El cáncer renal es una de las 10 primeras entidades malignas en el adulto, globalmente se diagnosticará un estimado de 270,000 nuevos casos y morirán 116,000 anualmente. En 1997 se incorpora la clasificación de Heidelberg, en la cual se reconoce al carcinoma de ducto colector de Bellini, como una entidad maligna renal aparte de la convencional. Su diagnóstico es en base a características patológicas específicas, así como a la positividad de las citoqueratinas de alto peso molecular, entre otras. El tratamiento citorreductor es el único consensado, ya que la terapia médica aún no se ha visto con adecuados resultados, teniendo uno de los peores pronósticos si se compara con los otros subtipos histológicos del cáncer renal.
El objetivo del presente estudio es realizar una revisión multicéntrica, utilizando la base informática Medline para la identificar la epidemiología, incidencia y mortalidad de los tumores de conductos colectores de Bellini, así como hacer el reporte de un caso en nuestra unidad hospitalaria.
Se presenta masculino 66 años de edad, el cual presenta dolor en hipocondrio derecho; al realizar ultrasonido hepático se observa de forma incidental tumor renal derecho de 5 x 5 cm; se lleva a cabo tomografía computada (TC) toraco-abdominal y pélvica, observando tumor renal derecho de 5 x 4.5 cm, sin evidencia de extensión local o metastásica de la enfermedad. Se realiza nefrectomía, estudio histopatológico y estudio de inmunohistoquímica, llegando al diagnóstico de carcinoma de ductos colectores de Bellini.
Kidney cancer is one of the first 10 malignant diseases in the adult. There are an estimated 270,000 new cases diagnosed annually worldwide, together with 116,000 deaths. In 1997 the Heidelberg classification recognized Bellini duct carcinoma as a separate subtype of malignant renal disease. Its diagnosis is based on specific pathologic characteristics, as well as on high molecular weight cytokeratin positivity, among others. Cytoreduction is the only consensus treatment, given that adequate results have yet to be seen with medical therapy. This pathology has one of the worst outcomes compared with the other kidney cancer histologic subtypes.
The aim of this study was to present a multicenter review using the Medline database to identify epidemiology, incidence, and mortality in relation to tumors of the collecting ducts of Bellini and to present a case from our hospital unit.
A 66-year-old man presented with pain in the right hypochondrium. Ultrasound imaging of the liver incidentally showed a right 5 x 5 cm renal tumor. A computerized tomography (CT) scan of the thorax, abdomen, and pelvis revealed a 5 x 4.5 cm right renal tumor with no evidence of local extension or metastasis of the disease. Nephrectomy was performed and histopathologic and immunohistochemistry studies were done, leading to the diagnosis of Bellini duct carcinoma.
Introducción
El cáncer renal fue responsable de la muerte de 12,840 personas sólo en Estados Unidos en el año 2006, el subtipo histológico más común es el carcinoma de células claras (90%), con un pico de mayor incidencia en la 7° década de la vida, afecta levemente más a hombres de raza negra1, además de ser una de las primeras 10 causas de cáncer en todas sus presentaciones, aproximadamente cuenta con el 3% de todas las neoplasias del adulto2, globalmente se diagnosticará un estimado de 270,000 nuevos casos y morirán 116,000 anualmente3.
En 1997 se describe la clasificación de Heidelberg, en la cual se realizan 4 tipos subclasificatorios de cáncer renal, ya que se observaron diferencias en su histología citogenética, agresividad y pronóstico, entre cada una de ellas, por lo que se dividieron en: convencional (células claras) -que es el más común-, papilar, cromófobo, ductos colectores y variedad sarcomatoide. Este último se pensaba que era un estado de progresión de un tumor de alto grado, aunque ya se reconoce como una entidad patológica diferente con su propia actividad biológica claramente reconocida4.
La mayor parte de los tumores de células claras de riñón son formados a partir del epitelio de los túbulos contorneados proximales; existe una variante de neoplasia la cual se desarrolla en los túbulos colectores distales (también llamados ductos de Bellini). Esta variante histológica fue descrita primeramente por Pierre Manson en 1970, y recibió inicialmente el término "epitelioma Belliniano", acuñando el nombre definitivo por primera vez en 1979 por Cronie3, siendo en 1985 cuando se describieron las características histológicas y clínicas por Fleming y Lewi5. Actualmente, encontramos en la literatura sólo algunos reportes de casos, así como estudios multicéntricos con la incorporación de casos acumulados de forma retrospectiva debido a la rareza del hallazgo.
