El dolor cubital de muñeca en el deportista es una causa frecuente de consulta médica. La presentación clínica puede variar desde un contexto agudo traumático a una lesión de evolución lenta y progresiva. Un diagnóstico diferencial preciso es fundamental para un pronóstico y tratamiento efectivo. Las lesiones del complejo fibrocartílago triangular, lesiones del ligamento semilunar-piramidal y el síndrome de impactación cubital son frecuentes.
Los exámenes de imágenes como la radiografía simple, la resonancia magnética y el TAC son de gran ayuda, su interpretación debe ser en un contexto clínico y en comparación al lado sano. La toma de decisiones terapéuticas exige de un acertado criterio y juicio médico.
Ulnar side wrist pain is a common cause of medical consultation. The clinical presentation can vary from acute post traumatic injury to a slow and progressive pain. The differential diagnosis is essential for accurate and effective treatment. The triangular fibrocartilage complex injuries, luno-triquetral ligament tears, ulnocarpal impaction sindrome are common. Imaging tests as radiography, magnetic resonance imaging and CT are helpful, their interpretation should be in a clinical context and in comparison to the healthy side. Decision making requires an accurate therapeutic approach and medical judgments.
Diversas disciplinas de la práctica deportiva que involucran un uso directo de la muñeca explican que el dolor cubital de muñeca sea un motivo frecuente de consulta.
Es también una causa de disminución en el rendimiento deportivo, genera dificultad en la realización de un entrenamiento eficiente y afecta la capacidad competitiva del deportista.
En ocasiones es frustrante para el deportista y su entorno, puede obligar a reposo prolongado, evaluaciones y controles. Es necesario realizar tratamientos médicos y también es posible que se requiera de una intervención quirúrgica.
En deportes que involucran movimientos directos de muñeca, con generación de fuerza y torsión, como el uso de raqueta, pesos o gimnasia, el síntoma de dolor cubital en la muñeca aumenta su incidencia.
Específicamente deportes como: tenis, pesas, golf, lanzamiento bala, lanzamiento jabalina, motociclismo, karate, yudo y arco, el dolor cubital de muñeca puede ser un problema complejo.
Mecanismos de generación y anamnesis de dolor cubital de muñecaEs posible describir 4 acciones mecánicas fundamentales, o la combinación de estos, que participan en la generación de las lesiones que pueden desencadenar el síntoma dolor: levantamiento de peso, impacto, torsión o lanzamiento.
El enfrentamiento del dolor cubital de muñeca en el deportista obliga al médico tratante a un análisis en detalle de la historia médica remota y actual.
Lesiones antiguas o recientes en la muñeca, si ha habido cirugía, qué otro tratamiento ha recibido, qué evolución ha tenido, qué estudio se realizó, son antecedentes importantes.
También el tiempo que se ha dedicado al deporte, horas diarias de entrenamiento específico y tipo de preparación física, uso o no de pesas, preguntar por gestos técnicos específicos del deporte y también estilo de juego.
Respecto de la patología actual es necesario preguntar por el inicio de la sintomatología, si fue agudo o progresivo, qué mecanismo lo pudo haber producido, estos elementos pueden aportar importantes datos para el diagnóstico de la patología subyacente.
Por ejemplo lesiones de la articulación radio-cubital distal (RCD) o del complejo fibro-cartílago triangular (CFCT) con frecuencia ocurren con la muñeca hiperpronada y con carga axial. El tipo de dolor e intensidad también es importante. Si hay asociada parestesias o zonas de menor sensibilidad, irradiación del dolor, qué elementos exacerban o alivian el dolor son preguntas que deben realizarse (1).
Para lograr un alivio del dolor es fundamental un enfrentamiento desde lo básico, que busque la etiología, es necesario diagnosticar la causa del dolor (2).
Así una historia y examen físico precisos, son elementos fundamentales en la primera aproximación al proceso diagnóstico, se abre un diverso abanico de posibilidades diagnósticas, será necesario confirmar para plantear tratamiento y hacer pronóstico.
Los exámenes de imágenes serán complementarios de la línea del pensamiento.
El deportista con dolor cubital de muñeca usualmente consulta cuando su dolor es significativo.
Consideraciones anatómicasEl estudio de la anatomía del borde cubital de la muñeca evidencia estructuras de gran importancia que contribuyen en forma significativa a la estabilidad de la muñeca.
Estabilidad en un contexto de movimiento y también a través del uso de la desviación cubital para ser capaz de generar una fuerza de agarre poderosa y firme.
En el borde cubital de la muñeca; la porción distal del cúbito articula con el Complejo Fibrocartílago Triangular (CFCT). Hay dos eminencias importantes en el cúbito distal; la cabeza del cubito y la estiloides cubital.
La cabeza del cúbito es una eminencia grande y redondeada tiene una superficie articular redonda orientada a distal, que articula con el carpo y otra superficie articular que articula con el radio para forma la radio cubital distal (RCD), (Figura 1) ésta se mueve durante la prono-supinación (3).
La apófisis estiloides nace del aspecto medial y posterior del cúbito dis-tal, no tiene superfcie articular, es el punto de origen del ligamento colateral cubital. La apófsis tiene en su base una depresión donde se inserta el fbrocartílago triangular.
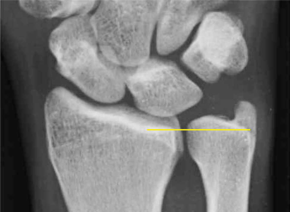
La varianza cubital se refiere a cuan distal está la superficie articular del cubito respecto de la del radio, elemento significativo en la distribución de las fuerzas a través de la muñeca. La varianza cubital positiva tiene un rol importante en las lesiones del CFCT y en el síndrome de impactación cubital de muñeca (Figura 2).
