Se presenta un caso de miopericitoma, tumor benigno de extraordinaria rareza, localizado en la punta de un dedo de la mano de una mujer de 66años de edad. El diagnóstico se efectuó tras su exéresis mediante el estudio histológico de la lesión, pues la RM no fue concluyente. Sin embargo, la resección quirúrgica constituye el tratamiento de elección, pues la recidiva local o su malignización son prácticamente inexistentes.
A case is reported of a myopericytoma, an extremely rare benign tumour, located at the tip of the finger of a 66-year-old woman. The diagnosis was made after the histological study, as the MRI was inconclusive. Surgical resection is the treatment of choice, and local recurrence or malignant transformation is practically non-existent.
Los miopericitomas son neoplasias benignas que derivan de las células mioides perivasculares o miopericitos. Suelen observarse más frecuentemente en las extremidades inferiores, tanto en dermis como en tejido subcutáneo1, y se presentan típicamente como una lesión bien circunscrita, indolora y de crecimiento lento2.
En el presente trabajo se presenta un nuevo caso de miopericitoma, localizado en el pulpejo del dedo meñique de una mujer de 66años. A partir del mismo se realiza una extensa revisión de esta particular lesión, especialmente en lo que se refiere al diagnóstico y tratamiento a seguir.
Caso clínicoMujer de 66años de edad, con antecedentes de artrosis interfalángicas en ambas manos de años de evolución, que consulta en una de sus visitas la presencia de una tumoración en el pulpejo del dedo meñique de la mano derecha de un mes de evolución. Niega antecedente traumático.
La exploración física revela una tumoración de 3×3mm, de consistencia dura y de localización subcutánea. Asimismo, la mínima presión sobre ella provoca dolor.
El estudio con RM objetiva un nódulo en el pulpejo del meñique, a la altura de la porción central de la falange distal y sin aparente relación con la articulación interfalángica. Se muestra bien delimitado y de 4mm de diámetro. Destaca la hiperintensidad de señal en las secuencias potenciadas en T2, sugiriendo el diagnóstico de tumor glómico (fig. 1).
Estudio RM de la lesión. Arriba: cortes axiales, secuencias T1 TSE y T2 SPAIR, respectivamente. Abajo: cortes coronales, secuencias T1 TSE. Se observa un nódulo situado en el pulpejo del dedo, a la altura de la porción central de la falange distal y sin aparente relación con la articulación interfalángica. Este nódulo está bien delimitado y mide 3mm de diámetro.
Dada la benignidad del proceso y la leve sintomatología dolorosa, la paciente decidió no intervenirse hasta 28meses después. En este momento, la exploración se mantenía sin cambios respecto a la descrita previamente.
Bajo anestesia local troncular y con isquemia en la base, se realizó un abordaje anterior de la tumoración mediante una incisión longitudinal sobre el pulpejo. Después de disecar el tejido celular subcutáneo, apareció una tumoración nodular, bien encapsulada y de color violáceo que no estaba adherida a la falange. A continuación se procedió a su exéresis, remitiendo la tumoración al departamento de anatomía patológica para su estudio microscópico.
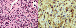
La evolución postoperatoria cursó sin complicaciones y a los 12días se retiraron los puntos de sutura. El estudio histológico de la lesión mostró la presencia de un miopericitoma, apoyando dicho diagnóstico la tinción positiva para h-Caldesmon (fig. 2).
La paciente fue seguida clínicamente durante un año, sin que hasta el presente se haya producido la recidiva de la lesión.
DiscusiónLos miopericitomas fueron descritos por vez primera por Granter et al.1 en 1998. Se trata de una neoplasia benigna perivascular poco común derivada de los miopericitos o células mioides perivasculares2. Aunque no se sabe la causa de producción, se han descrito algunos casos de miopericitoma asociados a traumatismos3.
Se suelen presentar como una masa nodular bien circunscrita de menos de 2cm, de crecimiento lento, solitaria (a pesar de que se han descrito formas multifocales) e indolora4. Suelen situarse en dermis o en tejido subcutáneo2. En nuestra paciente no se cumplió estrictamente la clínica descrita, ya que se quejaba sobre todo de dolor, lo que nos sugirió que podría tratarse de un tumor glómico. Al respecto, el único caso de miopericitoma descrito en la bibliografía con afectación de un dedo de la mano también presentaba clínica dolorosa5; probablemente este hecho pueda ser debido a la localización de la lesión en una zona de gran sensibilidad como es la cara palmar del dedo, en especial el pulpejo.
Estas lesiones habitualmente se producen en adultos de edad media y en las extremidades inferiores, aunque pueden surgir en cualquier localización2. Tras una búsqueda exhaustiva solo hemos encontrado en la bibliografía indexada en español e inglés otros 4 casos de miopericitomas localizados en la mano5-8.
Por lo que respecta al estudio con RM y/o ecografía preoperatorias, constituyen pruebas muy poco sensibles e incluso de interpretación errónea, como fue en nuestro caso9. El diagnóstico definitivo se efectúa por el estudio histológico del espécimen obtenido tras su exéresis7. Nuestro caso coincide plenamente con este hecho, ya que la RM preoperatoria diagnosticó la lesión de tumor glómico.
En cuanto al estudio histopatológico de los miopericitomas, es característica la presencia de células de aspecto mioide, sin atipia ni actividad mitótica, y con tendencia a la disposición perivascular concéntrica. La inmunohistoquímica muestra positividad para actina de músculo liso y h-Caldesmon, y usualmente negatividad para desmina10. Los hallazgos histológicos descritos y la expresión inmunohistoquímica para h-Caldesmon se encontraban también en el examen anatomopatológico de la pieza extraída en nuestra paciente.
El diagnóstico diferencial debe realizarse con el angioleiomioma y con el tumor glómico3. Existe una variante maligna de miopericitoma y otra variante intravascular4. Los casos recidivantes o malignos de miopericitomas son prácticamente inexistentes, incluso cuando su resección es marginal o incompleta7.
La resección quirúrgica constituye el tratamiento de elección, mostrando resultados excelentes con bajo índice de recidiva local6,10.
Conflicto de interesesLos autores declaran no tener ningún conflicto de intereses.










