La dermatomiositis es una miopatía inflamatoria de curso variable con diferentes manifestaciones clínicas, predominantemente cutáneas, que puede presentar una evolución crónica y progresiva con daño muscular irreversible y morbimortalidad significativas. El objetivo de este artículo es describir el caso clínico de una paciente con dermatomiositis clásica.
Presentación del caso clínicoUna mujer de 59 años con antecedentes de hipertensión arterial presentó debilidad muscular en la cintura escapular y pélvica en octubre de 2022, con limitación significativa de sus actividades cotidianas. Se encontraron diversas manifestaciones cutáneas y musculares que motivaron la realización de una biopsia muscular y cutánea, así como una electromiografía. Según los hallazgos de la exploración física y los resultados de otros estudios, se propuso el diagnóstico de dermatomiositis clásica del adulto, no asociada a procesos neoplásicos. Se inició tratamiento con hidroxicloroquina e inmunosupresores, con una respuesta terapéutica adecuada.
ConclusiónEl diagnóstico preciso de dermatomiositis requiere la integración del cuadro clínico, los estudios de laboratorio, la histología y la electromiografía. Esto permite iniciar un tratamiento adecuado para obtener, en la mayoría de los casos, una respuesta clínica satisfactoria.
Dermatomyositis is an inflammatory myopathy of variable course with different clinical manifestations, predominantly in the skin, which can present a chronic, progressive evolution with irreversible muscle damage and significant morbidity and mortality. The objective of this article is to describe the clinical case of a patient with classic dermatomyositis.
Clinical Case PresentationA 59-year-old woman with a history of high blood pressure experienced muscle weakness in the shoulder and pelvic girdles in October 2022, with significant limitation of her daily activities. Various skin and muscle manifestations were found and motivated the execution of muscle and skin biopsies and electromyography. According to the findings on physical examination and the results of the other studies, the diagnosis of a classic adult dermatomyositis not associated with neoplastic processes was proposed. Treatment with hydroxychloroquine and immunosuppressants was initiated, with an adequate therapeutic response.
ConclusionThe accurate diagnosis of dermatomyositis requires the integration of the clinical picture, laboratory studies, histology and electromyography. This allows for the initiation of appropriate treatment in order to obtain, in most cases, a satisfactory clinical response.
Las miopatías inflamatorias idiopáticas constituyen un grupo heterogéneo de enfermedades sistémicas adquiridas, caracterizadas por debilidad muscular crónica y progresiva, acompañada de infiltración celular inflamatoria en el músculo esquelético1. Su clasificación se basa en criterios clínicos, serológicos, histopatológicos y radiológicos. Las categorías principales son: dermatomiositis (clásica, amiopática, juvenil, asociada a malignidad), polimiositis, miositis por cuerpos de inclusión, síndrome antisintetasa, miositis de superposición, miositis necrotizante inmunomediada y miositis infecciosa2.
En un paciente con sospecha de dermatomiositis (DM), es esencial evaluar un perfil de autoanticuerpos que permita confirmar el diagnóstico, diferenciar subtipos de la enfermedad, identificar complicaciones asociadas y determinar el pronóstico. Estos autoanticuerpos se dividen en dos categorías principales: a) autoanticuerpos específicos de miopatías inflamatorias (miopatía idiopática inflamatoria) y b) autoanticuerpos asociados a miopatías inflamatorias que, aunque no son específicos de DM, se encuentran en diversos subtipos de miopatías inflamatorias y pueden sugerir asociaciones particulares2.
La DM es la única miopatía inflamatoria que se caracteriza por presentar lesiones dermatológicas. Por tanto, debiesen ser reconocidos de manera oportuna, ya que pueden constituir los primeros hallazgos de la enfermedad2. El eritema en heliotropo y las pápulas de Gottron (pápulas que confluyen y pueden formar placas eritematosas a violáceas, que se acompañan de escamas y se localizan de forma simétrica sobre la región dorsal de las articulaciones metacarpofalángicas e interfalángicas, codos y rodillas) son patognomónicos y tienden a asociarse con la actividad de la enfermedad3.
El curso de la enfermedad es variable con diferentes manifestaciones clínicas que pueden presentar una evolución crónica, progresiva, daño muscular irreversible y una importante morbimortalidad. Algunos pacientes al inicio tienen enfermedad muscular grave, mientras que otros pueden cursar sin sintomatología miopática3,4.
