Introducción
El pie normal es aquel en cuyo fotopodograma A-A' es igual a 2 B-B' (fig. 1). El ángulo de Moreau-Costa-Bartani tiene unos valores de 120-130o y el ángulo astragalocalcáneo (ángulo de Kite) de 15-20o en las proyecciones radiográficas de perfil y dorsoplantar, respectivamente (fig. 2). Los arcos longitudinales del pie van decreciendo progresivamente de 18 a 25o para el primer radio hasta 5o para el quinto radio (fig. 3). En el pie cavo y plano todos estos pará metros están alterados. Aun así, pequeñas alteraciones en estos grados, en ausencia de sintomatología, no pueden considerarse patológicas.
Figura 1. Pie normal: medidas en el fotopodograma.
Figura 2. Pie normal: ángulo de Moreau-Costa-Bartani y ángulo astragalocalcáneo.
Figura 3. Pie normal: medidas del arco longitudinal.
Pie cavo
Es el pie con un aumento en altitud y amplitud del arco longitudinal. Por ello el retro y antepié están más próximos, y está muy disminuido su borde de apoyo externo. Habitualmente es asintomático pero puede ocasionar malestar, entorsis de repetición del pie o tobillo y cansancio de los pies.
Etiología
En presencia de un pie cavo debemos pensar en una enfermedad neurológica, por desequilibrio muscular paralítico o espástico1. Existen también el pie cavo idiopático, el pie cavo hipertónico en deportistas o bailarinas, el pie cavo congénito (muy raro, en pie zambo residual, artrogriposis) y el secundario a traumatismos (cicatrices retráctiles, fracturas, síndrome compartimental). Las neuropatías hereditarias sensitivomotoras (enfermedad de Charcot-Marie-Tooth) y las atrofias musculares espinales distales son las afecciones neuromusculares que causan con mayor frecuencia un pie cavo, alteración que también se presenta en enfermedades neurológicas de diversa etiología, como la ataxia de Friedreich, la poliomielitis, la parálisis cerebral o las distrofias musculares.
Clasificación
Según su posición en el plano sagital, el pie cavo puede ser anterior, posterior o mixto1. El pie cavo anterior es la forma más frecuente. En este pie el desequilibrio entre los músculos que traccionan el pie tiende a verticalizar los metatarsianos, principalmente el primero, lo que hace que sus cabezas se hallen marcadamente descendidas con referencia al talón. Esta desnivelación se observa en el pie de perfil y sin apoyar, y el plano en que se hallan las cabezas de los metatarsianos es inferior con relación al del talón (fig. 4). Los dedos están en garra, con la primera falange en hiperextensión y la segunda en flexión forzada, debido a la atrofia y el acortamiento de lumbricales e interóseos, que dejan de estabilizar y flexionar la articulación metatarsofalángica de los dedos trifalángicos y de extender las interfalanges, con lo que la acción del flexor de los dedos hace progresiva la deformidad1. El pie cavo posterior aparece en la parálisis del tríceps sural y, como consecuencia de la falta de tracción del Aquiles, el calcáneo se verticaliza y asciende por su parte anterior. Las formas mixtas se presentan cuando la caída del primer metatarsiano es más acusada respecto de los demás, pues el retropié se coloca en gran supinación para compensarla y secundariamente el calcáneo se verticaliza.
Figura 4. Pie cavo. Antepié en equino con relación a retropié. Dedos en garra.
Según la posición del talón en el plano frontal, el pie cavo puede ser cavovaro, cavovalgo o sin deformidad1. El pie cavovaro es la forma clásica, la habitual en el pie cavo neurológico, y en algunos casos, los cavos esenciales. El pie cavo con talón valgo es muy frecuente; para algunos autores se trata de un verdadero pie cavo, pero otros lo consideran una forma clínica de pie plano de segundo grado.
