¿ INTRODUCCIÓN
Los adenocarcinomas primarios de vejiga constituyen el 0.5-2% de las neoplasias vesicales. Es la neoplasia más frecuente en pacientes con extrofia vesical, y ocurre más frecuentemente en áreas donde la esquistosomiasis es endémica.1,2
En México, su presentación es poco frecuente en forma aislada. Cuando son diagnosticados debe descartarse otro tumor primario fuera de las vías urinarias, principalmente provenientes del tubo digestivo.3-5 Se presentan con mayor frecuencia en el domo vesical o en la pared anterior de la vejiga, y cuando el tumor es intramural y tiene ramificaciones en la pared vesical, su origen puede ser el uraco. El uraco se describe como la estructura vestigial de 5 cm que conecta el domo de la vejiga con el ombligo, en el feto, une el domo vesical con la alantoides; después del nacimiento se convierte en el ligamento umbilical mediano. Se observan remanentes del mismo en necropsias en porcentaje de 50% en fetos y 3% en adultos.1 El adenocarcinoma de vejiga se clasifica de acuerdo a su sitio de origen, como: primario de vejiga, de uraco, secundario o metastásico y puede haber variantes más agresivas como el de células en anillo de sello y hepatoide.1 Cuando se trata de un tumor de origen extravesical puede deberse a tumores extendidos localmente, provenientes de colon, próstata o cáncer de ovario.
¿ CASO CLÍNICO
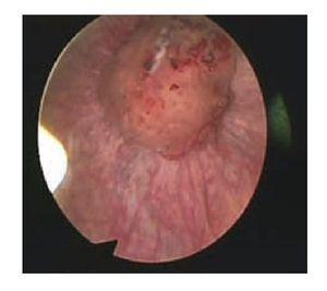
Paciente masculino de 61 años, comerciante, con antecedente de insuficiencia venosa profunda, apendicectomía y adenoidectomía. Inició con síntomas irritativos urinarios bajos, caracterizados por disuria y polaquiuria, con un puntaje del índice de síntomas prostáticos (IPSS) de 6, asociado a dolor lumbar izquierdo moderado, intermitente, opresivo, sin otras manifestaciones. En la exploración abdominal no se palparon masas tumorales o visceromegalias. Durante el tacto rectal se evidenció una próstata blanda no sospechosa para cáncer. Estudios de laboratorio: química sanguínea con creatinina de 1.01 mg/dL, glucosa de 97 mg/dL, nitrógeno ureico de 13.7 mg/dL. El examen general de orina con densidad de 1.020, pH de 6, eritrocitos negativos, leucocitos negativos, urato amorfo ++, mucina +. Citología urinaria negativa en serie de cinco. Marcadores tumorales: ACE de 2.2 ng/ml, Ca 125 de 13 U/ml, APE de 0.72 ng/ml, CA19-9 de 7.3U/ml. Estudios de gabinete: el ultrasonido vesical mostró una lesión sólida en la pared anterior de la vejiga. La tomografía de abdomen y pelvis describió la presencia de tumor vesical en cara anterior-domo, que no atravesó la pared vesical, sin ganglios visibles. No se observan tumoraciones en otros órganos. Cistoscopia: lesión polipoide sólida vegetante en cara anterior vesical (Figura 1).
Figura 1.Cistoscopia que muestra lesión tumoral única en domo vesical con bordes irregulares de 1 x 1 cm y moco en la pared.
Se realizó resección transuretral del tumor vesical. El estudio histopatológico confirmó el diagnóstico de adenocarcinoma no uracal de vejiga asociado a cistitis glandularis y metaplasia escamosa. Posterior a la Resección Transuretral de Vejiga (RTUV), se realizó el mapeo vesical el cual se encontró sin alteraciones. En la endoscopia y colonoscopia no identificaron lesiones tumorales. El tratamiento realizado fue cistectomía parcial con linfadenectomía pélvica bilateral (Figura 2). El diagnóstico postoperatorio final fue de adenocarcinoma ulcerado, no uracal, de tipo entérico de 2 cm, con bordes quirúrgicos negativos a cáncer, siete ganglios derechos y siete izquierdos sin actividad neoplásica (Figura 3). Área de uraco negativa a neoplasia.
Figura 2.Cistectomía parcial con resección de área tumoral con margen de 2 cm.
Figura 3. Fotomicrografía con diagnóstico de adenocarcinoma moderadamente diferenciado que afecta muscular propia.
La evolución fue buena, sin datos de recurrencia tumoral a 12 meses de seguimiento. La cistoscopia de control, no mostró datos de actividad tumoral y tuvo una capacidad vesical de 300 ml.
