¿ INTRODUCCIÓN
La cistitis incrustante se ha definido como una inflamación ulcerada de la vejiga con depósitos de calcio en su pared causando una función intolerable y graves consecuencias para el paciente. Se caracteriza desde el punto de vista funcional por el cuadro clínico usual de cistitis, e inconstantemente, por la eliminación de cristales incrustados e incluso arenillas durante la micción. Involucra muchos factores, incluyendo la presencia de una bacteria específica asociada con orina alcalina, procedimiento urológico preexistente o lesión preexistente de la mucosa. Un contexto clínico predisponente para la infección, como la inmunosupresión, es un importante co-factor. La infección urinaria se debe a que las bacterias convierten la urea en amoniaco.1 Los hallazgos clínicos consisten principalmente en disuria, malestar uretral y hematuria macroscópica. La orina contiene moco, pus o sangre, con fuerte olor a amonio, en la mayoría de los casos la fiebre se presenta hasta en 50% de los pacientes.2 La capacidad vesical está alterada, con una reducción del volumen y finalmente ocurre retracción, que disminuye la capacidad funcional.1
El examen general de orina presenta pH urinario alcalino, hematuria, piuria y cristales de estruvita, generalmente con un urocultivo estéril que demora el diagnóstico aún con la sintomatología irritativa presente.1 Los propósitos fundamentales de la quimioterapia intravesical son: erradicar la enfermedad existente, prevenir la recurrencia y prevención de la progresión tumoral. La mitomicina C es un antibiótico antitumoral que induce cambios en la composición del DNA. Se ha observado posterior a la aplicación de mitomicina C, la inducción de una cistitis química, la cual es a menudo una respuesta inflamatoria que se extiende hacia la profundidad de la pared vesical. Tras la aplicación de mitomicina C intravesical, el paciente se encuentra expuesto a bacterias degradadoras de urea que junto con el pH alcalino de la mitomicina C y el daño de la mucosa vesical crean un ambiente propicio para el desarrollo de esta entidad.
¿ PRESENTACIÓN DEL CASO CLÍNICO
Presentamos el caso de un paciente masculino de 62 años de edad con antecedente de tabaquismo de 20 cigarros por día durante 20 años. Un año y cuatro meses previos a su padecimiento actual, presentó cuadro de hematuria macroscópica con diagnóstico posterior de carcinoma papilar de células transicionales el cuál se manejó con resección transuretral de tumor vesical encontrándose en estadio Ta, agregándose quimioterapia intravesical con mitomicina C. Inició su padecimiento actual con sintomatología irritativa intermitente tras terminar con el ciclo de terapia intravesical con mitomicina C, manejándose con fluroquinolonas, no remitiendo sintomatología. El examen general de orina reportaba: pH de siete, leucocituria y microhematuria con urocultivo estéril, el resto de sus laboratorios se encontraban normales, se realizó (Figura 1), se decidió completar protocolo de estudio con urografía excretora y tomografía axial computada (Figura 2) programándose resección transuretral de lesión intravesical (Figura 3). Durante la cirugía se encontró que la lesión se encontraba completamente adherida a la pared vesical, siendo difícil de resecar; contaba con bordes necróticos y tenía una consistencia pétrea al corte del asa, realizándose resección parcial de la lesión. En el examen de la muestra obtenida durante la cirugía y enviada a estudio patológico se reportó: depósito de cristales cálcicos con datos de cistitis crónica inespecífica. En el postoperatorio se manejó con cefalosporinas de tercera generación, aminoglucósidos y ácido ascórbico el cual se continuó por seis meses, no se demostró la presencia de Corynebacterium D2 en el cultivo específico. Se realizó un segundo procedimiento quirúrgico posterior a los seis meses, lográndose resección completa de la lesión, la cual se presentaba menos endurecida, realizándose control tomográfico (Figura 4), sin evidencia de calcificación a nivel vesical. Actualmente, el paciente se encuentra asintomático y con controles cistoscópicos que sólo muestran cicatrización vesical propia de sus antecedentes
Imagen 1.Cistoscopia de control observándose una lesión intravesical en el sitio de resección tumoral previa.