Clínica
En el niño el pie cavo es aún flexible. Por ello, al apoyar se reduce la desnivelación y el peso del cuerpo se reparte en la superficie plantar, lo que permite una marcha indolora. El motivo de consulta suele ser cansancio temprano y molestias en el pie y tobillo con dificultad a la marcha y caídas fáciles. Al avanzar el proceso, la desnivelación entre ante y retropié queda ya fijada, de modo que la carga máxima recae sobre las cabezas metatarsianas, y aparecen dolor y duricias en esta zona. Si se mantiene el arco transverso anterior, las hiperqueratosis se presentan bajo las cabezas metatarsianas primera o quinta, y si este arco está aplanado las callosidades afectan también a las cabezas medias. En el pie cavo la articulación del tobillo no está afectada, pero la subastragalina puede estar limitada. La fascia plantar y especialmente el extensor del primer dedo y el extensor común de los dedos están en mayor tensión de la habitual y los dedos están contracturados en garra sin contacto de los pulpejos con la superficie del suelo. La marcha, en los pies cavos neurológicos, muestra una inversión, de modo que el apoyo del antepié se presenta antes del apoyo del talón.
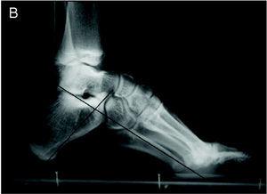
Las principales pruebas complementarias de diagnóstico son las proyecciones radiográficas en carga, donde se demuestra una disminución del ángulo de Moreau-Costa-Bartani (fig. 5) y del ángulo de divergencia astragalocalcáneo. La radiografía de perfil permite además observar la zona de inflexión del arco plantar (fig. 5). Según la huella plantar, clasificamos este pie en precavo o cavo de primer o segundo grados (fig. 6). El precavo, o cavo dinámico, es la situación observable en el niño con una desnivelación reductible y una huella plantar prácticamente normal. El cavo de primer grado es secundario a una desnivelación parcialmente fijada, con reducción de la banda externa de la huella (inferior a un tercio de la amplitud del antepié), mientras que en el cavo de segundo grado, al ser la desnivelación más importante, se marca tan sólo la huella de los pilares anterior y posterior.
Figura 5. Pie cavo anterior: retropié normal, antepié verticalizado (A), y pie cavo posterior: retropié muy verticalizado (B). Ángulo de Moreau-Costa-Bartani reducido.
Figura 6. Pie cavo. Clasificación según la huella plantar.
Tratamiento
En situación de cavo dinámico es útil intentar una reeducación de la marcha, para lo cual se procurará que el paciente deambule descalzo sobre el suelo y que el pie realice el apoyo inicial con el talón. También es aconsejable una ortesis de soporte retrocapital, que consigue redistribuir las cargas en la planta del pie, con lo que el apoyo disminuye debajo de las cabezas de los metatarsianos y parte de él se transfiere a la zona distal de la diáfisis. A su vez, la elevación de las cabezas metatarsianas provocará una disminución de la posición en garra de los dedos, que también estarán más cómodos con un calzado de punta alta y ancha. En el pie cavo establecido, el principal problema para el paciente es el dolor plantar, una ortesis de soporte retrocapital también puede conseguir un alivio sintomático. Si el tratamiento conservador es insuficiente, y en pies cavos que presenten una alteración importante de la biomecánica del pie o dolor que ocasione una alteración funcional, se plantea el tratamiento quirúrgico. Antes de llevarlo a cabo hay que considerar algunas variables, como el tipo de pie cavo y su momento evolutivo. Cuando el pie cavo es reductible por manipulación, estará indicada la cirugía sobre partes blandas, que básicamente consiste en la sección de la aponeurosis plantar y de la musculatura corta del pie, en su inserción en el calcáneo, o bien en transferencias tendinosas del extensor propio del primer dedo al cuello del primer metatarsiano o, más raramente, la misma intervención en los dedos trifalángicos. Así se logra que la potencia del extensor del dedo deje de colaborar en la deformidad de garra digital y en cambio funcione levantando la cabeza de metatarsiano y disminuyendo su hiperpresión plantar. Si estas intervenciones se realizan en casos infantiles con pies cavos neurológicos evolutivos, en muchas ocasiones no logran una solución definitiva, pero facilitan una posterior intervención sobre estructuras óseas cuando la deformidad ya está estabilizada de forma irreductible. Cuando el pie cavo se encuentra en fase irreductible por manipulación, y una vez terminado el crecimiento óseo, estará indicada la cirugía sobre el esqueleto. Este tipo de cirugía se realizará mediante osteotomías o artrodesis, y pueden combinarse ambas. En principio, la intervención se efectuará en la zona más alta de la bóveda alterada, y además deberá corregirse la deformidad del talón. En muchas ocasiones se podrá asociar la cirugía de partes blandas con la cirugía esquelética.
