El carcinoma epidermoide de la conjuntiva es la neoplasia maligna más frecuente de la conjuntiva. En la mayoría de los casos constituye una enfermedad localizada, con bajo potencial de invasión local y metástasis.
Presentamos el caso de un paciente de 83 años de edad, que acude a nuestro Hospital por pérdida de visión progresiva de un año de evolución, asociada a dolor y lagrimeo. Tras la realización de pruebas complementarias se diagnosticó clínicamente, carcinoma epidermoide invasor de la conjuntiva vs cuerpo ciliar, por lo que se decide realizar una enucleación modificada con injerto dermograso para reconstruir la cavidad anoftálmica.
Squamous cell carcinoma is the most common malignant neoplasia of the conjunctiva. In most cases, it constitutes a confined pathology and local invasion and metastasis is rare.
We report the case of an 83-year-old male who presents to our hospital with progressive visual loss accompanied by pain and tearing of one year duration. After several diagnostic tests, we came to the suspicion of invasive squamous cell carcinoma of the conjunctiva or cilliary body, and decided modified enucleation with dermis-fat autologous implant to rehabilitate the anophthalmic cavity.
¿ Introducción
El carcinoma escamoso de la conjuntiva, a pesar de ser raro, es el tumor maligno más frecuente de la conjuntiva,1 ocupando el segundo lugar en frecuencia entre los tumores malignos oculares.2 Por lo general, permanece en una localización superficial y bien delimitada, resultando curativa la resección de la lesión con crioterapia o radioterapia adyuvante.3 Ésta es la forma conocida como "carcinoma escamoso intraepitelial", la cual respeta la membrana basal. El término de "carcinoma invasor de células escamosas" se reserva para aquellas lesiones que traspasan la membrana basal afectando la sustancia propia. Aunque en su evolución natural puede crecer en profundidad, invadiendo todo el espesor de la conjuntiva bulbar y extenderse hacia la órbita a través del septum orbitario o hacia la esclera penetrando al globo ocular,4 en la mayoría de los casos tiende a ser invasivo sólo superficialmente, con un curso relativamente benigno.
Clínicamente, ambas formas se presentan por lo general, en la conjuntiva interpalpebral perilímbica.1 Podemos observarlas como una lesión nodular, de consistencia gelatinosa, asociada o no a leucoplaquia superficial (62%) simulando otras lesiones degenerativas de la conjuntiva, tales como la pinguécula o el pterigión. Asimismo, podemos encontrar formas de afectación difusa o papilomatosas.
El tratamiento de este tipo de lesiones va a depender del estadio en el que se encuentren. Aquellas lesiones no invasivas responden bien a la excisión simple habitualmente junto a tratamiento adyuvante como crioterapia, radioterapia o quimioterapia tópica. En cuanto a las lesiones invasivas, suele ser necesaria la enucleación e incluso la exenteración.4
¿ Presentación del caso
Paciente de 83 años de edad, agricultor, que acude a nuestro Hospital por pérdida de visión progresiva del ojo derecho desde hace un año, asociada a dolor y lagrimeo. Asimismo, refiere la aparición de una lesión blanquecina en ese mismo ojo desde hace dos meses.
No refiere ningún antecedente personal ni familiar relevante para la historia clínica.
A la exploración oftalmológica presenta una agudeza visual mejor corregida de 20/200 en su ojo derecho, y de 20/25 en su ojo izquierdo. Presión intraocular de 11 mmHg en ambos ojos. Observándose en conjuntiva del ojo derecho hiperemia de predominio periquerático junto a unas lesiones blanquecinas perilímbicas entre las dos-tres horas y una lesión hiperpigmentada en hora uno. En la córnea de ese mismo ojo presentaba una opacidad vascularizada que abarcaba toda la hemicórnea nasal, así como precipitados retroqueráticos inferiores, celularidad 4+ en cámara anterior y sinequias posteriores iridocristalinianas (Figuras 1A y 1B). El polo posterior del ojo derecho no se pudo valorar por opacidad de medios y ausencia de respuesta a la midriasis farmacológica. La exploración del ojo izquierdo se encontraba dentro de la normalidad, tanto del polo anterior como del polo posterior.
En la exploración de párpados y anexos cabe resaltar la presencia de una ptosis palpebral moderada del ojo derecho (DMR1=1) y leve en el ojo izquierdo (DMR1= 3) (Figura 1C). No se observaron restricciones ni hiperfunciones en la motilidad extraocular con ortoposición en posición primaria de la mirada, y los valores de exoftalmometría se encontraban dentro de la normalidad (11 mm ojo derecho y 12 mm ojo izquierdo).
Figura 1. Fotos de biomicroscopia. A) Cámara anterior. B) Conjuntiva nasal. C) Foto clínica del paciente.
Se estableció como diagnóstico presuntivo carcinoma epidermoide invasor de la conjuntival, por lo que se solicitaron pruebas de ultrasonido y tomografía oculares. En la ecografía ocular se observó una lesión ocupativa nasal al cristalino, presentando en la ultrabiomicroscopia engrosamiento del iris en esa misma localización, membranas en cámara anterior y sinequias anteriores en el ángulo iridocorneal (Figura 2). En la tomografía presentaba captación de contraste en sector nasal del ángulo iridocorneal del ojo derecho sin afectación de párpados, órbita ni anexos oculares (Figura 3).
