Se presenta el caso de un paciente de 10 años con diagnóstico de ectrodactilia-displasia ectodérmica-hendidura, con cuadro de oclusión congénita de vías lagrimales, complicado con blefaroconjuntivitis y queratitis bacteriana, a la exploración oftalmológica se encontró agenesia de punto lagrimal superior del ojo derecho, hipoplasia de glándulas de Meibomio de ambos ojos, además de laceración canalicular y falsa vía lagrimal del ojo izquierdo, por antecedente de dacriointubación cerrada previa. A la exploración sistémica se encontró: ectrodactilia de manos y pies, cicatriz de queiloplastia, alteraciones de piel y cabello, y anodoncia subtotal. Se realizó exploración de vías lagrimales encontrando obstrucción ósea de vía lagrimal del lado derecho. Se decidió manejo conservador de la vía lagrimal, para realizar dacriocistorrinostomía en ambos ojos al tener mayor desarrollo mediofacial con la edad.
We report a case of a male patient with ectrodactyly ectodermal dysplasia clefting syndrome, who presents with complicated congenital nasolacrimal duct obstruction, with blepharoconjunctivitis and bacterial keratitis, at the ophthalmic examination the patient had right superior punctum agenesis, hypoplasia of Meibomian glands, bicanalicular injured and false passage formation of the left eye, secondary a preview silicone tube intubation. At general examination the patient had ectrodactyly of the hands and feet, lip and cleft palate statuts post repair, dry hair and skin and subtotal adontia. At probing it notes a bony obstruction of the right nasolacrimal duct. The management was conservative, planning a bilateral dacryocystorhinostomy when the patient get older.
El síndrome ectrodactilia-displasia ectodérmica-hendidura (EEC, por sus siglas en inglés: ectrodactyly-ectodermal displasya-clefting) es un raro trastorno, hereditario, autosómico dominante, de expresión variable y penetrancia incompleta1. Los 3 criterios cardinales de este síndrome son ectrodactilia (manos y pies en pinza), displasia ectodérmica (caracterizada por varios defectos estructurales de origen ectodérmico) y paladar hendido, así como, también, se ha asociado a trastornos de vía lagrimal2,3.
En 1970, Rüdger et al.4 designaron el síndrome de EEC, a la combinación de las manifestaciones clínicas presentes, sin embargo, se tienen descripciones previas desde 1804 por Eckhold y Martens1,2,5.
Existen pocos reportes de pacientes con este síndrome en México, Cervantes-Paz y Campuzano-Argüello6 reportan el caso de una niña con dacrioestenosis congénita bilateral; por otra parte, Garza-Leon et al.7 reportan el caso de una madre e hija afectadas, quienes presentan alteraciones corneales y en los anexos.
Presentación del casoPaciente varón de 10 años de edad, que acudió a consulta externa del Servicio de Oftalmología del Hospital Central «Dr. Ignacio Morones Prieto» de la ciudad de San Luís Potosí, por presentar sintomatología de ojo rojo en el ojo izquierdo, secreción mucopurulenta amarilla y fotofobia de 2 días de evolución, además de presentar epífora de ambos ojos desde el nacimiento, constante en el ojo derecho e intermitente en el ojo izquierdo. Cuenta con antecedente de ser operado de queiloplastia por labio leporino y paladar hendido a los 2 meses de edad, se le practicó dacriointubación cerrada (DIC) y se colocó sonda de Crawford en el ojo izquierdo a los 2 años de edad, pierde seguimiento por mejoría relativa. No cuenta con antecedentes heredo-familiares de importancia.
A la exploración física se encuentra con piel fina y seca, cabello hipopigmentado, puente nasal plano y nariz ancha, cicatriz de herida en filtro, prognatismo (fig. 1), anodoncia subtotal, macroglosia y paladar con cicatriz. En la exploración de extremidades se notó sindactilia con ectrodactilia de manos y pies (figs. 2 y 3). Su estado mental era normal para su edad cronológica. A la exploración oftalmológica presentaba desviación antimongoloide de las hendiduras palpebrales, hipoplasia de glándulas de Meibomio, ausencia de punto lagrimal superior derecho (fig. 4), laceración de canalículos del ojo izquierdo (fig. 5), saco retenedor positivo en ambos ojos, con agudeza visual mejor corregida de 20/20 en el ojo derecho y 20/60 en el ojo izquierdo, hiperemia conjuntival leve en el ojo izquierdo, córnea con tinción punteada superficial y filamentos en ambos ojos y desepitelización de 1×1mm paracentral en el ojo izquierdo, resto de segmento anterior y segmento posterior de ambos ojos normal.
