El trauma abdominal representa un gran desafío para el cirujano que trabaja en los Servicios de Urgencia. El objetivo de este artículo es discutir los mecanismos de producción, así como los diferentes métodos diagnósticos que nos ayuden a tomar la mejor decisión terapéutica. Didácticamente se separa el estudio según el mecanismo de producción del trauma, ya que su utilidad es variable. Posteriormente se esboza el tratamiento y se entrega un algoritmo para facilitar decisiones.
Abdominal trauma is a major challenge for surgeons working in emergency services. The aim of this paper is to discuss the mechanisms of production and the different diagnostic methods to help us make the best therapeutic decision. Therefore for better assessment, the study is divided according to the mechanism that produces the trauma, since its usefulness is variable. Later, the treatment is planned and an algorithm is given to facilitate the decisions.
En la actualidad los traumatismos son la principal causa de muerte en las primeras cuatro décadas de la vida. En Chile, al año 2000, de los más de 30000 fallecidos entre los 15 y 64 años, casi 8000 lo fueron por causa traumática. Los mecanismos más frecuentes a tener presentes son los accidentes del tránsito (alrededor de 50% de los casos), y en menor medida caídas de altura, heridas por arma de fuego, heridas por arma blanca y aplastamientos (1). La mortalidad por traumatismos es significativamente mayor en el sexo masculino. Esto se aprecia en todos los países de la Región de las Américas, con una razón de hombres/mujeres de 5.9 en Colombia, 5.0 en El Salvador, 4.2 en Chile, 2.9 en EE.UU. y Canadá y 2.4 en Cuba. Los accidentes de tránsito constituyen la causa más frecuente de violencia letal en Chile generándose más de 2.000 muertes anuales. La epidemiología ha identificado que los accidentes no son accidentales y que existen numerosas condiciones que elevan la probabilidad de sufrir un evento. Estos factores provienen de las personas, del ambiente físico y el sociocultural (2).
Reciente información epidemiológica procedente de Europa, Australia y Norte América, indica que los efectos combinados de control de velocidad, el uso obligatorio de cinturones de seguridad, bolsas de aire y tecnología avanzada en el frenado de vehículos, han contribuido a una redistribución del tipo de lesiones observadas en trauma abdominal; con menor incidencia de lesiones cerebrales severas, pero con un incremento de lesiones torácicas y abdominales (3). Pese a que en los Estados Unidos la incidencia de lesiones abdominales penetrantes ha disminuido, no ocurre así en Chile, ni el resto de Latinoamérica (3, 4). En Chile, los homicidios determinan un 11% de las muertes violentas, registrándose un claro incremento a partir de 1995. Nuestro país tiene una tasa de suicidios que supera el promedio latinoamericano, en el que predominan las lesiones autoinflingidas de los varones (2).
El trauma abdominal ocupa gran parte del quehacer quirúrgico en los servicios de urgencia. En nuestra institución, Hospital de Urgencia Asistencia Pública, ocupa el 10% de todos los ingresos por trauma, de los cuales el 77.9% corresponde a trauma penetrante, siendo el 88.3% por arma blanca y el 11.7% por arma de fuego (5).
Al hablar de trauma abdominal, se deben incluir las diferentes formas de presentación clínica y las complicaciones asociadas a ellas (3, 6). Incluidos los recursos de que se dispongan para hacer frente al diagnóstico de complicación.