Pie plano
Es el pie que muestra disminución del arco longitudinal o bóveda plantar y desviación del talón en valgo.
El pie planovalgo es fisiológico durante los 2 o 3 primeros años de edad, y con el crecimiento el arco plantar se eleva. No se requiere tratamiento para este pie plano elástico que presentan los niños2.
Las principales pruebas complementarias de diagnóstico serán las proyecciones radiográficas en carga, en las que se podrá determinar el aumento del ángulo de Moreau-Costa-Bartani en el perfil y del ángulo de divergencia astragalocalcáneo. El fotopodograma (fig. 7) y la observación por podoscopio serán igualmente útiles.
Figura 7. Pie plano. Clasificación según la huella plantar.
Etiología, clínica, diagnóstico y tratamiento
El pie plano puede ser de origen congénito o adquirido.
Pie plano congénito. Es el más frecuente y puede ser fláccido o rígido (este tema ya se ha tratado en el capítulo de la patología del pie infantil).
El pie plano rígido es secundario a alteraciones óseas como las anomalías del escafoides, el astrágalo vertical o las coaliciones tarsianas2:
Escafoides accesorio o escafoides prominente. Esta anomalía puede provocar una alteración funcional del tendón del tibial posterior que se traducirá en un aplanamiento de este pie.
Astrágalo vertical. Es una malformación congénita en la cual el escafoides está luxado hacia arriba y el astrágalo en posición vertical; esto comporta una deformidad con la planta del pie convexa y prominencia del astrágalo en su parte interna. Requiere tratamiento quirúrgico temprano.
Coalición tarsiana. Es la causa principal de pie plano rígido en niños y adolescentes. Aparece secundariamente a la unión anormal entre los huesos del tarso debida a la falta de diferenciación y segmentación del mesénquima primitivo, con la consiguiente ausencia de la formación de la articulación. La coalición puede ser fibrosa (sindesmosis), cartilaginosa (sincondrosis) u ósea (sinostosis). En algunas ocasiones la coalición es adquirida, secundaria a un proceso infeccioso, traumático, enfermedad articular o cirugía.
Los síntomas clínicos de la coalición tarsiana suelen aparecer en la segunda o tercera décadas de la vida, cuando la coalición se osifica y se vuelve rígida. Al inicio el dolor suele ser lento, vago, se agrava con la marcha, sobre todo en terreno irregular y la bipedestación mantenida, y mejora con el reposo. A menudo un traumatismo, incluso leve, es el desencadenante de la sintomatología. Mientras que la coalición tarsiana suele considerarse habitualmente en el diagnóstico diferencial del pie doloroso en los niños y adolescentes, en los adultos esta entidad es poco reconocida y habitualmente se retrasa, incluso en años, su diagnóstico3. El diagnóstico tiene que plantearse en todo paciente con dolor crónico en el pie y rigidez, habitualmente subastragalina. Puede acompañar este cuadro una deformidad en valgo del retropié y un pie plano rígido. Ocasionalmente hay espasmo, constante o intermitente, de los músculos peroneos secundariamente a la inestabilidad y sobrecarga de la articulación subastragalina. La sinostosis perfectamente establecida comporta rigidez de los elementos comprometidos, generalmente del retropié, mientras que las articulaciones vecinas, con el tiempo, presentarán una artrosis secundaria. Los pies planos contractos artrósicos del adulto en ocasiones presentan sinostosis tarsianas bien establecidas. La sincondrosis y sindesmosis permiten cierta movilidad, y sus repercusiones no son tan importantes.