Los ligamentos intrínsecos de la muñeca escafoides-semilunar y semilunar-piramidal, son estabilizadores del hueso semilunar. Además hay otros ligamentos importantes, el radio-semilunar-piramidal y el radio-semilunar corto, que se insertan en el aspecto volar del semilunar (3).
El hueso piramidal articula con el hueso grande en su borde distal, con el semilunar en su borde lateral y con el pisiforme a volar. El piramidal también articula con el fibrocartílago triangular en su aspecto proximal.
El pisiforme articula con el piramidal a través de su superficie posterior y provee inserción al FCU, abductor digiti quinti y al ligamento transverso del carpo.
La articulación pisiforme-piramidal es una sinovial que se ubica en el aspecto anterior del carpo. Estos detalles anatómicos pueden tener importancia en el contexto del estudio de dolor cubital de muñeca.
La articulación radio-cubital distal (RCD) es una tipo pivote que permite rotación del radio distal en torno al cúbito en el movimiento de prono-supinación, ésta es estabilizada por los ligamentos radio cubital volar y radio cubital dorsal, (Figura 3) el Complejo Fibrocartílago Triangular (CFCT) también es un importante estabilizador de la RCD.
El ligamento semilunar-piramidal (luno-triquetral) tiene forma de U en un corte sagital, pudiendo identificarse tres zonas; dorsal, proximal y volar. La zona dorsal es muy relevante desde una mirada funcional, limitando a la rotación, la zona volar es más firme y gruesa, transmite los movimientos de extensión desde el piramidal. La zona proximal es fibrocartilaginosa y delgada (4).
Complejo fibrocartílago triangular (CFCT)El CFCT debe su nombre a su composición histológica: fascículos fibrosos a los que se añaden elementos cartilaginosos en porción variable. Es una estructura ligamentaria fibrocartilaginosa
Se extiende horizontalmente entre la cabeza del cúbito y la primera fila del carpo en su borde cubital (Figura 4).
Funcionalmente el CFCT actúa como un importante estabilizador de la articulación radio-cubital distal (RCD), transmite carga axial entre el carpo y el cúbito, también estabiliza el aspecto cubital del carpo, limita la desviación cubital evitando el choque entre el piramidal y la cabeza del cúbito, manteniendo así un necesario espacio entre el carpo y el cúbito.
Elementos del complejo fibrocartílago triangular (CFCT)- a)
El fibrocartílago triangular propiamente tal (disco articular), (Figura 5) cuya base se inserta en la cavidad sigmoidea del radio y su vértice en la depresión en la base de la estiloides cubital. Este es parte del complejo ligamentoso cúbito-carpiano formado además por los ligamentos cúbito-semilunar y cúbito-piramidal. La cara proximal de este complejo se adapta a la cabeza del cúbito, el aspecto distal al semilunar y al piramidal (4).
- b)
Los ligamentos radio-cubital dorsal y volar, que refuerzan los bordes del FCT.
- c)
El homólogo de menisco, que se extiende desde el disco articular al piramidal, semilunar y quinto metacarpiano.
- d)
El ligamento colateral cubital es una estructura capsular mal definida que se origina en la base de la estiloides cubital.
- e)
La vaina tendínea del extensor cubital del carpo.
En imágenes coronales de RM, el FCT propiamente tal (disco articular), el ligamento triangular y el menisco homologo son claramente apreciados (Figura 5).
El aporte sanguíneo se logra a través de irrigación terminal arterial. Las tres principales ramas arteriales que suplen al CFCT son:
- 1)
Arteria cubital
- 2)
Rama volar de la arteria interósea anterior
- 3)
Rama dorsal de la arteria interósea anterior.
Estas tres arterias logran una irrigación en la periferia del CFCT (Figura 6).
Cortes histológicos demuestran que los vasos sanguíneos penetran la periferia y hasta un 15 a 20% del disco. De esta forma la porción central y su inserción radial son estructuras avasculares y consisten principalmente en condrocitos en una matriz fibrocartilaginosa (3).
El borde o periférica del disco está bien vascularizado. Es en base a estas consideraciones anatómicas que se fundamenta la recomendación de tratamiento en cuanto a reparación de los desgarros periféricos, que tendrían una buena capacidad de reparación y un debridamiento en los desgarros centrales y radiales, estos últimos tendrían una escasa capacidad cicatrizal dado su menor aporte sanguíneo.
La morfología del CFCT se afecta en forma significativa en relación con la varianza cubital. El CFCT en el contexto de cúbito minus se ubica en una posición más horizontal y es más grueso y corto. Con varianza cubital plus es delgado, y está elongado a distal, en una forma de arco entre la cabeza del cúbito y el carpo proximal (Figura 7).
Así hay una relación inversamente proporcional entre la longitud del cúbito y el grosor del CFCT, esto habla del espacio disponible entre la cabeza del cúbito y los huesos del carpo. Esto tiene importancia biomecánica en el estudio y toma de decisiones en el síndrome de impactación cubital de muñeca.
Elementos clínicos y diagnósticos del dolor cubital de muñeca en el deportistaPara realizar un diagnóstico preciso de la etiología causante del dolor cubital de muñeca es fundamental una historia y examen físico detallados, también es importante interpretar adecuadamente, en un contexto clínico, los exámenes de imágenes realizados.
El dolor cubital de muñeca puede ser dividido en- 1)
Causas traumáticas agudas.
- 2)
Lesiones crónicas por sobreuso.
- 3)
Lesiones crónicas degenerativas.
Los mecanismos que las ocasionan pueden ser por una caída de altura, una torsión forzada o un golpe de alta energía en la muñeca, es frecuente la combinación de fuerzas.