La biopsia muscular es la prueba más precisa para confirmar el diagnóstico y excluir otras causas de debilidad muscular o erupción cutánea. Elegir el músculo correcto para la biopsia es crucial para evitar un diagnóstico erróneo. La biopsia muscular se debe obtener en músculos débiles identificados por examen físico o contralaterales a los músculos anormales, identificados por electromiografía5.
Se recomienda obtener una biopsia muscular de pacientes con sospecha de dermatomiositis por su capacidad para confirmar el diagnóstico, clasificar el subtipo de la enfermedad, evaluar el pronóstico y guiar las decisiones terapéuticas. Es esencial cuando el diagnóstico clínico y serológico es incierto, especialmente en casos de miopatía inflamatoria seronegativa. Por otra parte, los pacientes que tienen las manifestaciones cutáneas características pero que carecen de debilidad muscular, se deben someter a una biopsia de piel5.
El objetivo del presente artículo es describir el caso clínico de una paciente con dermatomiositis clásica.
Presentación del Caso ClínicoSíntomasMujer de 59 años con antecedentes de hipertensión arterial tratada con lisinopril: 10mg/día, atenolol: 50mg/día y furosemida: 20mg cada 12 horas. Presenta, además, glaucoma en estudio, hepatopatía crónica diagnosticada por biopsia hepática en 2017 y tiroiditis de Hashimoto sin tratamiento. Los antecedentes familiares no son relevantes. En julio de 2021, tras padecer COVID-19, desarrolló un rash en la región inframamaria y abdominal, acompañado de eritema, descamación, sensación urente y prurito leve, que mejoró parcialmente tras el proceso viral.
En octubre de 2022, la paciente experimentó debilidad muscular en las cinturas escapular y pélvica, lo que le impedía levantarse o levantar los brazos por encima de la cabeza. Esto le obligó a depender de sus familiares para actividades cotidianas como peinarse, alimentarse y cepillarse los dientes, afectando considerablemente su calidad de vida.
SignosPresentó máculas eritematovioláceas en la región malar y hombros, así como pápulas eritematovioláceas en las manos, especialmente en las articulaciones metacarpofalángicas e interfalángicas, acompañadas de sensación urente, distrofia cuticular y telangiectasias periungueales (figura 1).
Se observa las pápulas de Gottron en las extremidades superiores e inferiores.
En 1 A, se observa las pápulas de Gottron a nivel de nudillos, con telangiectasias en pliegue ungueal. En 1 B se observan las pápulas de Gottron en las rodillas asociado a edema y signo de la pistolera en muslos.
En el examen físico dermatológico, la paciente presentaba un fototipo cutáneo tipo III según la clasificación de Fitzpatrick, con eritema en heliotropo que afectaba el rostro, pabellones auriculares (figura 2), cuello, área en “V” del escote, hombros y parte posterior del tórax, conocido como “signo del chal”.
En las extremidades superiores se observaron pápulas de Gottron a nivel de los nudillos de forma bilateral, junto con distrofia cuticular y telangiectasias en los pliegues ungueales, acompañadas de edema y ligera deformidad articular en las articulaciones interfalángicas proximales y mediales. En las extremidades inferiores se identificaban pápulas de Gottron en las rodillas, con edema y leve deformidad articular definida como el aumento de volumen por edema y eritema violáceo marcado. Además, se observaba eritema macular confluente en los muslos, conocido como “signo de la pistolera” (figura 2). La fuerza muscular, evaluada mediante la escala de Daniels, era de 2/5 en las extremidades superiores e inferiores, con disminución simétrica, compromiso proximal y distal, con movimientos activos, pero sin poder vencer la gravedad ni la resistencia. No se constató la presencia de cefaloparesia o disfagia.