La coalición tarsiana puede ser uni o bilateral, habitualmente única en un pie, pero puede ser también múltiple. Puede ocurrir entre cualquiera de los huesos del tarso, pero la localización más frecuente es la calcaneoescafoidea (aproximadamente el 50% de los casos), seguida de la astragalocalcánea (37%) (fig. 8)3. La barra calcaneoescafoidea es fácilmente identificable en la radiografía en proyección oblicua de la región posterior del tarso, pero no se identifica en las proyecciones de perfil o anteroposterior. La coalición astragalocalcánea es más común en chicos que en chicas, y llega a ser bilateral hasta en la cuarta parte de los casos4. La anquilosis puede asentar en las regiones subastragalinas posterior, media o anterior, pero la más frecuente es la localizada en la región articular media, mientras que la coalición posterior es la más infrecuente. No es fácil de identificar en la radiología simple, pero se observa con facilidad en la tomografía axial computarizada (fig. 9). Se ha descrito una serie de signos radiológicos secundarios, asociados a esta coalición, que facilitan su reconocimiento4, tales como un gancho o pico óseo en la cara superior del astrágalo, adyacente a la articulación astragaloescafoidea (fácilmente evidenciable en la proyección de perfil del pie), pinzamiento de la interlínea articular de la subastragalina posterior y nula visualización de la interlínea articular subastragalina «media». En los casos de coaliciones fibrosas o cartilaginosas el diagnóstico de seguridad se establece con la resonancia magnética nuclear.
Figura 8. Coaliciones tarsianas: calcaneoescafoidea (A) y astragalocalcánea (B).
Figura 9. Coalición astragalocalcánea. Imagen en la tomografía axial computarizada.
Las coaliciones astragaloescafoidea y calcaneocuboidea son infrecuentes y no suelen comportar un pie plano. Existen casos esporádicos de localización escafocuboidea, escafocuneiforme o astragalocuboidea3. La coalición múltiple puede acompañar a varios síndromes con malformaciones óseas múltiples.
En cuanto al tratamiento, el conservador (analgésicos-antiinflamatorios y ortesis de soporte plantar) suele ser eficaz en la mitad de los pacientes. En los casos en que el pie continúa sintomático la resección de la coalición (con interposición de grasa, tendón o músculo) es una opción eficaz en muchos pacientes, incluso en adultos5. La artrodesis es la técnica utilizada cuando fallan las otras medidas en los pacientes con cambios degenerativos o en las coaliciones múltiples6.
Pie plano adquirido. Es secundario a distintas afecciones como la hiperlaxitud articular, lesiones tendinosas, reumatismos inflamatorios crónicos, artropatía neuropática o traumatismos, y puede ser también flexible o rígido. El pie plano flexible o móvil muestra el hundimiento del arco plantar sólo en posición de bipedestación, pero sin tratamiento puede aparecer un espasmo de la musculatura peroneal que conducirá gradualmente a un pie plano rígido y espástico por contractura de este grupo muscular. No se requiere tratamiento para el pie plano asintomático, y únicamente se indicará en presencia de dolor o alteración funcional.
1. La disfunción del tendón del tibial posterior (TTP) es una causa importante y poco reconocida de dolor en la cara interna del pie, región posterior y medial, que condiciona discapacidad y conduce finalmente a un pie plano7. Es la causa más frecuente de pie plano adquirido en el adulto.
El TTP es el primer tendón situado en la región posterior del maléolo medial y se inserta, abriéndose en abanico, en la cara inferior de varios huesos del tarso; esta inserción predomina en las caras plantar y medial del hueso escafoides. Debido a su situación, es un estabilizador esencial del retropié para evitar el valgo del talón y contribuye a mantener la región medial del arco longitudinal plantar, con lo que se evita la abducción del pie. Además, al estar situado a lo largo del eje del tobillo, actúa como flexor de la articulación de éste.
