¿ Introducción
El síndrome de Weill Marchesani es una enfermedad rara del tejido conectivo descrita por primera vez en 1932 por Weill y posteriormente en 1939 por Marchesani.1 Los pacientes con esta patología presentan alteraciones tanto a nivel sistémico como oftalmológico. La principal forma de herencia es autosómica recesiva, aunque también se han reportado casos con herencia autosómica dominante.2 Entre las principales alteraciones sistémicas están: talla baja, braquidactilia, rigidez articular y braquicefalia.2 También han sido señaladas anormalidades cardiacas como estenosis de la válvula pulmonar, aórtica o mitral, así como retraso mental.2,3
Las principales características oculares en pacientes con síndrome de Weill Marchesani son microesferofaquia, ectopia lentis, miopía alta y glaucoma crónico de ángulo cerrado (bloqueo pupilar).
¿ Presentación del caso clínico
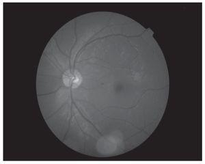
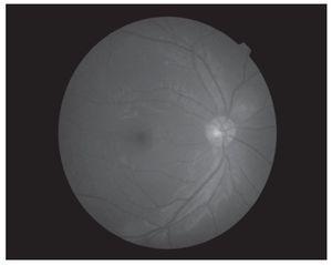
Hombre de 13 años de edad, sin antecedentes heredofamiliares ni personales patológicos de importancia. El motivo de consulta fue la disminución progresiva de la agudeza visual de meses de evolución, acompañado en ocasiones de dolor periocular intermitente. A la exploración física se encontró una talla de 1.52 m, la cual se encuentra dentro de la percentila 50 para la edad, así como una discreta braquidactilia en ambas manos. La exploración oftalmológica reveló: agudeza visual de 20/400 en ambos ojos y una agudeza visual mejor corregida de 20/30 y 20/40 respectivamente, con una refracción de -11.00 = -0.75X145° en OD y -11.00 = -2.50X5° en OI. La posición primaria de la mirada en ortoposición y los movimientos oculares fueron normales. La presión intraocular fue de 26 mmHg en OD y 21 mmHg en OI. El segmento anterior de ambos ojos bajo lámpara de hendidura, mostró una cámara anterior estrecha, tanto en la periferia como en el centro (Figuras 1a y 1b) con un ángulo iridocorneal en ambos ojos de 0 en los 360° (Figuras 2a y 2b). En segmento posterior de ambos ojos encontramos una excavación papilar de aproximadamente 6/10, con un defecto en la capa de fibras nerviosas evidenciada por las fotografías libres de rojo (Figuras 3a y 3b). El paciente fue tratado inicialmente mediante la realización de iridotomías con láser de YAG en ambos ojos y tratamiento tópico con una combinación brimonidina-timolol-dorzolamida, acudiendo nuevamente a consulta dos días posteriores al tratamiento encontrando una presión de 13 mmHg en ambos ojos con las iridotomías permeables (Figura 4).
¿ Figura 1a. OD. Cámara anterior estrecha.
¿ Figura 1b. OI. Cámara anterior estrecha.
¿ Figura 2a. OD. Ángulo iridocorneal grado 0.
¿ Figura 2b. OI. Ángulo iridocorneal grado 0.
¿ Figura 3a. OD. Polo posterior. Defecto en capa de fibras nerviosas.
¿ Figura 3b. OI. Polo posterior. Defecto en capa de fibras nerviosas.
¿ Figura 4. Fotografías clínicas antes y después de las iridotomías.
Se realizaron los siguientes estudios: ultra-biomicroscopía (UBM) antes y después de las iridotomías (Figuras 5a y 5b), en la que se observa cómo hubo un aumento en la amplitud de la cámara anterior en ambos ojos, así como la microesferofaquia (Diámetro ecuatorial OD 7.46 mm y OI 7.67 mm), campos visuales 24-2 (Figuras 6a y 6b), en los que se aprecia reducción generalizada de la sensibilidad, tomografía de coherencia óptica (OCT) de capa de fibras nerviosas (Figura 7), en donde observamos una pérdida de la relación ISNT inferior, superior, nasal y temporal); ecografía en la que se evidencia un eje antero-posterior de 22.45 mm en OD y 22.65 mm en OI. Además, se solicitó interconsulta con el servicio de genética. En la Tabla 1 se muestra la medición del ángulo irido-corneal antes y después de las iridotomías en los diferentes meridianos, así como de la cámara anterior.