¿ DISCUSIÓN
El adenocarcinoma de vejiga se define histopatológicamente como un tumor maligno diferenciado y con tendencia a la similitud de la mucosa del colón. Afecta principalmente al sexo masculino (2/3) y la edad más común de presentación es a los 68 años de edad.3,6,7 La forma de presentación más frecuente es la hematuria macro o microscópica. Debido a los diferentes tipos de adenocarcinoma es necesario clasificarla en; in situ, uracales (1/3 no son parte de la vejiga), no uracales (2/3) y de células claras (variante más agresiva). La forma de presentación única representa dos terceras partes del total de los tumores. Se caracterizan por ser masas exofíticas que invaden la pared vesical y ulceran la mucosa. La forma múltiple se presenta aproximadamente en 30% de los casos.8-11
El adenocarcinoma es siempre invasor, sólo se ha documentado una serie de dos casos de pacientes con tumores superficiales, con sobrevida de 51 y 61 meses posterior a la RTUV sola.8,12,13
La superficie tumoral comúnmente está cubierta por un material mucinoso-gelatinoso. Microscópicamente tienen un componente glandular predominante, que recuerda la mucosa colónica, ya que también producen mucina e invaden la muscular propia, por lo que se consideran de alto grado de diferenciación cuando son diagnosticadas por citología, pero debido a que no es posible diferenciarla glandularmente, el estudio tiene poca utilidad. Las tinciones especiales de inmunohistoquímica fueron positivos para los marcadores tumorales: CK7, CEA, EMA, CDX2, y negativos para PSA, vimentina, PAP, CA-125 y CK20.4-6
La hematuria es el síntoma clínico más frecuente, se puede asociar a sintomatología irritativa urinaria baja y ocasionalmente se encuentra moco en el examen general de orina, lo cual es un dato muy especifico para esta patología. En estos casos se utiliza la cistoscopia como método de diagnóstico urológico especializado. Se localizan en cualquier parte de la vejiga, ya sea paredes laterales, trígono, domo o cara anterior de pared vesical. Los criterios para diferenciar un adenocarcinoma uracal del no uracal son: localización central del tumor en la cara anterior de la vejiga o en el domo vesical, invasión del exterior al interior de la vejiga, la mucosa vesical se encuentra intacta o ulcerada, no hay carcinoma in situ, cistitis glandularis o metaplasia glandular, crecen entre el ombligo y la vejiga.2,3,14
El adenocarcinoma no uracal, se caracteriza por: originarse en la mucosa vesical, presencia de mucosuria en gran cantidad, localización en caras laterales de vejiga y trígono, aunque también se pueden presentar en domo y pared anterior de vejiga, pero se debe descartar origen uracal. En relación con su origen, 60% proviene de metaplasia intestinal extensa (cistitis glandularis) que comúnmente se encuentra en el trígono y frecuentemente es de variante entérica. También pueden derivarse de divertículos, extrofia vesical y endometriosis, así como por parásitos como el Schistosoma haematobium.3,4,7 ,9
El paciente debe ser revisado de manera integral para descartar una tumoración, principalmente del tubo digestivo. La panendoscopia de tubo digestivo y los marcadores tumorales, descartan el origen metastásico del tumor. El manejo inicial consiste en la realización de RTUV-biopsia, con lo cual se identifica la extirpe tumoral y la profundidad del mismo.8 Las opciones terapéuticas después de la RTUV con o sin radioterapia parecen no tener éxito.8 La cistectomía parcial se efectúa en pacientes seleccionados.5,15
Los beneficios con este tipo de cirugía incluyen: la disminución de la morbilidad, la preservación de los nervios peri-vesicales, la mejoría de la imagen corporal del paciente y la preservación del tracto urinario. Las indicaciones clásicas de la cirugía parcial son el tumor solitario en domo vesical y las lesiones en la cara lateral de vejiga que no afecten el trayecto ureteral. Cuando existe multifocalidad y afección a ganglios locales la cirugía debe de ser radical. Las complicaciones de la cistectomía parcial son: recurrencia tumoral en herida quirúrgica (0-55%), vejiga no funcional por disminución de la capacidad vesical que requiere derivación urinaria en 3% de los casos.5,15
Anderström y colaboradores, reportaron en su serie una supervivencia de 50% a 5 años de seguimiento, lo cual justifica la realización de resecciones parciales, ya que con cistectomía radical la mortalidad a 5 años no alcanza el 20%.1 El adenocarcinoma no es radio-sensible, la supervivencia a 5 años es de sólo de 20% con tratamiento de radioterapia externa sola. Se ha descrito que en dos estudios realizados en 34 y 25 pacientes que la radioterapia preoperatoria no mejora la sobrevida.5,8,15 La experiencia del uso de la quimioterapia en el tratamiento de los pacientes con adenocarcinoma es limitada. La quimioterapia con 5-Fluorouracilo ha sido la más investigada pero en estudios de adenocarcinoma gastrointestinal, con pobre respuesta. La cistectomía radical con o sin terapia adyuvante se ha reportado como terapia de elección, sin embargo varios de estos estudios han sido realizados en pocos pacientes y durante tiempos cortos de seguimiento.5,10,15 El adenocarcinoma primario de vejiga tiene un muy mal pronóstico independientemente de las modalidades de tratamiento utilizadas, ya que la sobrevida a 5 años tiene un rango entre 0-31%.15
¿ CONCLUSIONES
El manejo médico de los pacientes con tumoraciones vesicales constituye un reto para el urólogo en el diagnóstico y tratamiento, ya que existen diferentes modalidades de tratamiento para un adecuado control de la enfermedad. La modalidad orientada a la conservación de la vejiga, constituye una opción que ofrece ventajas en la calidad de vida del paciente, por la posibilidad de conservar su vejiga nativa. Sin embargo, son pocos los estudios relacionados con el manejo conservador del adenocarcinoma de vejiga; en general la conducta oncológica tiende a la realización de tratamiento más radical, no obstante la calidad y las expectativas de vida de los pacientes justifican un manejo menos agresivo. Se tiene que realizar una valoración integral del caso y definir el adecuado apego al tratamiento y al seguimiento postoperatorio, lo cual es básico para una adecuada sobrevida.
Correspondencia:
Cantellano Orozco Mauricio.
División de Urología, Hospital General Dr. Manuel Gea González, Secretaría de Salud, México, D.F.
Calzada de Tlalpan 4800. Col. Toriello Guerra. Delegación Tlalpan. C.P. 14000.
Teléfono 40003000 Extensión 3044. FAX 40003044.
Correo electrónico:mcantellanomd@yahoo.com.mx