En cuanto a la etiología, la disfunción del TTP, uni o bilateral, puede ser una tenosinovitis, una rotura tendinosa parcial o completa, o un arrancamiento de su inserción en el escafoides tarsiano. Generalmente se trata de una lesión crónica, que aparece en individuos de mediana edad o en ancianos, y secundaria a un microtraumatismo repetido, que en caso de persistir conduce finalmente a la rotura del tendón. Puede también aparecer en pacientes con reumatismos crónicos como la artritis reumatoidea o las espondiloartropatías; en individuos jóvenes se presenta de forma secundaria a un microtraumatismo repetido (atletas o gimnastas) o como consecuencia de una lesión traumática aguda.
Por lo que se refiere a la clínica, el inicio es generalmente insidioso, con dolor, de leve a moderado, y tumefacción localizados en la región medial del tobillo. El dolor se agrava con la actividad y mejora con el reposo. Si la inflamación se cronifica, se produce una degeneración tendinosa, y finalmente la rotura del tendón, que comporta una caída progresiva del arco plantar que se instaura en meses o años. El pie puede llegar a ser muy doloroso y destaca la dificultad para conseguir una buena fase de despegue en la marcha. Cuando se produce la rotura del tendón, se presenta una deformidad progresiva del pie, en posición planovalgo (retropié valgo, mediopié plano, en abducción, y antepié en pronación), así como unos signos de rotura característicos7 que se aprecian fácilmente al explorar el pie desde la región posterior. La tumefacción en la región inferior del maléolo es evidente a lo largo del trayecto del TTP y en la cara interna del pie, y en algunas ocasiones es tan marcada que disimula incluso el pie planovalgo. La abducción del pie lleva consigo el signo «demasiados dedos» (fig. 10), pues al observar el pie desde la región posterior éstos se hacen más visibles en la cara peroneal, en comparación con el pie contralateral, y más cuanto mayor es la deformidad. Al ponerse el paciente de puntillas, el talón no presenta la desviación fisiológica en varo. Funcionalmente, en los casos avanzados hay una incapacidad para mantenerse de puntillas sobre el pie afectado, por la dificultad de despegar el talón del suelo que se acompaña de sensación de debilidad.
Figura 10. Pie plano secundario a rotura completa del tendón tibial posterior. Signo «demasiados dedos».
El lugar más común de rotura es en la zona de maléolo medial, donde se ha identificado un área de hipovascularización del tendón que podría explicar su especial vulnerabilidad. Con menor frecuencia el tendón sufre un arrancamiento en la zona de su inserción en el hueso escafoides.
El grado de lesión del TTP puede evaluarse con ecografía, tomografía axial computarizada y sobre todo con resonancia magnética8. Esta última técnica identifica el tendón en sus diferentes fases de lesión: engrosado con o sin tenosinovitis acompañante, tendinosis, rotura parcial o completa (fig. 11), o arrancamiento de su inserción.
Figura 11. Resonancia magnética: imagen de rotura completa del tendón tibial posterior.
Figura 11. Resonancia magnética: imagen de rotura completa del tendón tibial posterior.
El tratamiento depende del grado de lesión del tendón7,9. En las fases iniciales, de tenosinovitis, puede instaurarse un tratamiento conservador mediante reposo, antiinflamatorios y ortesis (plantilla de soporte del arco plantar). Si la tenosinovitis es persistente por fallo del tratamiento conservador, mantenido unos 3-4 meses, es útil la cirugía con «peinaje» del tendón. Frente una rotura parcial del tendón, siempre que la evolución sea de pocas semanas, puede proponerse también el tratamiento conservador. El tratamiento quirúrgico, con reparación tendinosa, está indicado en los casos de rotura completa o deformidad progresiva y consistirá en la realización de una anastomosis terminoterminal entre el tibial posterior y otro tendón, generalmente el flexor común de los dedos. En casos muy evolucionados, con grave deformidad y proceso degenerativo articular sobreañadido, únicamente puede proponerse la artrodesis del primer radio y de la subastragalina.