Cuando se genera una lesión aguda en la articulación radio-cubital distal (RCD) o en el complejo fibrocartílago triangular (CFCT) usualmente es a través de un mecanismo de una fuerza de carga con la muñeca hiperpronada.
Las lesiones del ligamento semilunar-piramidal ocurren con la muñeca en extensión. En ocasiones ocurre una luxación de la RCD, en esta etiología inmediatamente el paciente notara la deformidad.
Las lesiones estables del ligamento semilunar-piramidal y del CFCT generan un dolor moderado que persiste en el tiempo luego del evento, su presentación es similar al de un esguince de muñeca. El motivo de consulta será la aparición de un dolor en la zona cubital de la muñeca que no estaba antes.
Lesiones crónicas por sobreusoEs frecuente que esté presente una tendinitis del extensor carpi-ulnaris (ECU) o del flexor carpi-ulnaris (FCU), también la causa del dolor cubital de muñeca puede ser una lesión antigua del complejo fibrocartílago triangular o del ligamento semilunar-piramidal, las que no han logrado una adecuada cicatrización.
La presentación clínica de estas lesiones usualmente es lenta, progresiva, en el contexto de una práctica deportiva mantenida e intensa. El motivo de consulta es dolor en el borde cubital de la muñeca que ha persistido ya mucho tiempo y/o el aumento en la intensidad dolorosa.
La anamnesis puede sugerir la existencia de una lesión aguda antigua que no cicatrizó satisfactoriamente, y ahora haber una reagudización. En la historia del deportista es frecuente que exista la incorporación de una nueva actividad mecánica, de un nuevo gesto técnico, también modificación de un movimiento que ya se realizaba antes. Estos elementos pueden desencadenar un dolor, será necesario su corrección en conjunto con entrenador y deportista.
Lesiones degenerativas crónicasPuede o no estar la historia de un trauma o fractura antigua, que ha recibido tratamiento médico o no. En ocasiones pueda estar el antecedente de una enfermedad inflamatoria sistémica en tratamiento.
Examen físico del dolor cubital de muñecaEn la anamnesis el paciente indica el borde cubital de la muñeca al preguntar dónde está su dolor.
Precisando el examen físico, éste se debe realizar con el paciente sentado en el lado opuesto de una mesa, con el codo en flexión y los dedos apuntando al techo.
La palpación del borde cubital de la muñeca requiere del conocimiento de las estructuras y posibles lesiones de la zona, se debe realizar una búsqueda dirigida.
Es fundamental la comparación con el lado contralateral, dado que algunos hallazgos pueden ser simétricos, por lo que pierden valor. La cabeza del cúbito puede ser prominente a la palpación, esto se observa en los casos de cúbito plus, también puede haber movilidad anormal en la articulación radio cubital distal (RCD).
El espacio semilunar-piramidal, pensando en una posible lesión del ligamento semilunar-piramidal, se palpa en la zona dorsal entre el cuarto y quinto compartimento un poco distal a la RCD y con la muñeca en 30 grados de flexión.
La RCD puede ser palpada desde dorsal, debe ser evaluada en distintos grados de rotación de la muñeca, puede estar dolorosa un una posición y no en otra.
El complejo fibrocartílago triangular (CFCT) se debe palpar en el espacio de tejido blando entre la estiloides cubital, tendón flexor carpi ulnaris (FCU), superficie volar de la cabeza del cúbito y el pisiforme. Tay el al. han descrito esta zona como una fóvea, y el dolor a la palpación en esta zona es considerado desde un punto de vista semiológico como signo positivo de la fóvea (5). La presencia de dolor a la palpación puede ser indicativo de una lesión del CFCT.
El tendón extensor cubital el carpo (ECU) se ubica en una posición dorsal, puede ser palpado en su longitud en dirección proximal. Adistal la inserción del ECU se ubica precisamente distal a la quinta articulación carpo-metacarpiana, en ocasiones es posible desencadenar dolor en algún punto de su trayecto.
La articulación pisiforme-piramidal se palpa en el extremo proximal de la eminencia hipotenar un poco distal a donde se palpa el CFCT, también puede ser esta una zona que esté generando la molestia.
Las maniobras provocativas de dolor en zonas específicas son esenciales para la aproximación al proceso diagnóstico, el objetivo es reproducir los síntomas o evidenciar la inestabilidad.
La articulación semilunar-piramidal puede ser evaluada realizando la prueba de peloteo semilunar-piramidal (test de Reagan) (3); ésta se realiza estabilizando el semilunar entre el pulgar e índice de una mano del examinador, el otro pulgar estabiliza el pisiforme y piramidal, las dos manos se mueven en sentido opuesto volar-dorsal, generando estrés y eventual dolor en la articulación semilunar-piramidal, puede sugerir lesión del ligamento semilunar-piramidal.
Test de estrés cúbito-carpiano: maniobra provocativa que sugiere la presencia de patología en la zona cubital, este se realiza aplicando estrés axial en una desviación cubital máxima y llevando la muñeca a pronación y supinación, esta maniobra podría reproducir el dolor. Este test puede ser positivo en lesiones del CFCT o en lesiones del ligamento semilunar-piramidal, también en un síndrome de impactación cubital, es altamente sensible, pero poco específico.
Test de la tecla de piano: indica lesiones en la RCD, con la mano apoyada plana en una mesa se aplica fuerza dorsal y volar, sobre el cúbito, 4cm proximal a la RCD. Puede desencadenar dolor y movilidad anormal a nivel de la RCD.
Estudio imagenológico en el dolor cubital de muñecaEn base aun conocimiento de la anatomía de la muñeca, y luego de una historia y examen físico bien realizados, las imágenes son un importante complemento al diagnóstico preciso y una ayuda terapéutica en la toma de decisiones del dolor cubital de muñeca.
