REVISTA DE ORTOPEDIA Y TRAUMATOLOGÍA
Volumen 42, pp 418-426
Tumores primarios de partes blandas de la mano. Análisis epidemiológico de 305 casos
PRIMARY TUMORS OF THE SOFT TISSUES OF THE HAND. EPIDEMIOLOGICAL ANALYSIS OF 305 CASES
E. BARTOLOMÉ DEL VALLE*, A. GARCÍA OLEA**, J. GONZÁLEZ DEL PINO**, A. LOVIC** y A. DUDLEY PORRAS***
Grupo de Cirugía de la Mano de Madrid. *.Unidad de Cirugía de la Mano. Hospital Severo Ochoa. Leganés. **.Servicio de Cirugía de la Mano y Microcirugía. Hospital Virgen de la Torre. Madrid. ***.Unidad de Cirugía de la Mano. Hospital Universitario La Princesa. Madrid. Correspondencia:
Dr. E. BARTOLOMÉ DEL VALLE.
Espectáculo, 14 (Sector 3).
28090 Getafe (Madrid).
En Redacción: Diciembre de 1997.
RESUMEN: Se ha llevado a cabo un estudio epidemiológico retrospectivo de 305 tumores primarios de partes blandas de la mano intervenidos durante un período de 6 años. Se excluyeron los pseudotumores, lesiones reactivas y las neoplasias de la piel y sus anejos. Todos los casos analizados, excepto tres, fueron benignos. El tumor más frecuente fue el de células gigantes de vainas tendinosas (47%), seguido de los tumores vasculares (18%), fibromas de vainas tendinosas (13%), lipomas (13%) y tumores nerviosos (7,5%). Como tumores raros se diagnosticaron dos condromas de partes blandas, un sarcoma sinovial, un sarcoma de células claras y un fibrohistiocitoma plexiforme. Se analizan la sintomatología, localización y tamaño de los tumores, sexo y edad de los pacientes y diagnóstico por imagen de los distintos grupos histológicos.
PALABRAS CLAVE: Tumor de partes blandas. Mano
ABSTRACT: A retrospective epidemiological study was made of 305 primary tumors of the soft tissues of the hand that were treated surgically over a 6-year period. Pseudotumors, reactive lesions, and neoplasms of the skin and adnexae were excluded. All of the cases, except 3, were benign. The most frequent tumor was giant-cell tumor of the tendinous sheaths (47%), followed by vascular tumor (18%), fibroma of the tendinous sheaths (13%), lipoma (13%) and neural tumor (7.5%). The rare tumors included 2 chondromas of the soft tissues, a synovial sarcoma, a clear-cell sarcoma, and a plexiform fibrohistiocytoma. The symptoms, tumor site and size, patient sex and age, and imaging diagnosis of the different histological groups were analyzed.
KEY WORDS: Soft-tissue tumor. Hand.
Las lesiones tumorales y pseudotumorales primarias de la mano son muy frecuentes. No obstante, cabe decir que una gran parte de los llamados tumores no lo son realmente desde el punto de vista histológico, tratándose en la mayoría de los casos de gangliones y otras lesiones reactivas no tumorales. Sus diferentes estirpes histológicas les confieren un especial comportamiento biológico a cada uno de ellos.7
La prevalencia de los TPB en la mano es de aproximadamente el 5% del total de todos los tumores prima-rios de partes blandas del organismo.6,16,17,22 Algunos de estos tumores son muy específicos de esta localización (tumor de células gigantes de las vainas tendinosas), otros son más raros (lipomas, tumores vasculares y nerviosos), mientras que otras variantes histológicas son excepcionales (condroma de partes blandas). Algunos tipos tumorales se localizan en diversas estructuras anatómicas, aunque su localización en la mano les confiere características propias.2-4,14,16,17,19,21,23,27,30,33,34 Una de las características más relevantes de los TPB de la mano es la rareza de su malignidad, habiéndose encontrado un máximo del 10% de lesiones malignas o con potencial de malignidad.3,4,7,8,19,34
El motivo de este estudio ha sido el registro de los tumores primarios de partes blandas de la mano intervenidos durante un período de 6 años en tres unidades de cirugía de la mano, y el análisis de sus estirpes histológicas, localización, tamaño, y edad y sexo de sus portadores. Igualmente se analizaron las pruebas de imagen en cada tipo histológico.
Material y Método
Serie clínica
Se ha llevado a cabo un estudio epidemiológico retrospectivo de 305 TPB de localización distal a la articulación radiocubital distal intervenidos durante un período de 6 años (desde Enero de 1991 hasta Diciembre de 1997).