2. Reumatismos inflamatorios. La región media del pie puede afectarse en la mayoría de los reumatismos inflamatorios crónicos y conducir a un pie plano, aunque raramente se presenta como una manifestación inicial y su sintomatología suele ser una más dentro de la enfermedad.
Artritis reumatoidea. En la artritis reumatoidea se afecta el tarso, de forma equivalente a la afección del carpo, y habitualmente de forma concomitante a la afección de las articulaciones metatarsofalángicas. Suele ser una afectación bilateral y simétrica. La localización más frecuente es en la porción astragaloescafoidea de la articulación astragalocalcaneoescafoidea, que se afecta en aproximadamente un 30% de los pacientes (fig. 12), la articulación subastragalina en un 23% de los casos (fig. 13), la escafocuneana en un 20% y la metatarsocuneana en un 15% (fig. 14)10. La radiografía muestra inicialmente osteopenia y pinzamiento de las interlíneas articulares con esclerosis focal, mientras que las erosiones de las superficies óseas son pequeñas y escasas. La afección del tarso es progresiva con la duración de la enfermedad y comporta un pie plano, que se incrementa marcadamente después de 3 o 4 años de evolución de la enfermedad10,11. En los casos de larga evolución se puede observar anquilosis de todo el tarso, que puede acompañarse de pequeños osteófitos en esta región dorsal del pie (fig. 15).
Figura 12. Artritis reumatoidea con afectación de la articulación as-tragaloescafoidea.
Figura 13. Artritis reumatoidea, con afectación de la articulación subastragalina y astragaloescafoidea.
Figura 14. Artritis reumatoidea con afectación de la primera articulación tarsometatarsiana.
Figura 15. Artritis reumatoidea en fase avanzada con afectación global del tarso.
Los tendones que poseen vaina sinovial suelen también afectarse en el curso de la enfermedad, lo que comporta dolor y tumefacción en el pie. Al avanzar la enfermedad pueden aparecer debilidad muscular y elongación de los ligamentos inflamados, que suele implicar una deformidad del mediopié que será, en la mayor parte de los casos, hacia el pie planovalgo; de todas formas, el pie plano es más frecuente cuando hay artritis del tarso10. Tal como se ha comentado anteriormente, la rotura del tendón tibial posterior puede ser también una causa que participa en el pie plano en la artritis reumatoidea12,13, aunque para algunos autores esta etiología sería infrecuente14.
La deformidad en plano del pie hace variar sus puntos de apoyo, lo que contribuye a la aparición de callosidades y posibles ulceraciones y sobreinfección en éstas.
El tratamiento ortopédico de la enfermedad se basa en la utilización de plantillas. En las fases iniciales se utilizarán para mantener la estática normal del arco plantar, mientras que en las fases avanzadas se intentará compensar las deformidades y facilitar el apoyo del pie deformado; en ocasiones, se precisará incluso de un calzado hecho a medida. La cirugía se requerirá en algunos casos para corregir deformidades, a través de la escisión o artrodesis articular.
Espondiloartropatías. El antepié y el mediopié se afectan de forma simétrica o asimétrica en aproximadamente el 15% de los pacientes con espondiloartritis anquilosante de larga evolución15. Las lesiones asientan con predilección en articulaciones metatarsofalángicas y en menor frecuencia en el mediopié. En los casos en que la artritis afecta a los huesos del tarso puede producirse un pie plano secundario (fig. 16). No están aún estandarizados unos índices para la cuantificación, en radiografías, de esta afectación del tarso, aunque se ha publicado alguno recientemente16.
Figura 16. Espondiloartritris anquilosante: afectación asimétrica de la articulación escafocuneana, pie plano secundario.
En la artropatía psoriásica también puede afectarse el mediopié, habitualmente en pacientes con afectación poli u oligoarticular, y observamos un pie plano secundario. A diferencia de lo que ocurre en la artritis reumatoidea, no existe osteopenia, se presentan signos de proliferación ósea y tendencia a la anquilosis en los casos avanzados.