El origen embriológico de los túbulos colectores son los conductos de Wolff, así también dan origen a los uréteres, pelvis y cálices renales. El tumor de células colectoras de Bellini es una entidad bastante rara, constituyendo el 1% al 2% de los tumores epiteliales renales del adulto, es más común en hombres (2/3), la edad media de presentación de este tipo de tumor es de 55 años, tiende a ser localizado predominantemente en porción medular del riñón por su origen histológico5.
Presentación de caso
Masculino de 66 años de edad, pensionado de oficio soldador, el cual acude a consulta ya que 15 días antes presenta dolor pungitivo en epigastrio e hipocondrio derecho. Sospechando en enfermedad vesicular, su médico familiar solicita ultrasonido de hígado y vías biliares, encontrando de forma incidental imagen heterogénea cortical de riñón izquierdo hipoecogénica en su interior de 5 x 5 cm aproximadamente (fig. 1), sugestiva de tumor renal; motivo por el cual se solicita interconsulta a nuestro Servicio.
Figura 1. El ultrasonido muestra una lesión sólida medial dependiente de parénquima renal.
Cuenta como antecedente de importancia: hipertensión de 15 años de evolución en tratamiento con enalapril una tableta cada 8 horas, además de exposición crónica a productos del antimonio inhalado por su trabajo como soldador ahora ya pensionado, como factores de riesgo6,7, niega alguna otra enfermedad crónica, pérdida de peso ponderal o síntomas constitucionales, refiere nunca haber fumado. Se realiza entonces tomografía computada (TC) abdominopélvica simple y contrastada, encontrando tumor renal heterogéneo de 50 x 45.9 mm, invadiendo desde cáliz medio hasta espacio cortical, la cual tiene realce periférico de medio de contraste (figs. 2 y 3), sin evidencia de metástasis torácica o local, vejiga sin lesiones ocupantes. Se realiza además pruebas de laboratorio complementaria reportando Hb: 12.6 g, Hto: 35.6%, plaquetas: 142,000, leucos: 8.4, glucosa: 120 mg, urea: 53 mg, creatinina: 1.04 mg, tiempos de sangrado y pruebas funcionales hepáticas dentro de parámetros normales. Uroanálisis: leucocitos 0 por campo, eritrocitos 0 por campo, bacterias proteínas y nitritos negativo.
Figura 2. Corte topográfico donde se muestra una lesión sólida de 4.5 x 5.0 cm, en su borde externo del riñón derecho con densidad heterogéneo.
Figura 3. Vista posterior en reconstrucción 3D.
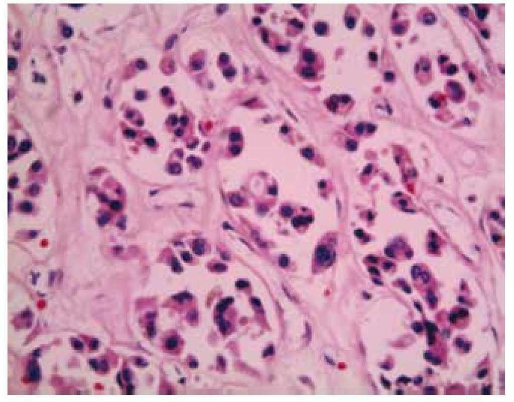
Se realiza entonces nefrectomía derecha, sin complicaciones durante la cirugía o después de la misma, llamando la atención el reporte de patología número 1735-12: "Se recibió pieza patológica identificada como riñón derecho, en donde se observa tumor de 5 x 5 cm de consistencia firme grisáceo amarillento, que ocupa desde la zona medular hasta el polo inferior; al corte y tinción de hematoxilina & eosina de 40 x 0.65: lesión neoplásica que forma túbulos, separados por un estroma fibroblástico abundante, revestidos de células pleomórficas de citoplasma abundante, eosinófilo y núcleos grandes y redondos, rodeados de una reacción desmoplásica prominente; su extensión comprende desde la médula hasta la capsula de Gerota sin rebasarla, hilio renal y ganglios linfáticos, sin infiltración neoplásica" (fig. 4).
Figura 4. Nótese la disposición tubular de la lesión con núcleos prominentes y nucléolos hipercromáticos.
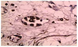
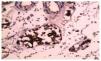
Se realiza estudio de inmunohistoquímica con citoqueratinas de alto peso molecular, mostrando positividad intracitoplásmatica en las células neoplásicas para CK7 y CK10 (fig. 5), además de ser positivo además para vimentina (fig. 6). Por lo anterior, se llega a la conclusión que se trata de un carcinoma de ductos colectores de Bellini.
Figura 5. Citoqueratina 7 positiva.
Figura 6. Vimentina, células malignas francamente positivas.
