La arteritis trombofílica linfocítica o arteritis macular se presenta en forma de una hiperpigmentación macular en las extremidades inferiores y típicamente tiene un curso crónico indolente. El diagnóstico de esta enfermedad supone un reto para el clínico. Histológicamente, se caracteriza por un infiltrado linfocitico denso alrededor de vasos de mediano tamaño localizados en la dermis reticular y tejido celular subcutáneos, junto con un depósito intraluminal de fibrina en forma de anillo.
ObjetivoDescribir las características de la clínica y la histopatología de la arteritis macular para obtener un diagnóstico correcto y aplicar un tratamiento adecuado.
Caso clínicoSe presenta una paciente de 27 años que acude al servicio de urgencias por máculas pigmentadas asintomáticas en miembros inferiores de dos meses de evolución sin otra clínica sistémica.
ResultadosSe realiza una biopsia cutánea que describe un infiltrado inflamatorio de predominio linfocitario, alrededor de un vaso de mediano tamaño en la unión dermo-hipodérmica, junto con necrosis fibrinoide. Tras la correlación clínica anatomopatológica, se emite el diagnóstico de arteritis macular. Una entidad aún en discusión, pues hay autores que la consideran parte del espectro de la panarteritis nodosa cutánea y otros que la consideran una patología distinta.
ConclusiónSe presenta a una paciente joven con arteritis macular. La infrecuencia de esta entidad da importancia a nuestro caso, para ampliar el conocimiento de esta vasculitis tanto en términos clínicos como histológicos.
Lymphocytic thrombophilic arteritis or macular arteritis presents as macular hyperpigmentation in the lower extremities and typically has a chronic indolent course. The diagnosis of this disease represents a challenge for the clinician. Histologically, it is characterized by a dense lymphocytic infiltrate around medium-sized vessels located in the reticular dermis and subcutaneous cellular tissue, together with a ring-shaped intraluminal deposit of fibrin.
ObjectiveDescribe the clinical and histopathological characteristics of macular arteritis in order to obtain a correct diagnosis and apply appropriate treatment.
Case reportWe present a 27-year-old female patient who came to the emergency room due to asymptomatic pigmented macules on the lower limbs of two months’ duration without any accompanying systemic symptoms.
ResultsThe skin biopsy described an inflammatory infiltrate where lymphocytes predominate around a medium-sized vessel at the dermo-hypodermis junction along with fibrinoid necrosis. After a clinical-pathological correlation, we issued the diagnosis of macular arteritis. An entity still under discussion, as there are authors who consider it part of the cutaneous polyarteritis nodosa spectrum and others who consider it a different pathology.
ConclusionWe present a young patient with macular arteritis. The infrequency of this entity gives importance to our case, expanding our knowledge regarding this vasculitis both in clinical and pathological terms.
La arteritis trombofílica linfocítica (ATL) o arteritis macular (AM), es una enfermedad descrita por Fein et al. en el 20031. A nivel histológico, se caracteriza por un infiltrado linfocítico denso alrededor de vasos de mediano tamaño localizados en la dermis reticular y tejido celular subcutáneos, junto con un depósito intraluminal de fibrina en forma de anillo1.
Clínicamente, la ATL/AM se presenta en forma de hiperpigmentación macular en las extremidades inferiores y típicamente tiene un curso crónico indolente1,2. El diagnóstico de esta enfermedad supone un reto para el clínico.
El objetivo de esta publicación es exponer las características clinicas e histológicas de esta entidad, a modo de considerarlas en el diagnóstico diferencial de lesiones de características inflamatorias en extremidades inferiores.
Caso ClínicoPaciente mujer de 27 años que acude al servicio de urgencias por lesiones pigmentarias asintomáticas en miembros inferiores de dos meses de evolución. A la exploración física presenta máculas de coloración parduzcas y otras más violáceas, no palpables, que se distribuyen por cara anterior y posterior de ambas piernas (Figuras 1 y 2). No se acompaña de otra sintomatología clínica sistémica.
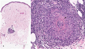
Se plantea el diagnóstico diferencial entre una paniculitis, una vasculitis leucocitoclástica y una dermatosis purpúrica pigmentada. Se realiza una biopsia de piel que muestra la presencia en dermis profunda de un vaso arterial de mediano calibre con marcada permeación de la pared por un infiltrado inflamatorio predominantemente linfocitario, con necrosis fibrinoide asociada (Figura 3). Se solicita un análisis de sangre que incluye hemograma, estudio de la coagulación, panel de auto anticuerpos, serología y reactantes de fase aguda. Sin alteraciones en el estudio complementario, con anticuerpos anti-VHC y anti-HBs negativos y con la correlación clínico-patológica, se diagnostica a la paciente de arteritis macular.