Artropatía neuropática. De todas las enfermedades que pueden ocasionar una artropatía neuropática, la que afecta al pie con mayor frecuencia es la diabetes mellitus. Esta artropatía es secundaria a la existencia de una polineuropatía periférica grave y de larga evolución, predominantemente sensitiva. Aparece de forma típica en pacientes con diabetes de larga evolución y en la quinta o sexta décadas de la vida, aunque se han descrito casos en pacientes ancianos o jóvenes. La localización más frecuente es en el tarso y las articulaciones tarsometatarsianas, aunque también puede afectar al tobillo. El compromiso articular puede ser mono o poliarticular, y hasta un 24% de los pacientes presentan una afección bilateral. Típicamente en su inicio la artropatía neuropática se presenta como un pie caliente, hinchado y relativamente poco doloroso con relación a los cambios visibles que se presentan. En ocasiones un traumatismo del tobillo o del pie actúa como factor desencadenante17.
La prevalencia de artropatía neuropática en la diabetes no se conoce con exactitud y varía según los autores, probablemente por ser poco sintomática. Se ha detectado en el 0,15% de los pacientes (entre 68.000 visitas consecutivas de pacientes diabéticos)18.
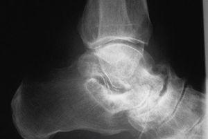
La radiología en fases iniciales puede ser totalmente inespecífica y mostrar tumefacción de partes blandas o cambios indicativos de artrosis. El avance de la enfermedad comporta fragmentación y reabsorción ósea, y también signos de proliferación ósea aparentes, como osteófitos y acusada esclerosis. Con la progresión del proceso aparecen deformidades, angulación y subluxación articular, que son causa de seudoartrosis y mayor fragmentación ósea. Esta afectación del pie comporta hundimiento del arco plantar con prominencia plantar de los huesos del tarso (fig. 17), aparición de callosidades locales y gran susceptibilidad para las ulceraciones. Éstas facilitan asimismo la infección, con lo cual la osteomielitis, sobreañadida a esta artropatía, actúa como factor agravante de la destrucción ósea. La artropatía neuropática tiene que sospecharse en todo paciente con diabetes mellitus de larga evolución que presente tumefacción y deformidad en el pie con escaso dolor y en todo caso de menor intensidad que el cabría esperar por los cambios observados.
Figura 17. Artropatía neuropática.
Otras enfermedades (alcoholismo, tabes dorsal, insensibilidad congénita al dolor o mielomeningocele, entre otras) pueden ser causa de artropatía neuropática con afectación de los pies. La artropatía neuropática es rara en el alcoholismo, a pesar de ser prevalente la polineuropatía periférica, y sólo se han descrito pequeñas series de pacientes afectados. Cuando se presenta suele afectar al antepié, con reabsorción de falanges y metatarsianos, subluxación y esclerosis ósea. La tabes dorsal es muy infrecuente actualmente, pero entre un 5 y un 10% de los pacientes con la enfermedad presenta artropatía neuropática, que en el 60-75% de los casos afecta, generalmente de forma monoarticular, a las extremidades inferiores. Por orden de frecuencia se afectan la rodilla, el tobillo-pie y la cadera.
El tratamiento clásico de la artropatía neuropática consiste en la inmovilización articular y la educación del paciente en el cuidado adecuado y el uso de calzado apropiado para sus pies, medidas que podrán evitar futuras complicaciones como la ulceración y sobreinfección. No existe tratamiento específico para esta artropatía destructiva, pero se ha empezado a utilizar, con buenos resultados, el pamidronato administrado por vía intravenosa, que consigue reducir los parámetros de reabsorción ósea y la actividad clínica en pacientes con enfermedad activa19. La cirugía presenta resultados variables, con artrodesis instrumentada de las articulaciones afectadas realizada en las fases iniciales de la enfermedad.
Algunos autores proponen la utilización de fijadores externos para el manejo de esta artropatía, con o sin infección acompañante20.






