Mecanismos de lesiónTrauma contuso o cerradoSe produce como consecuencia de una combinación de fuerzas de compresión, deformación, estiramiento y corte. La magnitud de estas fuerzas está en relación directa con la masa de los objetos involucrados, su aceleración y desaceleración y su dirección relativa durante el impacto (7). El daño ocurre cuando la suma de estas fuerzas excede las fuerzas cohesivas de los tejidos y órganos involucrados. Se produce entonces una constelación de contusiones, abrasiones, fracturas y rupturas de tejidos y órganos. El impacto directo y las fuerzas compresivas son probablemente las causas más comunes de trauma significativo. La severidad se puede estimar si uno conoce la fuerza y dirección del impacto, al igual que el tamaño del área de contacto en el paciente (7). Debemos tener en cuenta también el trauma causado por explosión. Aunque produce quemaduras térmicas y penetración por misiles secundarios, el principal efecto es la absorción de la onda explosiva a través del cuerpo, como una onda de percusión. Esto lleva a un alza máxima de presión y una onda de impulso que causa la mayoría del daño. Los órganos más vulnerables son aquellos que contienen gas, como los pulmones y el intestino (8). En el trauma contuso en general, los órganos más lesionados son hígado, bazo, mesenterio y riñón. Si el paciente queda atrapado en el vehículo y tiene “huella del cinturón de seguridad”, debe sospecharse lesión de víscera hueca (9, 10).
Trauma penetranteLas heridas por arma blanca y las por arma de fuego de baja velocidad causan daño al tejido por laceración o corte. Las heridas por proyectiles de alta velocidad transfieren mayor energía cinética a las vísceras abdominales, teniendo un efecto adicional de cavitación temporal, y además causan lesiones abdominales en su desviación y fragmentación (9). Como arma blanca nos estamos refiriendo a elementos cortopunzantes como cuchillos de diferentes tamaños, machetes, golletes de botella, picahielos o punzones.
En relación a los proyectiles disparados por un arma de fuego, el daño no solo depende de la energía cinética (masa x velocidad2), sino también depende de la estabilidad del proyectil (dada por las estrías del cañón) (4). Es importante diferenciar las heridas penetrantes producidas por arma de fuego, que tienen una trayectoria muchas veces impredecible, de aquellas producidas por objetos punzantes, ya que la trayectoria es más directa y la relación anatómica entre el área de penetración y las lesiones de órganos internos es más cercana (3). La posibilidad de requerir cirugía, de complicarse y morir, es mayor en las heridas por arma de fuego que por arma blanca, y mayor por heridas múltiples que únicas (4). Los órganos que tienen mayor posibilidad de lesionarse son intestino delgado, hígado, estómago, colon y estructuras vasculares (10).
Es útil el enfoque topográfico, propuesto por González y García (Cali, Colombia), los que dividen el abdomen en áreas anatómicas, con diferente probabilidad de lesión de estructuras específicas, manifestaciones clínicas, alcance de las pruebas diagnósticas empleadas y abordaje. La probabilidad de lesiones se detalla a continuación:
- •
Abdomen anterior: todas las vísceras intrabdominales: yeyuno, íleon, colon, hígado, bazo, mesenterio y estómago.
- •
Toracoabdominal: diafragma, órganos torácicos y abdominales.
- •
Lumbar o abdominal posterior: riñones, uréteres, páncreas, duodeno, grandes vasos abdominales, cara posterior de colon ascendente y descendente.
- •
Pélvica: recto, vejiga, uréteres distales, uretra, órganos genitales femeninos y masculinos, arterias y venas ilíacas y sus ramas (4).
La delimitación de estas regiones se aprecia en la Figura 1.
Evaluación inicialAntes de reconocer la existencia o no de lesión intrabdominal, el enfoque del paciente traumatizado, sea por trauma contuso o penetrante, debe ser detectar y tratar en forma rápida las situaciones que de inmediato ponen en peligro la vida (8-10). Para lo anterior se deben poner en práctica los principios de revisión primaria, resucitación y restauración de funciones vitales, revisión secundaria y tratamiento definitivo de las lesiones, tal como lo propone el ATLS. (Advanced Trauma Life Support) Colegio Americano de Cirujanos (9).