LaboratorioDe forma inicial se realizó un grupo extenso de exámenes de laboratorio que incluyó: hemograma (normal), velocidad de sedimentación globular (VSG) de 65mm/h, estudios microbiológicos (negativos), química sanguínea (normal), panel de autoanticuerpos, biopsia de lesiones cutáneas y estudios imagenológicos y marcadores tumorales para descartar procesos neoplásicos (todos negativos). El panel de autoanticuerpos resultó: ANA: positivo, anti-LKM1: negativo; anticuerpos antimitocondriales: negativo; anti-DNA (IgG): negativo; anti-MI2: positivo; anti-DNA de doble cadena, anti-U1RNP, anti-Sm, anti- SS-A, anti-Ro52, anti-SS-B/La, anti- SCL70, anti-CENP-B, anti-Jo/histona, anti-nucleosoma, anti-RibPO y AMA-M2: todos negativos; CA125: negativo; antígeno carbohidratado: negativo; anticuerpos antitiroideos: 5 negativos y antitransglutaminasa (IgA, IgG): 2 negativos.
Exámenes complementariosLa biopsia cutánea reveló una dermatitis alérgica urticariana, y los niveles de creatina quinasa total (CK) confirmaron valores de 1 525 U/l. Además, se realizaron otros exámenes complementarios como: ecocardiograma, radiografía y tomografía de tórax, ecografía de abdomen, Doppler carotideo, ultrasonido ginecológico, ultrasonido de tiroides, los cuales fueron normales.
Se realizó una evaluación exhaustiva para descartar neoplasias que incluyó evaluación clínica completa, imagenología, biomarcadores tumorales y se indicó vigilancia regular.
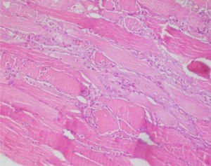
En enero de 2023, la paciente fue hospitalizada y se le practicó una biopsia muscular, la cual fue compatible con dermatomiositis. La biopsia de músculo estriado esquelético mostró infiltración endomicial por células inflamatorias y fibras musculares atróficas con cambios regenerativos compatible con dermatomiositis (figura 3).
En la electromiografía realizada en miembros superiores e inferiores, tanto derecho como izquierdo, se constató la presencia de varias alteraciones como ondas agudas positivas y fibrilaciones aisladas, fasciculaciones y miotonías.
De acuerdo con los hallazgos al examen físico dermatológico y los resultados de estudios paraclínicos, se llegó al diagnóstico de una dermatomiositis clásica del adulto no asociada a procesos neoplásicos, la cual se confirmó con el estudio histopatológico y la electromiografía.
Se inició tratamiento con hidroxicloroquina a 200mg/día durante cuatro meses, seguido de una dosis de 400mg/día, con control oftalmológico estricto cada seis meses según el protocolo de atención hospitalaria. Asimismo, se le indicó micofenolato de mofetilo, comenzando con 1,5g/día durante la primera semana y aumentando a 3g/día desde la segunda semana. La paciente también fue tratada con prednisona 30mg/día, con una reducción progresiva de 10mg cada 15 días hasta llegar a una dosis de mantenimiento de 5mg/día. Se añadió ácido acetilsalicílico 81mg/día y se mantuvo su medicación antihipertensiva.
En las consultas de seguimiento la paciente muestra una mejoría notable, con recuperación total de la fuerza muscular, sin deformidades o edema articular y con una marcada mejoría en las lesiones cutáneas. Los niveles de CK total descendieron a valores normales. Los exámenes de laboratorio revelaron un hemograma normal, VSG de 31mm/h y enzimas hepáticas dentro de los rangos normales. La paciente queda con seguimiento semestral.
DiscusiónLos pacientes que sufren una dermatomiositis clásica no asociada a procesos neoplásicos suelen presentar una afectación importante de la piel y los músculos y una baja incidencia de afectación de órganos adicionales, como en el caso de nuestra paciente1.
Se considera que es una enfermedad que predomina en el sexo femenino con una relación mujer: varón de 2:11,2. En cuanto a las características demográficas, en el presente caso clínico el promedio de edad y el género sexual es similar al reportado por otros autores2.
Aunque, la etiología se desconoce, existen varios factores ambientales implicados en la patogénesis de la dermatomiositis. Entre estos se incluyen las radiaciones ultravioletas, la deficiencia de vitamina D, los fármacos, las infecciones- en especial los virus- y las neoplasias3.
Los hallazgos cutáneos son una importante orientación diagnostica3. La erupción cutánea precede a la afectación muscular hasta en un 60% de los casos, pero se puede acompañar o ser posterior a la miositis así como a otras manifestaciones sistémicas4.