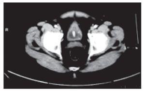
Imagen 2.Tomografía axial computarizada.
Imagen 3.Resección transuretral de lesión intravesical.
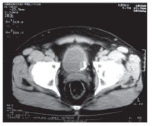
Imagen 4.Control tomográfico, sin evidencia de calcificación a nivel vesical.
¿ DISCUSIÓN
En 1914, Francois describió la cistitis incrustante como una más o menos localizada inflamación ulcerada de la pared vesical, con depósitos de fosfato de calcio en la superficie y en las paredes ulceradas.3 Ésta condición fue estudiada en 1925 y 1926 por Hager y Magath. Ellos concluyeron que la condición era resultado de una implantación de B. proteus ammoniae en la vejiga, la cual se encontraba alrededor de un sitio de alguna forma inflamatoria o una lesión tumoral.4 La cistitis incrustante es una inflamación severa de la mucosa vesical que precisa de una serie de factores para su desencadenamiento. El factor fundamental de su génesis, el depósito por precipitación de sales, precisa de una situación de alcalinidad urinaria.5,6 Actualmente, Corynebacterium grupo D2 es casi exclusivamente descrito en esta enfermedad desde que Soriano y colaboradores, demostraron su presencia en 1985. La bacteria causante, productora de ureasa, libera grandes cantidades de amónico, modificando el pH de la orina, el cual se vuelve marcadamente alcalino. La orina infectada se satura con estruvita y fosfato de calcio que se pueden precipitar en un área vesical adecuada, resultando incrustaciones en la pared de la vejiga. Las incrustaciones en la vejiga, requieren una lesión preexistente de la mucosa del tracto urinario a menudo secundaria a un procedimiento urológico.1
La vejiga urinaria puede tener un complejo conjunto de reacciones a varios estímulos perjudiciales, una inflamación prolongada, como la causada por el Coryne-bacterium uryaliticum.
Varias células, por ejemplo, las células del músculo liso, miofibroblastos, calcificación vascular y las células pericitos microvasculares, pueden exhibir cambios fenotípicos patológicos bajo ciertas condiciones, como la inflamación prolongada. Se ha especulado que un pH fuertemente alcalino y la presencia de fragmentos celulares derivados de células apoptóticas constituyen las condiciones ambientales que favorecen la precipitación del fosfato de calcio.7 Este germen precisa de determinaciones específicas para su aislamiento, tratándose de un germen oportunista y en la mayor parte de los casos nosocomial. La instilación de mitomicina C como agente quimioterápico vesical, tras una resección endoscópica, si bien no puede ser establecida como agente causal directo de la cistitis incrustante sufrida por el paciente, sí es verdad que tanto su acción a nivel de la mucosa vesical, sus características farmacológicas, con un pH de tendencia alcalina y la necesidad de un sondaje repetido para su administración, como agente potencialmente contaminante urinario pueden favorecer de forma importante su génesis.5
La cistitis incrustante es una enfermedad crónica con síntomas de larga duración y su primera descripción sigue siendo válida: "La cistitis incrustante es caracterizada, desde el punto de vista funcional, por las características habituales de la cistitis, pero, inconstantemente por la eliminación de desechos de incrustaciones o incluso piedras".
En el caso de la cistitis incrustante, el deterioro de la pared vesical y las calcificaciones pueden inducir dilatación pielocalicial y un progresivo deterioro de la función renal. La adaptabilidad vesical también puede estar alterada con una reducción en el volumen, resultando finalmente en retracción y completa pérdida de la capacidad funcional.1
La calcificación radiográficamente visible de la pared vesical, seguida de la cistitis ha sido extremadamente rara desde el advenimiento de los antibióticos.8,9 La urografía excretora en los casos de cistitis incrustante, revela un margen calcificado que se insinúa en la vejiga y la próstata, con dilatación pielocalicial secundaria, sobre una vejiga piriforme con bordes irregulares.1 El ultrasonido es sensible para el diagnóstico de cistitis incrustante y muestra engrosamiento y lesiones calcificadas en la pared vesical y posible dilatación del tracto urinario superior. Es una herramienta diagnóstica exitosa cuando las calcificaciones pueden ser visualizadas en el urotelio y no en la luz del tracto urinario.