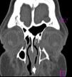
Se manejó superficie ocular con antibiótico tópico de amplio espectro en el ojo izquierdo y lubricante sin conservador en ambos ojos. Se interconsulta al servicio de genética, quien hace el diagnóstico de síndrome de EEC. Resuelto el cuadro infeccioso, se realiza exploración de vía lagrimal bajo anestesia, encontrando vía lagrimal derecha con obstrucción ósea a un nivel aproximado de la unión de saco con conducto nasolagrimal y vía lagrimal izquierda permeable con trayecto sinuoso. La tomografía axial computarizada demuestra la obstrucción ósea del conducto nasolagrimal derecho (fig. 6) y una pérdida de la solución de continuidad a nivel de la pared medial del saco lagrimal izquierdo que comunica con las celdillas etmoidales y la cavidad nasal, formando una falsa vía. Se optó por manejo conservador y vigilancia, y se planea realizar una dacriocistorrinostomía bilateral al lograr un mayor crecimiento mediofacial a una edad mayor.
DiscusiónLos 3 criterios cardinales que caracterizan al síndrome EEC, se encuentran presentes en este paciente, presentando: a) ectrodactilia con malformaciones en manos y pies; b) displasia ectodérmica, caracterizada por el desarrollo anormal de piel, cabello y dientes, y c) labio y paladar hendido, con el antecedente de ser corregidos quirúrgicamente. Algunos autores agregan un cuarto criterio como cardinal8, d) las anormalidades de la vía lagrimal, motivo principal por el que se presentó a consulta. Otros criterios menores descritos, pero no presentes en el paciente son anormalidades renales, hipoacusia, atresia de coanas y retraso mental8.
La alteración en el desarrollo ectodérmico embrionario se ha implicado en este síndrome, que explica la constelación de síntomas presentes8. La afección corneal en el paciente puede ser secundaria a blefaroconjuntivitis crónica secundaria a la obstrucción nasolagrimal y a alteraciones de la película lagrimal secundaria a la hipoplasia de glándulas de Meibomio. Se ha descrito la deficiencia de células límbicas como factor que propicia cambios corneales en pacientes con este síndrome, que pueden ir desde queratitis punteada superficial o erosiones epiteliales hasta perforación corneal9.
La agenesia verdadera del punto lagrimal superior en este síndrome es un hallazgo pocas veces descrito, ya que se ha asociado mayormente la obstrucción membranosa del punto lagrimal, más que a una agenesia verdadera8.
La laceración de canalículos es una complicación frecuente de la dacriointubación cerrada, así como la creación de falsas vías, siendo muchas de las veces estas últimas, resolutivas en la obstrucción congénita de vías lagrimales10.
ConclusionesSe describe el caso de un paciente con síndrome de EEC, con obstrucción congénita de vías lagrimales, complicado, que presenta varias manifestaciones oculares y de anexos. Es de importancia el estudio de los pacientes con malformaciones de la vía lagrimal en asociación con otras malformaciones sistémicas, y de realizar un manejo interdisciplinario para llegar a un diagnóstico preciso, como lo fue en este caso, ya que el paciente acudió primero a nuestro servicio sin tener un diagnóstico sindromático o sistémico previo.
Responsabilidades éticasProtección de personas y animalesLos autores declaran que para esta investigación no se han realizado experimentos en seres humanos ni en animales.
Confidencialidad de los datosLos autores declaran que han seguido los protocolos de su centro de trabajo sobre la publicación de datos de pacientes.
Derecho a la privacidad y consentimiento informadoLos autores han obtenido el consentimiento informado de los pacientes y/o sujetos referidos en el artículo. Este documento obra en poder del autor de correspondencia.
FinanciamientoLos autores no recibieron patrocinio para llevar a cabo este artículo.
Conflicto de interesesLos autores declaran no tener ningún conflicto de intereses.








