La actinomicosis es una infección bacteriana granulomatosa crónica producida por la especie Actinomyces que habitualmente se manifiesta como infecciones cérvico-faciales, toraco-abdominales y pélvicas, siendo esta última la menos frecuente. Existe una fuerte asociación entre el uso de dispositivos intrauterinos (DIU) de larga data con el desarrollo de esta infección, que se caracteriza por la formación de abscesos de lento crecimiento que pueden alcanzar grandes dimensiones generando un cuadro clínico larvado y poco específico.
Debido a lo anterior, el diagnóstico suele ser tardío impactando en el desarrollo de complicaciones asociadas. El tratamiento antibiótico habitualmente es prolongado y en algunas ocasiones se requiere de intervenciones quirúrgicas.
Se presenta el caso de una paciente portadora de DIU, que luego de un cuadro de varios meses de síntomas y múltiples consultas ambulatorias se hospitaliza con diagnóstico de actinomicosis pélvica. Evoluciona en forma favorable y se propone un tratamiento antibiótico más abreviado apoyado en un seguimiento clínico ambulatorio riguroso.
Actinomycosis is a chronic granulomatous bacterial infection caused by the Actinomyces species which frequently manifests as cervicofacial, thoracoabdominal or pelvic infections, the latter being the least frequent. There is a strong association between long term intrauterine device (IUD) use and the development of this infection.
It is characterized by the formation of slow-growing abscesses that can reach large dimensions, generating an insidious and non-specific clinical presentation.
Due to the above, the diagnosis is commonly late with a direct impact on the associated complications. Antibiotic treatment is usually prolonged and surgical interventions are sometimes required. We present the case of an IUD using patient who, after several months of symptoms, was hospitalized with the diagnosis of pelvic actinomycosis. The patient evolves favorably with abbreviated antibiotic treatments and outpatient clinical follow-up.
La actinomicosis es una infección bacteriana granulomatosa crónica producida por Actinomyces; bacilos Gram positivos, anaerobios no esporulados. Este microorganismo coloniza normalmente la orofaringe, tracto gastrointestinal y el canal vaginal, por tanto, la actinomicosis suele manifestarse con mayor frecuencia en las regiones cérvico-facial (60%), toraco-abdominal (35%) y pélvica1. Existen al menos 30 especies que afectan al ser humano, siendo Actinomyces israelii el más frecuente2.
La evolución de esta infección se caracteriza por la formación de abscesos granulomatosos supurativos de lento crecimiento que pueden alcanzar grandes dimensiones. El diagnóstico suele ser tardío debido a lo inespecífico de los síntomas, pudiendo confundirse con otras entidades como tuberculosis y neoplasias pélvicas2.
El manejo depende de la severidad de la infección y de las complicaciones asociadas, pero habitualmente requiere de un tratamiento antibiótico prolongado y en alta dosis para erradicar la infección siendo necesario, en algunos casos, una intervención quirúrgica.
Se presenta el caso de una paciente de 69 años, portadora de dispositivo intrauterino (DIU) de larga data, que posterior a síntomas inespecíficos de meses de evolución es hospitalizada bajo sospecha de una neoplasia abdominal. En el estudio por imágenes se identifica una gran masa uterina con extensión anexial compatible con actinomicosis pélvica. Además de la relevancia en torno al diagnóstico diferencial de este caso, el seguimiento clínico estrecho e imagenológico permitió realizar un tratamiento más acotado y efectivo.
Este trabajo tiene por finalidad destacar la presentación clínica de la actinomicosis pélvica, dando énfasis en la importancia de la sospecha clínica debido a lo inespecífico y larvado de sus síntomas. Además, se propone un tratamiento más abreviado respecto de lo señalado en la literatura, fundamentado en el seguimiento médico.
Caso clínicoMujer de 69 años, con antecedentes de hipertensión arterial, asma, hipotiroidismo y un nódulo pulmonar.