Criterios de exclusión
Se excluyeron de la serie los gangliones, lesiones metabólicas, inflamatorias, granulomatosas e infecciosas (tofos gotosos, nódulos reumatoides, xantomas, tuberculosis, sarcoidosis, etc.), quistes de inclusión y granulomas de cuerpo extraño, neuromas traumáticos, tumores cutáneos y de sus anejos (carcinomas, melanomas, tumores ecrinos, verrugas, cuernos cutáneos, etc.), nódulos palmares y depósitos fibroadiposos (knuckle pads) del dorso de las articulaciones interfalángicas (IF) de la enfermedad de Dupuytren y otras lesiones no verdaderamente tumorales de partes blandas de la mano. Asimismo se excluyeron del estudio los tumores metastásicos. La serie tampoco incluyen tumores en niños con menos de 30 kg de peso corporal.
Protocolo de estudio
Se diseñó un protocolo de estudio en el que se analizaron los siguientes datos: localización y tamaño del tumor, síntomas, edad y sexo de los pacientes y hallazgos de imagen. En este sentido, y según la sospecha diagnóstica, se solicitaron las siguientes pruebas de imagen: Rx simples o de alta definición, RM, etc. En muchos casos los hallazgos de imagen permitieron un diagnóstico de presunción del tipo de tumor y planificar su resección quirúrgica.
El diagnóstico histológico se llevó a cabo mediante el estudio anatomopatológico de la pieza de extirpación y sólo excepcionalmente mediante biopsia incisional. En ningún caso se realizó la obtención de la muestra mediante biopsia por punciónaspiración.
Análisis estadístico
Los resultados obtenidos se analizaron estadísticamente mediante el programa de base de datos Access 2.0. Se llevó a cabo un estudio de estadística básica descriptiva en el que se analizaron los siguientes parámetros: media, desviación típica, frecuencias absolutas y relativas de las diferentes estirpes histológicas, edad y sexo de los pacientes y tamaño y localización del tumor. Puntualmente en algunas variables numéricas se llevó a cabo un estudio de comparación de medias, estableciéndose el nivel de significación estadístico en p < 0,05.
Resultados
Datos generales de la serie
Durante el período de estudio se han intervenido un total de 305 TPB, de los cuales 144 han sido tumores de células gigantes de vainas tendinosas (TCG), 55 tumores de estirpe vascular, 39 fibromas de vainas tendinosas, 39 lipomas, 23 tumores nerviosos, dos condromas de partes blandas, un sarcoma sinovial, un sarcoma de células claras y un fibrohistiocitoma plexiforme (Tablas 1 y 2).
| Tabla 1. Datos epidemiológicos de la serie. No se incluyen los cinco tumores de estirpes histológicas raras. | |||||
| TCG | Vasos | Fibromas | Lipomas | Nervios | |
| N = 300 | 144 | 55 | 39 | 39 | 23 |
| % = 98,5 | 47 | 18 | 13 | 13 | 7,5 |
| Edad | 42 | 45 | 40 | 55 | 43 |
| Mujeres | 90 | 37 | 15 | 26 | 8 |
| Hombres | 54 | 18 | 24 | 13 | 15 |
| TGC: Tumor de células gigantes. | |||||
| Tabla 2. Datos de los hallazgos locales. | ||||||
| TCG | Vasos | Fibromas | Lipomas | Nervios | ||
| Tamaño | 2,1 * 1,3 | 1,8 * 1,4 | 1,7 * 1,2 | 3,3 * 2,7 | 2,3 * 2,1 | |
| Dedos | 128 | 31 | 32 | 11 | 6 | |
| Palma* | 009 | 14 | 04 | 21 | 8 | |
| Muñeca | 006 | 05 | 03 | 07 | **9** | |
| *.Localización principalmente en eminencias y comisuras. **.Corresponde con siete schwannomas del mediano y dos del cubital. TGC: Tumor de células gigantes. | ||||||
Tumor de células gigantes de las vainas tendinosas
De los 144 casos, 90 (62,5%) afectaban a mujeres y 54 (38,5%) a hombres, siendo la edad media de los pacientes de 42 ± 11 años (máximo: 76 y mínimo: 14 años), sin diferencias significativas en la edad por sexos. La mayoría de los tumores se localizaban en los dedos (128 casos), especialmente en sus superficies laterovolares y distales a la articulación interfalángica proximal (IFP). Los dedos menos afectos fueron el anular y el meñique.
El tamaño medio de los TCG fue de 2,1 * 1,3 cm (máximo: 10 * 8 y mínimo: 0,4 * 0,4 cm). Clínicamente la mayoría de los pacientes referían dolor y déficit de flexión de las articulaciones IF vecinas cuando el tamaño de la tumoración superaba los 1,5 * 2 cm de diámetro. Su crecimiento, característicamente excéntrico, fue lento y progresivo de tipo nodular. No obstante, se comportaron como tumores agresivos locales, traspasando las barreras de los compartimentos que inicialmente lo alojaban. En ningún caso el paciente refirió alteraciones de la sensibilidad correspondiente a los nervios cercanos al tumor, ni trastornos vasomotores, independientemente del tamaño tumoral y del desplazamiento de los paquetes vasculonerviosos.