A continuación, en pacientes hipotensos, la meta es determinar rápidamente si existe lesión abdominal, y si ésta es o no la causa de hipotensión. En pacientes hemodinamicamente normales, sin signos de peritonitis, se puede realizar una evaluación más detallada con el fin de determinar si existe una lesión específica, o si se desarrollan signos de peritonitis o hemorragia durante el período de observación (9).
Examen físico: La historia y el examen físico pueden sugerir posibles lesiones intrabdominales. La información obtenida del personal prehospitalario involucrado en la escena del trauma es importante. El tipo de fuerza aplicada, la posible área de impacto, altura de una caída, deformidad del vehículo, uso de cinturón de seguridad u otro dispositivo de seguridad, pueden despertar sospechas sobre posibles lesiones intrabdominales (3, 9). Información sobre signos vitales, lesiones obvias y respuesta al tratamiento pre-hospitalario también puede ser obtenida del personal que dio el manejo pre-hospitalario (9). Por lo general no es confiable el examen físico del abdomen después que el paciente ha sufrido un trauma contuso, puesto que casi la mitad de los pacientes que no presentan signos en el examen físico, tienen laparotomías positivas. La alteración del nivel de conciencia, lesiones en la médula espinal u otras lesiones distractoras, además de los efectos de algunos medicamentos u otras sustancias como alcohol, pueden entorpecer aún más el examen clínico (6, 10). Incluso en muchos centros, el examen físico no es lo primero efectuado durante un abordaje multidisciplinario, sino lo es el Ultrasonido (6). Al examen: el paciente debe estar completamente desnudo y la inspección debe incluir todo el torso posterior, las axilas y el periné. No se debe olvidar registrar los pulsos periféricos, el tacto rectal y el examen genital (8, 9). Visualizar todas la “huellas” sugerentes de lesión, equimosis en el abdomen o periné, que puedan sugerir fractura pélvica. Distensión abdominal y signos de irritación peritoneal. En las heridas penetrantes pueden encontrarse evidencias de evisceración de intestino o epiplón. Investigar el estado de gravidez. No olvidar colocar sonda gástrica y urinaria, que nos pueden entregar información relevante. La sonda gástrica evita la distención gástrica y disminuye el riesgo de bronco aspiración. La sonda urinaria ayuda en la reanimación, pero la colocación transuretral está contraindicada en quienes se sospecha lesión uretral. Estos son pacientes con fractura de pelvis, que tienen sangre en el meato urinario, equimosis perineal, sangre en el escroto o próstata elevada o no palpable en el tacto rectal (9).
Estudio y manejo: De una manera didáctica, es más adecuado hablar en forma independiente del estudio de cada uno de estos mecanismos, ya que si bien los métodos diagnósticos son los mismos, tienen diferente utilidad.
Trauma cerradoLo primero es identificar a aquellos pacientes que tienen indicación de laparotomía inmediata.
Pacientes inestables hemodinamicamente, a pesar de resucitación inicial adecuada, con ultrasonido (+) o Lavado peritoneal diagnóstico (+) (LPD) (3, 6, 9, 10).
Para el resto de los pacientes es válido efectuar exámenes diagnósticos, para decidir la necesidad de laparotomía (3, 6, 8-10).
El examen físico en estos pacientes, si bien puede aportar mucho, posee una sensibilidad de aproximadamente 65% en detectar lesiones intrabdominales. Este valor aumenta con el examen físico repetido. (3) Diferentes autores concuerdan con lo poco confiable del examen físico inicial (3, 6, 10, 11). Los exámenes de laboratorio son de poco valor. Un hematocrito bajo asociado a inestabilidad hemodinámica sugiere la presencia de sangrado, sin especificar la ubicación; y un valor dentro de rangos normales, no excluye lesión. Así mismo los niveles de amilasa o lipasa poseen poca sensibilidad y especificidad. Pueden estar normales o alteradas, sin significar o excluir daño pancreático (3, 10). Los gases arteriales y déficit de base pueden sugerir acidosis producto del shock, e indican necesidad de resucitación (3, 10). La alcoholemia debe tomarse del punto de vista médico-legal.