Luego de varias consultas médicas es derivada a endocrinología por cuadro de 3 meses de evolución caracterizado por astenia, anorexia, molestias abdominales intermitentes y baja de peso de aproximadamente 10 kilos. En los exámenes de laboratorio destaca; anemia moderada normocítica; Hb 9,6g/dl [valor normal: 12–16g/dl], leucocitosis de 20 900 células/μl [valor normal: 4 500–11 000 células/μl] con predominio de neutrófilos (80%), trombocitosis; 444 000 células/μl [valor normal: 140 000– 400 000 células/μl] y velocidad de eritrosedimentación (VHS) de 113mm/h [valor normal 1-29mm/h en mujeres >50 años].
Es derivada a urgencias con sospecha de neoplasia abdominal, ingresando en buenas condiciones, con signos vitales normales. En el examen físico destaca mucosas pálidas, soplo sistólico aórtico y leve dolor a la palpación en flanco izquierdo.
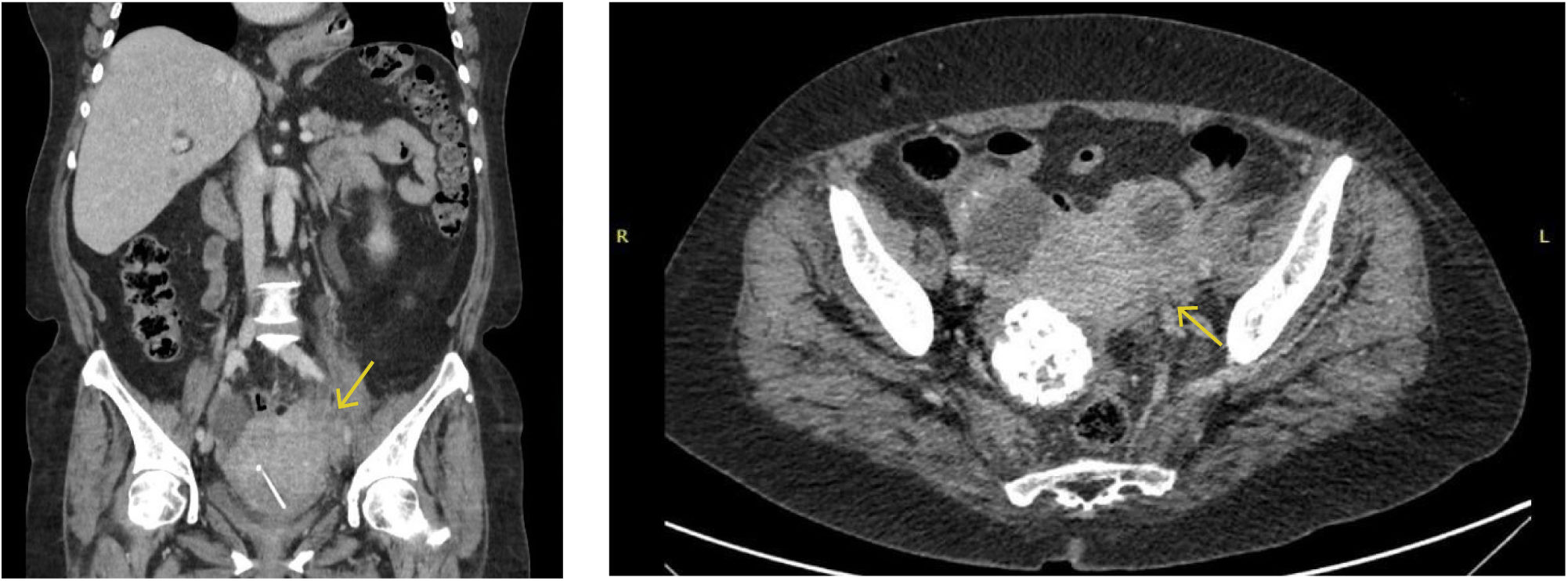
Se complementa el estudio con una tomografía de tórax abdomen y pelvis, que evidencia un gran aumento de volumen uterino con extensión anexial izquierda con áreas quísticas de abscedación, hallazgos que concluyen como compatibles con actinomicosis pélvica, con evidencia además de un DIU (Figura 1).