¿ Figura 5a. OD. UBM. Antes y después de iridotomías.
¿ Figura 5b. OI. UBM. Antes y después de iridotomías.
¿ Figura 6a. OD. Reducción generalizada de la sensibilidad.
¿ Figura 6b. OI. Reducción generalizada de la sensibilidad.
¿ Figura 7. OCT CFN. Pérdida de relación ISNT.
Con base en los resultados de los estudios solicitados, se estableció el diagnóstico final de síndrome de Weill Marchesani y glaucoma secundario de ángulo cerrado (pre-perimétrico). El paciente ha continuado acudiendo a sus consultas de seguimiento, en las que la presión se ha mantenido estable ya sin tratamiento hipotensor tópico y con buena agudeza visual con el uso de su corrección refractiva.
¿ Discusión
El síndrome de Weill Marchesani es una entidad rara del tejido conectivo, caracterizado por las alteraciones sistémicas y oftalmológicas mencionadas con anterioridad.1 Una de las características de esta patología es la presencia de miopía alta debida a la combinación de una esferofaquia progresiva y a la subluxación anterior del cristalino. Otro factor que contribuye a la progresión de la miopía es el desplazamiento anterior del diafragma iridocristaliniano, lo cual ocurre generalmente en la segunda década de la vida.2
El mecanismo por el cual ocurre la ectopia lentis consiste en alteraciones a nivel de las fibras zonulares y las anormalidades en la estructura del cuerpo ciliar. En pacientes con síndrome de Weill Marchesani, las fibras zonulares son más débiles comparadas con pacientes sanos, pudiendo romperse dando lugar a la ectopia lentis. También ha sido reportada la hiperelasticidad del cuerpo ciliar en pacientes con esta patología.2
La presencia de glaucoma de ángulo cerrado es una complicación frecuente en pacientes con esta enfermedad; aproximadamente 80% de los pacientes desarrollaran glaucoma a lo largo de su vida.2
Éste se debe a la combinación de esferofaquia progresiva o subluxación anterior del cristalino con el consecuente estrechamiento periférico de la cámara anterior y bloqueo pupilar.1
El tratamiento médico de pacientes con este síndrome es difícil. Aunque los mióticos han sido utilizados satisfactoriamente en algunos casos, estos pueden provocar un desplazamiento anterior del diafragma iridocristaliniano, incrementando el bloqueo pupilar y precipitando un ataque agudo de glaucoma.1
El tratamiento de elección en casos tempranos de pacientes con síndrome de Weill Marchesani es la realización de iridotomías periféricas con láser YAG. Incluso después de la apertura angular posterior a la realización de las iridotomías, los pacientes con este síndrome requerirán tratamiento médico tópico para controlar la presión intraocular debido a las alteraciones presentes en el aparato de filtración.1
La lensectomía para la subluxación del cristalino usualmente tiene buenos resultados, y está indicada si el cristalino se encuentra opacificado o luxado en cámara anterior. Otras opciones de tratamiento para la extracción del cristalino cataratoso en pacientes con este síndrome son los anillos de tensión capsular suturados a la esclera con implante de lente intraocular (LIO) o la sutura del LIO a la esclera.1
¿ Conclusión
El síndrome de Weill Marchesani es una patología rara que presenta alteraciones sistémicas y oculares que deben ser reconocidas por el oftalmólogo general para ser atendidas a tiempo y así tratar de disminuir las posibles complicaciones y mejorar el pronóstico visual de pacientes con esta enfermedad.
Correspondencia: Dr. Víctor Alba Orozco.
Vicente García Torres N°46, Colonia San Lucas, Delegación Coyoacán, 04030.
Teléfono 1084-1400.
Correo electrónico: victoralba_o@yahoo.com.mx