Radiología simple AP-LEl estudio inicial debe incluir una radiografía en las posiciones AP y Lateral, la imagen en AP debe ser realizada en cero grados de rotación, esto se realiza con el hombro abducido en 90 grados, el codo flectado en 90 grados y la muñeca en posición neutra. La evaluación de la correcta toma radiográfica en cero rotación puede ser confirmada visualizando la escotadura del ECU adyacente a la estiloides cubital. Una correcta visión lateral de la muñeca es visualizando la superficie volar del pisiforme a mitad de camino entre el aspecto volar del hueso grande y el polo distal del escafoides.
Es de gran ayuda solicitar radiografías contra-laterales comparativas. En estas radiografías es posible medir los ángulos escafoides-semilunar, escafoides-hueso grande, determinar posiciones en VISI o DISI y realizar una medición de la varianza cubital. Es importante destacar que también se obtiene una muy valiosa visión general de la muñeca con dolor. Cualquier alteración en las líneas de Gilula pueden indicar una inestabilidad del carpo.
Lesiones del arco mayor mostrarán una disrrupción en la línea dibujada por el aspecto proximal del carpo, las lesiones del arco menor del carpo mostrarán una disrupción en la línea dibujada por la parte proximal del la fila medio carpiana.
Una inestabilidad segmentaria volar (VISI), puede ser indicativo de una lesión del ligamento semilunar-piramidal, y una inestabilidad segmentaria dorsal (DISI) puede ser indicativo de lesión del ligamento escafo-semilunar.
Una lesión en la RCD puede ser visualizada por un aumento del espacio en la radiografía AP, y desplazamiento dorsal o volar en la radiografía lateral, es muy relevante el análisis comparativo con el lado sano.
Es posible observar elementos de impactación cubital como puede ser una esclerosis subcondral, también cambios quísticos en la zona cubital y proximal del semilunar y porción radial y proximal del piramidal.
La varianza cubital debe ser medida, es importante destacar que cambia significativamente con la rotación de la muñeca, en pronación la varianza cubital sube y decrece en supinación (13).
Una evaluación radiográfica dinámica al hacer realizar un puño en pronación y con fuerza, mostrara la máxima varianza cubital positiva. Esto en el escenario de estar pensando en un síndrome de impactación cubital dinámico, que ocurre debido a un alargamiento relativo del cubito con la maniobra de pronación y flexión de los dedos forzada.
Tomografía axial computada (TAC)Es de utilidad en el dolor cubital de muñeca, puede mostrar una fractura aguda o antigua, también una no unión.
Fracturas de la estiloides cubital, hueso pisiforme, base del quinto metacarpiano o gancho del ganchoso, que podrían no haberse diagnosticado con la radiología simple, también evidenciar patología degenerativa en la RCD (1).
Es posible realizar múltiples cortes en posiciones de pronación, supinación y en neutro, de tal forma de objetivar inestabilidad o perdida de congruencia en la RCD, también evidenciar impactación cubital. Este estudio debe ser realizado con las dos muñecas en la misma imagen o corte de tal forma de tener una visión comparativa contralateral de real ayuda diagnóstica. En ocasiones se complementa con la inyección intraarticular de medio de contraste; Artro-TAC.
Resonancia magnética (RM)La RM es un examen de gran utilidad en el estudio de un dolor cubital de muñeca, es capaz de aportar significativa información de relevancia con respecto a lesiones de ligamentos, tendíneas y también óseas. En ocasiones se complementa con inyección intra-articular de medio de contraste (Artro-RM), que podría agregar información a la RM simple. Tiene el inconveniente de ser una técnica invasiva.
La capacidad reportada de la artro-RM para diagnosticar lesiones centrales del CFCT es de una sensibilidad entre el 88% y el 100%, y una especificidad entre el 80% y el 100%.
Las lesiones periféricas del CFCT son más difíciles de visualizar, pero inyectando medio de contraste en la RCD se aumenta su capacidad a 80%.
El diagnóstico de lesiones del ligamento semilunar-piramidal tiene una sensibilidad que varia del 40% al 75% con una especificidad entre el 64% y el 100% (2).
También está la opción de una artrografía indirecta, con medio de contraste intravenoso, basado en la premisa que el material llegara a la articulación. Es mejor para visualizar patología del hueso; como impactación cúbito-carpiana o diagnóstico de no unión en fracturas.
Las imágenes que se observan característicamente en el síndrome de impactación cúbito carpiana son una hiperemia en el semilunar y en el pisiforme, con una baja señal en T1 y una alta señal en T2, en una impactación más avanzada se identifican cambios escleróticos, los que aparecen como áreas de baja intensidad de señal en T1 y T2.
EcografíaEs un examen sencillo, de fácil realización, incluso en ambiente de competencia deportiva, es no invasivo y de bajo costo.
Puede aportar valiosa información de los tejidos blandos en el estudio de un dolor cubital de muñeca. Tiene limitaciones en el estudio óseo.
Es un aporte en el estudio dinámico de la muñeca, en comparación con el lado contralateral, también es de gran utilidad como guía imagenológica de una infiltración selectiva de muñeca. Requiere de un alto grado de entrenamiento, de conocer el contexto clínico y es operador dependiente (1).
Artrografía de muñecaTradicionalmente la artrografía convencional era el método más usado, y de elección, para estudiar las lesiones de ligamentos intra-carpianos y las lesiones del CFCT. Es posible describir lesiones escafo-semilunar, semilunar-piramidal y también lesiones del complejo fibrocartílago triangular.
La interpretación de las imágenes requiere de gran experiencia en la técnica y de una correlación cercana con la visión clínica, de tal forma de lograr una especificidad y sensibilidad aceptables. Ha ido siendo sustituida por la RM o artro-RM. La desventaja es que es invasiva y muy operador dependiente.