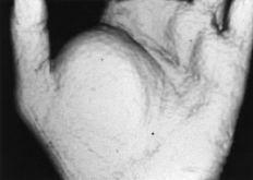
En los casos en los que la tumoración tenía un comportamiento expansivo o estaba próxima a una articulación IF se practicaron estudios radiológicos simples o de alta definición. Se constató, además de un aumento de partes blandas, una erosión ósea cortical con un ribete escleroso, especialmente en los tumores de mayor tamaño o en zonas de reducida capacidad de expansión. Las imágenes de RM mostraron patrones de intensidad variable dependiendo de la nodulación del tumor y de sus depósitos de hemosiderina (Fig. 1).
Tumores vasculares
Había 55 tumores derivados de los vasos, de los que 34 eran hemangiomas (20 cavernosos, nueve venosos, tres endoteliales y dos capilares), 12 tumores glómicos, seis leiomiomas, dos fístulas arteriovenosas y un linfangioma. Treinta y siete eran mujeres y 18 hombres, siendo la edad media de 45 ± 15 años (máximo: 73 y mínimo: 8 años). La distribución por edades de los diferentes subtipos histológicos fue extremadamente dispersa. La localización más frecuente fueron los dedos (31 casos), seguido de la palma y eminencias (14 casos) y muñeca y dorso de la mano (5 casos de cada localización). Diez de los tumores glómicos afectaban a mujeres y siete de ellos eran de localización subungueal (Fig. 2).
El tamaño medio de estos tumores fue de 1,8 * 1,4 cm (máximo: 3 * 1 y mínimo: 1,2 * 0,7 cm), siendo los hemangiomas la tumoración de mayor tamaño. La sintomatología de los hemangiomas se relacionó con la actividad manual, aumentando el volumen y dolor local con las solicitaciones mecánicas. Los tumores glómicos eran más pequeños pero más dolorosos, especialmente los subungueales, deformando la uña en algunos casos. La mayoría eran azulados o violáceos, presentando intolerancia al frío y al calor. El vaciado por expresión facilitó el diagnóstico de los hemangiomas superficiales.
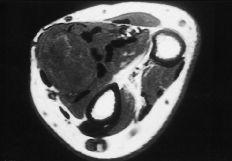
En los hemangiomas cavernosos fue frecuente el hallazgo de calcificaciones intravasculares, en ocasiones visibles radiográficamente. La RM fue específica, existiendo un patrón homogéneo de alta intensidad en relación con su contenido hemático estático (Fig. 3).
Fibroma de las vainas tendinosas
Se registraron 39 casos, afectando principalmente a los hombres (24 casos, 61,5%), con predominio de edades más tempranas. La edad media de estos pacientes fue de 40 ± 17 años (máximo: 75 y mínimo: 15 años). En 32 casos la tumoración se localizó en los dedos, especialmente en zonas distales a las articulaciones IFP. La mayoría eran de localización superficial.
El tamaño medio fue de 1,7 * 1,2 cm (máximo: 4 * 3 y mínimo: 0,9 * 0,7 cm). Son tumores poco dolorosos debido a su menor tamaño, más indurados, no lobulados y adheridos a planos profundos. En los casos raros en que se solicitaron pruebas de imagen la RM mostró una ausencia total de señal de resonancia.
Lipomas
Fue la cuarta variedad histológica en frecuencia de la presente serie, con un total de 39 casos, de los cuales 26 afectaron a mujeres. La edad media de los pacientes fue de 55 ± 14 años (máximo: 74 y mínimo: 18 años), siendo el grupo de mayor edad. La localización típica de los lipomas fueron las eminencias y comisuras (21 casos), siendo los dedos la segunda más frecuente (11 casos); no hubo ningún caso localizado distal a las articulaciones IFP. La mayoría de los TPB de la mano localizados en las eminencias tenar e hipotenar y primera comisura fueron lipomas.
Los lipomas fueron los tumores de mayor tamaño de la serie, siendo el tamaño medio de 3,3 * 2,7 cm (máximo: 6,6 * 6 y mínimo: 0,7 * 0,5 cm). Dado el gran tamaño que pueden alcanzar en la palma, la afectación de varios radios fue frecuente. En las comisuras fue habitual que el crecimiento tumoral traspasara al compartimento dorsal. El tamaño de los lipomas ubicados en las eminencias fue en algunos casos muy considerable; un lipoma hipotenar llegó a pesar 95 gramos. A pesar de su gran tamaño, estos tumores eran indolentes, multilobulados, adaptándose en su crecimiento a las estructuras adyacentes. Independientemente de localizarse en zonas con pedículos vasculonerviosos como el canal de Guyon, no ocasionaron déficit sensitivomotores en ningún caso.
La RM fue típica, apareciendo imágenes homogéneas de aumento de intensidad de señal en T1 (Fig. 4). Los casos en los que se llevó a cabo RM con reconstrucción tridimensional ésta permitió ubicar el tumor en su entorno, facilitando su resección (Fig. 5).