Los exámenes diagnósticos se realizan según el mecanismo de la lesión, las lesiones relacionadas y la estabilidad hemodinámica (10).
Estudios radiológicos simples: son parte del protocolo de manejo y puedan dar información directa como ruptura de un hemidiafragma o neumoperitoneo, o indirecta como fracturas de columna lumbar o de las costillas inferiores, que nos orientan hacia algunas lesiones (3, 8-11).
Ultrasonido: FAST: focused abdominal sonogram for trauma. Es un procedimiento rápido y no invasivo, de fácil realización e interpretación por el cirujano entrenado, en el área de emergencias. Su objetivo es determinar la presencia de hemoperitoneo y debido a esto ha reemplazado al LPD en muchos centros de atención (3, 6, 8-12). Su sensibilidad y especificidad varía en los diferentes centros, siendo siempre cercana al 95%, llegando incluso a 100% en publicaciones nacionales (12). Su utilidad se ve comprometida en pacientes obesos, con enfisema subcutáneo y operaciones previas (9, 10) y no es confiable en perforaciones intestinales (6, 12). Se considera contraindicación para este método la necesidad evidente de realizar una laparotomía o que no se encuentre disponible el personal adecuado para efectuarla (10). Su principio se basa en la detección de líquido en cuatro áreas específicas del abdomen: perihepática, pericárdica, periesplénica y pélvica (3, 8-10).
Lavado peritoneal diagnóstico: Descrito en 1965, por Root et al. vino a reemplazar la punción abdominal, que tenía muchos falso negativos y positivos (11). Es un procedimiento rápido y preciso para diagnosticar lesiones intrabdominales en pacientes con trauma contuso (10), sin embargo con el advenimiento del ultrasonido se realiza cada vez con menos frecuencia (3). Su uso precoz ayuda a realizar la laparotomía más pronto, más expedita, con menos pérdida de sangre, evitando las transfusiones (11). Tiene como desventaja ser un método invasivo, con una baja especificidad (9). En nuestro centro, nunca ganó adeptos. Sigue siendo útil cuando el paciente no responde adecuadamente a la resucitación y el ultrasonido es negativo (3). No detecta lesiones de diafragma y retroperitoneales (9, 10).
Técnica: se introduce un catéter en la cavidad peritoneal para aspirar sangre o líquidos. Este se puede realizar con técnica abierta, semiabierta o cerrada. Si no se extrae nada, se infunde un litro de solución salina normal tibia (o 10 ml/Kg en los niños). Después de asegurar que los líquidos fueron mezclados, comprimiendo el abdomen y rotando al paciente, se deja que escurra por gravedad y se envía una muestra al laboratorio, para ser analizado. Se considera positivo:
- •
Extracción de 10 ml de sangre roja al aspirar
- •
>100.000 glóbulos rojos /cc
- •
>500 glóbulos blancos /cc
- •
Presencia de bacterias
- •
Presencia de bilis
- •
Es una herramienta importante en el manejo del trauma abdominal y abdominopélvico cerrado. Se encuentra reservada para los pacientes hemodinamicamente estables y que puedan ser trasladados al tomógrafo, y tolerar el estudio (3, 9, 10). Se debe utilizar medio de contraste oral e IV (3, 9, 10). La TAC puede determinar la presencia de lesiones en órganos sólidos, líquido intrabdominal, sangre, aire y lesiones en los órganos retroperitoneales, los cuales pueden haber sufrido con el trauma y no provocan hemoperitoneo, por lo que no son detectados con el ultrasonido (3, 10), como también mostrar la extensión de la lesión en estructuras como el bazo e hígado, así como determinar la extravasación de contraste, que implica sangrado activo (3, 9). Debido a estas características, la TC es muy útil para decidir el manejo terapéutico de la lesión (3, 8). De todas maneras el valor de la administración de contraste oral para el diagnóstico de perforación de víscera hueca es dudoso, y se encuentra asociado al riesgo de broncoaspiración, por lo que no debe realizarse de rutina (3). La TC tiene una sensibilidad de 92 a 98% y una especificidad de casi 99% en la detección de lesiones de órganos sólidos (3). No detecta lesiones de diafragma, intestino y algunas de páncreas (3, 9). Debe tomarse en cuenta la experiencia del radiólogo que interpreta el examen (8).