Infiltración selectiva en el borde cubital de la muñecaEs un procedimiento sencillo de realizar, de alta frecuencia en su indicación en el paciente con dolor cubital de muñeca.
Una infiltración selectiva con lidocaína en el borde cubital de la muñeca es un procedimiento de significativa ayuda en el diagnóstico diferencial del dolor cubital de muñeca. En combinación con un esteroide permite obtener además un beneficio terapéutico. Su realización bajo visión ecográfica aumenta la precisión anatómica de la zona infiltrada.
El alivio de la sintomatología dolorosa luego de una infiltración puede ser indicativo de la existencia de patología en la zona, para que tenga real valor médico debe ser correlacionado con una pensamiento clínicoimagenológico previamente realizado.
Lesiones del complejo fibro cartílago triangular (CFCT)Es una causa frecuente de dolor en el borde cubital de la muñeca.
Estas lesiones pueden tener un origen traumático o degenerativo, su manifestación puede ser aguda o en el transcurso de tiempo.
Las causas traumáticas pueden ocurrir con una carga axial forzada con la muñeca en extensión, pronación y desviación cubital, también por una rotación forzada del antebrazo con peso.
Estos dos mecanismos se dan con frecuencia en la práctica habitual del deportista, también es común una caída de altura o la recepción de una pelota u otro objeto contra una muñeca extendida y pronada.
El hallazgo habitual al examen físico, previa detallada anamnesis de lo ocurrido, es dolor a la palpación de la fóvea, un test de estrés cúbito-carpiano es probable que sea positivo. Dado estos elementos el médico tratante debe pensar en la posibilidad de una lesión del CFCT.
Clasificación de palmerLa clasificación de Palmer para las lesiones del CFCT las divide en lesiones traumáticas (clase 1) y degenerativas (clase 2) (1).
Esta diferenciación es importante porque las tipo clase 1, traumáticas, desde un punto de vista terapéutico podrían ser debridadas o reparadas. Sin embargo, las tipo 2, degenerativas, con frecuencia están asociadas a un síndrome de impactación cubital o enfermedad inflamatoria sistémica cuyo enfrentamiento terapéutico es distinto.
Lesiones traumáticas: clase 1- Clase 1A:
Es la más frecuente de las traumáticas. Hay un desgarro o perforación en el aspecto central del disco del CFCT. Esta lesión se ubica 2-3mm medial a la inserción radial del CFCT.
- Clase 1B:
Representa avulsiones traumáticas del CFCT desde su inserción en el cúbito distal, esta lesión genera inestabilidad de la articulación radio cubital distal (RCD). Puede o no estar asociada una fractura de la estiloides cubital. Esta clase también incluye a las lesiones periféricas en la zona vascular del CFCT.
- Clase 1C:
Desinserción del CFCT desde su inserción distal en el semilunar. Lesión poco frecuente, puede ocurrir en el contexto de alta energía que ocasiona inestabilidad cúbito-carpiana y translocación volar de la parte cubital del carpo.
- Clase 1D:
Desinserción del CFCT desde su inserción radial en la escotadura sigmoidea, estas son por lejos las menos frecuentes y en ocasiones se confunden con las clase 1A que han dejado un pequeño borde de CFCT en el borde radial.
Son el resultado de una carga crónica en el aspecto cubital de la muñeca, como se observa en el síndrome de impactación cubital. Estos cambios patológicos usualmente evolucionan progresivamente hacia un mayor daño.
- Clase 2A:
Hay un adelgazamiento y desgaste del CFCT sin perforación.
- Clase 2B:
Hay un desgaste del CFCT y una condromalacia del aspecto cubital del semilunar y/o de la cabeza del cubito.
- Clase 2C:
La lesión del CFCT progresa a un desgarro o perforación propiamente tal.
- Clase 2D:
C más una lesión del ligamento semilunar-piramidal.
- Clase 2E:
Hay una artrosis de la articulación cúbito-carpiana.
El tratamiento inicial de las lesiones traumáticas del CFCT es conservador: reposo relativo, una inmovilización de la muñeca con una órtesis renovable por un periodo de 3-4 semanas, se recomienda evitar actividades de alta y moderada demanda de la muñeca, antiinflamatorios no esteroidales por un periodo de tiempo corto; 5-7 días, también frio local, es posible en esta etapa agregar fisioterapia.
Estas indicaciones pueden aliviar o eliminar la sintomatología dolorosa. No hay estudios que avalen el beneficio del uso de yeso, habría cierta argumentación para un yeso braquio-palmar (BP) en posición neutra, sin embargo la tolerancia del deportista a esta inmovilización es muy baja. La persistencia de la sintomatología puede hacer indicar una infiltración esteroidal, la cual podría ser beneficiosa.
Hay un número significativo de lesiones traumáticas del CFCT que logran cicatrizar adecuadamente con estas medidas, aliviando la sintomatología dolorosa y habiendo evitado una intervención quirúrgica. La que no siempre tiene una predictibilidad de éxito y rápida recuperación como en algún momento se pensó.
Es importante destacar que aquellas lesiones traumáticas que responden adecuadamente a un tratamiento conservador, con alivio completo del dolor, esto se lograra en un período de tiempo que oscila en entre 4 y 16 semanas. Los pacientes deben ser advertidos del tiempo de evolución, la cirugía no ha demostrado acortarlos.
Las lesiones traumáticas tipo1A en que falla un tratamiento conservador bien realizado, podrían ser candidatas a un tratamiento quirúrgico, el cual puede ser abierto o artroscópico. El objetivo de la cirugía es lograr un borde estable del CFCT. Todos los componentes sueltos o tipo flap deben ser debridados o realizar su reinserción.
