El dolor es una experiencia cognitiva como resultado de la activación de nociceptores o descritas en esos términos. El estímulo nociceptivo desencadena la activación de redes neuronales que procesan la información en forma paralela y distribuida, con un componente discriminativo en el tálamo y corteza primaria contra lateral y otro afectivo en la corteza del cíngulo anterior y prefrontal dorsolateral. El dolor como experiencia psíquica solo puede ser objetivado en sus aspectos de activación de las áreas de la así llamada matriz de dolor, mediante la técnica de resonancia magnética funcional. Con el registro de la actividad de nociceptores en sujetos despiertos y en pacientes con dolor neuropático mediante microneurografía se puede relacionar la actividad anormal en estos receptores con la sensación evocada.
Pain is a cognitive experience as the consequence of activation of nociceptors, or described in such terms. A nociceptive stimulus triggers the activation of a network of parallel and distributed neural systems with a discriminative component in the thalamus and primary somatosensory cortex, and an affective component in the anterior cingulate and dorsolateral prefrontal cortex. This activity in the ‘pain matrix’ is quantitatively measured through functional MRI. Abnormal activity in primary nociceptors in awake subjects and patients with neuropathic pain is objectively related to spontaneous and evoked pain.
El dolor es una experiencia cognitiva y como toda sensación cutánea o visceral, es susceptible de ser modulada por un sinnúmero de procesos afectivos que ocurren en forma paralela. Así, el dolor -como la sensibilidad en general- es siempre un proceso que no se puede objetivar, como lo es la fuerza, el movimiento o la secreción hormonal.
DefinicionesLa Asociación Internacional para el Estudio del Dolor (en inglés International Association for the Study of Pain, IASP) define el dolor como “una experiencia sensorial y emocional displacentera, asociada con un daño físico real o potencial o descrito en esos términos” (1). Las experiencias que se asemejan al dolor, pero que no son displacenteras, no debieran ser consideradas como dolor. Por ejemplo, el roce suave con la punta de un clip metálico sobre la piel activa un gran número de receptores de dolor sin embargo, la mayoría de las personas no lo considera doloroso. Por el contrario, sensaciones displacenteras como las disestesias (v.g. el incremento del hormigueo cuando una pierna está dormida) debieran ser consideradas como dolor, pues subjetivamente tienen el contenido afectivo negativo del dolor. Hay sujetos que reportan dolor en ausencia de daño o de algún mecanismo subyacente, lo que muchas veces ocurre por razones psicológicas. Muchas veces no hay forma de diferenciar esta experiencia de la causada por una lesión. Si los pacientes refieren su experiencia sensitiva como dolor, ésta debe considerarse como tal, evitando asociar el dolor a un estímulo. Finalmente, la actividad eléctrica originada en un receptor de dolor, o en la vía algésica, no debe considerarse como dolor sino como nocicepción, es decir, el proceso generado por un estímulo nociceptivo.
Para abordar el tema de si “es posible objetivar el dolor” primero es necesario repasar algunos de los mecanismos básicos de la nocicepción y los tipos de dolor.
Mecanismos básicos de nocicepciónEl sistema nociceptivo está adaptado para activarse con señales que son capaces de generar injuria tisular, pero más importante, con energías con potencialidad de dañar los tejidos (2,3). Por este motivo los umbrales de activación de la vía nociceptiva son sorprendentemente bajos. En el aspecto mecánico, el roce con la tapa de un lápiz Bic 7.5 bars, temperaturas de 39°C o más o temperaturas de 20°C o menos, son capaces de generar potenciales de acción en aferentes nocicep-tivos (4, 5). En personas con experiencia en pruebas psicofísicas los umbrales de dolor y de nocicepción son similares; en la población general, el dolor se confunde con el umbral de “tolerancia” al dolor (6, 7). El umbral nociceptivo es aquel en que un 50% de los estímulos son considerados como nociceptivos, con un carácter diferente al tacto, especialmente en la duración de la sensación que sobrepasa por mucho la del estímulo que la evoca. El umbral de tolerancia al dolor se refiere al estímulo capaz de evocar una sensación de dolor que está en el límite de lo tolerable. Típicamente, una sensación caliente es nociceptiva entre los 38 y 40° C, mientras que a los 47° C el 100% de los individuos reportará esta sensación como dolor. El no reconocer esta diferencia es la que genera una serie de dificultades en el diagnóstico de síndromes dolorosos en pacientes. Los receptores de dolor (nociceptores) son terminaciones nerviosas libres, no encapsuladas, que se arborizan en la epidermis y en las estructuras sensibles profundas. Existen en la piel nociceptores polimodales (responden a estímulos mecánicos, térmicos y químicos) y nociceptores silentes (aquéllos que se activan sólo cuando hay un proceso inflamatorio) (8). En los tejidos profundos hay sólo nociceptores silentes. Los nociceptores están asociados con axones mielínicos delgados Aδ (~4μ de diámetro, de conducción ~15m/s) y fundamentalmente con axones amielínicos (< 2m/s de conducción mucho más lenta) que transmiten la señal nociceptiva hacia el sistema nervioso central.