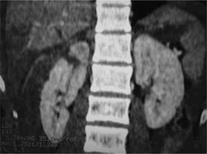
Figura 4 Trauma hepático. Figura 5 Trauma renal. Figura 6 Lesión del sistema colector con urinoma de la pared.
Laparoscopia diagnóstica: Su aplicación en el trauma abdominal cerrado es limitada, debido al alto costo (3, 9). Sin embargo revela utilidad en disminuir el número de laparotomías no terapéuticas y evitar las laparotomías tardías (13, 14). Es útil cuando el estudio inicial del paciente revela lesiones, pero no tan severas como para justificar laparotomía rutinaria (15). En nuestra experiencia además tiene utilidad cuando el paciente está en pabellón por otra causa derivada del traumatismo, por ejemplo fracturas expuestas, hematoma extradural, etc., y presenta hipotensión de origen no conocido. Las otras aplicaciones son terapéuticas.
Estudios radiológicos especiales: una pielografía I.V. es de utilidad cuando el paciente tiene hematuria. (9) También puede usarse en pabellón, cuando nos vemos enfrentados a la necesidad de extirpar un riñón y queremos saber la funcionalidad del contralateral. Una uretrocistografía debe realizarse en sospecha de fractura de uretra, frente a un trauma abdominopélvico (9).
Trauma penetranteDespués de excluir a los pacientes con clara indicación quirúrgica, como son: Pacientes en shock, eviscerados, con signos de peritonitis, o con sangre en estómago (detectada al colocar la sonda gástrica), recto, (detectado por tacto rectal) o en vejiga, (detectado por sonda urinaria), es aceptable efectuar estudios posteriores (5). Podría incluirse, como otra indicación, a los pacientes con heridas por bala, tal como está propuesto por múltiples autores, incluso en la guías Auge. Las razones citadas son: una incidencia de más de 90% de lesiones significativas, que una laparotomía innecesaria es un procedimiento inofensivo y que el examen físico es poco fiable. (16) Sin embargo existen algunas excepciones, como son heridas por proyectiles de baja velocidad, heridas tangenciales o de los flancos, en pacientes hemodinámicamente estables, en que estaría permitido, según diferentes autores, el uso de otros métodos diagnósticos (5, 15-17). La evisceración del omento no es una clara indicación de laparotomía, según Demetriades et al., criterio que compartimos, pero que debe ponernos en alerta, ya que se asocia a lesión del intestino subyacente. En dicha serie, de los 24 pacientes con evisceración de epiplón, (el cuál fue aseado, ligado y retornado a la cavidad), todos los cuales fueron hospitalizados, solo 1 requirió laparotomía (18). Consideración especial requieren los pacientes con arma “in situ”, la cuál debe ser extraída en pabellón, con el abdomen abierto y con visualización directa (10).
Examen físico: Se debe examinar cuidadosamente al paciente para no pasar por alto ninguna herida. Las balas que no atraviesan huesos u otros objetos sólidos, generalmente se desplazan en línea recta, sin embargo debemos recordar que el trayecto es impredecible (3). Poner atención a irregularidades en el cuerpo, periné y recto. Las heridas a bala deben contarse y evaluarse. Un número impar significa que hay una bala alojada dentro del cuerpo del paciente.
Se debe palpar el abdomen en búsqueda de sensibilidad y realizar un examen neurológico para descartar que la médula espinal se haya dañado (10).