Es importante que los ligamentos dorsal y volar radio-cubitales sean preservados, de tal forma que la estabilidad de la RCD no se comprometa.
Los resultados del debridamiento artroscópico de las lesiones 1A del CFCT son buenos. La tasa de éxito varia del 66% al 87%. Hulsizer et al. han referido que en sus fallas, el complementar con una osteotomia de acortamiento cubital, independiente de la varianza cubital aumenta su tasa de éxito de 87% a 99% (15).
La tasa de falla para la cirugía del CFCT en el contexto de un cúbito plus es 13% a 60%.
Las lesiones 1B son lesiones periféricas en la zona vascular, posible de ser reparadas, esto puede ser realizado por vía artroscópica o abierta.
En el abordaje es necesario cuidar las rama sensitiva dorsal del nervio cubital, es necesario exponerla y protegerla, su lesión genera un neuroma doloroso de difícil manejo (Figura 8).
Los resultados reportados de la reparación artroscópica o abierta de las lesiones clase 1B son similares, ambos siendo muy buenos.
La decisión más significativa en el manejo de estos pacientes no se refiere al tipo de técnica quirúrgica; abierta o artroscópica, sino al buen juicio en la indicación de si es necesario o no una intervención para el alivio del dolor.
Síndrome de impactación cúbito-carpianaEn el síndrome de impactación cúbito-carpiana, la lesión del CFCT es secundaria a la varianza cubital positiva.
Es una condición degenerativa que se desarrolla dado el volumen del extremo distal del cúbito. Este impacto mantenido en el tiempo, quedando el CFCT comprimido, determina que finalmente se desarrolle daño.
En una muñeca en posición neutra, la porción cubital del carpo absorbe 18% de la carga axial. Esto aumenta a 42% si la longitud del cúbito aumenta en 2.5mm y baja a 4.3% si la varianza cubital es disminuida 2.5mm.
El síndrome de impactación cúbito-carpiano se observa en pacientes con un cúbito plus congénito, también como consecuencia de una mal unión post fractura del radio, en la deformidad de Madelung, también en una secuela de trauma que afectó el crecimiento de la fisis del radio, y en lesiones de codo como essex-lopresti.
Los pacientes con síndrome de impactación cúbito-carpiana usualmente se presentan con un dolor insidioso, progresivo, que se mantiene en el tiempo ya por meses y aumenta con la actividad deportiva especifica (Figura 9).
El dolor se hace más intenso con la maniobra de pronación y desviación cubital. El signo de la fóvea es positivo casi siempre y el estrés cúbito-carpiano reproduce la sintomatología.
Los hallazgos encontrados en la radiología simple usualmente muestran una varianza cubital positiva. Si la varianza es normal, y persiste la sospecha clínica, es posible realizar una radiografía dinámica con la muñeca pronada y realizando un puño, esto puede mostrar un relativo alargamiento del cúbito de hasta 2-3mm.
Una esclerosis subcondral y quistes subcondrales en el semilunar, piramidal o cabeza del cúbito son hallazgos característicos encontrados en los casos avanzados.
Las imágenes de la RM pueden ayudar en el diagnóstico, visualizar edema del hueso subcondral es un signo indirecto de condromalacia. Es un signo precoz de impactación cubital y un elemento que aparece antes que en la radiología simple.
Tratamiento síndrome de impactación cúbito-carpianaEl tratamiento inicial para el síndrome de impactación cubital es conservador, independiente de la severidad de la lesión del CFCT.
Una inmovilización de muñeca con una órtesis, por un tiempo de 3 a 6 semanas, uso de AINE y fisioterapia son de gran ayuda en un importante número de casos. Se recomienda suspender las maniobras de desviación cubital durante este período.
La infiltración esteroidal puede ser de utilidad terapéutica y diagnóstica, es frecuentemente realizada.
En los casos de éxito del tratamiento conservador, éste se logrará en un período de tiempo variable que oscila entre 4 y 16 semanas. En ocasiones el reiniciar la actividad deportiva con la muñeca es un detonante para el re-iniciar cuadro doloroso. Elemento que debe ser considerado en una decisión quirúrgica.
El tratamiento quirúrgico se basa en realizar una descompresión del borde cubital de la muñeca, las dos opciones terapéuticas disponibles son una osteotomía de acortamiento cubital (Figura 10) o un procedimiento de Wafer que puede realizarse abierto o artroscópico.
Una osteotomía de acortamiento cubital transforma una muñeca con cubito plus, en una con cubito neutro o minus, logrando de esta forma una disminución de la carga cubital y el consecuente alivio del dolor. La osteotomía se realiza a nivel de la unión del tercio medio con el distal del cúbito.
La técnica estándar involucra una placa de compresión con un corte transversal u oblicuo, en este último se puede complementar con un tornillo de compresión (14).
Se han diseñado placas específicas para la osteotomía de acortamiento cubital, con guías que mejoran en forma significativa la precisión de corte en su paralelismo, logrando una reducción más anatómica y estable.
Los resultados de la osteotomía de acortamiento cubital en general son muy buenos. Baek et al. (16) reporta buenos a excelentes resultados en 29 de 31 pacientes. También se describe un mejoramiento de score modificado de muñeca de la Mayo de 52 a 84 puntos y un aumento en la fuerza de grip, rango de movimiento y disminución en el score de DASH, con una satisfacción de 89% en los pacientes (16).
Malos resultados se asociaron con cambios degenerativos en la RCD, largo tiempo de la sintomatología previa a la cirugía y elementos de compensación laboral.