A. HE, 2x: A pequeño aumento se observa un fragmento cutáneo en el que destaca la presencia en dermis profunda de un vaso sanguíneo con infiltración linfocitaria (estrella). B. HE, 20x: A mayor aumento se trata de un vaso arterial de mediano calibre. El infiltrado permea de forma marcada la pared y se observa depósito de material fibrinoide de forma concéntrica (flecha) a la luz del mismo.
Se pauta tratamiento por 15 días con prednisona oral en régimen descendente (30mg/día durante 5 días, 20mg/día durante 5 días y 10mg/día durante 5 días) con remisión completa de las lesiones.
DiscusiónLa ATL/AM es una arteritis linfocítica de vasos arteriales de mediano y pequeño calibre. Es más frecuente en las mujeres de mediana edad, se presenta con máculas hiperpigmentadas, a menudo con una configuración reticular en extremidades inferiores3. Histopatológicamente, se caracteriza por una vasculitis linfocitaria de las arteriolas de la unión dermo-hipodérmica que puede afectar al tejido celular subcutánea en su parte más superficial, pero no en su totalidad, diferenciándolo de otras paniculitis. El vaso arterial afectado suele presentar edema endotelial, estenosis de la luz y agregado concéntrico de fibrina en la luz3.
Desde su descripción inicial en 2003, ha permanecido como una entidad enigmática, dando lugar a controversias en cuanto a si debería ser considerada como una entidad clínico-patológica distinta o como parte de un espectro de vasculitis de tamaño intermedio3,4. Algunos autores apoyan que la ATL/AM y la poliarteritis nudosa cutánea (PANc) forman parte de un espectro clínico continuo. Por este motivo, es importante realizar la biopsia cutánea en la lesión más reciente, pues dichos investigadores sugieren que la ATL/AM sería la forma crónica, indolente y reparativa de la PANc. A favor de esta hipótesis, encontramos que la PANc se presenta como lesiones nodulares, úlceras y livedo reticular. Por su parte, la ATL/AM puede presentarse como livedo racemosa, lesiones infiltradas y algunas lesiones ulceradas5. No obstante, en estudios a largo plazo de la ATL/AM no se ha observado en ningún caso progresión a clínica sistémica y en muchos casos se ha descrito remisión completa de las lesiones5.
Desde el punto de vista histopatológico también se han observado semejanzas entre la PANc con la ATL/AM2. La PANc tiene una fase aguda donde destaca un infiltrado neutrofílico y una fase subaguda y reparativa donde predomina un infiltrado linfohistiocitario, característica que comparte con la ATL/AM5. Debido a esto, algunos autores defienden que la ATL/AM es realmente una PANc que ha sido biopsiada en su fase reparativa y no en su fase aguda. No obstante, en la ATL/AM nunca se ha reportado en ninguna de las biopsias un infiltrado neutrofílico. Además, en la ATL/AM se conserva la lámina elástica vascular5.
De igual manera, hay que tener en cuenta la fisiopatología. El depósito de inmunocomplejos supone un elemento muy importante en la fisiopatología de la PANc5. Asimismo, se ha descrito como desencadenante la infección por virus de la hepatitis B y por virus de la inmunodeficiencia humana4. En la ATL/AM no se describe en el mecanismo patogénico de la enfermedad el depósito de inmunocomplejos, ni se han documentado como desencadenantes los virus citados5.
Por último, respecto al abordaje de la ATL/AM existen distintas opciones empezando por el absentismo terapéutico. En cuanto a los tratamientos, pueden usarse agentes antiplaquetarios como la aspirina o el clopidogrel5. Se puede considerar el uso de calcioantagonistas como el nifedipino, e incluso anticoagulantes como la warfarina5. Otra opción es el uso de corticoides tópicos en oclusión, no obstante, en contra de nuestra experiencia, algunos autores no están a favor del tratamiento con prednisona, pues a dosis bajas no es eficaz y a dosis altas no debería usarse para una enfermedad de curso crónico e indolente con posible resolución espontánea5. La colchicina y la dapsona tampoco se contemplan como opciones terapéuticas pues el infiltrado neutrofílico es muy pobre5.
ConclusiónEn conclusión, compartimos el caso de una paciente joven con arteritis macular. La excepcionalidad de esta enfermedad, combinada con la necesidad de diferenciarla de afecciones más agresivas con impacto sistémico, enfatizan la importancia de conocerla a modo de mejorar su diagnóstico y tratamiento.
Declaración de confitos de intereses:Los autores declaran no tener conflictos de interés
FinanciaciónEste artículo no ha percibido ningún tipo de financiación procedente de entidades públicas ni privadas, así como tampoco comerciales.
Consideraciones éticasPara el presente caso clínico, se ha contado con el consentimiento del paciente, así como también se han seguido los protocolos del hospital sobre tratamiento de la información de los pacientes.