Discusión
Los tumores renales representan el 3% de todas las malignidades, de éstos, los tumores de células colectoras son de los más raros y agresivos, contando con el 1% del total de todos los tumores renales, tiene pobre pronóstico; como único factor protector de sobrevida, es su rápida identificación y abordaje agresivo8, la nefrectomía es el tratamiento de elección, sin haber aún un esquema quimioterapéutico universal, sólo reportes de casos con diferentes resultados. A continuación se realiza una revisión extensa en cuanto a tratamiento, diagnóstico macroscópico y por inmunohistoquímica y de los factores pronósticos, que pueden llegar a tener algún impacto en la sobrevida de los pacientes.
Características tomográficas de la lesión: como se ha descrito anteriormente, los tumores renales de células claras se desarrollan del túbulo contorneado proximal, mientras que los de conductos de Bellini tendrán su origen de los túbulos colectores, por lo que serán emergidos de la médula del riñón. No existen hallazgos específicos que puedan diferenciar un tumor renal de células claras contra uno de túbulos colectores, sólo que éstos se encontrarán más hacia la médula, tendrán una presentación poco más heterogénea, se involucrarán mayormente en el seno renal, con crecimiento infiltrativo preservando el contorno renal, así como eventuales imágenes quísticas pequeñas dentro de la misma lesión9.
Tratamiento: no se ha llegado a un consenso de la terapia a seguir después de la nefrectomía, ya que entre varios artículos han propuesto desde interferón alfa combinado con interleucina 2, hasta combinaciones con gemcitabina con cisplatino basándose en la gran similitud inmunohistoquímica, embriológica y citogenética con el carcinoma de células transicionales10. En los estudios multicéntricos donde se utilizó esta última combinación, se observó que a dosis de 1,250 mg/m2 de gemcitabina y 70 mg/m2 de cisplatino, presentaban una respuesta completa de 26%, un lapso estimado de sobrevida libre de progresión de 7.1 meses y mejoría en la sobrevida total de 10.5 meses, la toxicidad hematológica fue el principal efecto secundario indeseado caracterizado por neutropenia y trombopenia en 52% y 43%, respectivamente, fue necesario cambiar a carboplatino en 22% de los casos, llegando a la conclusión que la sobrevida iba a ser inversamente proporcional al número de metástasis, así como a la intolerancia al tratamiento11. En otro artículo encontramos que la gemcitabina se usó en combinación con un nuevo agente llamado nedaplatin (parecido a cisplatino, pero con menor nefrotoxicidad), teniendo mejoría parcial inicial en un paciente con tumor productor de factor estimulante de colonias de granulocitos como síndrome paraneoplásico, teniendo disminución inicial de la reacción leucemoide para después experimentar recidiva tumoral y la muerte12.
Características histológicas del tumor de células colectoras: macroscópicamente suele observarse como una lesión sólida grisácea, difusa e irregular que, aunque en determinadas ocasiones preserva el contorno renal, habitualmente deforman las papilas protruyendo en la pelvis renal10. Se pueden enumerar las siguientes como características mayores: compromiso de las pirámides medulares con lesiones pequeñas, arquitectura tubular irregular, marcada desmoplasia, células en tachuela de alto grado, positividad para citoqueratinas de alto peso molecular (CK7, CK10)5, positividad para lecitinas Ulex europaeus, antígeno de membrana epitelial, lisozima y vimentina. Además de no tener presencia de carcinoma urotelial sincrónico13. Dentro de los criterios menores se reportan como: lesiones grandes de localización central, arquitectura papilar con fibrosis y estroma desmoplásico; estroma inflamatorio con neutrófilos, extensión extrarrenal e infiltración vascular, positividad para mucina3.
Entre otros inmunomarcadores nuevos se encuentra la molécula laminina 5, consistente de una cadena alfa 3, beta 3 y gamma 2, la cual se expresa en el tejido epitelial de los ductos colectores diferenciando así el tejido de otra parte del riñón, aunque puede salir en algunos casos positivos para tumores papilares, esta diferenciación debe realizarse a través de la expresión, además de citoqueratinas de alto peso molecular como la CK7, CK10 o CK19. La positividad para laminina 5 puede verse relacionada con la agresividad de este tumor, por lo que se debe tomar en cuenta en estudios de mayor número de casos incluidos14.