Una complicación que puede ocurrir es la no unión de la osteotomía. La literatura disponible muestra una tasa de no unión entre 0 y 5%. Es frecuente el reporte de molestias en la zona de la placa, lo que puede obligar a su retiro, sin embargo las nuevas placas de perfil más delgado y su técnica de colocación en el aspecto volar del cúbito, quedando cubiertas por tejido muscular, pueden no requerir su retiro.
Contraindicaciones a la osteotomía de acortamiento cubital; las absolutas se refieren a una artrosis establecida de la RCD, también una luxación dorsal o inestabilidad evidente de la RCD, las relativas incluyen una artrosis en la muñeca como la articulación radio-carpiana o la medio carpiana, en que la predictibilidad de alivio del dolor puede disminuir. Paul Feldon describe el procedimiento de Wafer en 1992, (12) como una técnica alternativa para el alivio del dolor cúbito-carpiano, reporta 13 pacientes intervenidos, con 12 buenos a excelentes resultados. Es un procedimiento que se realiza desde la superficie articular distal del cúbito, por esta vía se logra el acortamiento cubital, removiendo 2-3mm de la cabeza del cúbito. En ocasiones también se repara el CFCT. Este se puede realizar abierto (Figura 11) o artroscópico.
Procedimieto de Wafer (12).
A. Esquema de la resección de cúbito distal. B. Técnica abierta, resección con fresa. C. posición para técnica artroscópica.
Al realizar este procedimiento, es importante rotar la muñeca de máxima supinación a máxima pronación para asegurar que una cantidad adecuada de cabeza del cúbito ha sido resecada. Un control radiográfico intra-operatorio es necesario para asegurar que una cantidad adecuada de cúbito ha sido removido (Figura 12). Una de las limitaciones del Wafer, abierto o artroscópico es la cantidad de cúbito que puede ser removido.
Además, el tener que crear una lesión del CFCT tipo 2A o 2B, para así a través de esta acceder a la cabeza del cúbito, es controversial, también el que se trate de un procedimiento que lesiona cartílago articular, es intraarticular, lo hace un poco menos predecible.
Síndrome de impactación de la estiloides cubitalEl síndrome de impactación de la estiloides cubital es diferente del más conocido síndrome de impactación cúbito carpiana, la condromalacia que se puede generar no compromete al polo proximal del semilunar ni a la cabeza del cúbito, pero sí al polo proximal del piramidal y a la apófisis estiloides.
Lo que ocurre es una impactación entre la apófisis estiloides que es excesivamente voluminosa y larga y el piramidal (Figura 13). Los eventos patológicos se inician primero con contusión, la que ya puede ser sintomática, esta mantenida en el tiempo generar el desarrollo de una condromalacia.
El diagnóstico se realiza en base a una sospecha clínica y una radiografía que confirma una estiloides larga, la RM puede aportar en evidenciar una condromalacia. En ocasiones la resección de 2-3mm de la estiloides cubital es necesario.
Lesiones del ligamento semilunar-piramidalLas lesiones del ligamento semilunar-piramidal (luno-triquetral) pueden ser aisladas o en asociación con otras lesiones de ligamentos intracar-pales o radio-carpales, es posible una lesión perilunar o también en combinación con fracturas del radio distal.
Mecanismo de lesión: Estudios biomecánicos muestran que esta lesión puede generarse con una caída con la mano pronada, extendida y con desviación radial. Otro análisis demuestra esta injuria con la muñeca en flexión palmar.
La presentación clínica inicial es con edema y dolor a la palpación sobre el aspecto cubital de la muñeca. Las maniobras de provocación y búsqueda dirigida de lesión del ligamento semilunar-piramidal son positivas.
La radiografía en el contexto de una lesión aislada del ligamento semilu-nar-piramidal es usualmente normal, podría mostrar una inestabilidad del carpo con un pattern VISI. La artro-RM puede demostrar un paso de medio de contraste en la articulación semilunar-piramidal. Sin embargo se debe tener presente que están descritas perforaciones en el ligamento en pacientes sin significancia patológica.
Una lesión significativa como una disociación semilunar-piramidal mostrará una disrupción del arco de la fila proximal del carpo.
Las partes dorsal y volar del ligamento son las con más significancia, es por esto que los cortes axiales son relevante para el análisis de lesiones.
Es necesario estar familiarizado con las imágenes normales a la RM para un diagnóstico preciso.
El tratamiento inicial para lesiones aisladas y estables del ligamento semilunar-piramidal es conservador. Con un yeso en posición neutra se debiera lograr la cicatrización del ligamento.
El tratamiento tardío del la lesión del ligamento semilunar-piramidal sin inestabilidad, solo molestia dolorosa, puede ser sólo una ortesis removible, reposo deportivo, AINE y es posible realizar una infiltración esteroidal, esto puede lograr un alivio temporal o definitivo.
El tratamiento artroscópico de la lesión del ligamento semilunar-piramidal es una opción para aquellas en que ha fallado el tratamiento conservador. Se realiza una artroscopia de la articulación radiocarpiana y mediocarpiana, realizando un debridamiento del ligamento, lo que puede generar alivio del dolor.
Weiss et al. reporta en 43 de 43 lesiones parciales del ligamento semilunar-piramidal (luno-triquetral (L-T)) logran completo o mejoría en su dolor luego de un debridamiento artroscopico (9).
En las lesiones inestables del ligamento semilunar-piramidal, se debe considerar el debridamiento artroscópico combinado con agujas.
Otras opciones para el tratamiento de lesiones del ligamento semilunar-piramidal incluyen reparación directa, reconstrucción del ligamento, o una artrodesis semilunar-piramidal.
Las lesiones semilunar-piramidal con una deformidad en VISI fija, ya no tienen la posibilidad de responder a ningún tipo de procedimiento reconstructivo.
