In-Ceram Zirconia (Vita) es una cerámica infiltrada de vidrio con alúmina reforzada con un 33 % de óxido de zirconio estabilizado con óxido de cerio. Sobre la base de su resistencia a la flexión de más de 500 MPa, el fabricante recomienda la cementación con cementos convencionales.
El objetivo de este estudio fue evaluar el resultado clínico de las prótesis dentales fijas (PDF) de tres unidades posteriores retenidas mediante coronas y fabricadas con In-Ceram Zirconia. La hipótesis nula fue que la tasa de supervivencia de estas PDF no difiere de otras calculadas en un metanálisis de PDF de metal-cerámica1.
Materiales y métodos
Se colocaron 65 PDF en 58 pacientes (36 mujeres, 22 hombres; promedio de edad: 46,8 ± 12,7 años). Las PDF se utilizaron para sustituir un segundo premolar (n = 12) o un primer molar (n = 53). Según las instrucciones del fabricante, el tamaño del conector proximal fue de 12 o 16 mm2 para el premolar y el molar, respectivamente. A pesar de las dimensiones de estos conectores, pudo asegurarse la accesibilidad de los cepillos interdentarios para la higiene oral. La altura mínima del pilar fue de 3 mm y se preparó con un hombro redondo o chámfer de 1,0 mm de ancho y un ángulo cónico de unos 12 grados. Todas las restauraciones se fabricaron como PDF de tres unidades. No se incluyeron PDF en cantiléver. Los armazones se fabricaron utilizando el sistema Cerec 3 de fabricación/diseño asistido por computadora (Sirona). El grosor mínimo del armazón fue de 1,0 mm en dirección oclusal y 0,7 mm en la pared vertical de la corona. Todas las PDF se cementaron con cemento ionómero de vidrio tras arenar con aire las superficies de retención interna con partículas de alúmina de 50 mm a una presión de 0,25 MPa. Se evaluaron las complicaciones técnicas y biológicas durante el seguimiento anual. Se calcularon las tasas de supervivencia acumulativa utilizando el método no paramétrico de Kaplan-Meier y se utilizó la estadística descriptiva para evaluar el resultado clínico.
Resultados
El tiempo de observación promedio fue de 54,4 meses (intervalo: 24,0 a 67,5 meses). Un paciente no se presentó a las visitas de seguimiento y se excluyeron los datos correspondientes. Las complicaciones se clasificaron como técnicas o biológicas2. Todos los tipos de complicaciones que no alteraron la función de la restauración fueron definidos como éxito parcial.
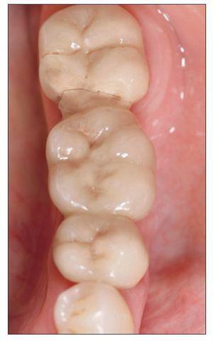
La tabla 1 muestra información detallada de la pérdida de restauraciones (fracaso total) y complicaciones (éxito parcial) que se produjeron. Una PDF fracturada en el conector distal (figura 1) y una PDF tuvieron que retirarse a causa de una caries. El análisis de Kaplan-Meier demuestra la supervivencia acumulativa de las PDF (figura 2). La tasa de supervivencia calculada de las PDF después de 60 meses fue del 96,8 %.
Figura 1 (izquierda) PDF que se fracturó en el conector distal tras 24 meses de funcionamiento (paciente 1 de la tabla 1). Faltan piezas de las carillas de cerámica.
Figura 2 Análisis de Kaplan-Meier que demuestra la supervivencia acumulativa de las PDF considerando las pérdidas como fracaso total.
