Introducción
La osteoartropatía hipertrófica (OH) es una entidad clínica que se incluye dentro de la lista de síndromes paraneoplásicos, pues es frecuente su asociación con diversas neoplasias, en especial el carcinoma pulmonar1-3. Desde el punto de vista clínico, el cuadro se caracteriza por la presencia de una deformidad de la parte distal de las extremidades conocida como dedos hipocráticos o en palillo de tambor, asociada a la proliferación del periostio de los huesos tubulares. En algunas ocasiones, la OH asociada al carcinoma pulmonar puede formar parte de un síndrome paraneoplásico múltiple, que cuando se asocia a las manifestaciones clínicas propias de las metástasis tumorales da lugar a un cuadro clínico muy florido en el que es difícil diferenciar la sintomatología paraneoplásica de la propiamente tu moral. Presentamos un caso de adenocarcinoma pulmonar metastásico y síndrome paraneoplásico múltiple constituido por una OH, una crioglobulinemia mixta policlonal y una polineuropatía axonal.
Observación clínica
Varón de 63 años, fumador de 40 cigarrillos al día, sin antecedentes médicos de interés y con antecedentes familiares de neoplasia de colon en los padres y un hermano. El paciente acudió a la consulta de reumatología por un cuadro de 4-5 meses de evolución caracterizado por dolor y tumefacción simétrica de hombros, codos, carpos, rodillas, tobillos y pequeñas articulaciones de las manos, sugestivo de una poliartritis inflamatoria de inicio. El dolor osteoarticular era de predominio nocturno y se había incrementado en los últimos meses a pesar del tratamiento instaurado con AINE y bajas dosis de corticoides (10 mg de prednisona). El paciente refería también una pérdida de fuerza en las manos, con dificultad de cierre de las mismas y mialgias generalizadas. En las últimas semanas se había añadido tos escasamente productiva que no se acompañaba de disnea ni dolor torácico. Desde el inicio del cuadro el paciente refería una pérdida de peso que se cuantificó en aproximadamente 7 kg. En la exploración física destacaba un paciente eupneico, con un aparente buen estado general y de nutrición, y sin adenopatías palpables en las cadenas accesibles. En la auscultación cardiopulmonar presentaba roncus inspiratorios y espiratorios en el hemitórax derecho y tonos rítmicos a 90 por minuto. En el abdomen no se palpaban organomegalias.
En la exploración osteoarticular llamaba la atención el ensanchamiento del extremo distal de las cuatro extremidades, más significativo en las manos, que se acompañaba de un intenso dolor óseo, lo que fue interpretado clínicamente como una acropaquia dolorosa (fig. 1). Se constató la presencia de dolor y tumefacción de grandes y pequeñas articulaciones en hombros, codos, muñecas, varias metacarpofalángicas y rodillas con un derrame articular importante. Se practicó una artrocentesis evacuadora de la rodilla derecha que dio salida a 25 ml de líquido sinovial de características no inflamatorias, cultivo negativo y ausencia de cristales.
Figura 1. Imagen de las manos del paciente donde se aprecia la tumefacción de las metacarpofalángicas segunda y tercera y de las interfalángicas proximales, así como la típica acropaquia y uñas en vidrio de reloj de la OH.
En la analítica general de sangre y orina destacaba una anemia microcítica con una Hb de 10,1 g/dl y un VCM de 74,8 fl, una VSG de 97 mmHg/h y una PCR elevada de 17,80 mg/dl. Destacaba también la presencia de una crioglobulinemia mixta policlonal IgG e IgM, con una inmunoelectroforesis en suero y orina en la que no se evidenciaba ninguna ban-da monoclonal. El estudio inmunológico demostró unos inmunocomplejos circulantes elevados, así como anticuerpos antinucleares, factor reumatoide y enzima conversiva de la angiotensina negativos. El HLA fue inespecífico. Se determinaron diferentes serologías para VHB, VHC, VEB, CMV, Borrelia, Brucella, Yersinia y Legionella, que resultaron todas negativas. Se practicó una baciloscopia que fue también negativa.
La radiografía de tórax puso de manifiesto un nódulo de alta densidad en la base pulmonar izquierda, una imagen nodular de límites bien definidos en la perifería del pulmón izquierdo, un engrosamiento hiliar derecho, un discreto derrame pleural derecho y un ensanchamiento mediastínico. Se practicó una TC torácica que puso de manifiesto la presencia de una masa parahiliar inferior derecha que ocupaba el receso pleuroacigoesofágico, compatible con carcinoma de pulmón. Como confirmación diagnóstica y evaluación de las posibilidades terapéuticas según la histología del tumor, se realizó una biopsia pulmonar, con el resultado anatomopatológico de carcinoma muy indiferenciado de células grandes.
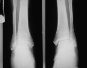
En el estudio completo de extensión, la radiología ósea demostró una evidente reacción perióstica bilateral en tibias, peronés y fémures, junto con unas imágenes densas sugestivas de metástasis óseas en ambos fémures (fig. 2). Un electromiograma practicado demostró la presencia de una típica polineuropatía axonal con potenciales de baja amplitud, tanto motores como sensitivos. Finalmente, la gammagrafía ósea con tecnecio-99m puso de manifiesto un aumento de captación poliarticular, así como lineal, en los huesos largos, más evidente en la diáfisis del fémur izquierdo, dando la típica imagen en "doble raíl" de las periostitis. En la gammagra-fía destacaba también la presencia de intensos focos de captación en el húmero y el radio derechos, ambos fémures y tibias, sugestivos de metástasis óseas concomitantes (fig. 3).
Figura 2. Radiografía anteroposterior de tibias y peronés donde puede observarse una reacción perióstica bilateral y un engrosamiento de la cortical.