La deformidad en VISI fija para que se estructure como tal requiere que haya lesión del ligamento semilunar-piramidal y de los ligamentos radio-carpianos dorsales. En este escenario, procedimientos como la artrodesis medio-carpiana o una carpectomía proximal pueden estar indicados.
Dolor cubital de muñeca de origen neurológico – síndrome del canal de guyonEl atrapamiento del nervio cubital en el canal de Guyon, en el aspecto cubital de la muñeca puede ser una causa de dolor.
Esto puede estar relacionado con fractura de algún hueso del carpo, deformidad de ellos, ganglion intra-túnel, variante anatómica muscular, aneurisma de la arteria cubital o idiopático.
El diagnóstico es en base a sospecha clínica, las imágenes de RM o ECO pueden ser de utilidad. El tratamiento es conservador al comienzo, puede considerar una infiltración selectiva y en ocasiones requiere una liberación quirúrgica.
Lesiones del extensor carpi ulnaris (ECU)Este tendón se ubica en el sexto compartimento extensor, en el aspecto dorsal del cúbito, en un túnel fibro-óseo y cubierto por el retináculo extensor. Finalmente se inserta en la porción media del 5 metacarpiano. En muñecas normales se moviliza en torno al cúbito con los movimientos de prono-supinación, generándose grandes fuerzas que podrían llegar a subluxar o luxar el ECU.
La tendinitis por sobre uso se desarrolla por microtrauma repetitivo, se produce lesión de las fibras de colágeno, iniciando el dolor. Es posible se desarrolle una subluxación, luxación, tendinopatía, tenosinovitis e incluso rotura del ECU.
Es posible palpar su subluxación clínicamente con los movimientos, su diagnóstico por imágenes en TAC o RM en ocasiones se hace difícil, la ecografía al ser dinámica, podría ser de ayuda.
Lesiones del flexor carpi ulnaris (FCU)El flexor carpi ulnaris (FCU) se ubica en el aspecto cubital del nervio y arteria cubital en el antebrazo distal próximo al canal de Guyon, se inserta a distal en el hueso pisiforme y se fusiona con el ligamento carpiano palmar formando el límite volar del canal de Guyon.
Es susceptible de tendinitis, tenosinovitis o rotura. Un elemento anatómico importante es que el FCU no tiene vaina. En la tendinits, su palpación es evidentemente dolorosa. Una RM o ECO pueden ayudar al diagnóstico.
Tratamiento tendinitisEl tratamiento de la mayoría de las tendinitis (ECU o FCU) es conservador, se considera reposo deportivo, AINE, órtesis de muñeca, fisioterapia, en ocasiones una infiltración esteroidal es de gran ayuda. El manejo quirúrgico se reserva para los casos muy severos como rotura tendíneas o luxación.
Fractura del hueso ganchosoEs una causa de dolor cubital de muñeca, su palpación exacta es un poco más volar y radial, corresponde al 1.7 % de las fracturas del carpo, generalmente son no desplazadas.
Para su diagnóstico es necesario un alto grado de sospecha con una historia y examen concordantes, lo más característico es una fractura del gancho del ganchoso la que se origina por un golpe directo en la zona. Es posible que la raqueta genere una fuerza de golpe, también en motociclismo o caída de altura.
La fractura del cuerpo del ganchoso es mucho menos frecuente.
En el estudio de la sospecha de fractura del gancho del ganchoso, si bien las radiografías simple son solicitadas, estas frecuentemente no logran mostrar la lesión. El TAC es el examen de elección con una sensibilidad y especificidad cercana al 100%.
El tratamiento es ortopédico, en las ocasiones en que se produce la no unión del gancho y ésta es sintomática, no antes de 4-6 meses, se podría considerar su extirpación quirúrgica.
Fractura del pisiformeEs un hueso sesamoideo que está rodeado por el tendón flexor carpi ulnaris, articula a dorsal con el piramidal. La fractura es poco frecuente; 1-2 % de las fracturas del carpo. El mecanismo exacto de la fractura muchas veces no es fácil de determinar, se puede producir por un trauma directo o avulsión muscular.
La ubicación superficial del pisiforme lo hace especialmente vulnerable al trauma directo. La avulsión ocurre cuando el FCU resiste la fuerza de hiperextensión de muñeca, característicamente este mecanismo produce una fractura osteocondral o una avulsión de la porción distal del pisiforme. Las fracturas pueden ser lineales, con minutas o una avulsión cortical pequeña, puede asociarse una luxación del pisiforme.
Su estudio comienza con radiografía simple de muñeca en AP y L, en muchos casos la fractura es visible en la Rx. Es posible complementar con un TAC o RM. Un error frecuente de interpretación es la presencia de múltiples centros de osificación del pisiforme. El tratamiento es conservador y con buen pronóstico, lo importante de esta lesión es su correcto diagnóstico
ConclusionesEl dolor cubital de muñeca es una causa frecuente de consulta médica, inhabilidad y mal rendimiento en el deportista.
El entendimiento de la anatomía, los mecanismos y lesiones posibles, con una historia y examen físico detallado permiten lograr un diagnóstico preciso de la causa del dolor en la mayoría de los casos.
El buen uso de los elementos de apoyo imagenológico son un valioso aporte en el estudio pre-diagnóstico.
Las lesiones del CFCT, el síndrome de impactación cubital y las lesiones del ligamento semilunar-piramidal son frecuentes por cierto, pero es necesario decir, que no son las únicas causas de dolor cubital de muñeca en el deportista.
El mayor esfuerzo médico en esta patología se requiere en el logro de un buen juicio y criterio para la decisión especifica de tratamiento en cada caso.
El autor declara no tener conflictos de interés, en relación a este artículo.