A la entrada en el asta posterior de la médula, las aferencias nocicep-tivas sinaptan con neuronas nociceptivas específicas que proyectan sus axones por la vía espinotalámica contralateral hacia el cerebro. Existen también en el asta posterior (láminas II y V de Rexed) neuronas de proyección de la vía espinotalámica en las que convergen aferencias nociceptivas así como de sensaciones táctiles y térmicas inocuas. Estas neuronas han sido denominadas WDR (Wide Dynamic Range o de Rango Dinámico Amplio) y serían las responsables de síntomas como el dolor evocado por un estímulo normalmente no doloroso, también conocido como alodinia (9). La vía del dolor se ilustra en la figura 1. Las proyecciones desde la vía espinotalámica hacen una sinapsis en núcleos talámicos desde donde proyectan sus eferencias hacia la corteza, que procesaría el dolor vía área sensitiva secundaria en la porción posterior de la ínsula. Paralelamente la aferencia nociceptiva se proyecta a la corteza del cíngulo anterior y corteza prefrontal (10). Esta división de un circuito paralelo se relaciona con el procesamiento del componente nociceptivo del dolor (i.e. magnitud, localización, carácter) en la corteza insular, mientras que la connotación afectiva (“el dolor más terrible”), pareciera estar asociada con el procesamiento en la corteza anterior del cíngulo y la corteza prefrontal dorsolateral.
La ilustración muestra la vía nociceptiva que se inicia en un nociceptor cutáneo con su cuerpo en el ganglio de la raíz dorsal, sinaptando una neurona de segundo orden en el asta posterior de la médula espinal que se proyecta contralateralmente a través de la comisura blanca anterior al cordón lateral, constituyendo la vía espinotalámica. Ésta se proyecta hasta el tálamo donde hace una sinápsis con neuronas de tercer orden que proyectan a la corteza sensitiva primaria, a la corteza del cíngulo anterior (ACC) y a la ínsula.
Existen cuatro tipos de dolor, de acuerdo al mecanismo que lo genera: El primero es un dolor fisiológico, o nociceptivo, aquel que cumple la función para lo que la vía fue evolucionando: señalar una injuria o un estímulo que se acerque a la injuria. Ejemplos de este tipo de dolor son múltiples: picadura de insecto, lesión de la piel, artrosis, entre otros. Este dolor es relativamente sencillo de comprender pues hay un estímulo que en forma evidente está activando la vía nociceptiva. Sólo cuando la magnitud del dolor sobrepasa por mucho la intensidad del estímulo, o cuando el dolor se prolonga mucho más allá de lo usual para el estímulo, se plantean dudas respecto del origen o mecanismo del dolor. Este dolor nociceptivo a menudo se acompaña de una función inflamatoria, mediada por el mismo grupo de axones encargados de señalar el dolor, mediada por sustancia P, bradicinina y otros neuropéptidos (11).
Un segundo dolor neuropático, se desencadena por la generación anormal de impulsos nerviosos en la vía nociceptiva periférica o central, como consecuencia de una lesión o enfermedad en este sistema. Este dolor es reconocible porque el paciente, además del dolor, tiene un área de adormecimiento, debilidad, o pérdida de la función de los nervios autonómicos, en un territorio reconocible. El concepto de umbral nociceptivo y de tolerancia al dolor adquiere en este caso relevancia: si una lesión de la vía nociceptiva determina que la llegada de un potencial de acción al sitio de lesión genere una multiplicación de estos impulsos entonces, un estímulo nociceptivo será percibido en forma mucho más intensa y no como un estímulo “inocuo”, lejos del umbral de tolerancia al dolor. Este mecanismo es de gran relevancia para diferenciar dolores de otras características.