Figura 3. Gammagrafía ósea que pone de manifiesto la presencia de una captación poliarticular, junto con un aumento de captación lineal en los huesos largos, más evidente en la diáfisis del fémur izquierdo, dando la típica imagen en "doble raíl" de las periostitis que pueden observarse en el curso de una OH. En esta gammagrafia se observan, además, focos de intensa captación en el húmero y el radio derechos, ambos fémures y tibias, muy sugestivos de metástasis óseas en esta localización.
Con el diagnóstico de carcinoma pulmonar indiferenciado de células grandes estadio IV, con sín-drome paraneoplásico múltiple asociado (OH, criglobulinemia mixta policlonal y polineuropatía axonal) fue valorado por el comité de tumores, desestimándose cualquier tipo de tratamiento curativo dado el avanzado estadio tumoral. El paciente requirió analgesia mayor para controlar el intenso dolor que presentaba y la evolución fue rápida, falleciendo a los 2 meses del diagnóstico.
Discusión
La OH es un síndrome clínico en el que se desarrolla una periostitis crónica proliferativa de huesos largos, una deformación de los dedos de las manos y de los pies en palillo de tambor (dedos hipocráticos) y una sinovitis oligo o poliarticular4. Clásicamente, se distinguen dos tipos de OH: una forma primaria, de carácter familiar autosómica dominante, denominada síndrome de Touraine-Solente-Golé, y otra secundaria, la más frecuente, que se asocia fundamentalmente a procesos intratorácicos. La forma secundaria se clasifica, a la vez, según su etiología en: pulmonar, pleural, cardiovascular y gastrointestinal. En la forma pulmonar el carcinoma pulmonar es, entre otras numerosas causas, una de las etiologías más frecuentes1-3.
En este trabajo presentamos un caso de un paciente con una sintomatología típica de OH como manifestación clínica de una neoplasia oculta (carcioma pulmonar). En este caso es interesante destacar la radiología y, de forma especial, la gammagrafía ósea que permitieron establecer el diagnóstico de OH y las metástasis óseas concomitantes, al demostrar junto a los signos característicos de la OH, la presencia de imágenes muy sugestivas de metástasis óseas (figs. 2 y 3)5-7.
Revisando la bibliografía, entre los síndromes paraneoplásicos más frecuentes que se presentan con manifestaciones osteomusculares, destacan diversas conectivopatías, como vasculitis, síndromes esclerodermiformes y lupoides, entre otros muchos, y de forma muy especial la dermatopolimiositis de inicio en el adulto y la OH, entidades cuya presencia obliga a descartar una neoplasia oculta8-17. Desde el punto de vista clínico, lo más destacable de nuestro caso fue el cuadro osteoarticular con que se presentó el paciente, que sugería una poliartritis inflamatoria de inicio. El estudio del líquido sinovial (líquido no inflamatorio), junto con el patrón de dolor y deformidad ósea, permitió establecer el diagnóstico de OH. La presencia de derrames sinoviales no inflamatorios, si bien es característico de la OH, resulta también frecuente en otros numerosos casos de artritis asociado a neoplasia18. Los mecanismos de lesión articular producidos por una neoplasia no se conocen con certeza. Se han sugerido diversos factores humorales y celulares (se han detectado citocinas producidas por las células tumorales y la presencia de inmunocomplejos circulantes en diversos tumores). Hay especulaciones con ciertos mecanismos patogénicos que alteran la inmunidad en el huésped genéticamente predispuesto. Finalmente, se han implicado incluso diversos factores neurovasculares. En este sentido, las enfermedades que con mayor frecuencia se asocian a OH se localizan en territorio inervado por el vago, detectándose mejoría de los síntomas tras la vagotomía, si bien la desaparición de la síntomatología osteoarticular sólo está descrita tras la erradicación de la neoplasia19.
Las artritis paraneoplásicas son, en general, entidades raras, pero su presencia es un auténtico reto diagnóstico para los reumatólogos. Ante la sospecha clínica, el médico deberá investigar y valorar los factores de riesgo de neoplasia del paciente (antecedentes familiares y personales de neoplasia, exposición a agentes carcinógenos o tratamientos inmunosupresores, la presencia de una enfermedad reumática de larga evolución...), la resistencia del cuadro articular al tratamiento con antiinflamatorios y corticoides y, de forma muy especial, la presencia de otra sintomatología clínica paraneoplásica acompañante8,9,20,21. En nuestro caso el cuadro osteomuscular se acompañaba de una crioglobulinemia mixta policlonal y una polineuropatía axonal. La crioglobulinemia es una disproteinemia que con frecuencia se asocia a neoplasia. Entre sus manifestaciones clínicas se encuentra hasta en un 5% de casos la presencia de neuropatías periféricas, entre las que se incluye las polineuropatías axonales22. La presencia de neuropatía periférica, sin embargo, también puede observarse de forma aislada como entidad paraneoplásica, si bien su frecuencia es escasa y su prevalencia no ha sido establecida.
En resumen, presentamos el caso de un paciente con una OH en el contexto de un síndrome paraneoplásico múltiple, asociado con un carcinoma pulmonar indiferenciado de células grandes con metástasis óseas. Destacamos y discutimos de forma especial el patrón poliarticular de presentación y la imagen gammagráfica suma de las imágenes típicas de la OH y las metástasis óseas.
Correspondencia: Dr. A. Urruticoechea Arana. Gutiérrez Mellado, 19, 9.o izqda. 50009 Zaragoza. España. Correo electrónico: anboliv@yahoo.es
Manuscrito recibido el 12-09-2001 y aceptado el 18-06-2002.