Figura 5. A: Gran lipoma tenar-palmar con expansiones entre los compartimentos flexores. B-D: Imágenes de RM con reconstrucción tridimensional.
Tumores de estirpe nerviosa
Representan el 7,5% del total (23 casos), diagnosticándose 18 schwannomas y cinco neurofibromas. La edad media de estos pacientes (15 hombres y ocho mujeres) fue de 43 ± 18 años (máximo: 84 y mínimo: 11 años). Siete schwannomas se localizaron en el nervio mediano en la muñeca y dos en el cubital en el canal de Guyon. El resto de los tumores afectaba a nervios digitales colaterales o ramas terminales sensitivas.
El tamaño medio fue de 2,3 * 2,1 cm (máximo: 5 * 6 y mínimo: 0,7 * 0,5 cm). Los que afectaban a los nervios cubital y especialmente al mediano presentaban un test de Tinel positivo sobre la tumoración. No se constataron déficit motores en ningún caso. Un schwannoma del nervio mediano en el túnel carpiano ocasionaba un síndrome compresivo.
La RM presenta un aumento de intensidad de señal homogéneo en las imágenes potenciadas en T2, que contrasta con la ausencia de señal del nervio originario del tumor (Fig. 6).
Otros tipos histológicos
Se encontraron dos condromas de partes blandas, uno de ellos en el canal de Guyon y que provocaba una neuropatía compresiva cubital. El sarcoma de células claras se localizaba en el dorso de la mano, y el fibrohistiocitoma plexiforme y el sarcoma sinovial en la eminencia tenar. Los tumores malignos se presentaron en pacientes de entre 20 y 30 años de edad.
Discusión
Las múltiples estirpes celulares existentes en la mano contribuyen al amplio espectro de tumores encontrados.2-4,6,13,16,17,21,23,27,30,33,34El conocimiento de su epidemiología y comportamiento clínico permiten predecir el tipo histológico y probabilidad de recidiva y malignización del tumor. Asimismo se podrá plantear una adecuada estrategia quirúrgica preoperatoria y solicitar las pruebas de imagen que confirmen el diagnóstico y establezcan los límites de la lesión.
La mayoría de los TPB de la mano son benignos, alcanzando el 5% de todos los tumores del organismo.2,6,16,17,23 Más raros son los sarcomas de partes blandas, de localización habitual en los miembros inferiores. En la mayoría de las series publicadas se incluyen lesiones reactivas y no tumorales, siendo el ganglión la lesión más frecuente de todas (60%). Por otra parte, la inclusión de tumores óseos y epiteliales pueden añadir más confusión al tema. Otro aspecto encontrado al revisar la bibliografía es que algunos autores incluyen también en sus series los tumores localizados en el antebrazo e incluso en toda la extremidad superior.2-6,13,16,17, 21,23,27,30,33,34
El TCG es el tumor más frecuente en esta serie (47%), coincidiendo con la bibliografía revisada.2,5,6,8,9,14,16,27,33,34 Jaffe y cols.12 acuñaron el nombre de sinovitis villonodular localizada para diferenciarla de la forma difusa, que afecta fundamentalmente a las grandes articulaciones y presenta idéntica histología. En la actualidad esta lesión se incluye en la categoría general de la sinovitis villonodular pigmentada, formando unas células poligonales o redondas como histiocitos asociadas a células gigantes y a otras con depósitos de hemosiderina. Produce nódulos en los tejidos blandos en relación con las vainas sinoviales digitales o tejidos capsulares de las pequeñas articulaciones de los dedos. La localización más frecuente es en su superficie digital latero-volar, con ligero predominio en los dedos medio e índice. La edad de presentación suele ser hacia la cuarta y quinta décadas de la vida, siendo algo más frecuente en mujeres (3 a 1 ó 3 a 2, según las series).2,5,6,9,13,15,17,27,33,34,37 En nuestro estudio se constató que la localización digital es claramente dominante con el 89% de los casos analizados, siendo la superficie laterovolar del dedo en sus falanges media y distal la zona de mayor incidencia. Los dedos anular y meñique fueron los menos afectados.
En cuanto a su sintomatología, los TCG comienzan a doler en relación con su aumento de volumen. Se comportan con agresividad local, invadiendo los compartimentos vecinos e incluso erosionando el hueso subyacente.2,5,6,9,13,15,17,29,33,37Cuando no son nodulares o claramente superficiales, es de utilidad la radiología convencional y de alta definición, en donde se aprecia un aumento de volumen y densidad de las partes blandas en la mitad de los casos y una erosión ósea con ribete escleroso en el 20% de los casos.2-5,6,9,13,15,17,37 En los estudios de RM es característica una imagen de tumoración nodular debido a los depósitos de hemosiderina, adyacente al tendón o cápsula, con áreas de disminución de intensidad de señal en T1 y T2 y otras zonas de señal isointensa al músculo en T1 e inferior a la grasa, pero superior al músculo en T2 (Fig. 1).17,29
Figura 1. Tumor de células gigantes que afectaba de forma difusa al dedo anular. Corte coronal de RM potenciada en T1 en la que se aprecian cuatro nódulos tumoreales volares que infiltran el canal digital.