Tomografía computada de abdomen y pelvis. Corte coronal (a) y corte axial (b). Aumento de volumen masiforme del útero con extensión al anexo izquierdo con múltiples imágenes quísticas con paredes engrosadas, algunas sugerentes de abscedación, con aumento de densidad del tejido adiposo de aspecto inflamatorio infeccioso. Al interior de masa se observa DIU.
La paciente es evaluada por ginecología para retiro del DIU y realización de estudio citológico mediante Papanicolaou (PAP) que confirma la presencia de Actinomyces.
Se inicia terapia antibiótica con penicilina sódica en alta dosis con evolución clínica favorable y disminución de parámetros inflamatorios, desestimándose la necesidad de intervención quirúrgica. Tras una semana de hospitalización es dada de alta para continuar con ceftriaxona en hospitalización domiciliaria. A los 15 días es evaluada por medicina interna evidenciando mejoría sintomática significativa asociado a aumento de hemoglobina y se decide cambio a amoxicilina oral 1 gramo cada 8 horas con controles mensuales.
A los 3 meses de tratamiento la paciente se encuentra asintomática, con normalización de los parámetros de laboratorio; hemoglobina en 12,4 gr/dl sin leucocitosis ni trombocitosis, proteína C reactiva <1,0mg/dl [valor normal <0,5mg/dl] y VHS 2,0mm/h, por lo que se suspende el tratamiento antibiótico y se solicita una resonancia magnética de abdomen que informa resolución del proceso inflamatorio pelviano. Finalmente, se realiza un último control a los siguientes 3 meses manteniéndose asintomática, sin sospecha de recidiva y con recuperación de su peso.
DiscusiónLa actinomicosis es una infección bacteriana producida por microorganismos pertenecientes al género Actinomyces. Generalmente tiene una progresión lenta e indolora. Dado que esta bacteria es residente de la flora orofaríngea, tracto gastrointestinal y genitourinario, es necesario que exista una transgresión de la mucosa para que se produzca la infección y enfermedad3.
La infección por Actinomyces se ubica dentro del grupo de las “grandes imitadoras” dado que su clínica es amplia e inespecífica, lo cual muchas veces dificulta su diagnóstico. Se suele producir posterior a apendicitis perforadas, perforaciones intestinales, diverticulitis complicadas, asociado a cuerpos extraños (por ejemplo, uso de DIU) o secundario a traumatismos3. Histológicamente se caracteriza por la formación de granulomas, abscesos y masas con abundante tejido fibroso que pueden extenderse a órganos adyacentes y dar origen a trayectos fistulosos.
La actinomicosis pélvica es una enfermedad rara, cuya prevalencia se desconoce dada su baja frecuencia4. Sin embargo, en los últimos años, la incidencia de actinomicosis pélvica femenina ha ido en aumento, lo que se relaciona directamente con el aumento de la colocación de DIU5. Es así como se ha visto en varios estudios, que cerca de un 80% de las mujeres con endometritis, salpingooforitis y abscesos por infección actinomicótica, son usuarias de DIU de más de 4 años6.
Los traumatismo y erosiones sobre el endotelio endometrial producidos por los DIU y el ambiente anaerobio que existe en la cavidad uterina son dos condiciones que facilitan la invasión por bacterias como Actinomyces2. Esto explica por qué las mujeres portadoras del DIU tienen hasta cuatro veces más riesgo de desarrollar un proceso inflamatorio pélvico, sobre todo después de 2 años de uso del dispositivo7.
Los síntomas más comunes de la actinomicosis pélvica son el dolor abdominal bajo, pérdida de peso y descarga vaginal anormal, la cual no siempre está presente como ocurrió en este caso. Hasta en un 60% de los casos los pacientes reportan fiebre intermitente. El tiempo de latencia desde el inicio de los síntomas hasta el diagnóstico suele ser de aproximadamente 2 meses4.