La tomografía computarizada, la cual se realiza para detectar alta densidad de los bordes de las lesiones del tracto urinario, muestra calcificaciones asociadas con importante edema, en la vejiga, esta parece ser la técnica óptima para el diagnóstico de incrustaciones ya que es más sensible para detectar calcificaciones, incluso cuando son delgadas o radiolúcidas en las radiografías. Permite una visualización excelente de la pared urotelial y la calcificación. Estas calcificaciones cubren superficialmente el urotelio, pueden ser finas y regulares. La inyección de medio de contraste no es necesaria para el diagnóstico. También se realiza para el seguimiento de las lesiones después de un tratamiento adecuado.1,6 El examen bajo visión directa de la cistitis incrustante, muestra una apariencia inflamatoria marcada, de toda o una parte de la mucosa vesical con ulceraciones y placas blanquecinas correspondientes a las múltiples incrustaciones calcificadas. Estas incrustaciones varían en tamaño, que van desde un fragmento lanudo tendido en la mucosa hasta una verdadera placa calcificada profundamente incrustada en la pared de la vejiga. Las zonas predilectas para estas incrustaciones son el trígono, el uréter, el cuello vesical y los sitios previos de resección endoscópica, rodeados por una mucosa color rojo vivo, edematosa y hemorrágica.
El tratamiento de la cistitis incrustante consiste en tres elementos complementarios: tratamiento de la infección, acidificación de la orina y quimiolisis y eliminación de placas calcificadas que contienen microorganismos.
El descubrimiento de nuevos agentes antimicrobianos ha transformado el resultado de estas enfermedades infecciosas. Todas las cepas de Corynebacterium D2 grupo son sensibles in vitro a los glucopéptidos, vancomicina y teicoplanina, que tienen efecto similar. La sensibilidad se ha mantenido constante desde la primera descripción de la bacteria en asociación con la cistitis incrustante. La sensibilidad del Corynebacterium D2 a las fluoroquinolonas es irregular y las tasas de resistencia a veces son mayores a 50%.
Las placas calcificadas contienen altos niveles de microorganismos y limitan la eficacia de los antibióticos en vivo. Se sugiere la remoción de las placas quirúrgica o endoscópicamente. La resección transuretral de las placas vesicales sigue siendo difícil, con el riesgo de ruptura del asa.
La curación de la pared vesical depende de la prevención de la precipitación de calcio y por lo tanto la prevención de la sobresaturación de las sales de calcio en la orina alcalina. Los dos tipos de tratamiento para inducir la acidificación de la orina son inhibidores de ureasa orales o acidificación tópica directa.
¿ CONCLUSIONES
La cistitis incrustante es una inflamación severa de la mucosa vesical que precisa una serie de factores para su desencadenamiento, siendo el fundamental, el depósito por precipitación de sales, lo cual conlleva a una alcalinidad urinaria. Se ha documentado que tras las instilaciones con mitomicina C, el pH urinario final es entre siete y ocho.
En el caso presentado, no se logró identificar la presencia de gérmenes urinarios en ninguna de las determinaciones. No obstante tenemos un factor importante de contaminación urinaria: el sondaje repetido para las instilaciones de mitomicina.
El desarrollo de la cistitis incrustante se produce en la mayor parte de los casos descritos, sobre un fondo lesional vesical. En nuestro caso la lesión está muy clara, por un lado tenemos la herida de la resección endoscópica a la que hay que añadir la inflamación de mucosa que provoca la mitomicina C y que es inherente a su acción citostática. Con respecto al tratamiento se demuestra que la acidificación urinaria es suficiente para solucionar el proceso, acción a la que hay que añadir la resección de las placas ya formadas y conseguir la esterilización urinaria.
Correspondencia: Dr. Hibert Castellanos Hernández.
Av. Universidad N° 1321 Colonia Florida. Delegación Álvaro Obregón, D. F.
Correo electrónico: hibertfuzz@hotmail.com