Figura 2. Ultrasonido Ocular. A) Ecografía Ocular modo. A y B) Ultrabiomicroscopia.
Figura 3. Tomografía contrastada, cortes axiales a nivel de la lesión.
Con estos resultados se propuso como tratamiento una enucleación modificada del ojo derecho. La técnica quirúrgica realizada consiste en una peritomía conjuntival 360º a nivel de la conjuntiva de los fondos de saco, mediante la cual evitamos tocar la conjuntiva afectada y dejamos un margen de seguridad de más de 5 mm. A continuación, se realiza la enucleación de dicho ojo según la técnica clásica: disección roma subtenoniana, liberación de los cuatro rectos previa referencia de los mismos con sutura reabsorbible 6-0, liberación de los oblicuos y corte del nervio óptico. Para la reconstrucción de la cavidad anoftálmica se optó por un injerto dermograso de forma oval, el cual se extrajo de la región glútea derecha cerrando el defecto residual por planos. El injerto obtenido se colocó dentro de la cavidad orbitaria suturando los cuatro músculos rectos a la dermis del injerto en posición lo más anatómica posible. Asimismo, se suturó la Tenon y la conjuntiva a la cara anterior del injerto (dermis) con sutura reabsorbible 6/0.
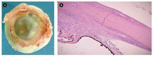
El estudio histológico de la pieza quirúrgica (Figura 4) fue informado de carcinoma escamoso invasor de la conjuntiva moderadamente diferenciado, afectando esclera, cuerpo ciliar e iris. Bordes quirúrgicos libres de lesión.
Figura 4. Estudio patológico. A) Fotos de pieza quirúrgica y, B) fotomicrografía a bajo aumento con tinción hematoxilina-eosina a nivel del ángulo iridocorneal.
Se remitió al paciente a Oncología para estudio sistémico, no encontrándose afectación sistémica y mostrando una buena evolución posquirúrgica (Figura 5).
Figura 5. Foto clínica posquirúrgica temprana de la cavidad anoftálmica.
¿ Discusión
La invasión intraocular del carcinoma escamoso de la conjuntiva es un hecho poco frecuente, cifrándose entre el 2% y el 8% de los casos.1,4 Algunos de los signos clínicos que pueden alertarnos de este hecho son la invasión estromal profunda de la córnea y la afectación de estructuras de la cámara anterior,4-7 así como la presencia de iridociclitis, iritis, glaucoma o desprendimiento de retina.7,8 La presencia de sinequias anteriores se considera un signo indicativo de invasión intraocular.
Por lo general, la invasión intraocular de estas neoplasias no es susceptible de resección local preservando el globo ocular, ya que el tumor suele ser demasiado difuso asociado a diseminación en el espacio supracoroideo y úvea.9 Además, a menudo el tumor es friable sembrando células en la cámara anterior, lo que puede simular un proceso inflamatorio tal como sucedía en el caso presentado.
En la mayoría de estos casos se precisa de enucleación modificada por la invasión difusa del segmento anterior. Sólo en los casos con componente intraocular localizado se puede optar por una resección local (iridociclectomía).10
Cuando necesitamos realizar una enucleación para control de la enfermedad, como fue en nuestro caso, es importante resecar toda la conjuntiva afecta con márgenes de seguridad amplios, guiándose por biopsia intraoperatoria en casos difíciles de determinar el margen de la lesión. Tras la enucleación, estos pacientes presentan un buen pronóstico, siendo raras las recurrencias y metástasis.11
La reconstrucción de estas cavidades anoftálmicas se puede realizar mediante implantes de diferente naturaleza, tales como el polipropilmetileno, poliuretano poroso, hidroxiapatita, silicona o cemento óseo, entre otros. Sin embargo, estos implantes no siempre son de fácil acceso para toda la población y requieren recubrirse con esclera de donante. Por ello, consideramos que el injerto dermograso puede ser una buena opción para pacientes de escasos recursos económicos, ya que permite obtener un buen resultado estético y funcional, evitándose el riesgo de rechazo y transmisión de infecciones entre donante y receptor. Otra ventaja de los injertos dermograsos frente a los implantes es que permiten reconstruir grandes defectos de la conjuntiva bulbar, ya que la dermis actúa como base para el crecimiento de la conjuntiva sobre su superficie. Por otro lado, es importante recordar que al tratarse de injertos precisan de un buen aporte vascular, por lo que se recomienda suturar los músculos a la cara dérmica del injerto dermograso. De esta manera, se consigue no sólo mejorar la movilidad del injerto sino también incrementar su aporte vascular.
¿ Conclusiones
La enucleación modificada es una alternativa eficaz en el manejo de carcinomas invasores de la conjuntiva, que presenten principalmente afectación intraocular y respeten la conjuntiva tarsal. Siendo los injertos dermograsos una alternativa segura y eficaz en la reconstrucción de este tipo cavidades.
¿ Conflicto de intereses
Los autores declaran no tener ningún conflicto de intereses.
¿ Financiamiento
Los autores no recibieron ningún patrocinio para llevar a cabo este artículo.
Correspondencia:
Itziar Coloma González. Asociación para Evitar la Ceguera en México IAP,
Hospital Dr. Luis Sánchez Bulnes, Vicente García Torres 46, Colonia San Lucas, Delegación Coyoacán, C.P. 04030, México D.F., México.
Teléfono: 1084 1400.
Correo electrónico: icg_ct@yahoo.es







