El abordaje terapéutico del cáncer de esófago es multidisciplinario. En los pacientes con edad superior a 75-80 años se aconseja una valoración individual en los centros experimentados, para poder decidir el procedimiento más adecuado1–4. Actualmente, los cirujanos trabajan cada vez más en equipo con los geriatras de los hospitales debido al aumento significativo en la edad de los pacientes que son operados. La esofaguectomía es una técnica quirúrgica de riesgo, y los resultados en pacientes con edad superior a los 80 años son claramente inferiores a los de sujetos más jóvenes5. Se han diseñado modelos de valoración de riesgo preoperatorio para los pacientes con cáncer de esófago y las variables con más significación son: la edad, las comorbilidades, la neoadyuvancia y el poco volumen hospitalario de esta afección6 aunque algunos autores sostienen que la experiencia del cirujano es más importante que el número total de esofaguectomías realizadas7.
La cirugía mínimamente invasiva esofagogástrica ha tenido un desarrollo extraordinario en las últimas décadas. Los criterios de exclusión de pacientes para realizar la cirugía laparoscópica se están renovando constantemente a medida que se comprueban sus beneficios8. El tratamiento quirúrgico del cáncer de esófago distal sigue siendo controvertido. La toracotomía ofrece la posibilidad de realizar una linfadenectomía más completa. Sin embargo, el índice de complicaciones respiratorias y la repercusión de las dehiscencias son significativamente mayores que en la esofaguectomía transhiatal9, y por ello hay autores que indican esta última técnica en pacientes de edad avanzada2.
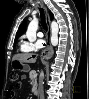
Presentamos el caso de un varón de 86 años en el que destacaba hipertensión arterial y un ictus con secuelas leves hacía 15 años, que fue diagnosticado de adenocarcinoma HER ii positivo en esófago distal. En el TC toracoabdominal no se observaron metástasis, infiltración de órganos adyacentes o adenopatías patológicas. El paciente tenía una voluminosa hernia de hiato (fig. 1). En la primera ecoendoscopia no se pudo franquear la estenosis esofágica maligna. El ecocardiograma inicial mostró una fracción de eyección ventricular (FEV) del 61%.
El paciente se incluyó en un protocolo de estudio con trastuzumab, oxiplatino y xeloda. Tras administrar 3 ciclos con buena tolerancia, se repitió el ecocardiograma observando una FEV del 38% en relación con la cardiotoxicidad por trastuzumab10. La ecoendoscopia posterior mostró una respuesta clara a la neoadyuvancia y la tumoración fue catalogada como T2N0. El paciente fue reevaluado por los cardiólogos el día previo a la intervención y no contraindicaron la misma. La analítica preoperatoria fue normal y el paciente tenía unos buenos parámetros nutricionales con unas proteínas totales en sangre de 7g/dl. Se realizó una esofaguectomía transhiatal laparoscópica sin incidencias intraoperatorias. En el sexto día postoperatorio, el paciente requirió ingreso de nuevo en la Unidad de Cuidados Intensivos por insuficiencia respiratoria. También se objetivó una fuga de bajo débito a nivel cervical que desapareció a los 6 días. El paciente fue dado de alta en el 26 día postoperatorio con buen estado general y tolerando alimentación oral. El resultado del estudio de la pieza de esofaguectomía puso de manifiesto un carcinoma adenoescamoso pobremente diferenciado T2N0.
Este caso ilustra la importancia de un equipo multidisciplinar a la hora de tratar a un paciente de edad avanzada con cáncer esofagogástrico. El sujeto, un varón octogenario que vivía con su esposa, era independiente para realizar las tareas diarias. Después de completar todos los estudios, se planteó a él y a su familia la posibilidad de un tratamiento con intención curativa (cirugía y quimioterapia) frente a un tratamiento paliativo con prótesis esofágica recubierta. El buen estado del individuo unido a la posibilidad de realizar una cirugía curativa mínimamente invasiva nos animó a ofrecer en este caso el tratamiento quirúrgico. El paciente tomó la decisión de ser operado y se le envió a oncología para su valoración. Respecto a los resultados de la operación, se desestimó realizar una esofaguectomía transtorácica debido a la edad del sujeto, pero a pesar de ello, el paciente tuvo problemas para movilizar las secreciones bronquiales y terminó desarrollando una complicación respiratoria. La dehiscencia de la anastomosis cervical se resolvió muy rápido, y a nivel mediastínico hubiera supuesto probablemente la muerte del paciente. A pesar de la cardiotoxicidad temporal inducida por el trastuzumab, el paciente no tuvo ninguna complicación cardiovascular. A los 2 meses de la intervención el sujeto ha recobrado su vida normal y no ha precisado tratamiento adyuvante.
En conclusión, los grandes avances en anestesia, en cirugía laparoscópica y en oncología permiten ofrecer tratamientos más completos con buenos resultados a pacientes octogenarios bien seleccionados con cáncer de esófago.