El tercer tipo de dolor, es aquel que se asocia con la descripción parecida al dolor neuropático (dolor espontáneo y evocado, hipoestesia, paresia, cambios tróficos), pero que no se asocia a una lesión o enfermedad documentable de la vía nociceptiva y que en un examen cuidadoso, no sigue los límites anatómicos de un nervio o vía nerviosa. Este dolor es descrito como un dolor centralizado, también conocido como CRPS-I(Chronic Regional Pain Syndrome tipo I), antiguamente conocido como causalgia menor, Síndrome de Sudeck, o distrofia refleja simpática (12). Este dolor se desencadena típicamente luego de alguna lesión menor y se plantea que en personas con una predisposición genética o con alguna característica psicológica particular, aferencias nociceptivas masivas al asta posterior de la médula espinal provocan cambios plásticos en neuronas de segundo orden, las que comienzan a disparar impulsos en forma espontánea y mantienen su hipersensibilidad por aferencias normalmente no dolorosas que convergen en las neuronas de relevo espinal. Este dolor es posiblemente el que tiene una prevalencia más alta en el grupo de pacientes con dolor crónico no maligno.
Finalmente, un cuarto tipo de dolor corresponde a aquel dolor con características somatomorfas, en donde se plantea que un mecanismo psicológico determina que se proyecte en alguna parte de la representación nociceptiva cortical una sensación de dolor sin estímulo nociceptivo, ni lesión o enfermedad de la vía nociceptiva. Este tipo de paciente corresponde, por ejemplo, a un individuo que mediante un mecanismo de ganancia manifiesta un dolor en alguna región de su cuerpo con el fin, habitual-mente inconsciente, de obtener una recompensa psicológica. Este tipo de dolor es muy difícil de distinguir del dolor centralizado, pues en ninguno de los dos casos existe un marcador biológico que permita diferenciarlos. Sólo en el dolor con características somatomorfas se reconoce además un componente psicológico que hace sospechar este origen.
Cómo objetivar el dolorEl dolor expresado por un sujeto está teñido por un número de otras experiencias. Así, la sensación de dolor puede adquirir características muy diferentes de acuerdo a las circunstancias en las que este ocurre. Existen dos métodos a través de los cuales se puede objetivar el dolor como sensación. Por un lado, es posible evidenciar la activación de la corteza cerebral en relación con un estímulo nociceptivo. Por otro lado, es posible medir la activación de la neurona sensitiva de primer orden correlacionándola con la sensación evocada.
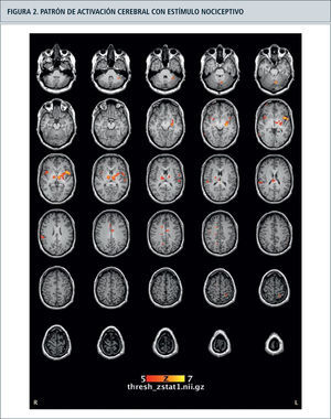
Bold-fMRICon la técnica de la resonancia magnética funcional dependiente del nivel de oxígeno sanguíneo (BOLD-fMRI) se detectan cambios de perfusión en zonas del cerebro entre 6–9 segundos después del inicio de la actividad neural. Así, esta técnica tiene una excelente resolución espacial, mas no temporal. Las aferencias nociceptivas se procesan en forma paralela en el cerebro a través de circuitos distribuidos, en lo que se ha conocido como la “matriz de dolor” (13). Esta matriz, en forma simple tiene un aspecto lateral discriminativo en la corteza sensorial primaria (S1) y secundaria (S2), tálamo y parte posterior de la ínsula y un aspecto medial afectivo-cognitivo, con la ínsula anterior, la corteza del cíngulo anterior y la corteza prefrontal (figura 2).
Resonancia magnética funcional con el registro de blood oxygen level-dependence (BOLD) en bloques de activación con estímulo de térmico de 50oC en el antebrazo derecho, con activación de la corteza somatosensitiva e insular contralateral. Asimismo se evidencia una activación del tálamo ipsi y contralateral. Estudio realizado en resonador GE 3 Teslas, Clínica Alemana en colaboración con el Sr. Francisco Zamorano (Centro de Investigación en Complejidad Social, UDD).
Individuos sanos que perciben un estímulo nociceptivo más intenso que otros (los más sensibles al dolor), o los que toleran menos los estímulos nociceptivos, tienen una activación más intensa de la corteza sensorial primaria, el cíngulo anterior y la corteza prefrontal. Si esto es el resultado de una facilitación en las entradas nociceptivas, estará por verse.