Dentro de las características citogenéticas que podemos encontrar en los pacientes con este tipos de tumores son sobre especialmente deleciones 1p, 8p, 9p, 16p, 22p, así como ganancia en el cromosoma X 13q; en un estudio realizado a partir de varios centros de Alemania -el más grande estudiando la citogenética de los tumores colectores encontrado hasta el momento-, presenta la inclusión de 29 especímenes, donde se llegó a la conclusión de que no necesariamente se veía traducida la ganancia o pérdida citogenética, sino más bien el oportuno diagnóstico y tratamiento quirúrgico temprano15. En otros centros especializados de investigación han encontrado monosomías 18 y 21, así como las pérdidas ya descritas anteriormente; en un trabajo observaron sobretodo alteraciones en el cromosoma 1 en todas las muestras analizadas16, la aneupleudía se puede observar hasta en un 90%17. Al parecer la deleción del cromosoma 8p es la anomalía cromosómica más encontrada, ya que se ve reflejada en todos los artículos sobre citogenética descritos en esta revisión, además de ser factor de mal pronóstico debido al comportamiento agresivo de los tumores que presentaban esta anomalía. Las mutaciones de los genes VHL y RB se han visto en reportes esporádicos, como casos anecdóticos sin poder llegar a la conclusión del papel que esto ejerce en el desarrollo de este tipo de tumor18. Se ha visto expresión de proteínas tales como p53, p27, y Bcl2, sin ser éstas de significancia pronóstica, ya que se pueden observar de 27% a 36% de los casos17. Es necesario un número mayor de muestras para continuar la investigación citogenética.
Diagnóstico diferencial: debido a semejanzas histológicas con los otros subtipos histológicos, debe ser bien delimitadas sus diferencias para poder llegar al diagnóstico correcto, sobre todo para motivos de tratar de determinar el pronóstico de cada uno de ellos. A continuación, se enumeran con sus principales características histopatológicas5 en la tabla 1.
Pronóstico: en todos los artículos revisados para la integración de este artículo se reconoce al cáncer de túbulos colectores de Bellini, como uno con los peores pronósticos de todos los subtipos histológicos de cáncer renal. Teniendo una sobrevida media aproximada de 13 meses desde el momento del diagnóstico (0-59 meses) y la variedad sarcomatoide, teniendo el peor pronóstico de todos los subtipos con sobrevida a 6 meses a partir del diagnóstico (6-68 meses), en una de las series más recientes y con mayor número de pacientes estudiados9.
El estadiaje tumoral avanzado así como el grado nuclear indiferenciado, se detectan en etapas más avanzadas al momento del diagnóstico en los subtipos sarcomatoide, así como en carcinoma de túbulos colectores, con una probabilidad de encontrar un T3 y T4 de 55.7% en el túbulo colector y un Fuhrman grado 3 en 55.7% vs. una probabilidad de tener T3 o 4 de 28% o grado nuclear 3 de 17.6% para el subtipo papilar, si se les compara. Esto se traduce en peor pronóstico como se comentaba anteriormente, con una sobrevida a 5 años de sólo el 6% para los pacientes con subtipo carcinoma de células colectoras9.
Está bien descrito que el subtipo histológico del cual se habla en este artículo, tendrá mayor propensión para la propagación local (28%) y metástasis (32.1%) en el momento del diagnóstico, mayor aparición de enfermedad ganglionar (15%), así como de recurrencia. Los principales sitios de metástasis son pulmón, hueso, hígado, cerebro y pleura parietal19. Si se compara la sobrevida entre pacientes con tumor de células claras y de túbulos colectores, teniendo ambos un tumor mal diferenciado o metastásico, tendría ligeramente peor pronóstico el tumor de Bellini que el convencional9.
Conclusión
El carcinoma de túbulos colectores es una entidad rara que debe ser diferenciada de las otras entidades malignas dentro de los tumores del riñón, por medio de sus características histopatológicas, así como de características inmunohistoquímica específicas, ya que no comparte el mismo pronóstico o evolución que un tumor de células renales convencional5. El diagnóstico temprano y tratamiento radical adecuado tiene el factor pronóstico más importante, ya que en las series más largas se observa que mientras el tumor sea localizado, su extirpación quirúrgica completa en estadio temprano será el tratamiento definitivo.
Se requieren más estudios clínicos con series de casos extensos, y compararlos con los diferentes centros oncológicos internacionales, para poder llegar a un consenso unificado sobre el tratamiento sistémico de la enfermedad diseminada, ya que existen sólo algunos reportes clínicos donde parece ser que la mejor terapéutica usada, es la misma que para el cáncer urotelial diseminado, quizás por las características citogenéticas y embriológicas que comparten estos 2 tipos de tumores.
Conflicto de intereses
Los autores declaran no tener ningún conflicto de intereses.
Financiamiento
No se recibió patrocinio para llevar a cabo este artículo.
* Autor para correspondencia:
Cáncer N° 3992, Int. 602, Colonia Lomas Altas, Zapopan, Jal., México.
Teléfono: 33 1080 6462.
Correo electrónico: drdiegofarias@gmail.com (J. D. Farías-Cortés).








