El hamartoma de folículo piloso es una lesión rara, que se origina en el folículo piloso. Se presentan como lesiones adquiridas tanto en niños como en adultos, afectando cara y cuerpo, pero rara vez los párpados. Estas lesiones tienden a no diagnosticarse dada su rareza y dificultad de clasificación, por lo que el estudio histopatológico es esencial. Presentamos el caso de un hamartoma palpebral solitario de folículo piloso (tricoepitelioma).
Tricoepitheliomas are unusual, benign tumors of the hair-follicle origin. They may present in children and adults as acquired lesions on the body and face, but they rarely involve the eyelids. It is not usually recognized because of its rarity and controversial classification, so histopathological confirmation is essential. We report a case of solitary eyelid hair-follicle hamartoma (tricoepithelioma).
Introducción
El hamartoma de folículo piloso es una lesión benigna compuesta de tejidos normales mal estructurados. Su incidencia es rara, siendo más frecuente en cara y cuello.
En 1976, Headington propuso una clasificación histológica para las lesiones derivadas del folículo piloso, que todavía es empleada hoy en día1. En ella, diferencia entre hamartomas del folículo piloso y tumores, a los cuales clasifica según la porción del folículo que les da origen (Tabla 1).1
Según Mencía-Gutiérrez y colaboradores, el diagnóstico diferencial entre este tipo de lesiones y otras de naturaleza maligna, tales como el carcinoma basocelular, no siempre resulta fácil tanto clínica como histológicamente, por lo que recomiendan su extirpación con control intraoperatorio y márgenes de seguridad amplios, ante duda diagnóstica.2
Presentamos el caso de un tricoepitelioma solitario de larga evolución, con características clínicas que denotaban benignidad, lo cual nos inclinó a la realización de un tratamiento conservador.
Presentación del caso
Paciente masculino de 65 años de edad, quien ingresó en nuestro Servicio, por presentar una lesión en párpado superior del ojo izquierdo de unos 15 años de evolución, la cual no ha presentado crecimiento alguno en los últimos cinco años.
Entre los antecedentes personales de interés, presenta fractura orbitaria izquierda hace 23 años, reconstruida mediante implante de placa en piso orbitario.
A la exploración, se observó catarata grado 2 en ojo izquierdo (OI) con subluxación superonasal, así como atrofia coriorretiniana macular en ese mismo ojo con una mejor agudeza visual corregida de 20/25 en ojo derecho (OD) y de 20/400 en OI. En cuanto a la exploración de párpados y anexos, cabe resaltar la presencia de una ptosis aponeurótica en AO, con cierto componente mecánico en OI, a expensas de una lesión pediculada en el tercio medio de dicho párpado. Esta lesión presentaba una coloración blanco-rosácea con vasos y pelos en su superficie. Era de consistencia firme, con bordes bien definidos y limitada a la lamela anterior, provocando el desplazamiento de las pestañas adyacentes. La imagen clínica del paciente a su ingreso se presenta en la Figura 1.
Figura 1. Imagen clínica de la lesión al ingreso.
Dadas las características de benignidad que presentaba la lesión a estudio, se decide realizar una biopsia excisional mediante resección en bloque de la lamela anterior afectada, y reconstrucción del defecto mediante colgajos de avance.
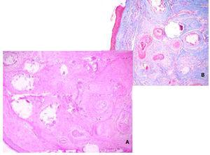
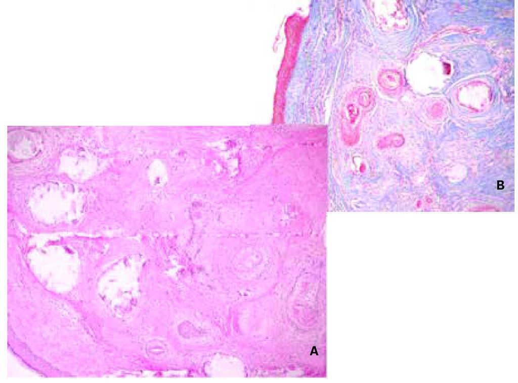
El estudio histopatológico fue reportado como proliferación celular que afectaba sólo a la dermis, constituida por múltiples folículos pilosos y cavidades quísticas junto con un abundante estroma fibroso y escasa reacción inflamatoria (Figura 2).
Figura 2. Corte histopatológico de la lesión. A) Tinción hematoxilina & eosina. B) Tricrómico de Masson.
El paciente presentó buena evolución posoperatoria (Figura 3).
Figura 3. Imagen clínica posoperatoria al mes.
Discusión
Los tricoepiteliomas son tumores cutáneos benignos, derivados de los folículos pilosos que se localizan habitualmente en la cara.3,4 Existen dos formas clínicas de presentación: una múltiple, hereditaria con patrón dominante ligado al sexo, en la que encontramos lesiones en cara, cuero cabelludo y tórax de adultos jóvenes; y otra solitaria no hereditaria, en la cual se puede afectar cualquier parte del cuerpo, principalmente la cara de adultos.1,5
Las lesiones solitarias consisten en pápulas o nódulos bien circunscritos, que pueden simular carcinomas basocelulares, nevos nevocelulares u otras lesiones benignas. Histológicamente, encontramos una proliferación celular intradérmica dentro de un estroma denso e importante con poca reacción inflamatoria acompañante, junto a la presencia de cuerpos córneos que pueden sufrir calcificación distrófica e islas de células basaloides,5 en ausencia de figuras mitóticas.
Conclusiones
A pesar de la rareza de este tipo de lesiones, debemos tenerlas en cuenta en el diagnóstico diferencial de las lesiones palpebrales, ya que su tratamiento puede ser conservador.
Conflicto de intereses
Los autores declaran no tener ningún conflicto de intereses.
Financiamiento
Los autores no recibieron patrocinio para llevar a cabo este artículo.
Correspondencia:
Dra. Itziar Coloma González.
Asociación para Evitar la Ceguera en México, IAP, Hospital Dr. Luis Sánchez Bulnes. Vicente García Torres Nº 46, Colonia San Lucas, Delegación Coyoacán, C.P. 04030, México D.F., México.
Teléfonos: 1084 1400.
Correo electrónico: icg_ct@yahoo.es






