margen trigonal en próximo al hiato ureteral, el cual puede terminar incorporándose en el divertículo.6,7
Según los reportes de otros autores, los divertículos vesicales en general, muestran predilección por el sexo masculino. Esto coincide con el caso clínico presenta do. Se plantea que son más frecuentes, debido a que estos orinan con m s altas presiones intraútero, que las mujeres.8 10
En el caso de este paciente, el hallazgo fue median te un antecedente de laparotomía exploradora, por un cuadro de abdomen agudo, cuyas causas aún no han sido descritas en la literatura médica.
Los estudios de imagen que se emplearon para establecer el diagnóstico definitivo en este paciente, son los reportados en la mayoría de los autores consulta dos.1 3,5,7,10
El tratamiento quirúrgico realizado, la diverticulectomía abierta, constituye una de las opciones plantea das para los grandes divertículos vesicales. Esta puede hacerse extra vesical, transvesical o combinando ambas vías de abordaje, como en este caso. Los resultados obtenidos con esta modalidad de intervención quirúrgica, son satisfactorios y con bajos índices de complicaciones.9,11 También se puede aplicar vía laparoscópica trans o extraperitoneal, y últimamente se ha reportado la asistida por robot.8
¡¿ CONCLUSIÓN
La exéresis de los divertículos vesicales congénitos de gran tamaño, constituye la solución definitiva y segura, para aquellos pacientes que presentan sepsis urinaria por esta causa, y en ausencia de factores obstructivos al vaciamiento vesical concomitante, en cuyo caso se tiene que resolver la obstrucción antes o durante el tratamiento quirúrgico del divertículo.
Correspondencia: Dr. Salim Villacis-Fonseca.
Hospital Valentín Gómez Farías, ISSSTE. Departamento de Urología. Av. Soledad Orozco No 203. Col. El capullo. C.P. 45150. Zapopan, Jalisco, México.
Fax: (52 33) 3836 0650 ext. 181.
Correo electrónico:dr_villacis@hotmail.com