Los tumores vasculares aparecen con mayor frecuencia en la cabeza y cuello, aunque un 20% puede aparecer en las extremidades, y de ellos el 50% lo hace en las superiores.6,15,19,20 Según Myhre-Jensen23 los tumores de estirpe vascular es la tercera tumoración en frecuencia de una serie de 1.331 casos, de entre los cuales la localización en la mano o la muñeca supuso el 20%. Representan el 10% de los tumores de partes blandas de la mano.2,5,6,14,20,25,26,34,38 Hemos diagnosticado 55 casos, lo que significa un porcentaje algo más elevado que las series consultadas. El tipo histológico más frecuente ha sido el hemangioma cavernoso(20 casos). Se distingue por la formación de grandes canales vasculares mezclados con capilares de tamaño normal. En ellos es frecuente la formación de flebolitos en relación con el remanso vascular, pudiéndose observar en la radiología convencional.2,6,17,20,22,24-27,38 Los estudios de RM se caracterizan por un patrón homogéneo e hiperintenso en las secuencias T2 (Fig. 3). A veces dan imágenes serpenteantes en relación con los canales vasculares y los espacios entre ellos.17,29
Figura 3. Hemangioma que engloba los tendones flexores del dedo anular. Corte transversal en la palma de la mano, donde se constata un patrón homogéneo de alta intensidad de señal de resonancia (T1 potenciada).
En el hemangioma endotelial predomina la proliferación de células endoteliales, que cuando se combina con tejido conjuntivo dan lugar a la forma esclerosante.22 Los hemangiomas capilares están compuestos por vasos que a menudo se ajustan al tamaño normal de los capilares. El endotelio de los capilares suele ser más prominente de lo normal, no están encapsulados y la dependencia vascular suele ser de un único vaso.19,22,24-27,38 Es un tumor superficial, caracterizado por su color rojo vinoso o azul.
Los tumores glómicos tienen una localización pulpar, y más concretamente subungueal.2,6,20,22,24-27,34,38,39 En esta serie hubo nueve casos de localización pulpar, de los cuales siete fueron subungueales. Sin embargo, cabe la posibilidad de TPB subungueales que no son tumores glómicos, como un hidroadenoma nodular no incluido en la serie por haber sido tratado fuera de los períodos de estudio. El tumor glómico es una tumoración procedente de la proliferación del glomus mioarterial, anastomosis arterio-venosa con un lecho capilar intermedio que no está presente al nacimiento y se desarrolla en los primeros años de la vida. Las estructuras vasculares están envueltas por numerosas fibras musculares y nerviosas, tanto mielínicas como amielínicas. El cuerpo glómico está rodeado por una cápsula fibrosa. La función principal del glomus es la regulación de la temperatura corporal y la tensión arterial mediante la apertura y cierre de sus anastomosis. Los tumores glómicos se diagnostican cuando su tamaño es superior a 1 mm. La etiología se supone traumática, aunque no está demostrado. Clínicamente se caracterizan por dolor intenso a la presión local, intolerancia al frío, y deformidad, reblandecimiento y decoloración subungueales. En la radiografía convencional, y característicamente en la de alta definición, puede apreciarse una erosión subungueal en los casos de esta localización (Fig. 2).1,2,6,17,24,25,38,39
Figura 2. Tumor glómico subungual. A y B: Rx PA y lateral del extremo del dedo afecto. Obsérvese la erosión ósea (flechas).
El leiomioma vascular es una tumoración generalmente dolorosa a la presión que se origina del músculo liso de la pared vascular.18,20,24,25,36,38 A pesar de su rareza, cada vez son más frecuentes las comunicaciones de autores que los diagnostican en la mano.18,34 Según la bibliografía consultada, la localización más frecuente es en los dedos, tanto en el dorso de las comisuras interdigitales como en las bases de las superficies volares.2,6,18,20,24,25,36,38 En nuestra serie se han encontrado seis casos, cuatro de los cuales se presentaron en el dorso de las comisuras interdigitales.