El efecto de la atención selectiva así como la distracción, son capaces de modular profundamente la experiencia nociceptiva. Esta modulación se supone se hace vía activación o inhibición de vías descendentes que parten de la sustancia gris periacueductal. Aquellos sujetos que están distraídos tienen una menor percepción del dolor, lo que se asocia con una mayor activación de la sustancia gris periacueductal (SGPA). Valet y colaboradores (14) mostraron que la corteza cíngulo-prefrontal ejerce una influencia sobre la SGPA y el tálamo posterior durante la distracción. Este mismo mecanismo se supone subyace el efecto placebo analgésico. Petrovic y colaboradores (15) usando PET (con deoxiglucosa) mostraron que el placebo y la analgesia placebo se asocian con un aumento de la actividad en la corteza del cíngulo anterior (ACC) rostral con una interrelación con la activación de la SGPA, no así con el dolor solo. Una potente activación de la corteza prefrontal lateral con la anticipación del dolor se correlaciona con un más potente efecto placebo y con una reducción de la activación de la matriz de dolor (16). Esto es consistente con el hecho de que un mecanismo frontal puede inducir la liberación de opioides endógenos en el tronco, y así, influenciar las vías descendentes del dolor para modular la percepción de dolor durante la analgesia placebo.
El ánimo juega un rol esencial en la percepción de dolor, tanto en su forma aguda como crónica. Se han realizado varios estudios que examinan el rol de la anticipación y la ansiedad en la percepción de dolor. Dentro de las áreas que normalmente no participan en la percepción del dolor, pero que se activan en situación de miedo y ansiedad, está la corteza entorrinal, la que se activa en conjunto con la del cíngulo anterior. Gracely y Lee (17,18) mostraron que pacientes con dolor crónico asociado a depresión, tienen una mayor probabilidad de activación de la corteza entorrinal anterior asociada a la del resto de la división afectiva de la matriz de dolor. Se ha planteado que la corteza prefrontal lateral ejerce un efecto inhibitorio entre las conexiones talámicas mediales y el mesencéfalo, manejando así un control endógeno del dolor (19).
El dolor psicogénico, tan legítimo como cualquier dolor nociceptivo, se ha asociado con una activación de toda la matriz de dolor (20, 21), mas sin una lesión o activación del sistema nociceptivo aferente.
Activación del sistema nociceptivo periféricoEl sueño de los fisiólogos sensitivos de comienzos del Siglo XX fue poder, en un sujeto despierto, registrar la actividad eléctrica en un axón inducida por un estímulo cutáneo de una energía conocida y concomitantemente conocer la sensación subjetiva que este estímulo generaba (22).
A fines de la década de los 60, se desarrolló en Suecia la técnica de registro intraneural mediante la introducción percutánea de un mi-croelectrodo de tungsteno en una persona consciente (23). Con esta técnica se registró por primera vez en un sujeto despierto la actividad en aferentes mielínicos gruesos así como en amielínicos, en la forma de potenciales de acción aislados, asociados a la activación de los campos receptivos en la piel. La técnica se ilustra en la figura 3.
Registro de la actividad de axones no mielinizados desde un nervio cutáneo mediante un electrodo de tungsteno, insertado en forma percutánea en el nervio peroneo superficial de un individuo despierto (A). La señal es amplificada y digitalizas en B, para ser desplegada en un barrido de 0.2 segundos de duración como se ilustra en C. El estímulo eléctrico intradermal de baja intensidad en el campo receptivo de la piel (flecha) activa dos axones cercanos al electrodo activo, que se muestran en colores en una animación de un corte transversal del nervio (D). La latencia de las unidades corresponde a una velocidad de conducción de 0.83 y 0.92m/s, en el rango “C”.
Se reconoció por primera vez la existencia de receptores de dolor, responsables de la activación por calor, frío, estímulo mecánico y químico -nociceptores polimodales (24). El campo receptivo cutáneo de estos receptores en el ser humano son de 1–3cm2 y responden adaptándose al estímulo, con frecuencias de disparo instantáneas alrededor de 15 impulsos por segundo (25).
Los nociceptores polimodales contrastan con los nociceptores silentes, descritos a fines de los 90 en el ser humano (26, 27), por tener un umbral de activación muy alto, que cae durante el proceso de inflamación. Estos nociceptores participarían en la percepción de dolor inflamatorio. Los nociceptores silentes se supone son los que participan en la hiperalgesia cutánea inducida por la inyección de sustancias algogénicas como la capsaicina, el ingrediente activo del ají. Los nociceptores polimodales, se ha planteado, participan -junto a otros aferentes- en la mantención de la así llamada hiperalgesia secundaria, la que circunda una lesión (9).