En las heridas penetrantes por arma blanca u otro objeto cortopunzante, se puede explorar la herida, cuando existe duda de penetración, siempre y cuando esté localizada bajo el reborde costal y anteriores a la línea axilar anterior (8-10). No se deben explorar las heridas en los pacientes con inminencia de muerte, heridas técnicamente imposibles de explorar (ej: heridas por arma de fuego de carga múltiple), heridas con penetración obvia (ej: evisceración), y heridas “soplantes” (4). No tiene valor en las heridas abdominales posteriores, debido al grosor muscular en dicha zona. Esta exploración se realiza con anestesia local, introduciendo el dedo enguantado. Si se confirma penetración de la fascia posterior de los rectos abdominales, el paciente debe quedar hospitalizado, para continuar su estudio, ya sea con examen físico seriado, (cuyo valor es variable (3, 5, 8), pero que sigue siendo muy útil si no se dispone de otros métodos diagnósticos), o con los métodos que se describen a continuación.
Radiología simpleAyuda a determinar la trayectoria de las balas, lo que se facilita marcando los orificios en la piel con marcadores radiopacos (10). También ayuda a ubicar el proyectil si no hay salida, lo que hace sospechar las lesiones causadas. Debemos recordar que el proyectil puede ingresar al cuerpo por un área distinta al abdomen y sin embargo lesionarlo. Se debe sospechar de los proyectiles que ingresan en cualquier área desde el cuello hasta la porción media de los muslos (3). Ayuda a detectar neumoperitoneo, fracturas de columna, neumo o hemotórax (9, 10).
Lavado peritoneal diagnóstico (LPD)Este examen en trauma penetrante abdominal ha demostrado tener una sensibilidad, especificidad y certeza de 95,9% y 98% respectivamente (3). Sin embargo, muchos autores consideran que la “sobresensibilidad” es el problema, ya que induce a laparotomías innecesarias (5, 15). Más aún, Lee et al consideran que es un procedimiento consumidor de tiempo, costoso e innecesario y que además puede provocar iatrogenias, ya que una pequeña cantidad de sangre en la cavidad abdominal, en un paciente estable, no es necesariamente una indicación quirúrgica (19). Por otro lado, Scott et al concluyen que en los pacientes con heridas causadas por escopeta, sin indicación inmediata de laparotomía, el LPD es un indicador fiable de lesión intrabdominal y de la necesidad de laparotomía. (20).
Ultrasonido: Su uso como método diagnóstico en el trauma abdominal penetrante es motivo de controversia. Si bien muchos consideran que su utilidad para examinar pacientes estables es mínima, si su resultado es positivo, se puede inferir que hay daño en las vísceras (3,10). También se considera de ayuda en los pacientes en estado de ebriedad, con examen físico no confiable (12). Su uso es imprescindible en las heridas cercanas al corazón o toraco-abdominales, para el diagnóstico inmediato de un posible hemopericardio o taponamiento cardíaco (3).
TCEl uso de esta modalidad diagnóstica es más común en la actualidad, debido a la mejor definición de imágenes y rapidez del estudio. Este estudio requiere la estabilidad hemodinámica del paciente (3). Existen publicaciones que revelan la utilidad en heridas de los flancos y posteriores, excluyendo la violación peritoneal y la injuria visceral, realizando este examen con triple contraste, oral, i.v. y rectal (10, 21), como también en heridas por arma de fuego, en que entrega valiosa información para ayudar al cirujano experimentado en el tratamiento selectivo de estos pacientes (17). Se siguen considerando como reportes anecdóticos, pero que deben tenerse en consideración (3).