Las fístulas arteriovenosas se pueden considerar como displasias vasculares, o sea, estructuras vasculares normales pero con alteraciones estructurales. Antes del tratamiento se recomienda un estudio de imagen cuidadoso que debe incluir angiografía digital.20
El fibroma de vainas tendinosas es una entidad patológica que quedó claramente definida por Chung y Enzinger.5 Sin embargo, se discute todavía si es una lesión reactiva traumática o un tumor verdadero debido a que es una lesión más frecuente en varones de 30 a 50 años y que suele localizarse en la mano dominante, aunque sólo existe un antecedente traumático bien filiado en el 9% de los casos.5 Su configuración, localización y crecimiento lento recuerdan al TCG; no obstante, tienen menor celularidad, no existe componente xantomatoso y tampoco se suelen observar células de tipo fagocítico. Los nódulos se componen de fibroblastos, con gran cantidad de fibras de colágeno. A veces se pueden encontrar formas mixoides. En fases tempranas el componente celular puede ser mayor. Es una tumoración que predomina en los varones en una proporción de 2 a 1, localizada en la superficie flexora digital (82%). Otras localizaciones son la palma de la mano (10%) y la muñeca (8%). En algunas series se ha encontrado con mayor frecuencia en el pulgar.5 El tamaño no suele ser mayor de 2 cm. Una cuarta parte de los pacientes acude al médico por dolor local o tirantez como consecuencia de un aumento brusco del tamaño.2,5,6,14,27,34 En la presente serie la tumoración se observó con mayor frecuencia en los dedos centrales de hombres (2 a 1), con una edad media de 40 años. El fibroma de vainas tendinosas presentó una clara tendencia a localizarse en la superficie laterovolar de los dedos, en sus falanges media y distal.
El lipoma es la tumoración de partes blandas más frecuente del organismo (50%).6,16,23,31,32 Sin embargo, en la mano son poco frecuentes, a pesar de existir un moderado componente de tejido adiposo en la superficie volar de la misma. Para algunos autores esta paradoja se debería a la mínima participación del tejido adiposo de la mano en la función de reserva energética, siendo su función primordial la de servir como amortiguador durante la prensión.2 Según las diferentes series consultadas, su frecuencia en la mano varía entre un 1,6 y un 7,7%.2,6,14,16,23,27,28,31,32,34 Algunos autores han encontrado que el lipoma solitario de las extremidades y, por tanto, el lipoma de la mano es una tumoración excepcional.31 Se distinguen cinco variantes, aunque dos de ellas (lipomatosis difusa e hibernoma o tumor de grasa parda) no afectan a la mano: a) lipoma clásico o típico; b) variantes, dependiendo de los componentes celulares acompañantes (angiolipoma, lipoma de células fusiformes, lipoma pleomórfico de células gigantes, lipoblastoma benigno y angiomiolipoma), y c) lipoma heterotópico (intra o intermuscular, de vainas tendinosas y fibrolipoma intraneural).7 Las estirpes más frecuentes que afectan a la mano son el lipoma clásico, el angiolipoma y el de vainas tendinosas.
Aunque pueden ser tumoraciones de gran tamaño, su inactividad biológica hace que únicamente presenten ligero dolor o tirantez. La fijación a los tejidos profundos de un lipoma intramuscular puede remedar un sarcoma de partes blandas.7No presentan déficit articulares ni sensitivomotores a pesar de alcanzar gran tamaño y localizarse contiguos a pedículos vasculonerviosos. Son más frecuentes en las mujeres de alrededor de 50-55 años que en los hombres en proporción de 3 a 1, aunque no todas las series muestran semejante diferencia entre sexos.2,6,23,27,29,31,32,34 Las localizaciones más frecuentes fueron la palma, las eminencias (10 casos) y las comisuras (50% de los casos). Los tumores localizados en las eminencias y comisuras fueron de mayor tamaño y mostraron tendencia a traspasar los compartimentos por medio de digitaciones. Eran tumoraciones difíciles de delimitar en la exploración clínica. Once casos fueron de localización digital, con predominio en las zonas cercanas al pliegue digitopalmar.
Las características arriba mencionadas respecto de la localización, tamaño y dificultad de delimitación obligan a la realización de estudios de RM, que demuestran un patrón típico de aumento de señal homogéneo en las secuencias potenciadas en T1 (Fig. 4).10,17,29 Dados los resultados y la utilidad de la RM en muchos de los casos de esta serie, su realización se recomienda sobremanera.
Figura 4. Lipoma hipotenar. Corte transversal de RM potenciada en T1 en la que se aprecia la relación de la tumoración con las estructuras vasculonerviosas y tendinosas palmares, así como digitaciones intermetacarpianas.
Los tumores nerviosos son raros, con incidencias recogidas en la literatura del 0,8 al 5% de todos los tumores de la mano.2,6,7,11,12,14,16,23,27,34,35 En las series consultadas los neurofibromas y los schwannomas representan entre el 5 y el 10% de todas las tumoraciones de partes blandas, observándose en la mano un 16% del total.16,23 En nuestra serie se observaron 23 casos, un 7,5% del total, de los cuales 18 eran schwannomas, siete de ellos localizados en el nervio mediano y dos en el cubital. Los schwannomas suelen tener una localización excéntrica en el nervio, siendo rara la afectación de fascículos, y por ello es raro encontrar déficit motores. El schwannoma o neurilemmoma es un tumor benigno procedente de las células de Schwann, encargadas de proporcionar la estructura mielínica al nervio periférico. Su tamaño no suele alcanzar más de 3 cm.2,6,11,12,35 En la serie, los schwannomas originados en el nervio mediano presentaban una característica hiperseñal en T2 en contraste con la ausencia de señal del tronco nervioso del que proceden (Fig. 6). No obstante, la RM sólo pudo definir con claridad que se trataba de un tumor de estirpe neural.10,17,29
Figura 6. Imágenes de RM de un schwannoma del nervio mediano. A y B: Secuencias potenciadas en T1 y T2, respectivamente.