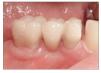
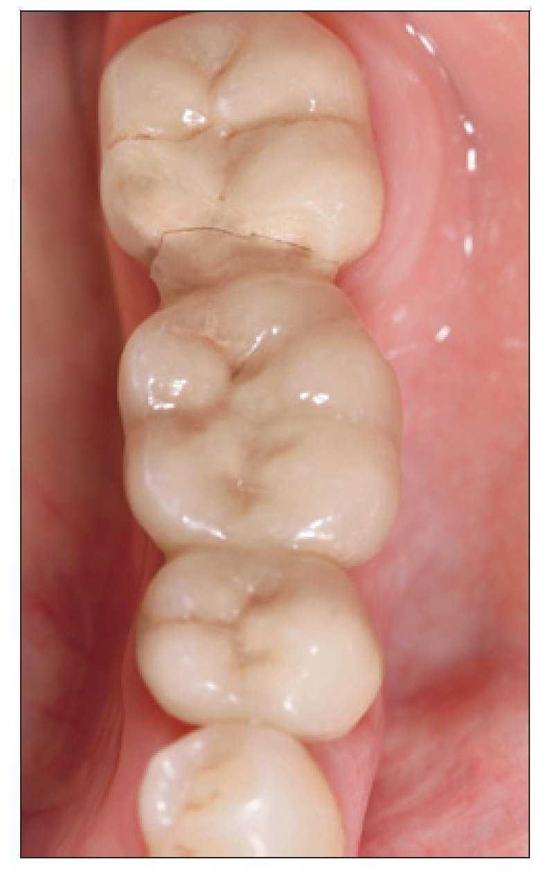
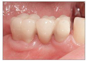
En general se produjeron 10 complicaciones biológicas y técnicas (15,6 %), que no provocaron la pérdida de ninguna restauración. En 2 casos (3,1 %) se produjo una pérdida de retención y las PDF se recementaron. En 4 casos (6,3 %) se produjo la fractura de la carilla de cerámica. En todos los casos resultó expuesta la superficie del armazón (figura 3). En 2 casos (3,1 %) fue necesario un tratamiento endodóncico. Se detectaron caries secundarias en 2 casos adicionales.
Figura 3 Ejemplo de una PDF en la que la carilla de cerámica se fracturó a los 33 meses de funcionamiento y el armazón resultó expuesto (paciente 6 de la tabla 1). La PDF se reparó con una carilla de cerámica glaseada unida con resina.
Discusión
En relación a la pérdida de una restauración, una revisión sistemática reciente1 que comparó PDF totalmente cerámicas y metal-cerámicas obtuvo una tasa de supervivencia a 5 años del 88,6 % para las PDF totalmente cerámicas en comparación con el 94,4 % de las PDF de metal-cerámica. Por tanto, la tasa de supervivencia a 5 años del 96,8 % calculada en este estudio es compatible con la de las PDF metal-cerámicas. Con respecto al fracaso total de los armazones, los resultados muestran que la sustitución de las piezas posteriores unitarias con PDF de In-Ceram Zirconia no supone un riesgo significativo.
Cuatro PDF (6,3 %) presentaron una fractura de la carilla de cerámica con exposición del material del armazón, que requirió una reparación. Ninguna de ellas, no obstante, alteró el funcionamiento de las PDF. Desgraciadamente en ninguno de los estudios sobre las PDF de In-Ceram se notificaron o evaluaron el descascarillado o la fractura de las carillas de cerámica3-5. Por tanto, no fue posible la comparación con los datos actuales. La ausencia de apoyo de las carillas de cerámica por parte del armazón podría explicar la fractura de la cerámica pulida en estos casos1. La tasa de complicaciones como caries (3,1 %), descementado (3,1 %) y pérdida de vitalidad (2,3 %) de este estudio es comparable con la obtenida en otros1.
Conclusión
Las prótesis dentales fijas de 3 unidades fabricadas con In-Ceram Zirconia mediante el uso del sistema de fabricación/diseño asistido por ordenador Cerec 3 parece ser una alternativa terapéutica viable para todas las PDF posteriores totalmente cerámicas.
Correspondencia: Prof Dr Matthias Kern,
Department of Prosthodontics, Propaedeutics, and Dental Materials, School of Dentistry, Christian-Albrechts University at Kiel, Arnold-Heller Strasse 16, 24105 Kiel, Germany.
Fax: +49-431-597-2860.
e-mail: mkern@proth.uni-kiel.de





