En el artículo titulado «Estudio de la morbilidad y la expresión clínica de la artritis reumatoide en España (EMECAR)» (Rev Esp Reumatol 2004;31[4]:179-83), hemos advertido un error en cuanto al hospital al que pertenecían algunos participantes del estudio EMECAR. En concreto, los Dres. F.J. Manero, A. Pecondón, B. Audera, E. Giménez Úbeda y M. Medrano pertenecen al HOSPITAL UNIVERSITARIO MIGUEL SERVET de Zaragoza.
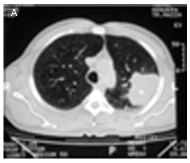
En el artículo titulado "Osteoartropatía hipertrófica secundaria a neoplasia broncogénica" (REV ESP REUMATOL 2004;31[7]:442-4) la figura 2A que aparece publicada no es correcta. Debería haberse publicado la que se representa a continuación.