El neurofibroma clásicamente se divide en solitario o aislado y de la enfermedad de Von Recklinghausen. El 10% de los pacientes con neurofibromas solitarios puede desarrollar neurofibromatosis. Las lesiones aisladas raramente se malignizan. Se observan principalmente en personas jóvenes, con igual proporción de hombres y mujeres.2,6,11,12,35 En nuestra serie se han diagnosticado cinco neurofibromas solitarios.
Aunque los tumores malignos de partes blandas de la mano son extremadamente raros (100 tumores benignos, como mínimo, por cada uno maligno), su agresividad justifica el conocimiento de sus características mas típicas.3,4,6-8Afectan principalmente a pacientes jóvenes, con una edad media de 31 años, muy inferior al estándar de los TPB benignos. Inicialmente (70% de los casos) son pequeños y asintomáticos, por lo que pueden confundirse con tumores benignos. Ulteriormente presentan un crecimiento rápido y expansivo, siendo típica su localización profunda en dos terceras partes de ellos; son precisamente éstos los de peor pronóstico. Por este motivo son de tacto duro y poco móviles, estando fijos en los planos subfasciales. Aunque pueden ubicarse en cualquier zona, el 30% asientan en las comisuras y el 20% en las eminencias. Se han descrito tumores malignos de todas las estirpes histológicas, siendo la variedad más frecuente el sarcoma sinovial (30%).3,4,6-8
En resumen, se pueden establecer seis patrones básicos de tumoraciones de partes blandas de la mano:
a) Tumoración digital de localización distal a la articulación IFP, multilobulada, localizada en la superficie laterovolar, en mujeres de 40 a 50 años: tumor de células gigantes de vainas tendinosas.
b) Tumoración azulada o violácea, de localización digital o en la palma, sensible al frío y a la actividad física, en mujeres de aproximadamente 45 años: hemangioma.
c) Tumoración de características similares al TCG, pero de tacto más fibroso y no multilobulado, en hombres de aproximadamente 40 años, en posible relación con traumatismos: fibroma de las vainas tendinosas.
d) Tumoración palmar de gran tamaño, en comisuras o eminencias, en mujeres de alrededor de 55 años: lipoma.
e) Tumoración en cara volar de muñeca, con disestesias en el territorio del nervio mediano o cubital: schwannoma.
f) Tumoración palmar en pacientes de entre 25 y 35 años, de crecimiento rápido, localización profunda, dolor y posible déficit neurológico: descartar tumoración maligna.
Agradecimientos
Queremos expresar nuestro agradecimiento al doctor Vicente Martínez, de la Unidad de Resonancia Magnética del Sanatorio Nuestra Señora del Rosario de Madrid, por su inestimable trabajo en el diagnóstico por imagen. Igualmente queremos agradecer a los Servicios de Admisión y Archivo de los centros participantes su desinteresada y constante ayuda, imprescindible para la consecución de este trabajo.
Bibliografía
1. Ayala, H ; Villas, C, y Cañadell, J: Glomus tumor. Acta Orthop Belg, 46: 219-225, 1980.
2. Bogumill, GP, y Fleeger, EJ (Eds): Tumors of the Hand and Upper Limb. Edinburgh. Churchill Livingstone, 1993.
3. Bray, WP; Bell, RS; Bowen, CVA; Davis, A, y O´Sullivan, B: Limb salvage surgery and adjuvant radiotherapy for soft tissue sarcomas of the forearm and hand. J Hand Surg, 22A: 495-503, 1997.
4. Brien, EW; Terek, RM; Geer, RJ; Caldwell, G; Brennan, MF, y Healey, JH: Treatment of soft-tissue sarcomas of the hand. J Bone Joint Surg, 77A: 564-571, 1995.
5. Chung, EB, y Enzinger, FM: Fibroma of tendon sheath. Cancer, 44: 1945-1954, 1979.
6. Enzinger, FM, y Weiss, SW (Eds): Soft Tissue Tumors. St. Louis. Mosby, 1995.
7. Frassica, FJ, y Thompson, RC: Evaluation, diagnosis, and classification of benign soft-tissue tumors. J Bone Joint Surg, 78A: 126-140, 1996.
8. García Mas, R; Lluch, A; García Elías, M; Arcalís, A, y Cebamanos, J: Solid tumors of soft-tissues of hand and forearm. 6th Congress of the International Federation of Societies for Surgery of the Hand. Helsinki, 1995, 153.
9. Glowacki, KA, y Weiss, APC: Giant cell tumors of tendon sheath. Hand Clin, 11: 245-253, 1995.
10. Hems, TEJ; Burge, PD, y Wilson, DJ: The role of magnetic resonance imaging in the management of peripheral nerve tumors. J Hand Surg, 22B: 57-60, 1997.