A comienzos del 2000, fue posible definir que las fibras amielínicas no sólo se diferencian por el receptor al que están asociadas, sino también por las propiedades electrofisiológicas del axón (28). Cuando un axón se activa en forma repetitiva, la membrana tiende a la hiperpolarización por el efecto de la activación de la bomba de sodio-potasio y por lo tanto, un segundo potencial de acción se conducirá más lento que el primero. El patrón de lentitud es diferente según la modalidad de la fibras; así, los nociceptores polimodales, los silentes, los aferentes termoreceptivos, incluso los eferentes simpáticos, tienen un patrón específico por el cual pueden ser reconocidos (lentitud dependiente de la actividad), como se ilustra en la figura 4.
Se ilustra el registro intraneural en el nervio peroneo superficial de un individuo sano desde cuatro axones no mielinizados con un campo receptivo muy similar en la piel del dorso del pie, desde donde se estimula eléctricamente con una frecuencia de 0.25Hz (un impulso cada cuatro segundos) con un intervalo de tres minutos con una tétano de 2Hz. Durante este período la latencia de las respuestas individuales varía notablemente. Mientras la unidad a enlentece poco y alcanza una meseta, las unidades b y c lo hacen en una proporción mucho más grande sin llegar a estabilizarse. La unidad d, por su parte, se enlentece rápido para luego adaptarse e incluso recuperarse parcialmente durante la estimulación tetánica. La unidad a corresponde a una fibra específica de frío, las unidades b y c son nociceptores polimodales, mientras que la d es una fibra simpática sudomotora.
El poder reconocer estos patrones en sujetos normales ha permitido reconocer su existencia en pacientes con dolor, muchas veces asociado a neuropatía dolorosa, pero también a condiciones que clásicamente no se han relacionado con el sistema nervioso periférico, como lafibromialgia (29, 30).
La utilidad de este método se ilustra en un caso clínico de un paciente de 48 años, con una historia de ardor -dolor quemante- en ambos pies y de algunos años de duración, sin que se haya encontrado evidencia de una disfunción de nervios periféricos mediante las pruebas habituales de velocidad de conducción y electromiografía (que sólo evalúa la función de fibras mielínicas). Las causas dermatológicas fueron excluidas, lo mismo que una alteración del sistema nervioso central. La única anomalía fue una leve elevación de los umbrales de tibieza en los pies, sugerentes de una disminución en la función de aferentes amielínicos.
El registro intraneural en el nervio peroneo superficial en este paciente reveló que algunos de los nociceptores polimodales tenían actividad espontánea en la forma de salvas de descargas de un grupo de potenciales de acción, similares a las que ocurren experimental-mente cuando se aplica capsaicina en la superficie de la piel (figuras 5 y 6). La actividad espontánea en estos nociceptores da cuenta de la sensación de dolor quemante de este paciente y una forma “objetiva” de cuantificar su dolor. En realidad se objetiva el componente nociceptivo del dolor; la activación de la matriz de dolor en el cerebro, dependiente de las expectativas, de la distractibilidad, del ánimo, son las que finalmente harán que el paciente describa el dolor en diferentes términos y que impacte negativamente en su calidad de vida.
La figura ilustra un nociceptor silente con un campo receptivo en el dorso del pie izquierdo de un sujeto sano, activado por un estímulo eléctrico con frecuencia de 0.25Hz. Súbitamente incrementa la latencia de la respuesta en el minuto 59 del registro, como consecuencia del disparo espontáneo de un tren de potenciales de acción como consecuencia de la sensibilidad adquirida por la capsaicina, el ingrediente activo del ají.
Así, el dolor es una experiencia, una interpretación de las aferencias nociceptivas, teñidas por factores de memoria, emocionales, genéticos y patológicos. Conceptualizado de esta manera, no hay necesariamente una relación lineal entre la intensidad del estímulo que desencadena la respuesta nociceptiva y la sensación evocada. De hecho, la respuesta dolorosa no representa siempre una respuesta adaptativa, especialmente en los casos de dolor crónico no asociados a enfermedades malignas. Esto último puede representar casi un 20% de la población adulta (31).
En el ser humano despierto podemos cuantificar la magnitud de la aferencia nociceptiva mediante el registro de unidades aisladas en los nervios periféricos mediante la técnica de microneurografía. Por otro lado, es posible estudiar los patrones de activación de la matriz de dolor en el encéfalo mediante la resonancia magnética funcional, destacando un procesamiento paralelo del componente nociceptivo y afectivo del dolor. Si bien estos métodos no tienen una aplicación clínica masiva, han servido enormemente a la comprensión de los mecanismos fisiológicos del dolor y han ayudado a comprender la naturaleza de algunos dolores en pacientes con síndromes dolorosos.
El autor declara no tener conflictos de interés, en relación a este artículo.