Laparoscopia diagnósticaExiste suficiente evidencia científica que respalda su uso. Tiene varias ventajas: Visualización directa del órgano lesionado y la factibilidad de realizar acciones terapéuticas, como también la sospecha indirecta de otra complicación. Disminuir la estadía hospitalaria, comparado con los pacientes que requieren laparotomía. La mayor ventaja es disminuir las laparotomías no terapéutica, que en trauma tienen una alta morbilidad e incluso mortalidad. Detecta claramente la penetración peritoneal en casos de heridas por arma de fuego tangenciales o heridas en los flancos (3, 5, 13-15, 22, 23). Es el método de elección para detectar lesiones ocultas del diafragma, en las heridas toracoabdominales. (5, 15, 22, 24, 25). Desventajas: uso de anestesia general, mayor costo económico, necesidad de equipo quirúrgico adiestrado en la técnica y en trauma. Disponibilidad de instrumental, riesgo de neumotórax a tensión, lesiones inadvertidas o provocadas durante el procedimiento. Todas estas desventajas son discutibles y no todos los autores concuerdan con ellas (5) Figura 7 y 8.
Durante años los detractores de la laparoscopia diagnóstica en trauma hablaron del peligro de las lesiones inadvertidas, sobretodo de intestino delgado. Un estudio reciente muestra que realizando una revisión sistemática, siguiendo todos los principios de una laparotomía en trauma, puede ser 100% efectiva en demostrar estas lesiones (26).
TratamientoComo ya se ha esbozado previamente, el paciente víctima de trauma abdominal, que se encuentra inestable hemodinamicamente o con claros signos de peritonitis debe ser resucitado rápidamente en la sala de emergencias y llevado de inmediato a cirugía. Dependiendo de la magnitud y gravedad de las lesiones encontradas, puede realizarse una cirugía convencional, es decir, identificar y tratar en forma primaria cada una de las lesiones, o bien, ser sometido a una cirugía de control de daños. Esta última consiste en controlar la hemorragia y la contaminación, con un cierre temporal del abdomen, para luego ser reanimado en Unidad de Cuidados Intensivos, reparando las lesiones en forma secundaria.
Según norma Ministerial de Chile, los pacientes deben recibir profilaxis antitetánica y profilaxis antibiótica, con esquemas adecuados al tipo de lesión. Está indicada en trauma abdominal penetrante y cirugía abdominal en general (1).
Los pacientes estables hemodinámicamente deben ser evaluados y sometidos a los métodos de diagnóstico ya delineados, y de acuerdo a los resultados encontrados, ser sometidos a manejo conservador, o bien ser sometidos a cirugía para reparar órganos específicos.
En relación al manejo conservador, propuesto para vísceras sólidas, deben cumplirse algunos requisitos básicos: estabilidad hemodinámica, ausencia de signos peritoneales, no requerir transfusiones continuas. El éxito depende del órgano lesionado, y varía entre 50-80% para el hígado, 65% para el bazo. El riñón en solo el 10% requiere reparación quirúrgica.
Existen múltiples algoritmos para tomar decisiones en el manejo de estos pacientes, los cuales se adecúan a las realidades de cada centro. En nuestro Hospital usamos el algoritmo delineado en la figura 9. Además tenemos un protocolo, en el cuál todos los pacientes víctimas de una herida en el área toracoabdominal izquierda, son sometidos a exploración laparoscópica. Cabe destacar que en muchos centros aún se continúa realizando laparotomía de rutina a todos los pacientes víctimas de trauma abdominal, sobretodo en heridas lumbares, en que existe el riesgo de heridas colónicas inadvertidas (Figura 10).
ConclusiónEl manejo del trauma abdominal continúa generando interés y controversia. Existen numerosos métodos de ayuda diagnóstica y múltiples algoritmos de manejo para evitar las laparotomías innecesarias o tardías. Cada centro los va adoptando de acuerdo a sus recursos y experiencia, estando siempre en continua revisión, para lograr los mejores resultados en sus pacientes, con un alto nivel de calidad.
La autora declara no tener conflictos de interés, en relación a este artículo.