11. Holdsworth, BJ: Nerve tumors of upper limb. A clinical review. J Hand Surg, 10B: 236-238, 1985.
12. Idler, RS: Benign and malignant nerve tumors. Hand Clin, 11: 203-211, 1995.
13. Jaffe, HL; Lichtenstein, A,y Sutro, CJ: Pigmented villonodular bursitis and tenosynovitis. A discussion of bursal synovial equivalents of the tenosynovial lesions commonly denoted as xanthoma, xanthogranuloma, giant cell tumor or considerations of the tenosynovial sheath itself. Arch Pathol, 31: 731-745, 1941.
14. Johnson, J; Kilgore, E, y Newmeyer, W: Tumorous lesions of the hand. J Hand Surg, 10A: 284-286, 1985.
15. Jones, FE; Soule, EH, y Coventry, MB: Fibrous xanthoma of synovium (giant-cell tumor of tendon sheath, pigmented nodular synovitis). J Bone Joint Surg, 5A: 76-86, 1969.
16. Kransdorf, MJ: Benign soft tissue tumors in a large referral population. AJR, 164: 395-402, 1995.
17. Kransdorf, MJ, y Murphey, MD: MR imaging of musculoskeletal tumors of the hand and wrist. MRI Clin North Am, 3: 327-344, 1995.
18. Lawson GM; Salter, DM, y Hooper, G: Angioleiomyomas of the hand. J Hand Surg, 20B: 479-483, 1995.
19. Mankin, HJ: Principles of diagnosis and management of tumors of the hand. Hand Clin, 3: 185-195, 1987.
20. McClinton, MA: Tumors and aneurism of the upper extremity. Hand Clin, 9: 151-167, 1993.
21. Millán, J; Serra, JM; Morelli, A, y Morelli, E: Tumores de la mano. Revisión de 240 casos. Rev Esp Cir Mano, 13: 25-42, 1985.
22. Milner, RH, y Sykes, PJ: Diffuse cavernous haemangiomas of the upper limb. J Hand Surg, 12B: 199-202, 1987.
23. Myhre-Jensen, O: A consecutive 7-year series of 1331 benign soft tissue tumors. Acta Orthop Scand, 52: 287-293, 1981.
24. Neviaser, RJ, y Adams, JP: Vascular lesions in the hand. Clin Orthop, 100: 111-119, 1974.
25. Niechajev, IA, y Karlsson, S: Vascular tumors of the hand. Scand J Plast Reconstr Surg, 16: 67-75, 1982.
26. Palmieri, TJ: Subcutaneous hemangiomas of the hand. J Hand Surg, 8: 201-204, 1983.
27. Palmieri, TJ: Common tumors of the hand. Orthop Rev, 6: 367-378, 1987.
28. Phalen GS, y Kendrick J: Lipomas of the upper extremity. Am J Surg, 121: 298-306, 1971.
29. Peh, WCG; Truong, NP; Totty, WG, y Gilula, LA: Pictorial review: Magnetic resonance imaging of benign soft tissue masses of the hand and wrist. Clin Radiol, 50: 519-525, 1995.
30. Rayner, CR: Soft tissue tumors of the hand. J Hand Surg, 16B: 125-126, 1991.
31. Rydholm, A, y Berg, NO: Size, site and clinical incidence of lipoma. Acta Orthop Scand, 54: 929-934, 1983.
32. Santos-Maraver, MT; Collado Torres, F; Torre de la Solís, F, y Rosón Méndez-Trelles, JJ: Lipomas de la mano. Rev Ortop Traumatol, 38: 297-301, 1994.
33. Shapiro, PS, y Seitz WH, Jr: Non-neoplasic tumors of the upper extremity. Hand Clin, 11: 133-160, 1995.
34. Stack, HG: Tumors of the hand. Br Med J, 26: 919-921, 1960.
33. Strickland, JW, y Steichenm, JB: Nerve tumors of the hand and forearm. J Hand Surg, 2A: 285-291, 1977.
35. Uchida, M; Kojima, T, y Iizuka, T: Clinical characteristics of vascular leiomyoma of the upper extremity: Report of 11 cases. Br J Plast Surg, 45: 547-549, 1992.
36. Ushijima, M; Hashimoto, H; Tsuneyoshi, M, yEnjoji, M: Giant cell tumors of the tendon sheath (tenosynovitis nodular). Cancer, 57: 875-884, 1986.
37. Vandevender, D, y Daley, RA: Benign and malignant vascular tumors of the upper extremity. Hand Clin, 11: 161-182, 1995.
38. Van Geertruyden, J; Lorea, P; Goldschmidt, D; De Fontaine, S; Schuind, F; Kinnen, I; Ledoux, P, y Moermans, JP: Glomus tumors of the hand. A retrospective study of 51 cases. J Hand Surg, 21B: 257-260, 1996.