Lauinger et al.5 señalan que las pápulas de Gottron son uno de los signos cutáneos más relevantes y se encuentran hasta en el 70% de los pacientes. Schlecht et al.6 refieren que las pápulas también pueden aparecer en otras articulaciones, como los codos y las rodillas, donde muestran una hiperqueratosis psoriasiforme e imitan la psoriasis. En fases avanzadas, el autor señala que las pápulas de Gottron pueden presentar telangiectasias, hiper o hipopigmentación y ulceración. Además, comenta la existencia del “signo del chal”, consistente en un eritema sobre la cara posterior del cuello, la parte superior de la espalda y a veces los hombros que se extiende a la parte superior de los brazos; manifestaciones que también se observan en el caso que se reporta.
Autores como Waldman et al.7 y DeWane et al., 8 reportan que el sarpullido del heliotropo es un eritema periorbital que se acompaña de un edema simétrico que con mayor frecuencia afecta a los párpados superiores. Tiene un característico color lila y el término hace referencia al color violáceo de la flor Heliotropium peruvianum. Adicionalmente, se puede asociar a telangiectasias. Un eritema más extendido puede afectar también a la zona perioral, la frente y las orejas, sin compromiso de los pliegues nasolabiales. En una fase posterior, pueden aparecer escamas, costras o ulceraciones. La erupción de heliotropo puede ser paralela al curso de la miositis y la intensificación del color puede sugerir un brote de la enfermedad.
Los criterios originales de Peter y Bohan de 1975 para el diagnóstico de dermatomiositis incluían la biopsia muscular y la electromiografía además de la debilidad muscular proximal, cambios en la piel y enzimas musculares elevadas, pero no incluyen métodos de diagnóstico modernos como el análisis en sangre de anticuerpos específicos de miositis, anti-Mi-2, anti-Jo-1 y anti-PRS1,4. Actualmente se recomienda realizar una biopsia cutánea cuando los pacientes presenten erupciones atípicas, no tengan afectación muscular o para complementar los exámenes diagnósticos. Los hallazgos histológicos típicos de las erupciones incluyen alteración vacuolar en la capa basal de queratinocitos, infiltración linfocítica perivascular y depósitos de mucina7.
Otros autores señalan que la atrofia de las fibras musculares, en especial alrededor de la periferia de los fascículos, es una característica histopatológica distintiva de la dermatomiositis9. No obstante, todos concuerdan que es necesaria la integración de la información clínica y de los complementarios de interés para llegar a un diagnóstico preciso.
Las opciones terapéuticas que se recomiendan en la actualidad incluyen un amplio grupo de fármacos, en su mayoría con efecto inmunosupresor que incluye dentro de los de primera elección a los corticoides orales, micofenolato de mofetilo, antipalúdicos, entre otros, tal como se utilizó en esta paciente. Estas opciones contribuyen en gran parte de los casos a una remisión de los síntomas, en donde se ha visto un 50% la recuperación parcial entre 2 a 5 años. Esto depende de factores como: la edad del paciente, la gravedad de la enfermedad, el diagnóstico oportuno y tratamiento. La remisión se puede determinar mediante la escala modificada DMAS (Dermatomyositis Activity Score) que evalúa las siguientes condiciones: i. lesiones cutáneas; ii. debilidad muscular; iii. enzimas musculares; iv. electromiografía y v. síntomas y signos clínicos. Con una puntuación de presente (1 punto) o ausente (0 puntos). La suma de los cinco criterios da una puntuación total que oscila entre 0 y 5, concluyendo así: remisión completa: puntuación total de 0; remisión parcial: puntuación total de 1-2; no remisión: puntuación total de 3-510.
ConclusiónEl diagnóstico preciso de dermatomiositis requiere de la integración del cuadro clínico, los estudios de laboratorio, la histología y la electromiografía, lo que permite iniciar el tratamiento adecuado para obtener una respuesta clínica satisfactoria en gran parte de los casos.
Consideraciones éticasNo se ha llevado a cabo experimentación con animales ni seres humanos. Se respeta la privacidad y confidencialidad de los datos, y se cuenta con el consentimiento del paciente para publicar este artículo con imágenes.
Conflictos de interésLos autores declaran no tener conflictos de intereses.