Los hallazgos de laboratorio más frecuentes corresponden a leucocitosis con neutrofilia, anemia normocítica normocrómica, elevación de la VHS y PCR al igual que del marcador tumoral CA-1258.
Con respecto a los estudios imagenológicos, estos no permiten establecer un diagnóstico categórico, sin embargo, suelen ser de gran utilidad, además de dar información sobre la ubicación, extensión y evolución de la patología. La resonancia magnética permitiría definir mejor las características de la lesión. Generalmente se observan masas quísticas o sólido-quísticas, tejido graso perilesional de aspecto heterogéneo, asociado en algunos casos a linfoadenopatías9.
El diagnóstico definitivo se realiza mediante cultivos, no obstante, no es una práctica de rutina dado que solo un 30-50% de los casos resultan positivos1. Lo más habitual de encontrar son microorganismos Gram positivos con presencia de gránulos azurófilos (conglomeraciones de Actinomyces) en las muestras de anatomía patológica. Cuando es factible de realizar, la biopsia de endometrio también es útil, permitiendo identificar los granulomas característicos. Otro método diagnóstico puede ser mediante citología, aunque solo la mitad de las mujeres presentan un PAP positivo para Actinomyces4.
El tratamiento intrahospitalario generalmente se realiza con penicilina (10 a 20 millones de unidades al día divididas en 4 o 6 dosis). De forma alternativa se puede utilizar ceftriaxona endovenosa. Si bien esta bacteria es muy sensible a β-lactámicos, la duración de los esquemas antibióticos es extensa, generalmente de 6 a 12 meses. Las intervenciones quirúrgicas se intentan evitar considerando la gran reacción inflamatoria local con formación de grandes masas que dificulta establecer planos quirúrgicos, con el consecuente riesgo de generar fístulas. Sin embargo, en algunos casos de mayor gravedad son necesarias10.
En relación con el caso expuesto queremos destacar el significativo retraso en el diagnóstico dado por la inespecificidad de los síntomas y de los hallazgos de laboratorio, sumado a la baja sospecha clínica. Sin embargo, pese al tiempo extendido de enfermedad y la gran masa abdominal con signos de abscedación, la evolución favorable solo con manejo médico desestimó la necesidad de drenaje quirúrgico.
Además, el seguimiento clínico estrecho permitió realizar un tratamiento antibiótico más acotado respecto de lo señalado en la literatura con el beneficio de disminuir la exposición a antibióticos y junto con ello los efectos adversos y costos.
Es importante señalar que la recidiva de esta infección es alta cuando no se realiza un tratamiento óptimo y en este caso la decisión de completar solo 3 meses de antibioterapia fue posible porque la paciente cumplía con ciertas características; favorable evolución clínica, buena tolerancia oral, adecuado entendimiento de indicaciones médicas, continuidad de los controles y buena red de apoyo en domicilio.
ConclusiónLa actinomicosis pélvica es una entidad clínica infrecuente, cuyas manifestaciones clínicas son amplias e inespecíficas, generando un retraso en la consulta y en el diagnóstico. Es fundamental mantener una alta sospecha clínica incluyendo esta entidad en el diagnóstico diferencial de dolor abdominal crónico o de síntomas constitucionales como anorexia, fatiga y baja de peso. Dentro de los diagnósticos diferenciales hay que considerar abscesos tubo-ováricos, enfermedad de Crohn, diverticulitis, endometriosis, neoplasias y tuberculosis.
Si bien el tratamiento depende de la presentación clínica y evolución, éste suele ser prolongado, sin embargo, es posible plantear esquemas más acotados en pacientes seleccionados y mientras se acompañe de un seguimiento adecuado.
Consideraciones éticasEste reporte de caso clínico se llevó a cabo de conformidad con el Código de Ética de la Declaración de Helsinki, resguardando la privacidad y confidencialidad de los datos del paciente y contando con el consentimiento informado del mismo.
Declaración de conflicto de interésLos autores declaran no tener conflictos de interés.


